症例・治療例紹介
Cases
Dr. 河口智英の症例写真
1ページ目 / 36
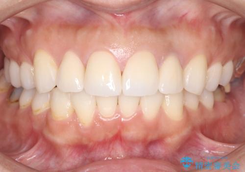
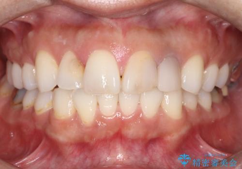
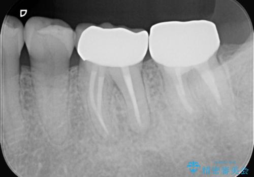
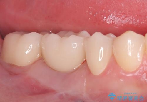
根の病変を精密治療で改善。再発を防ぐ根管治療とオールセラミッククラウン
担当医 河口智英


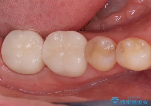
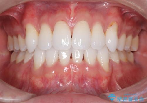
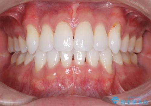
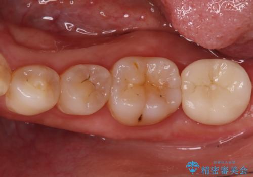
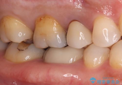
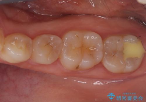
繰り返すプラスチックの欠けを解消。広範囲の修復に適したセラミッククラウン
担当医 河口智英


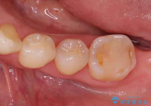
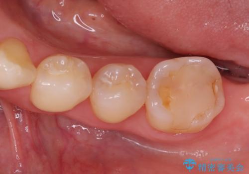
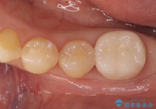
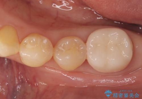
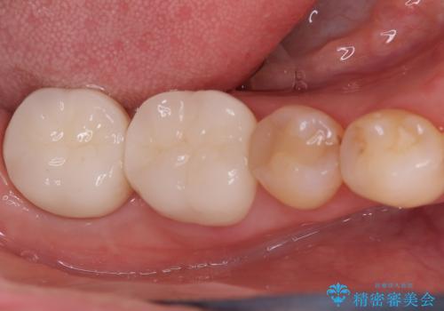
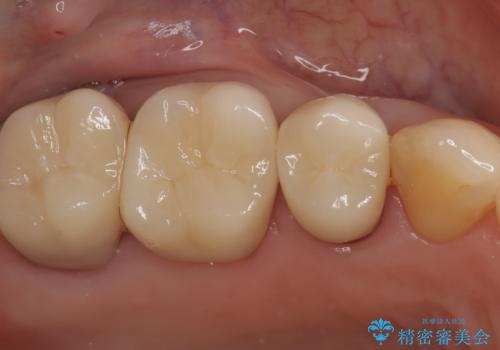
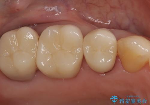
欠けやすい大きなプラスチック充填から、耐久性の高いセラミッククラウンへ
担当医 河口智英


