症例・治療例紹介
Cases
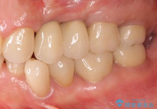
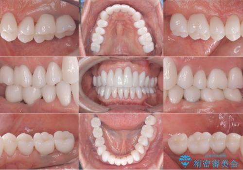
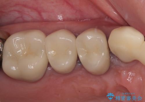
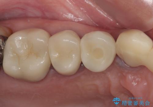
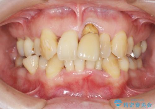
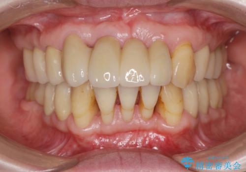
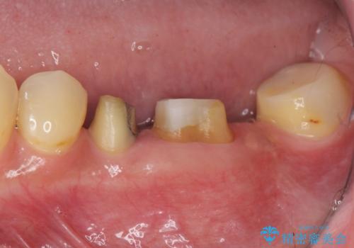
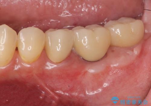
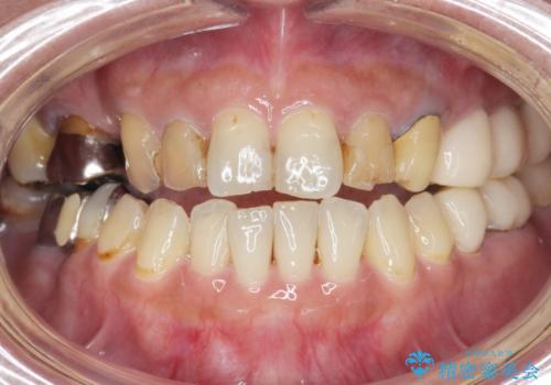
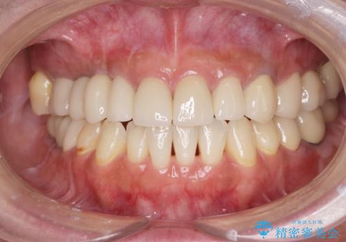
総合歯科治療 → インプラント治療&セラミック治療
1ページ目 / 13
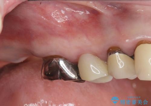
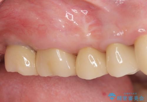
銀歯の除去 長期的な未来を見据えた虫歯治療


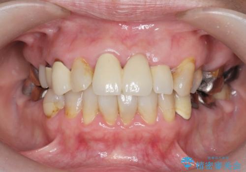
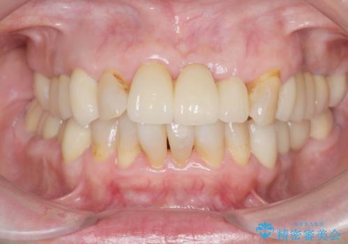
歯がボロボロで咬合崩壊 矯正・インプラント・セラミックで実現する、酸蝕症の総合治療
担当医 河口智英


歯肉から膿が出る 破折した奥歯の抜歯即時埋入インプラント


歯周病 、インプラント、 矯正 全顎治療
担当医 大元洋佑


ブリッジのぐらつき インプラントを用いた奥歯の噛み合わせの再構築


歯ブラシのしやすい環境を整えるインプラント治療


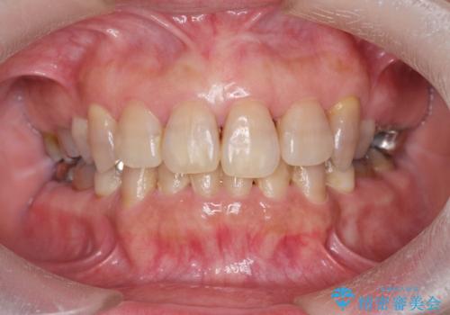
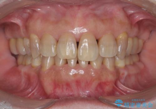
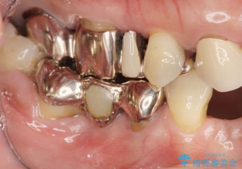
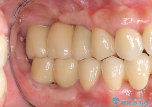
[メタルフリー] 虫歯・銀歯だらけの口腔内を全顎治療
![[メタルフリー] 虫歯・銀歯だらけの口腔内を全顎治療の症例 治療前](https://seimitsushinbi.jp/wp/wp-content/uploads/2025/03/e26a9887bc6905a2f0f51f5772b5ac9c-500x350.jpg?v=1741918285)
![[メタルフリー] 虫歯・銀歯だらけの口腔内を全顎治療の症例 治療後](https://seimitsushinbi.jp/wp/wp-content/uploads/2025/03/530cf6cca6451bc106a9fb69dd58908a-500x350.jpg?v=1741918343)
食いしばりが強い 歯周病全顎治療
担当医 大元洋佑


