症例・治療例紹介
Cases
根管治療 → イニシャルトリートメント
1ページ目 / 7
前歯の根のところに違和感がある|根尖性歯周炎|精密根管治療|オールセラミッククラウン|見た目も改善


何もしなくても歯がズキズキ痛い 根管治療とオールセラミッククラウンによる補綴


転んで欠けてしまった歯の治療 根管治療とオールセラミッククラウンによる補綴


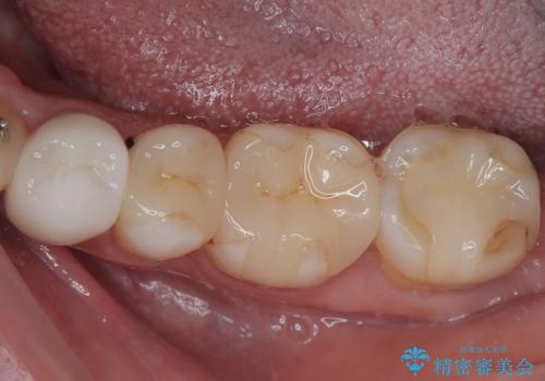
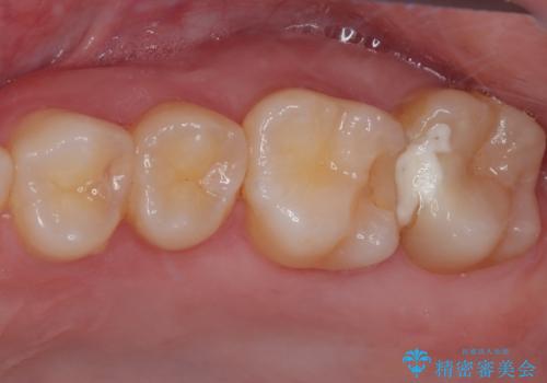
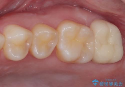
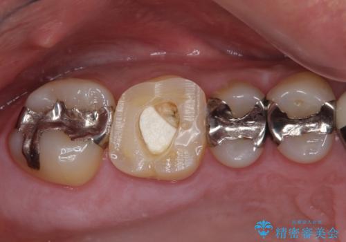
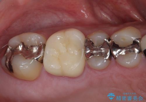
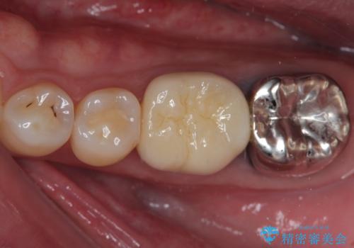
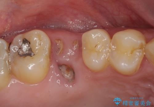
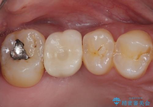
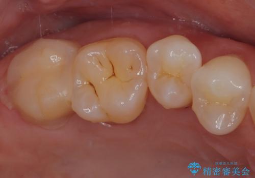
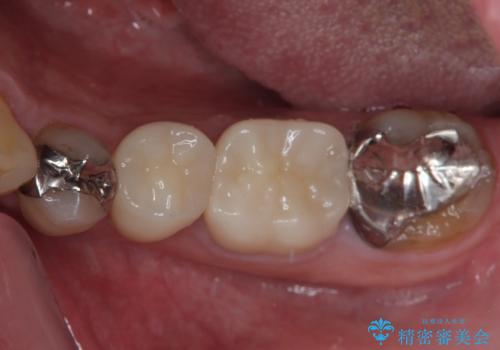
奥歯のむし歯が痛い セラミックによるむし歯治療


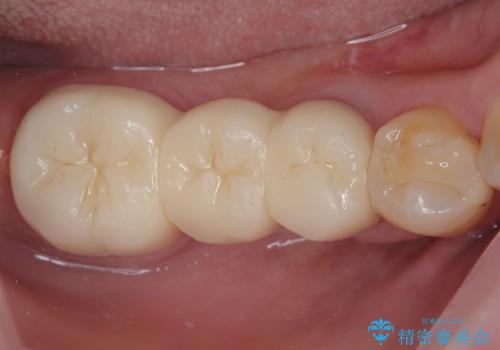
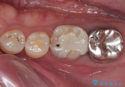
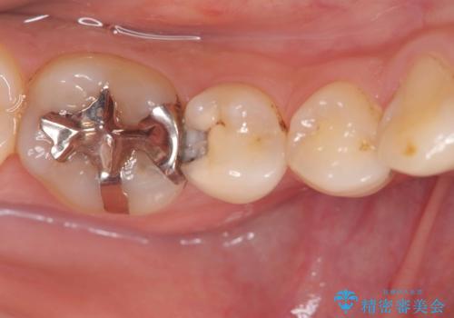
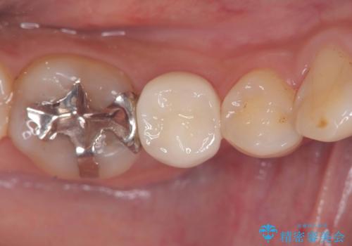
治療途中の奥歯 オールセラミッククラウンでのむし歯治療


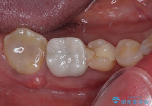
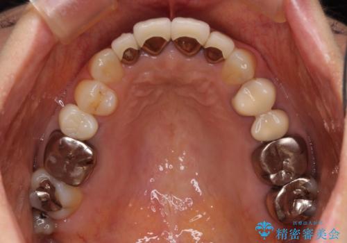
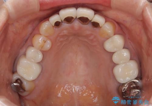
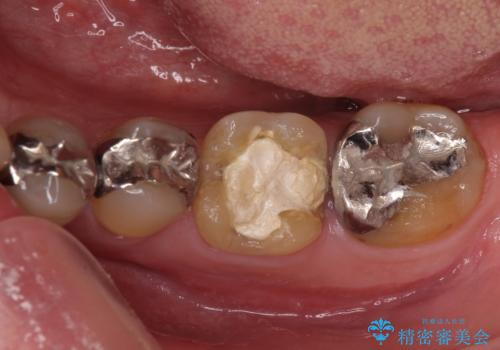
目立つ銀歯をやり替えたい。オールセラミックブリッジによる治療
担当医 齋藤佑磨


ものが噛めないほどの激痛 根管治療とセラミックのむし歯治療


虫歯治療|歯を長持ちさせるための治療|セラミッククラウン|審美回復|精密根管治療


破折して抜歯が必要となった奥歯 オールセラミックブリッジ治療


痛みを感じる上顎大臼歯 ゴールドクラウンの補綴治療


目立つ銀歯をセラミックに 奥歯の審美歯科治療


放置していたむし歯 抜歯即時埋入インプラントで負担を軽減


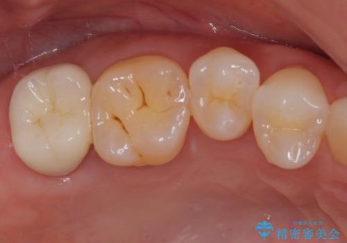
食事をすると痛む奥歯 オールセラミッククラウンでのむし歯治療


伸び出してきた上顎奥歯 部分矯正を用いた奥歯の補綴治療


何度通院しても痛みが引かない 転医による根管治療


根管治療の注意事項(リスク・副作用など)
- 根管治療により類似の全ての症例の問題が解決するわけではなく、症例はあくまでも一例です
- 根管治療により痛みや腫れがひかない事や、術後に痛みや腫れが生じる事、治療によるファイル破折やパーフォレーションなどの偶発症、術後の歯根破折を生じる可能性もあります
- 自費診療(保険適用外)となります