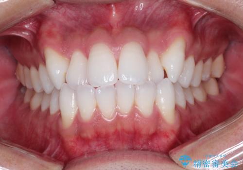
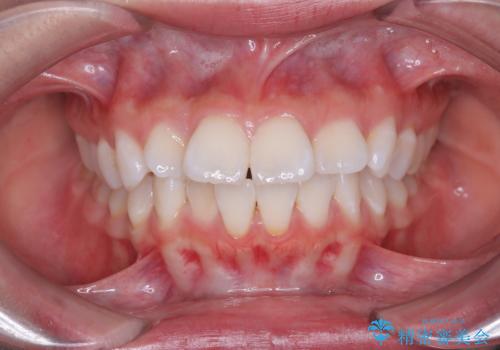
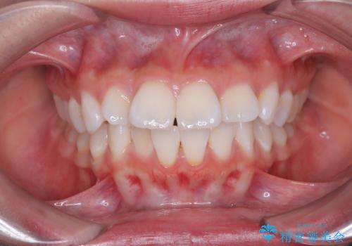
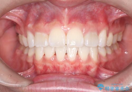
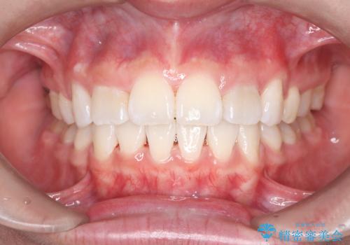
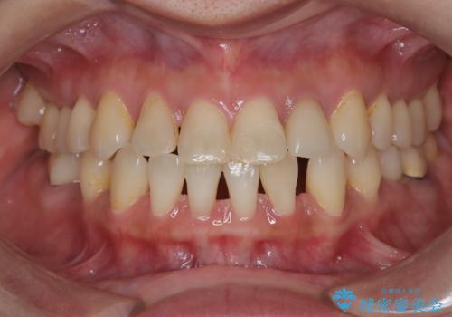
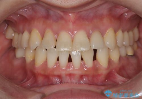
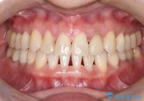
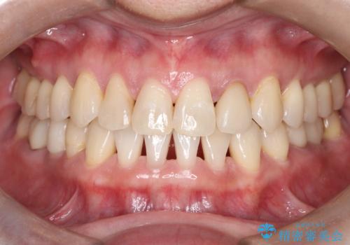
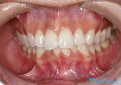
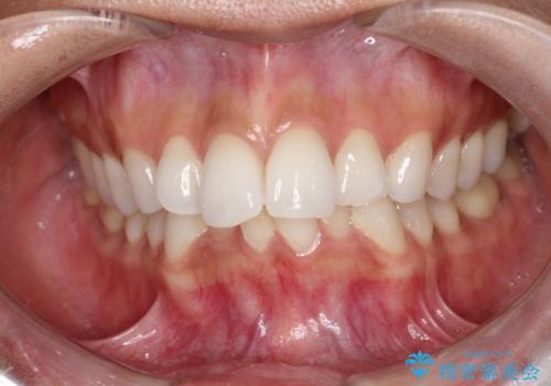
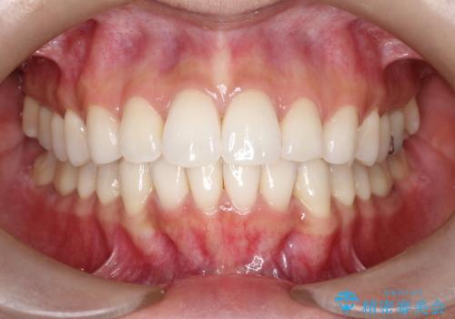
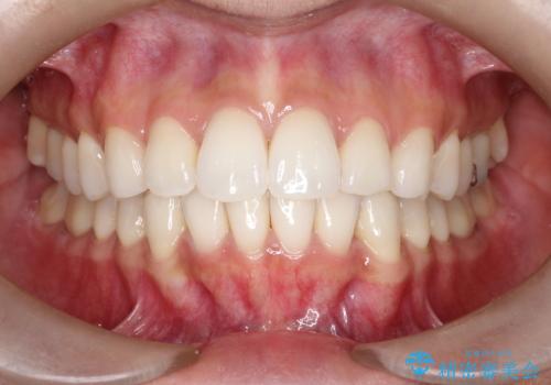
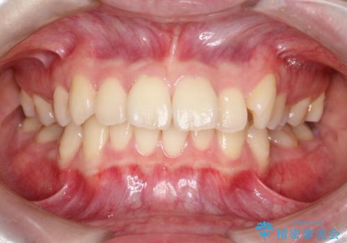
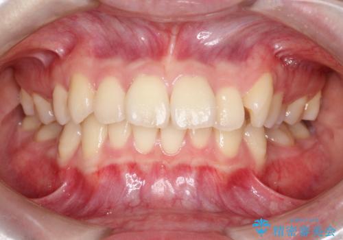
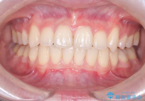
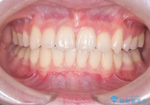
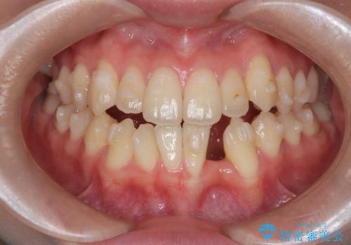
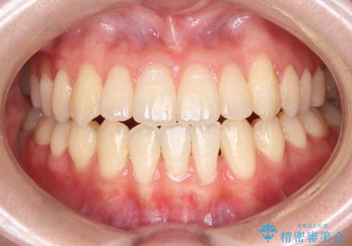
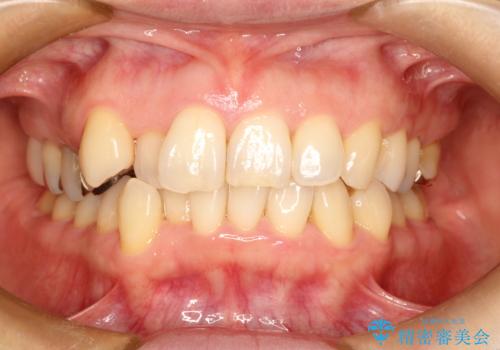
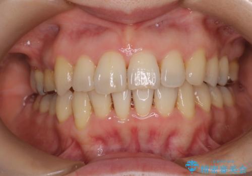
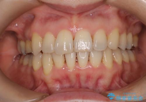
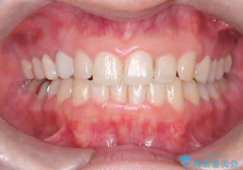
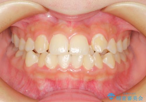
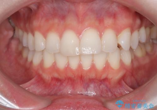
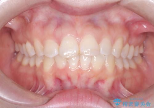
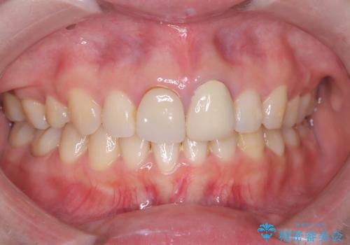
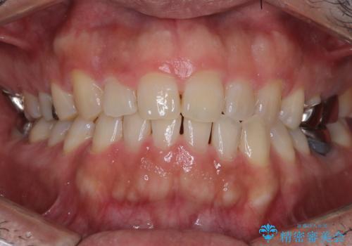
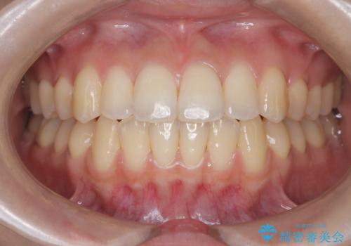
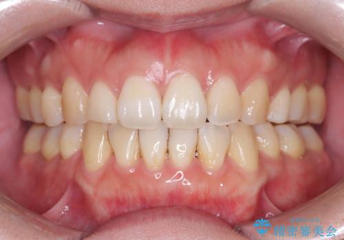
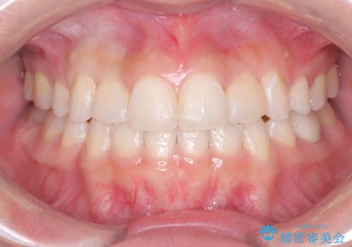
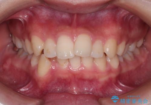
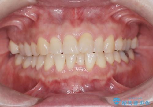
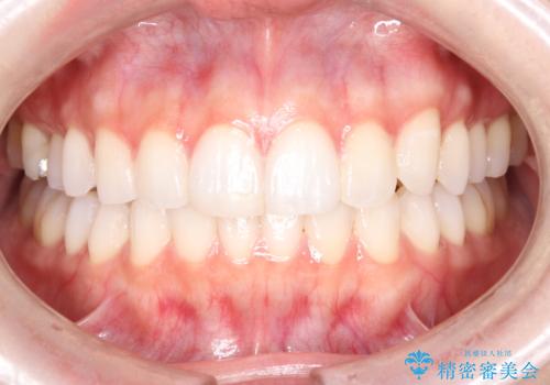
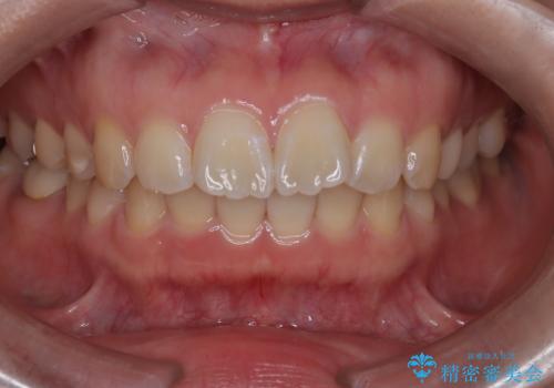
前歯の突出を防ぎながらガタつきを解消。上下左右4番抜歯による審美ワイヤー矯正
担当医 河口智英