虫歯・噛み合わせ・インプラント、全顎総合治療
担当医 大元洋佑


全部治療して見た目を良くしたい。


見た目の悪いクラウンをやりかえたい


セラミック インプラント 全顎治療
担当医 大元洋佑


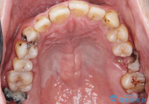
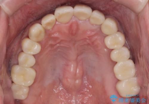
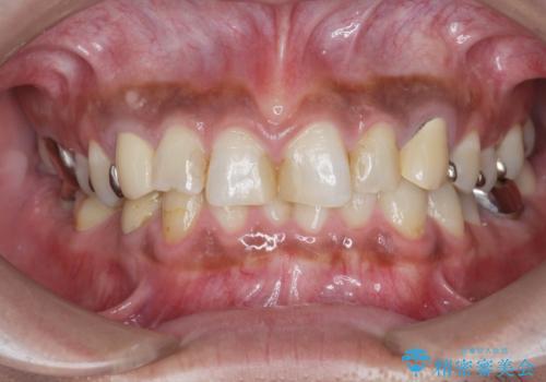
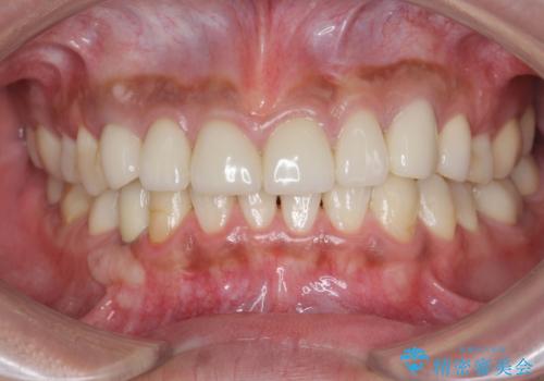
[ 破折し大きく吸収した歯槽骨 ] 他院では難しいと言われたインプラント治療
![[ 破折し大きく吸収した歯槽骨 ] 他院では難しいと言われたインプラント治療の症例 治療前](https://seimitsushinbi.jp/wp/wp-content/uploads/2024/10/073ce5e06775df372887a513b05b34d0-500x350.jpg?v=1729760111)
![[ 破折し大きく吸収した歯槽骨 ] 他院では難しいと言われたインプラント治療の症例 治療後](https://seimitsushinbi.jp/wp/wp-content/uploads/2024/10/7e00d9287463e80cbc3d4b87784b3d86-500x350.jpg?v=1729760167)
セラミック・インプラント治療を含む包括歯周病治療


セラミック治療の注意事項(リスク・副作用など)
- 天然歯を削ります
- 硬い素材は天然歯を傷つけてしまう場合があります
- かみ合わせや歯ぎしりが強すぎる方はセラミックが割れてしまう可能性があります
- 自費診療(保険適用外治療)となります
インプラント治療の注意事項(リスク・副作用など)
- 外科手術のため、術後に痛みや腫れ、違和感を伴います
- メンテナンスを怠ったり喫煙により、お口の中に大きな悪影響を及ぼすインプラント周囲炎等にかかる可能性があります
- 糖尿病、肝硬変、心臓病等の場合、インプラント治療ができない可能性があります
- 高血圧、貧血・不整脈等の場合、インプラント治療後に治癒不全を招く可能性があります
- 自費診療(保険適用外治療)となります


