症例・治療例紹介
Cases
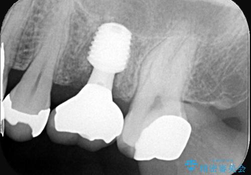
インプラント治療 → 奥歯インプラント
1ページ目 / 36
銀歯の除去 長期的な未来を見据えた虫歯治療


歯肉から膿が出る 破折した奥歯の抜歯即時埋入インプラント


抜歯が必要な歯をインプラントに 短期間インプラント治療


欠損の多い奥歯 インプラントによる補綴治療


顕微鏡で確認した歯の破折。抜歯即時インプラントで治療


歯周病でグラグラの歯 矯正治療と歯周外科を併用した総合歯科治療


奥歯で噛みたい 破折した歯のインプラント治療


治療途中の虫歯の歯をインプラントにしたい インプラント治療


20年前にいれたインプラント|インプラント周囲炎|古いインプラントを除去しインプラント再埋入|痛く無いインプラント治療


全顎 虫歯 インプラント治療


割れてしまった奥歯 インプラント治療


痛く無いインプラント治療!|残根状態の治療


インプラント治療の注意事項(リスク・副作用など)
- 外科手術のため、術後に痛みや腫れ、違和感を伴います
- メンテナンスを怠ったり喫煙により、お口の中に大きな悪影響を及ぼすインプラント周囲炎等にかかる可能性があります
- 糖尿病、肝硬変、心臓病等の場合、インプラント治療ができない可能性があります
- 高血圧、貧血・不整脈等の場合、インプラント治療後に治癒不全を招く可能性があります
- 自費診療(保険適用外治療)となります

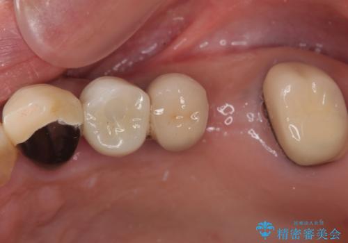
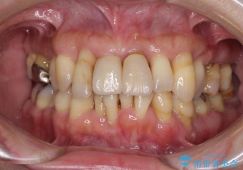
![[ インプラント治療 ] 銀歯から臭いがする 膿が出ているの症例 治療前](https://seimitsushinbi.jp/wp/wp-content/uploads/2025/07/471bf4d2a6de4ce4c3ea24b9ba22af0a-500x350.jpg?v=1752742043)
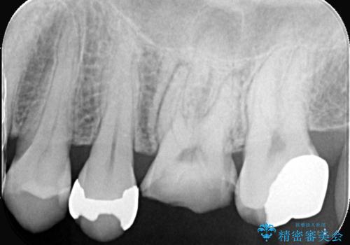
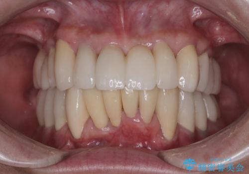
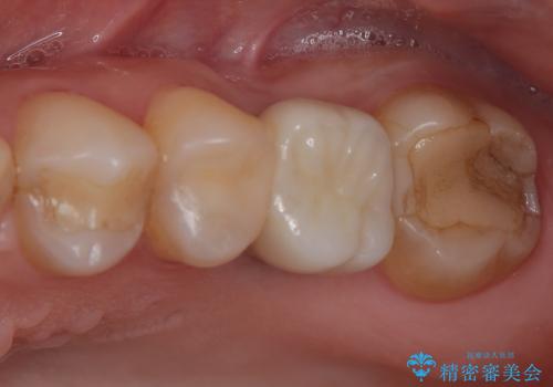
![[ インプラント治療 ] 銀歯から臭いがする 膿が出ているの症例 治療後](https://seimitsushinbi.jp/wp/wp-content/uploads/2025/07/81649c35b8ff8d838aad5eb8cfc4d08d-500x350.jpg?v=1752742109)


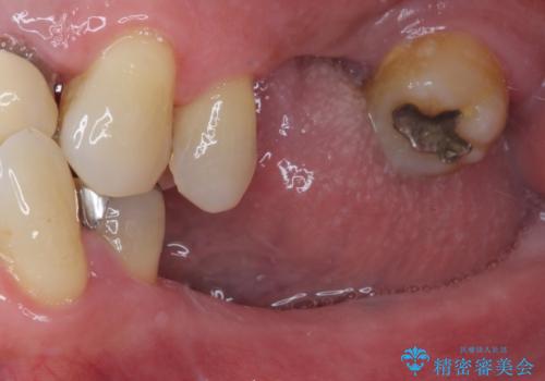
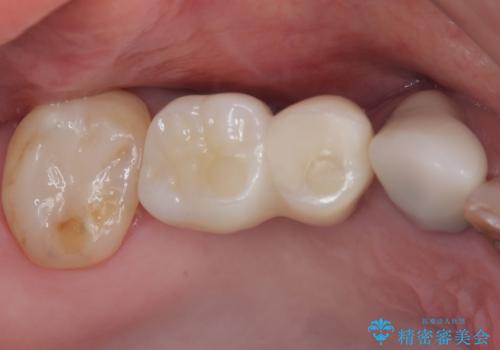
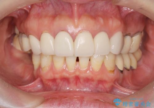
![[ インプラント治療 ] 失った奥歯の機能回復の症例 治療前](https://seimitsushinbi.jp/wp/wp-content/uploads/2025/06/f97c62c47b5d502ae2f981a989f5d56a-500x350.jpg?v=1750500017)
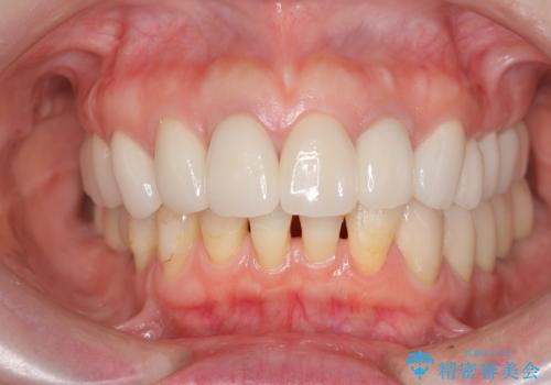
![[ インプラント治療 ] 失った奥歯の機能回復の症例 治療後](https://seimitsushinbi.jp/wp/wp-content/uploads/2025/06/536979783674da3f0c00f42084f7eec5-500x350.jpg?v=1750500041)