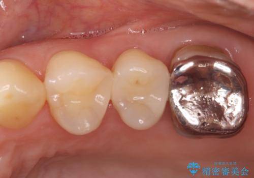
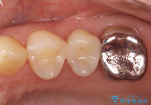
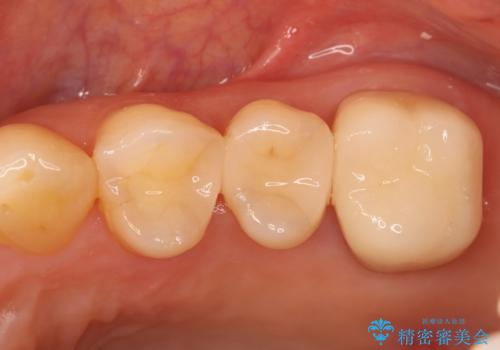
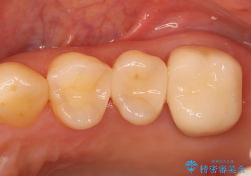
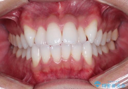
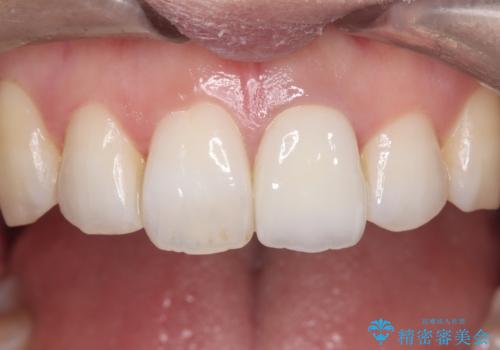
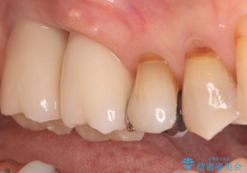
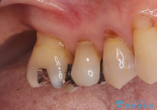
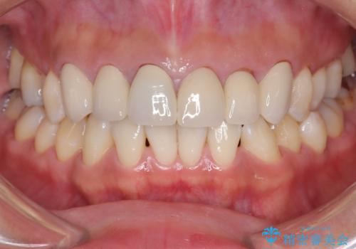
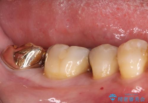
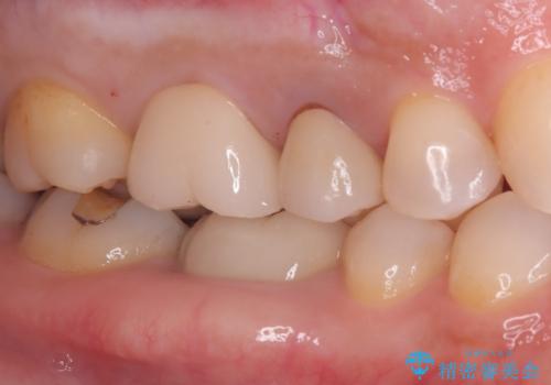
銀歯からセラミックへ。右上奥歯の精密根管治療と審美修復
担当医 河口智英


