症例・治療例紹介
Cases
Dr. 大元洋佑の症例写真
1ページ目 / 66
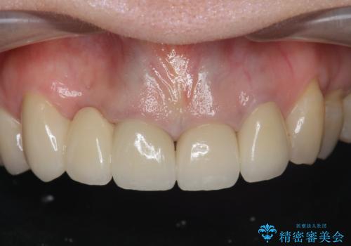
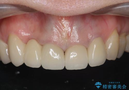
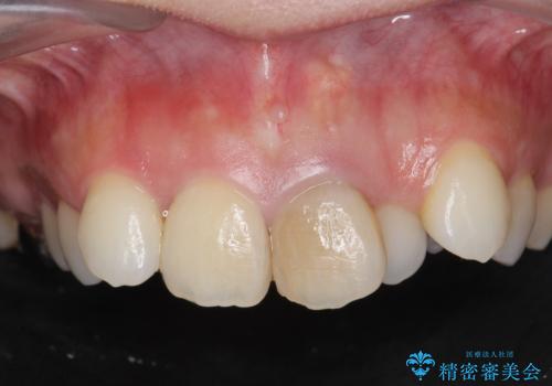
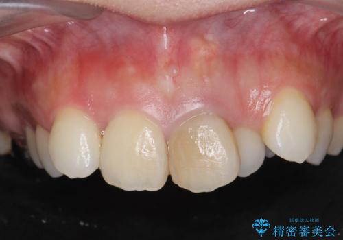
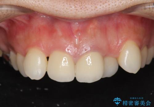
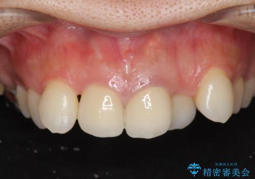
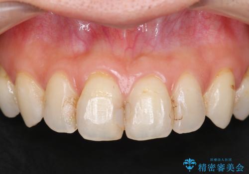
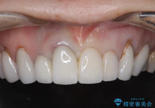
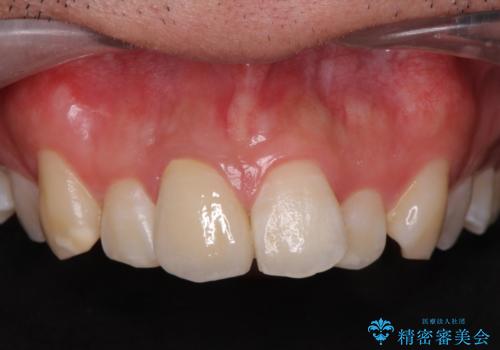
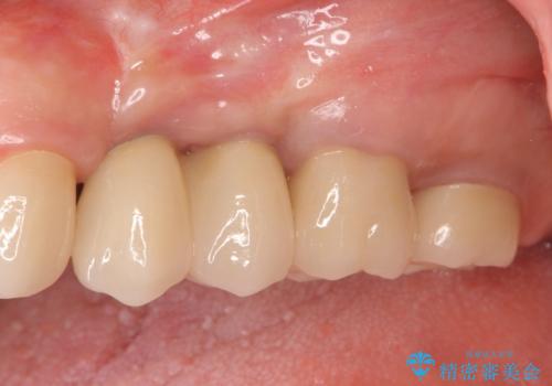
- [ セラミック治療 ] 前歯の見た目を改善したい- 担当医 大元洋佑 ![[ セラミック治療 ] 前歯の見た目を改善したいの症例 治療前](https://seimitsushinbi.jp/wp/wp-content/uploads/2025/10/IMG_9990-2-500x350.jpg?v=1761816440) ![[ セラミック治療 ] 前歯の見た目を改善したいの症例 治療後](https://seimitsushinbi.jp/wp/wp-content/uploads/2025/10/IMG_9934-500x350.jpg?v=1761816431) 
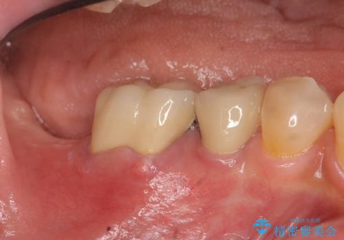
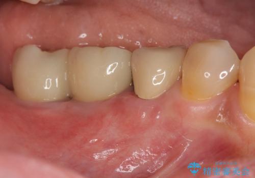
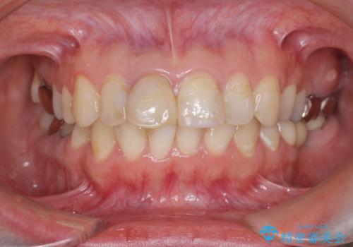
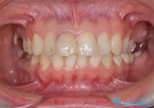
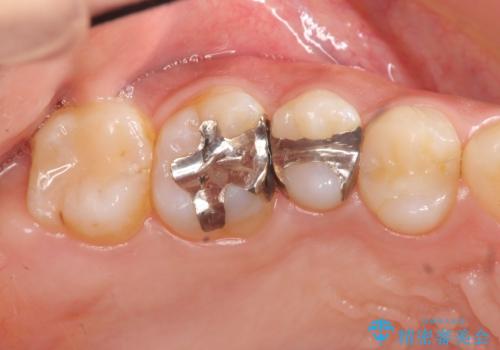
