症例・治療例紹介
Cases
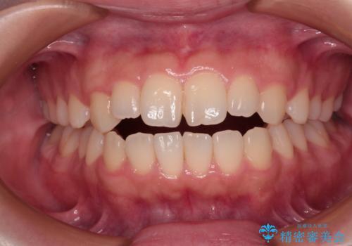
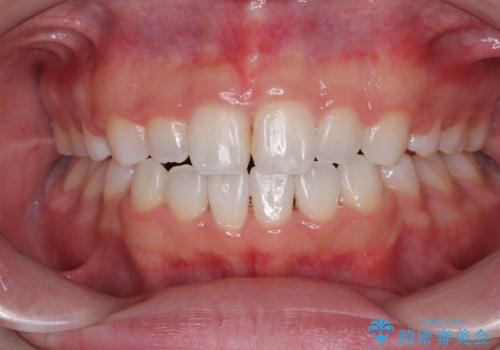
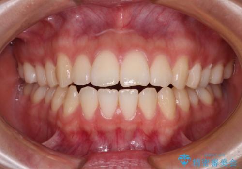
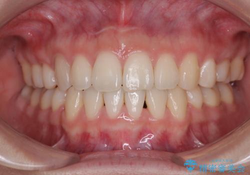
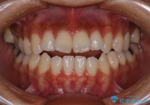
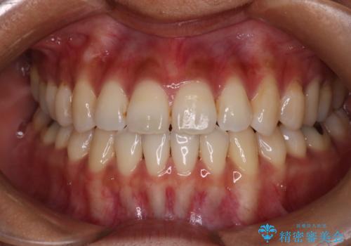
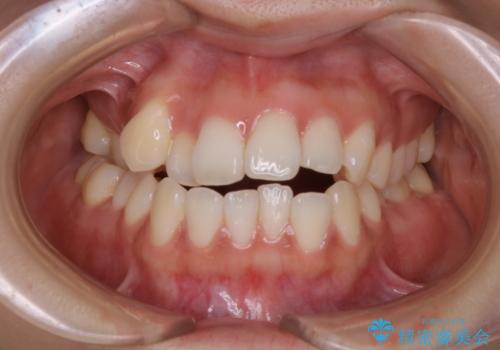
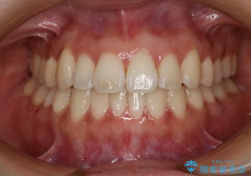
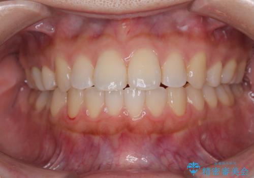
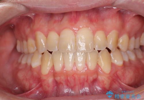
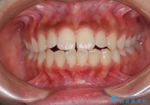
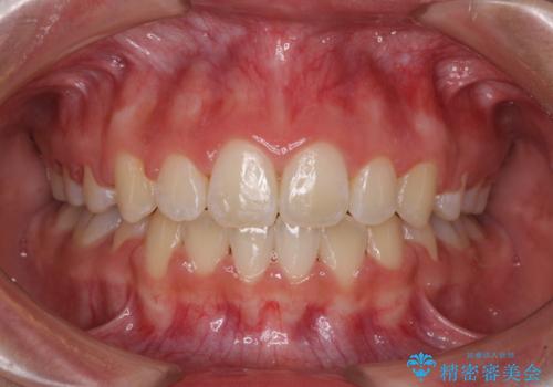
矯正歯科治療 → 開咬(オープンバイト)
1ページ目 / 8
【審美装置】前歯で噛めない!抜歯しないで治したい


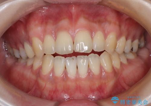
MARPEで非抜歯矯正|オープンバイトと八重歯を改善


【モニター】舌突出癖で隙間が ワイヤー装置での抜歯矯正


非接触の前歯と下顎のデコボコ ワイヤー装置による矯正治療


横顔の印象を変えたい ワイヤー装置での抜歯矯正


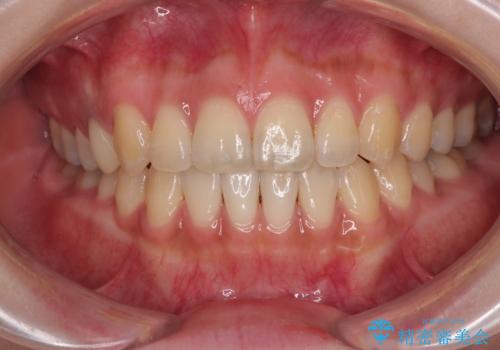
【モニター】開咬(オープンバイト)を治したい ワイヤー装置


前歯のがたつき、臼歯部クロスバイトとオープンバイト:インビザライン治療


再矯正 開咬に後戻りした歯列をインビザラインで改善
担当医 藤巻太一朗


開咬をワイヤー装置で矯正治療
担当医 藤巻太一朗


オープンバイトをインビザラインで矯正治療


非抜歯、ワイヤーでの矯正治療。歯のがたつき、顎のズレ、出っ歯を治す。インビザラインが使えない方


歪んだ歯列を超短期治療!


くちばしのように突出した前歯 口元を下げる抜歯矯正


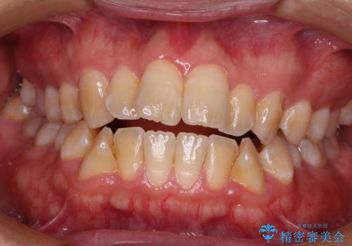
【非抜歯】上下の前歯が噛み合わないオープンバイトの治療


開咬と前方に飛び出した前歯 インビザラインによる矯正治療
担当医 藤巻太一朗


ワイヤー矯正歯科治療の注意事項(リスク・副作用など)
- 治療中は違和感や痛みが起こることがあります
- 症状により、抜歯が必要な場合があります
- 治療中は歯磨きがしにくくなるため、虫歯や歯周病になりやすくなります
- 矯正治療後の保定が不十分だと後戻り(元の位置に戻ろうとする動き)をします
- 自費診療(保険適用外)となります
マウスピース矯正の注意事項(リスク・副作用など)
- 口腔内・歯並びの状態によっては対応できない場合があります
- マウスピース型矯正装置の長時間装着が必須です
- 治療計画通りに進めるためには、患者様の意志が重要になります
- 矯正治療後の保定が不十分だと後戻り(元の位置に戻ろうとする動き)をします
- 自費診療(保険適用外)となります