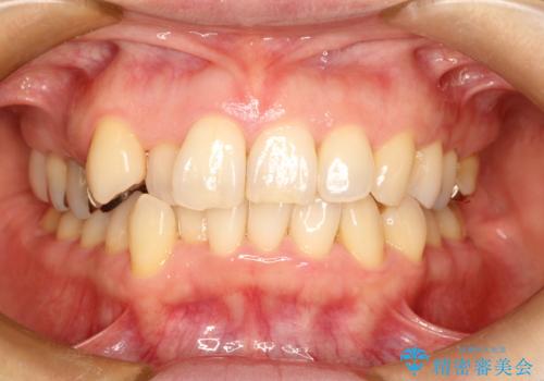
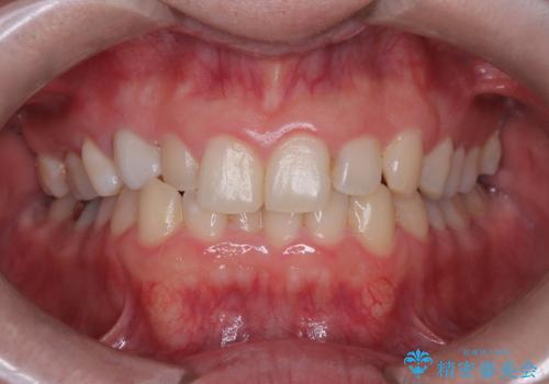
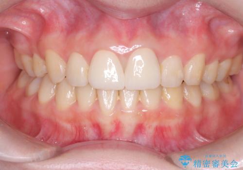
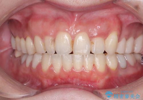
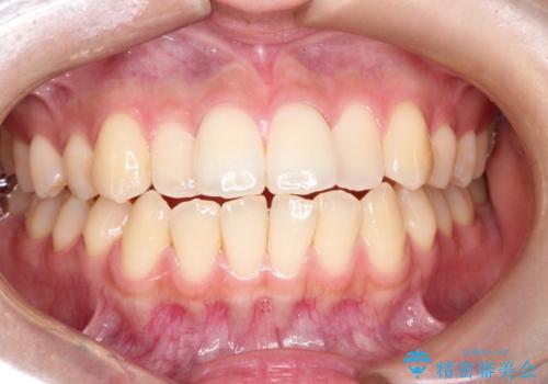
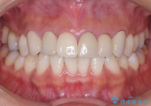
突き出た前歯を下げて理想的な横顔に。上下左右4番抜歯による審美ワイヤー矯正
担当医 河口智英