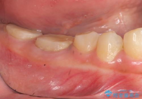
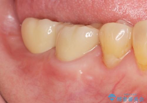
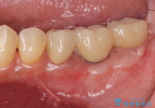
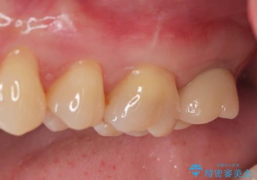
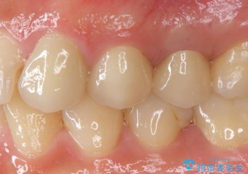
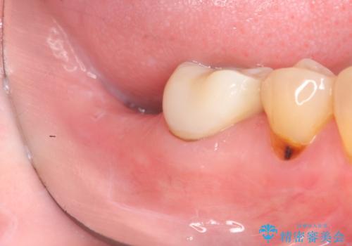
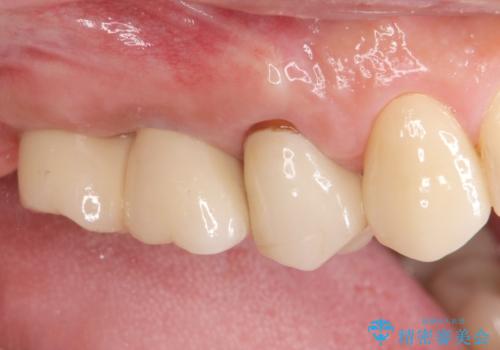
- [ 不適合な補綴物による虫歯の再発 ] 劣化の進んだブリッジの再治療![[ 不適合な補綴物による虫歯の再発 ]  劣化の進んだブリッジの再治療の症例 治療前](https://seimitsushinbi.jp/wp/wp-content/uploads/2025/10/bd2e9fc7c7be0dc2ab0c95aea893e9f4-500x350.jpg?v=1761121308) ![[ 不適合な補綴物による虫歯の再発 ]  劣化の進んだブリッジの再治療の症例 治療後](https://seimitsushinbi.jp/wp/wp-content/uploads/2025/10/eb9c63ca29dc0f53d065359b029e5b91-500x350.jpg?v=1761121318) 
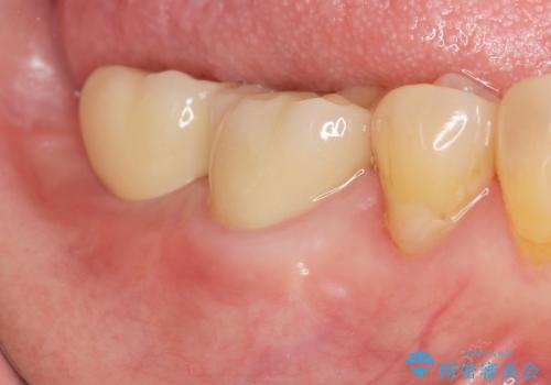
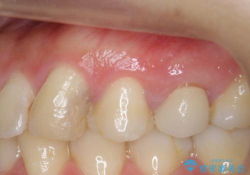
- [ 歯周病・矯正・セラミック補綴 ] 歯の総合的なマネージメントを行う包括的歯科治療の実践![[ 歯周病・矯正・セラミック補綴 ] 歯の総合的なマネージメントを行う包括的歯科治療の実践の症例 治療前](https://seimitsushinbi.jp/wp/wp-content/uploads/2025/10/7db12d5413070a950bc6275b957b7f9f-500x350.jpg?v=1760767674) ![[ 