電話予約
無料相談予約
選ばれる理由
Reason
歯科医師紹介
Doctor
診療科目
Services
症例写真
Case photo
動画
Movie
治療費一覧
Price
医院紹介
Clinic
症例・治療例紹介
Cases
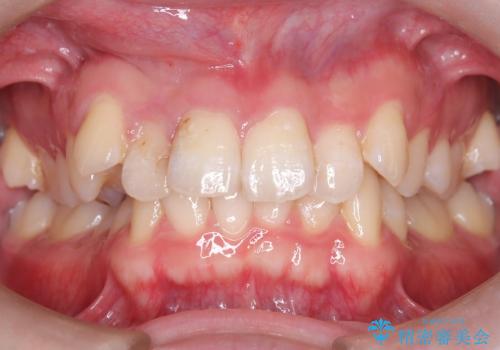
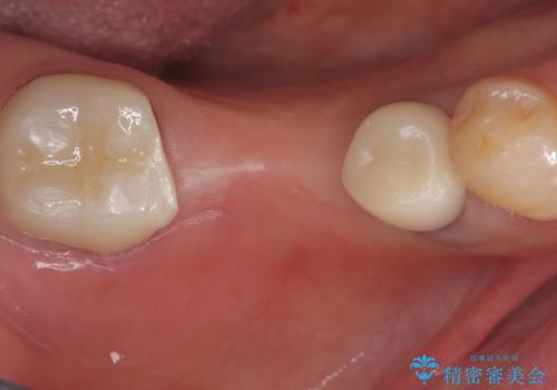
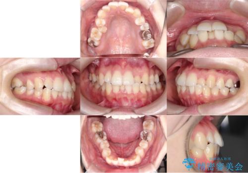
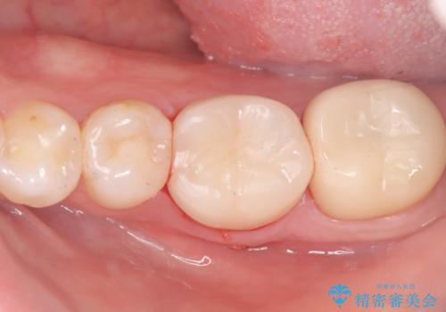
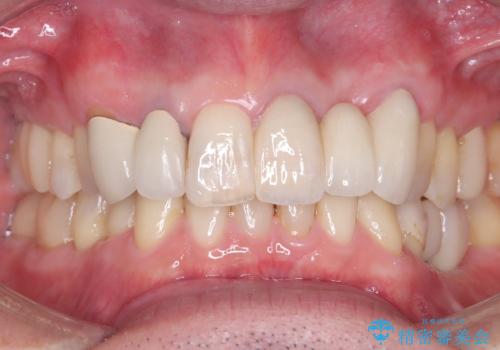
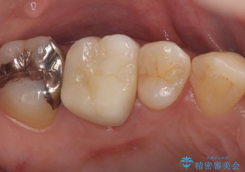
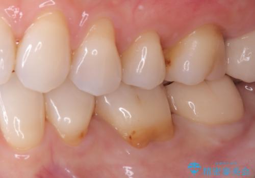
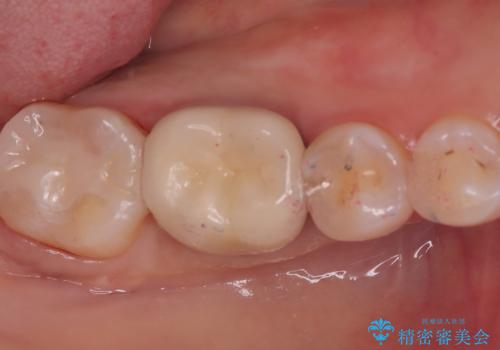
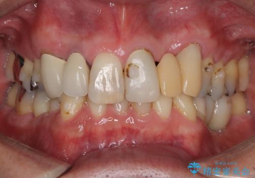
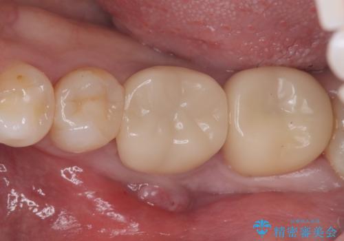
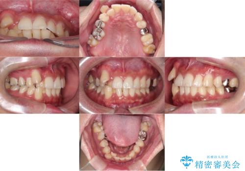
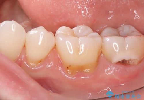
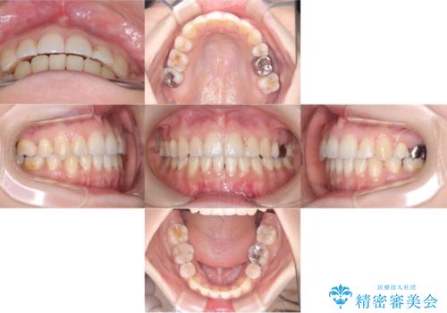
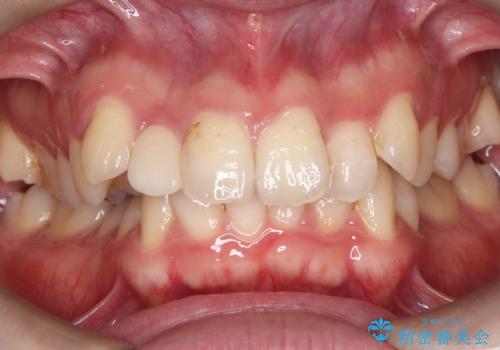
Dr. 町田睦月の症例写真
1ページ目 / 5
担当医 町田睦月<2026年1月28日更新>
担当医 町田睦月<2025年12月29日更新>
担当医 町田睦月<2025年12月1日更新>
担当医 町田睦月<2025年11月29日更新>
担当医 町田睦月<2025年11月18日更新>
担当医 町田睦月<2025年10月7日更新>
担当医 町田睦月<2025年10月10日更新>
担当医 町田睦月<2025年10月1日更新>
担当医 町田睦月<2025年9月3日更新>