
当グループ実績
Achievements
- 初回無料相談数
- 2015~2025年6月
- 000件
- セラミッククラウン
- 2009~2025年6月
- 000本
- セラミックインレー
- 2009~2025年6月
- 000本
- 矯正歯科治療
- 2012~2025年6月
- 000件
- インビザライン
- 2015~2025年6月
- 000件
- 精密根管治療
- 2012~2025年6月
- 000歯
精密審美会について
About
- 患者様から選ばれる理由
- 歯科医師紹介
医院紹介(全8医院)
8 Clinics
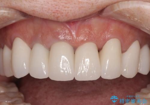
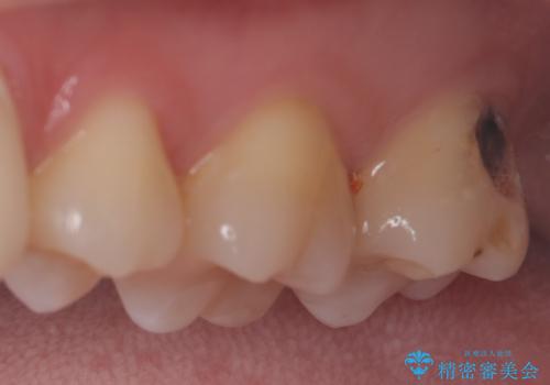
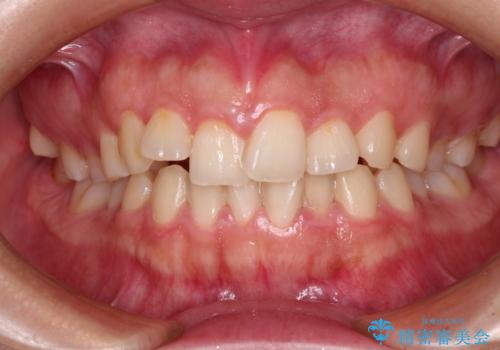
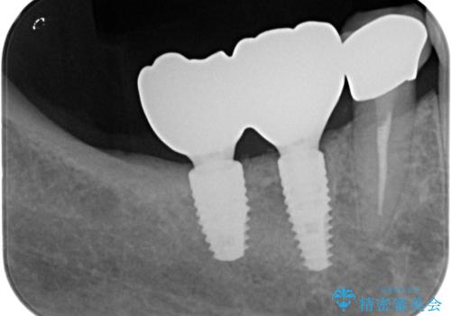
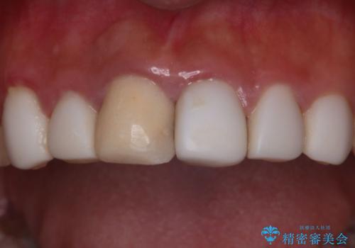
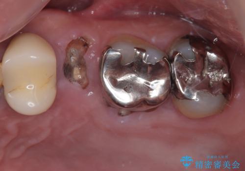
最新の症例
Latest cases
新着情報
Information



























