症例・治療例紹介
Cases
矯正歯科治療 → 非抜歯(歯を抜かない)
1ページ目 / 14
【インビザライン】右側のがたつき治したい


抜歯をせず前歯の角度を改善するマウスピース矯正治療


【クリア装置】すきっ歯を綺麗に改善


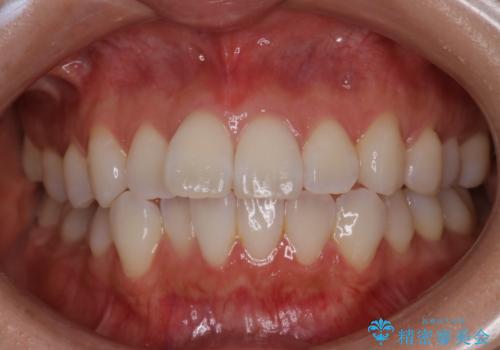
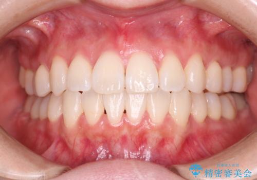
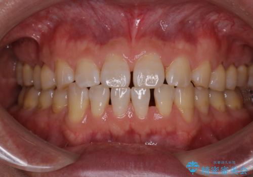
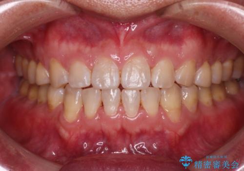
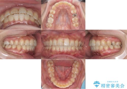
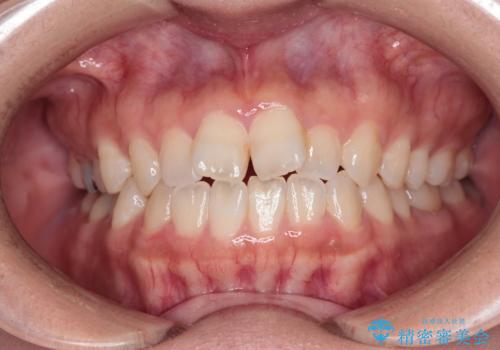
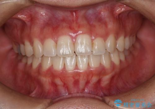
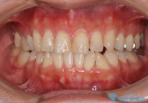
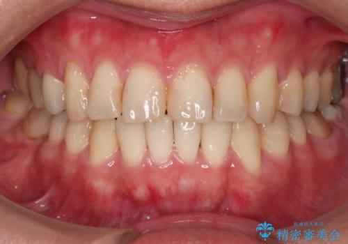
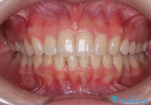
[マウスピース矯正] がたがたの歯並びをきれいにしたい
![[マウスピース矯正] がたがたの歯並びをきれいにしたいの症例 治療前](https://seimitsushinbi.jp/wp/wp-content/uploads/2025/06/0d238550c8a0fddc4de7b2c337c6c786-500x350.jpg?v=1750323380)
![[マウスピース矯正] がたがたの歯並びをきれいにしたいの症例 治療後](https://seimitsushinbi.jp/wp/wp-content/uploads/2025/06/IMG_0002-2-500x350.jpg?v=1750323305)
受け口を治したい インビザライン矯正


インビザライン矯正 短期間で出っ歯を改善


【ワイヤー矯正】前歯の凸凹を治したい


【クリア装置】前歯の捻れが気になる


上下すれ違った前歯の矯正治療


【クリア装置】見た目と噛み合わせを綺麗に


【モニター】インビザライン 前歯の捻れを治したい


下唇に前歯が引っかかる インビザライン矯正でスッキリした口元に


【インビザライン】歯の本数少ないのにがたつきがある セラミックインレー


【インビザラインモニター】前歯のがたつき気になる


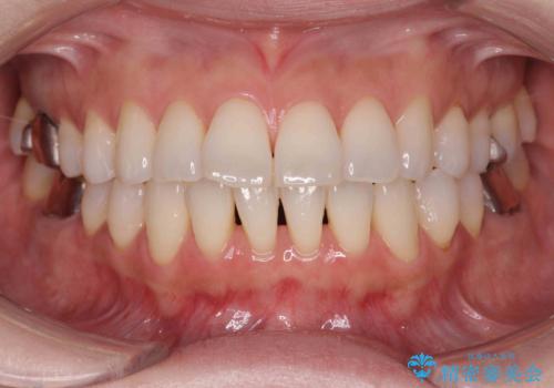
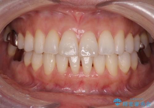
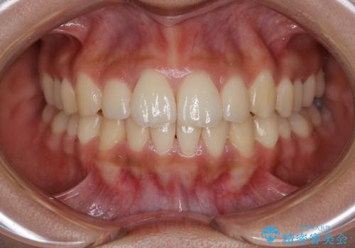
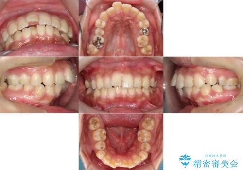
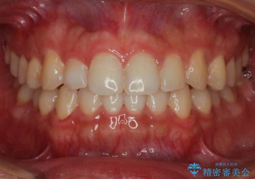
[ 非抜歯矯正 ] 歯を抜かずに出っ歯の治療
![[ 非抜歯矯正 ] 歯を抜かずに出っ歯の治療の症例 治療前](https://seimitsushinbi.jp/wp/wp-content/uploads/2025/03/IMG_6660-500x350.jpg?v=1741945892)
![[ 非抜歯矯正 ] 歯を抜かずに出っ歯の治療の症例 治療後](https://seimitsushinbi.jp/wp/wp-content/uploads/2025/03/IMG_7513-500x350.jpg?v=1741945816)
ワイヤー矯正歯科治療の注意事項(リスク・副作用など)
- 治療中は違和感や痛みが起こることがあります
- 症状により、抜歯が必要な場合があります
- 治療中は歯磨きがしにくくなるため、虫歯や歯周病になりやすくなります
- 矯正治療後の保定が不十分だと後戻り(元の位置に戻ろうとする動き)をします
- 自費診療(保険適用外)となります
マウスピース矯正の注意事項(リスク・副作用など)
- 口腔内・歯並びの状態によっては対応できない場合があります
- マウスピース型矯正装置の長時間装着が必須です
- 治療計画通りに進めるためには、患者様の意志が重要になります
- 矯正治療後の保定が不十分だと後戻り(元の位置に戻ろうとする動き)をします
- 自費診療(保険適用外)となります
