症例・治療例紹介
Cases
その他 → 自家歯牙移植
1ページ目 / 2
大臼歯の欠損をインプラントを使わず矯正で閉鎖|親知らずの活用による咬合改善


【歯牙移植】親知らずを移植して、インプラントを回避。
担当医 河口智英


親知らずの移植 4年半経過症例 70代女性


金属アレルギー インプラントは嫌 親知らずの移植 30代女性


インプラントも入れ歯も嫌 親知らずの移植 20代女性


歯が割れた 親知らずの移植 30代女性


インプラントは嫌 親知らずの移植 50代女性


全顎的に多発した虫歯治療


自家歯牙移植


親知らずの移植 70代女性


親知らずの移植 20代女性


親知らずの移植 40代女性


外科処置の注意事項(リスク・副作用など)
- 外科手術のため、術後に出血、痛みや腫れ、違和感を伴います
- 口腔内の状態によっては適応できないことがあります





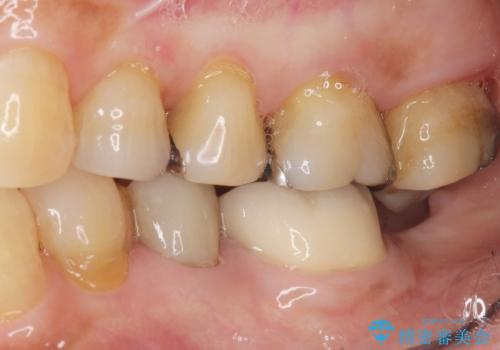
![[親知らずの移植] インプラントを用いない咬合回復の症例 治療前](https://seimitsushinbi.jp/wp/wp-content/uploads/2017/09/dcee39cf917a7a352bc6fcb0183543af-500x350.jpg)
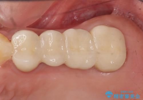
![[親知らずの移植] インプラントを用いない咬合回復の症例 治療後](https://seimitsushinbi.jp/wp/wp-content/uploads/2017/09/609c83174eb270ca046e1500a1298cd6-500x350.jpg)