症例・治療例紹介
Cases
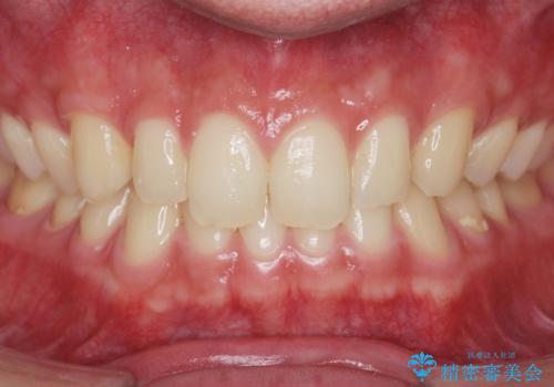
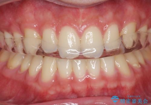
その他
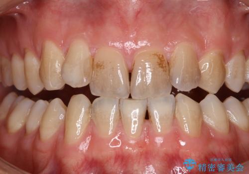
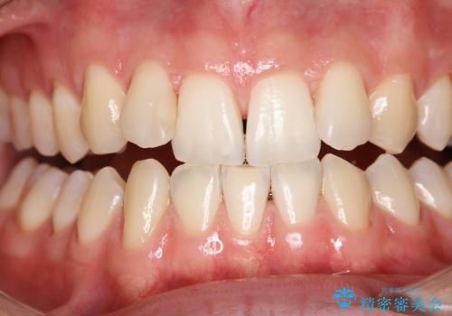
クリーニング(PMTC)掲載症例数554件
最新 クリーニング(PMTC)症例


ホワイトニング掲載症例数239件
最新 ホワイトニング症例


親知らず・埋伏歯の抜歯掲載症例数39件
最新 親知らず・埋伏歯の抜歯症例


静脈内鎮静法掲載症例数13件


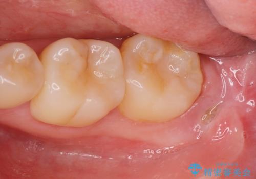
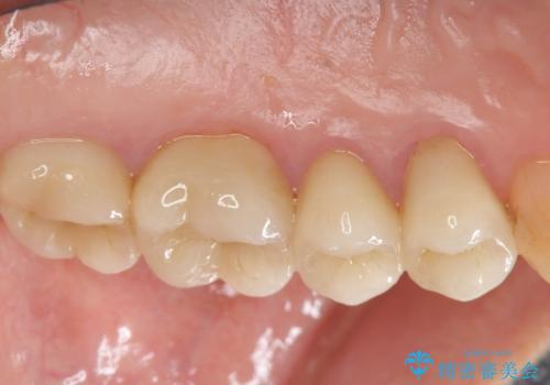
虫歯治療掲載症例数84件
最新 虫歯治療症例


入れ歯掲載症例数57件


歯ぎしり・食いしばり・ナイトガード掲載症例数22件
最新 歯ぎしり・食いしばり・ナイトガード症例


自家歯牙移植掲載症例数19件
最新 自家歯牙移植症例


舌小帯・上唇小帯切除掲載症例数70件
最新 舌小帯・上唇小帯切除症例


骨隆起の除去掲載症例数17件


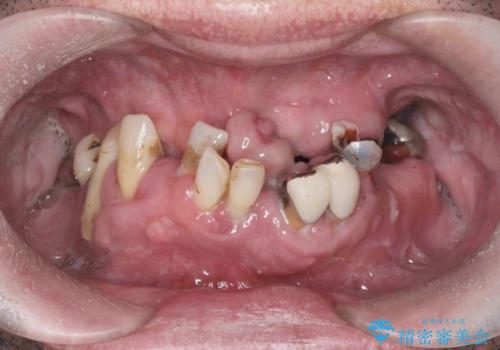
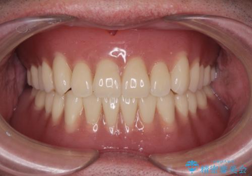
その他の治療掲載症例数45件
最新 その他の治療症例


