症例・治療例紹介
Cases
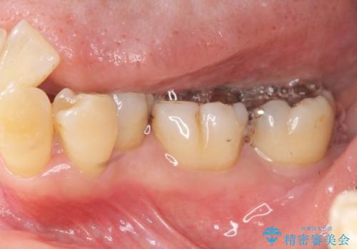
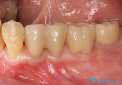
歯周病治療 → 歯周ポケットの除去
1ページ目 / 7
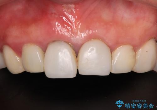
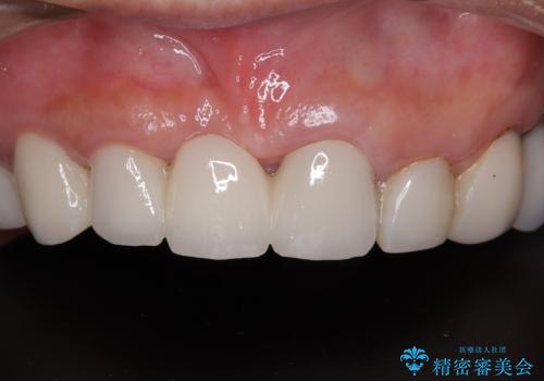
[ 歯周病・矯正・セラミック補綴 ] 歯の総合的なマネージメントを行う包括的歯科治療の実践
![[ 歯周病・矯正・セラミック補綴 ] 歯の総合的なマネージメントを行う包括的歯科治療の実践の症例 治療前](https://seimitsushinbi.jp/wp/wp-content/uploads/2025/10/7db12d5413070a950bc6275b957b7f9f-500x350.jpg?v=1760767674)
![[ 歯周病・矯正・セラミック補綴 ] 歯の総合的なマネージメントを行う包括的歯科治療の実践の症例 治療後](https://seimitsushinbi.jp/wp/wp-content/uploads/2025/10/eaeb8f32e6e2496b4cca2d55d85ba36c-500x350.jpg?v=1760768149)
新幹線通院 地元で断られた奥歯のむし歯治療


歯周ポケットの除去を併用したセラミック治療


歯周病でグラグラの歯 矯正治療と歯周外科を併用した総合歯科治療


歯周病再生治療と歯周ポケット除去 歯周外科手術


歯周病 、インプラント、 矯正 全顎治療
担当医 大元洋佑


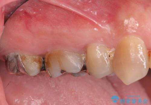
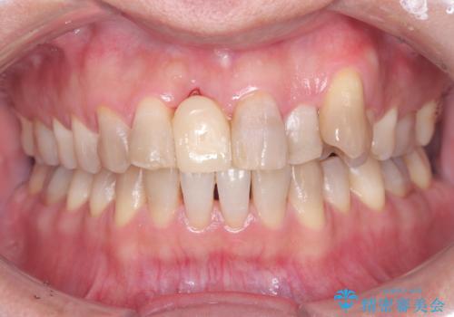
[ 歯周病治療 ] 無症状に進行した歯周病、歯周外科を用いたセラミック治療
![[ 歯周病治療 ] 無症状に進行した歯周病、歯周外科を用いたセラミック治療の症例 治療前](https://seimitsushinbi.jp/wp/wp-content/uploads/2025/04/7de572092e0b4c32e52888705b7eb14e-500x350.jpg?v=1745219693)
![[ 歯周病治療 ] 無症状に進行した歯周病、歯周外科を用いたセラミック治療の症例 治療後](https://seimitsushinbi.jp/wp/wp-content/uploads/2025/04/0ae1401da43ede0ff95e1f4a18608fde-500x350.jpg?v=1745219742)
歯周ポケットの除去と再補綴治療


歯周病治療とエアーフロー


食いしばりが強い 歯周病全顎治療
担当医 大元洋佑


割れてしまった歯と深いむし歯 部分矯正と外科処置で安定したブリッジ治療


セラミック・インプラント治療を含む包括歯周病治療


激痛の奥歯のむし歯治療 折角なので矯正治療もしたい


隙間をセラミックで閉じたら不格好で歯肉から出血 矯正治療と歯周外科で綺麗な前歯に


歯周病治療の注意事項(リスク・副作用など)
- 外科手術のため、術後に痛みや腫れ、違和感を伴います
- 歯周組織再生治療は患者様の状態によって術後の経過が異なります(見た目が改善しない場合もあります)
- 歯周組織再生治療は自費診療(保険適用外)となります


