症例・治療例紹介
Cases
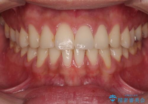
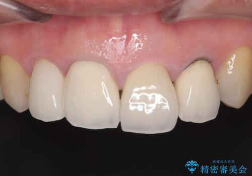
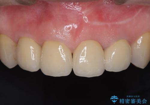
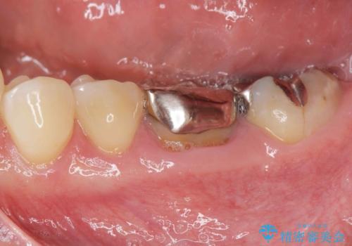
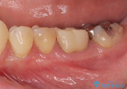
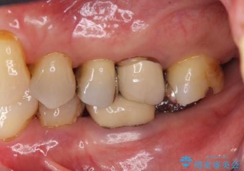
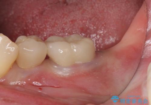
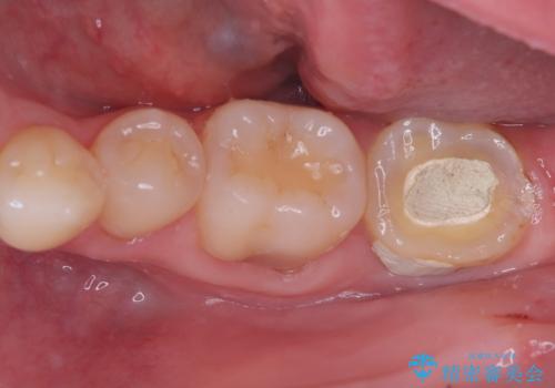
総合歯科治療 → 根管治療&セラミック治療
1ページ目 / 14
銀歯の除去 長期的な未来を見据えた虫歯治療


歯がボロボロで咬合崩壊 矯正・インプラント・セラミックで実現する、酸蝕症の総合治療
担当医 河口智英


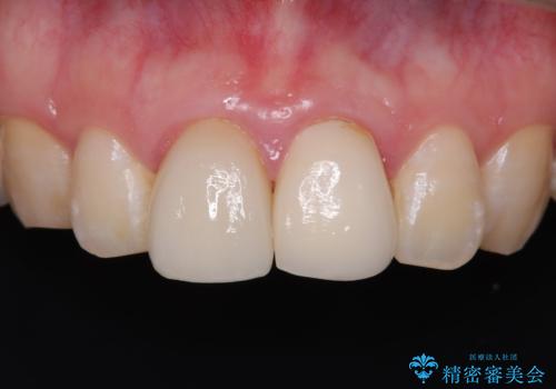
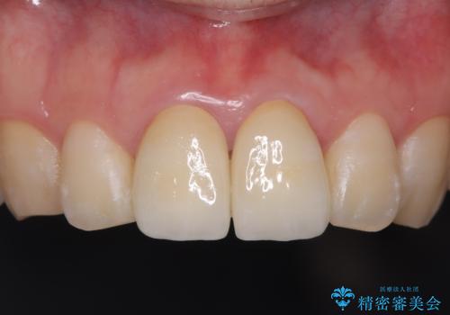
前歯の根のところに違和感がある|根尖性歯周炎|精密根管治療|オールセラミッククラウン|見た目も改善


銀歯・虫歯・治療途中の歯を治していきたい


転んで欠けてしまった歯の治療 根管治療とオールセラミッククラウンによる補綴


右の奥歯を機能回復|再根管治療とインプラントでしっかり噛める歯へ


前歯4本のセラミック治療|抜歯即時インプラント+歯根端切除術で機能と美しさを回復


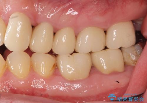
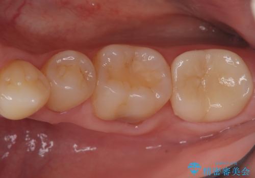
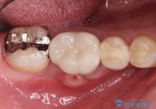
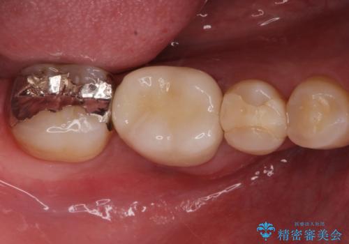
汚れの溜まりやすい銀歯を精度の高いセラミック治療で改善


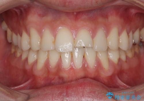
虫歯・噛み合わせ・インプラント、全顎総合治療
担当医 大元洋佑


70代女性 段差のある被せ物のやり替え


全部治療して見た目を良くしたい。


他院の根管治療後の違和感を解消!精密な根管治療で健康な歯を守る
担当医 河口智英


歯茎が腫れた。ジルコニアクラウンやりかえ。


セラミック インプラント 全顎治療
担当医 大元洋佑


セラミック治療の注意事項(リスク・副作用など)
- 天然歯を削ります
- 硬い素材は天然歯を傷つけてしまう場合があります
- かみ合わせや歯ぎしりが強すぎる方はセラミックが割れてしまう可能性があります
- 自費診療(保険適用外治療)となります
根管治療の注意事項(リスク・副作用など)
- 根管治療により類似の全ての症例の問題が解決するわけではなく、症例はあくまでも一例です
- 根管治療により痛みや腫れがひかない事や、術後に痛みや腫れが生じる事、治療によるファイル破折やパーフォレーションなどの偶発症、術後の歯根破折を生じる可能性もあります
- 自費診療(保険適用外)となります


