症例・治療例紹介
Cases
根管治療 → 生活歯髄療法
1ページ目 / 1
【セラミッククラウン】【生活歯髄療法】歯に穴が空いている


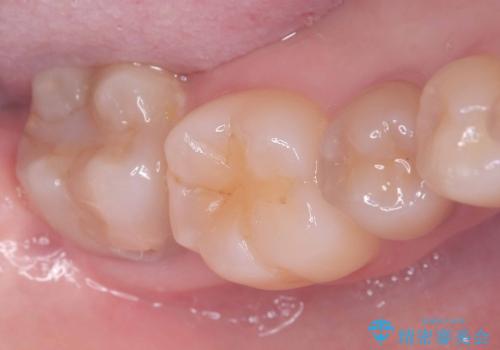
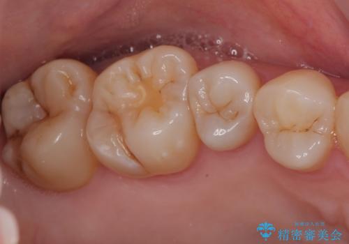
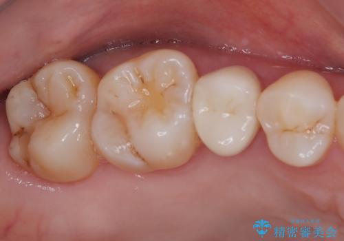
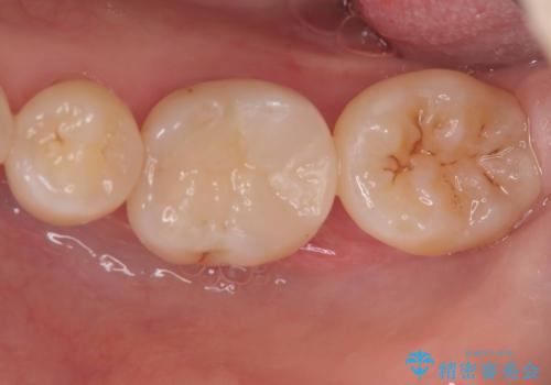
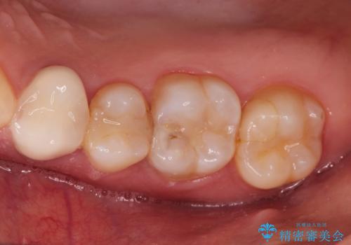
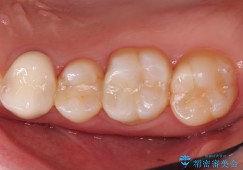
奥歯がしみる オールセラミッククラウンによる奥歯のむし歯治療


サーフィンで前歯をぶつけて歯が欠けた|かかりつけ医で治療困難と言われ当院へ来院|VPT(生活歯髄療法)で神経を保存|前歯の見た目も改善


神経を残す治療|VPT|生活歯髄療法|オールセラミッククラウン|神経を残しながらクロスバイトの改善!


オールセラミッククラウンによる奥歯のむし歯治療


【VPT/歯髄温存療法・オールセラミッククラウン】虫歯が深く神経まで達していたが健康な神経は残す治療!


奥歯がしみる 神経を温存する治療


【MTAを用いた生活歯髄療法】神経に到達する深い虫歯


40代男性 虫歯 歯の神経を残したい(歯髄温存療法)


根管治療の注意事項(リスク・副作用など)
- 根管治療により類似の全ての症例の問題が解決するわけではなく、症例はあくまでも一例です
- 根管治療により痛みや腫れがひかない事や、術後に痛みや腫れが生じる事、治療によるファイル破折やパーフォレーションなどの偶発症、術後の歯根破折を生じる可能性もあります
- 自費診療(保険適用外)となります