歯周病・矯正・セラミック補綴 ] 歯の総合的なマネージメントを行う包括的歯科治療の実践の症例 治療後](https://seimitsushinbi.jp/wp/wp-content/uploads/2025/10/eaeb8f32e6e2496b4cca2d55d85ba36c-500x350.jpg?v=1760768149) 
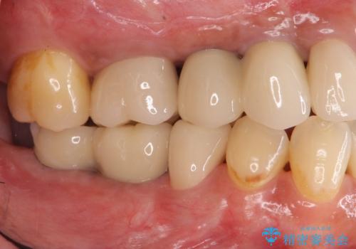
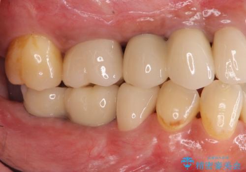
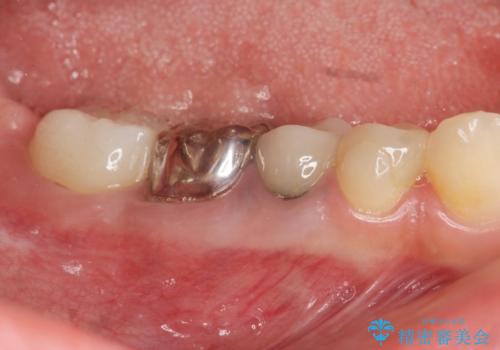
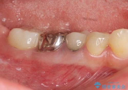
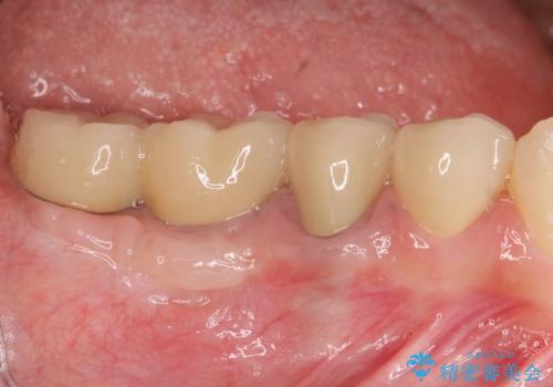
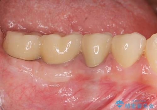
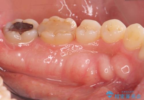
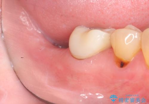
- 奥歯から膿のにおいがする インプラントによる機能回復  
- 長期的な予後を見据えたインプラント治療  
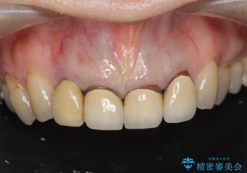
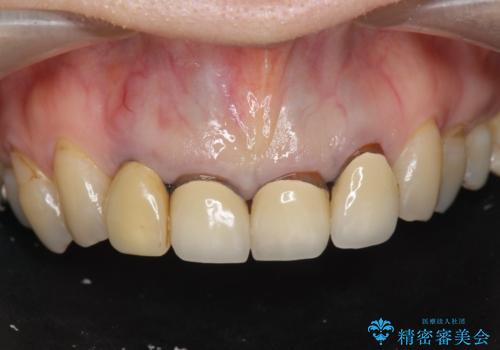
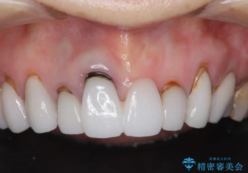
- 境目の見える前歯をきれいにしたい セラミック治療- 担当医 大元洋佑   
- 著しいがたつきによる清掃困難 歯牙抜去とセラミック治療- 担当医 大元洋佑   
- 虫歯だらけの前歯をセラミック治療- 担当医 大元洋佑   
- 遊離歯肉移植術を伴うインプラント治療  
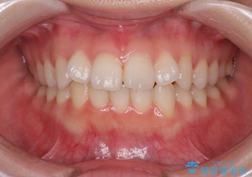
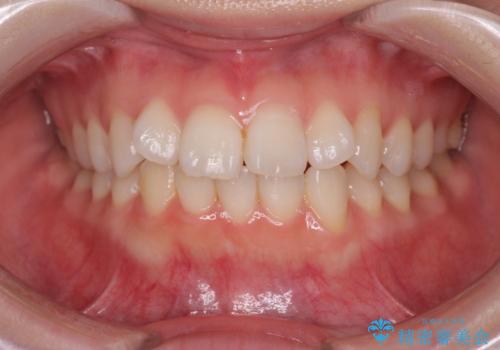
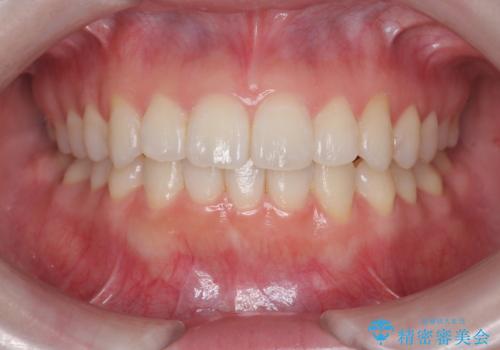
