症例・治療例紹介
Cases
総合歯科治療 → 歯周病治療&インプラント治療
1ページ目 / 5
歯がボロボロで咬合崩壊 矯正・インプラント・セラミックで実現する、酸蝕症の総合治療
担当医 河口智英


歯周病 、インプラント、 矯正 全顎治療
担当医 大元洋佑


食いしばりが強い 歯周病全顎治療
担当医 大元洋佑


虫歯・噛み合わせ・インプラント、全顎総合治療
担当医 大元洋佑


全部治療して見た目を良くしたい。


セラミック インプラント 全顎治療
担当医 大元洋佑


セラミック・インプラント治療を含む包括歯周病治療


できる限り口の中を綺麗にしたい。


孫から口臭を指摘され来院、全顎治療で噛み合わせ、見た目、口臭全て劇的改善!


深い虫歯 セラミッククラウンの精度を高める歯周外科手術


インプラント・ブリッジ補綴を含む、歯周病全顎治療
担当医 大元洋佑


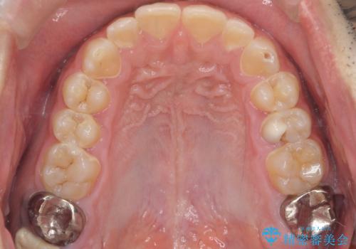
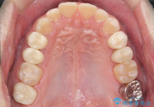
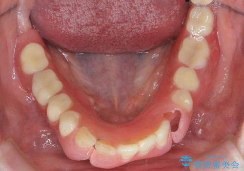
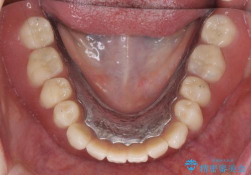
[ 歯周病・矯正・セラミック治療 ] 1つの医院で行う包括的歯科治療
担当医 大元洋佑
![[ 歯周病・矯正・セラミック治療 ] 1つの医院で行う包括的歯科治療の症例 治療前](https://seimitsushinbi.jp/wp/wp-content/uploads/2023/10/IMG_6364-500x350.jpg?v=1697786419)
![[ 歯周病・矯正・セラミック治療 ] 1つの医院で行う包括的歯科治療の症例 治療後](https://seimitsushinbi.jp/wp/wp-content/uploads/2023/10/90d18252b8dbe1975afad5c7598b2fb5-500x350.jpg?v=1697785801)
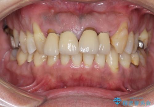
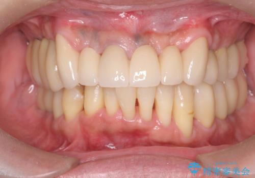
[ 重度の歯周病 ] 骨の造成を伴う奥歯インプラント治療
![[ 重度の歯周病 ] 骨の造成を伴う奥歯インプラント治療の症例 治療前](https://seimitsushinbi.jp/wp/wp-content/uploads/2023/08/dd050296376ce2223375e4fe7c012da0-500x350.jpg?v=1691032235)
![[ 重度の歯周病 ] 骨の造成を伴う奥歯インプラント治療の症例 治療後](https://seimitsushinbi.jp/wp/wp-content/uploads/2023/08/53b97aab07991cb3b8113730db863b4d-500x350.jpg?v=1691032282)
インプラント治療の注意事項(リスク・副作用など)
- 外科手術のため、術後に痛みや腫れ、違和感を伴います
- メンテナンスを怠ったり喫煙により、お口の中に大きな悪影響を及ぼすインプラント周囲炎等にかかる可能性があります
- 糖尿病、肝硬変、心臓病等の場合、インプラント治療ができない可能性があります
- 高血圧、貧血・不整脈等の場合、インプラント治療後に治癒不全を招く可能性があります
- 自費診療(保険適用外治療)となります
歯周病治療の注意事項(リスク・副作用など)
- 外科手術のため、術後に痛みや腫れ、違和感を伴います
- 歯周組織再生治療は患者様の状態によって術後の経過が異なります(見た目が改善しない場合もあります)
- 歯周組織再生治療は自費診療(保険適用外)となります




