症例・治療例紹介
Cases
Dr. 河野豊嘉の症例写真
1ページ目 / 6
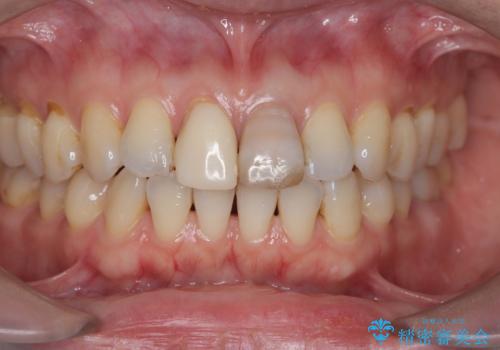
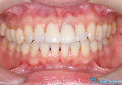
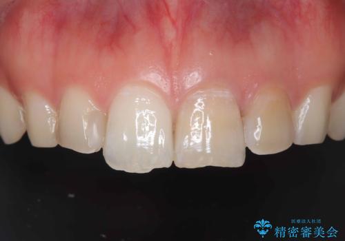
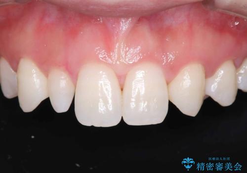
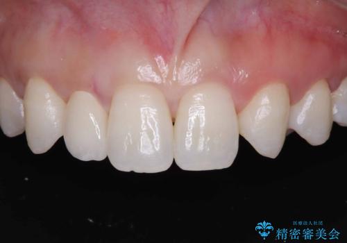
前歯の色が気になる!|他院で抜歯と言われた|歯を残したい|精密根管治療とオールセラミッククラウンで治療


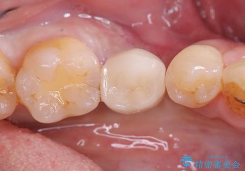
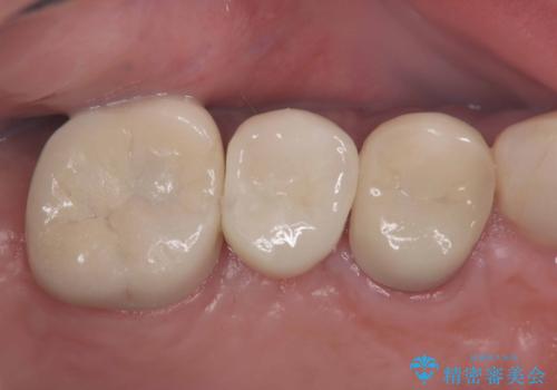
エンドペリオ病変と虫歯を同時に改善したインプラント・セラミック治療症例


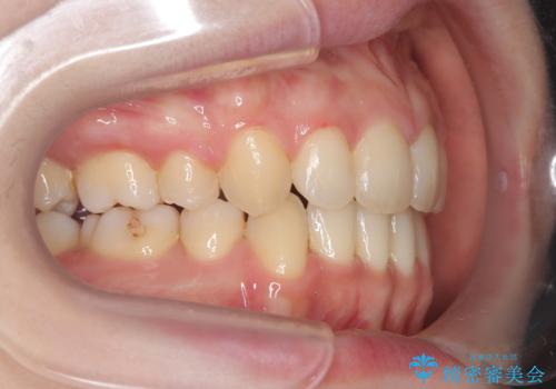
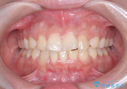
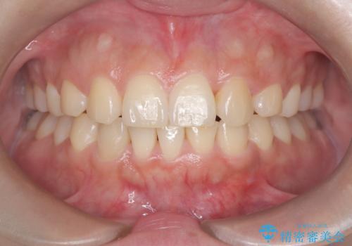
必ずしもワイヤーでなくても大丈夫!インビザラインでデコボコ歯列&過蓋咬合を改善


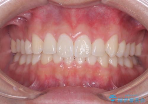
非抜歯矯正で八重歯を改善|短期間8か月で美しい歯並びに|インビザラインライト上顎のみで矯正


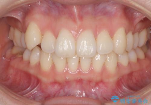
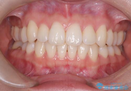
口ボコと歯のデコボコが気になる!|前歯が出ていて口が閉じにくい|審美ワイヤー矯正による口元の改善!


抜歯即時インプラント|切開しないので低侵襲治療|痛く無い治療!


前歯が痛い!|歯の色が気になる!|精密根管治療後、オールセラミッククラウンで審美修復
担当医 河野豊嘉


歯のデコボコ|口ボコ|八重歯が気になる!|ワイヤー矯正


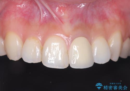
前歯の見た目が気になる!|矮小歯をオールセラミッククラウンで綺麗な形に!|審美回復
担当医 河野豊嘉


前歯の根のところに違和感がある|根尖性歯周炎|精密根管治療|オールセラミッククラウン|見た目も改善


歯のデコボコを治したい|インビザラインで綺麗な歯並びに!|矯正期間は6ヵ月!
担当医 河野豊嘉


20年前にいれたインプラント|インプラント周囲炎|古いインプラントを除去しインプラント再埋入|痛く無いインプラント治療


前歯の色が気になる!|オールセラミッククラウン
担当医 河野豊嘉


痛く無いインプラント治療!|残根状態の治療