歯の隙間と欠損を同時に解決。インビザラインとインプラントを組み合わせた包括的治療


前歯のがたつきをマウスピース矯正で改善。IPRと遠心移動による非抜歯インビザライン治療
担当医 河口智英


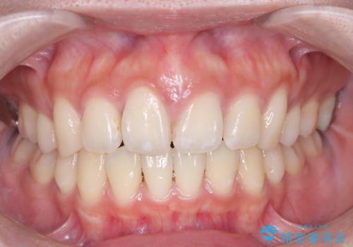
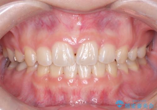
前歯の突出と下顎の偏位を改善。審美ワイヤーで整えるバランスの良い歯並び


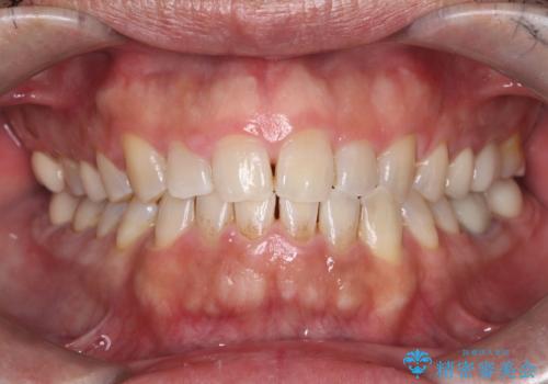
閉院による転院からのリカバリー。インビザラインからワイヤー矯正への切り替え
担当医 河口智英


神経を抜かずに守る。MTAを用いた部分的断髄法と精密セラミック修復


前歯の気になる変色を解消。再根管治療とオールセラミックで自然な美しさへ
担当医 河口智英