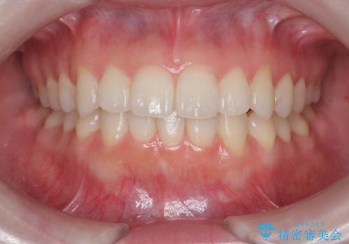
- 前歯のねじれをきれいに 部分ワイヤー+マウスピース矯正- 担当医 大元洋佑   








 
                      



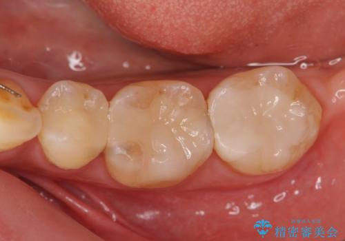
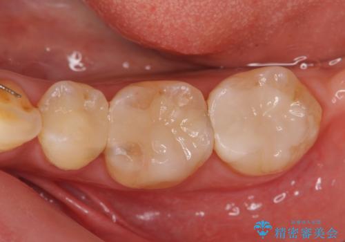
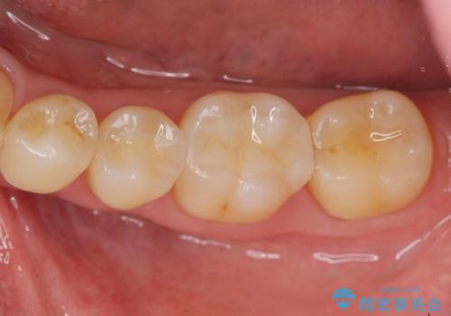
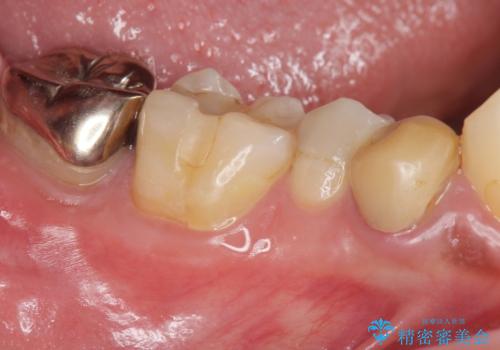
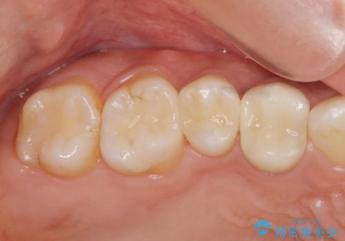
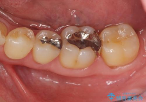
![[ メタルフリー ] 銀歯を除去してのセラミック治療の症例 治療前](https://seimitsushinbi.jp/wp/wp-content/uploads/2025/10/a7e64cb76dd9ff04810e2fe13eba5edb-500x350.jpg?v=1760694678)
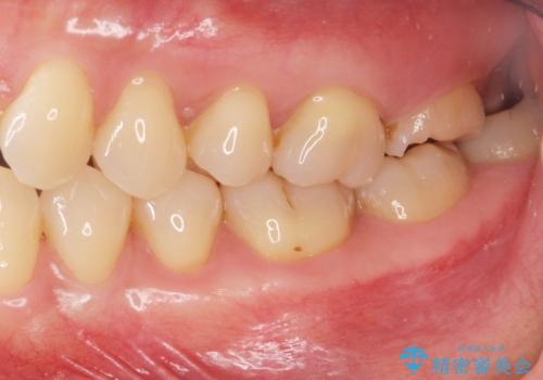
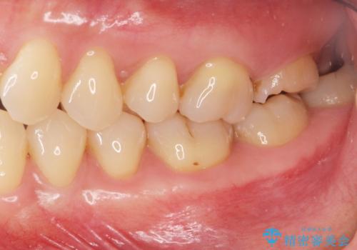
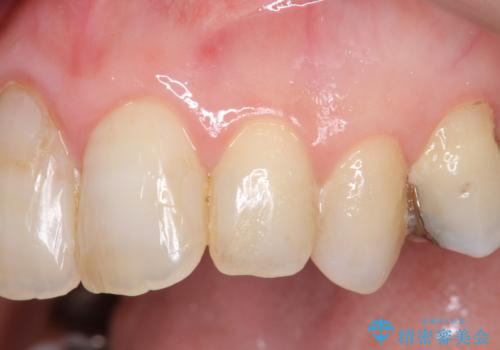
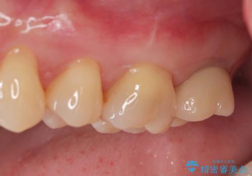
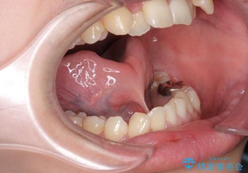
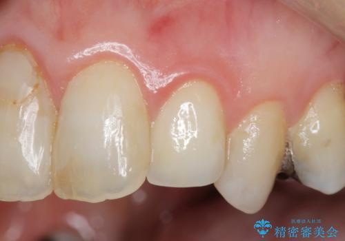
![[ メタルフリー ] 銀歯を除去してのセラミック治療の症例 治療後](https://seimitsushinbi.jp/wp/wp-content/uploads/2025/10/4c9662f67bca2880337400dd79b2bf51-500x350.jpg?v=1760694681)



