症例・治療例紹介
Cases
最新の症例
大臼歯の欠損をインプラントを使わず矯正で閉鎖|親知らずの活用による咬合改善


右下5番の先天欠如と前歯の叢生に対するワイヤー矯正とインプラント治療


白い装置で八重歯を改善|抜歯矯正で見た目と噛み合わせ向上


歯周病 、インプラント、 矯正 全顎治療
担当医 大元洋佑


MARPEで非抜歯矯正|オープンバイトと八重歯を改善


充填物の変色を繰り返す前歯のセラミック治療
担当医 大元洋佑


転んで欠けてしまった歯の治療 根管治療とオールセラミッククラウンによる補綴


【ワイヤー矯正】前歯の凸凹を治したい


大きな虫歯ができて歯に穴が開いた オールセラミッククラウン
担当医 有澤哲郎


銀歯をセラミックに変えたい
担当医 草深敏毅


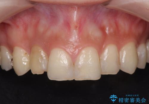
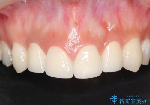
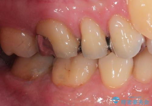
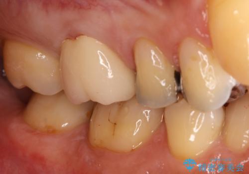
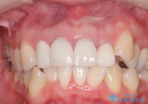
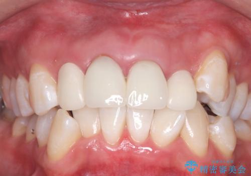
[ 60代から行う矯正治療 ] すれ違った前歯を矯正したい
担当医 大元洋佑
![[ 60代から行う矯正治療 ] すれ違った前歯を矯正したいの症例 治療前](https://seimitsushinbi.jp/wp/wp-content/uploads/2025/05/7d4b62117175bc39b278a3e94528a306-500x350.jpg?v=1747795175)
![[ 60代から行う矯正治療 ] すれ違った前歯を矯正したいの症例 治療後](https://seimitsushinbi.jp/wp/wp-content/uploads/2025/05/ff42471f523f4680b73be1f88aadfafc-500x350.jpg?v=1747795319)








