症例詳細
Case detail
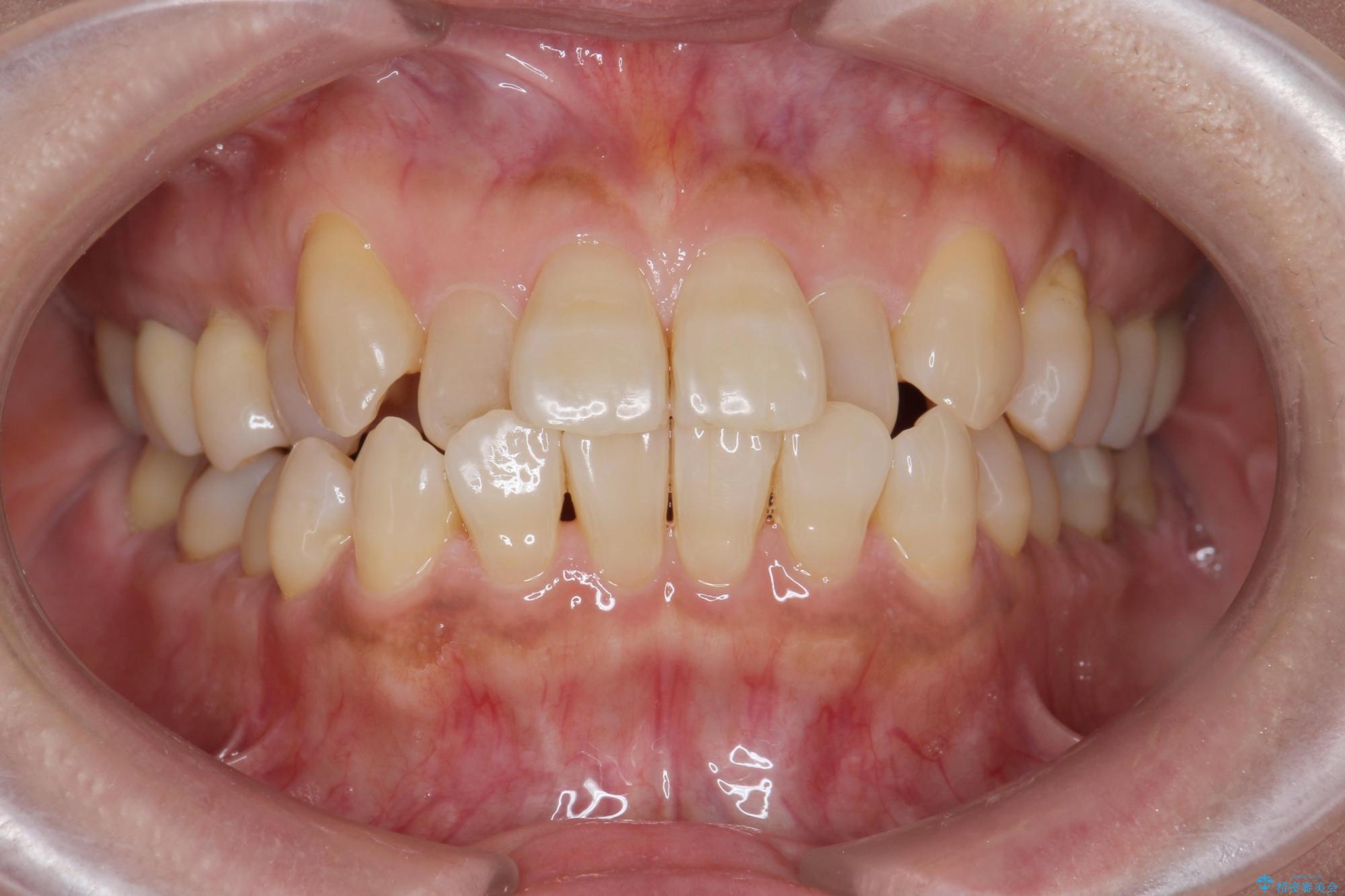
[ 60代から行う矯正治療 ] すれ違った前歯を矯正したい
治療症例の内容
- 診療科目
- 担当医
- 大元洋佑(ドクタープロフィール)
- 患者様
- 60代女性
- 矯正装置
- インビザライン +部分ワイヤー矯正
- 治療期間
- 治療回数
- 10-30回
- 治療計画
- 長年気になっていた前歯の並びを治したい!と矯正治療を希望され来院されました。
マウスピースの苦手な、側切歯すれ違いの改善を部分ワイヤー矯正で解決したのちマウスピース矯正治療を行うことで、治療期間の短縮と仕上がりにこだわった矯正治療を行います。
- 費用(概算)
- 88万円費用は治療当時の料金となります
治療について
約半年間上顎前歯のみのワイヤー矯正を行うことで、しっかりとすれ違いのあった前歯をきれいに並べることができました。、
マウスピース矯正の注意事項(リスク・副作用など)
- 口腔内・歯並びの状態によっては対応できない場合があります
- マウスピース型矯正装置の長時間装着(1日20時間以上)が必須です
- 治療計画通りに進めるためには、患者様の意志が重要になります
- 矯正治療後の保定が不十分だと後戻り(元の位置に戻ろうとする動き)をします
- 薬機法対象外の矯正歯科装置のため医薬品副作用被害救済制度の対象外となる場合があります
- 自費診療(保険適用外)となります
当サイトの内容、テキスト、画像等の無断転載、複製、複写、盗用を固く禁じます。

![[ 60代から行う矯正治療 ] すれ違った前歯を矯正したいの治療前](https://seimitsushinbi.jp/wp/wp-content/uploads/2025/05/7d4b62117175bc39b278a3e94528a306-500x350.jpg?v=1747795175)
![[ 60代から行う矯正治療 ] すれ違った前歯を矯正したいの治療中](https://seimitsushinbi.jp/wp/wp-content/uploads/2025/05/IMG_3235-500x350.jpg?v=1747795802)
![[ 60代から行う矯正治療 ] すれ違った前歯を矯正したいの治療後](https://seimitsushinbi.jp/wp/wp-content/uploads/2025/05/ff42471f523f4680b73be1f88aadfafc-500x350.jpg?v=1747795319)
![[ 60代から行う矯正治療 ] すれ違った前歯を矯正したいの治療前](https://seimitsushinbi.jp/wp/wp-content/uploads/2025/05/36e5c7bd8a0fe4a91048247341dc4618-500x350.jpg?v=1747795169)
![[ 60代から行う矯正治療 ] すれ違った前歯を矯正したいの治療中](https://seimitsushinbi.jp/wp/wp-content/uploads/2025/05/IMG_3238-500x350.jpg?v=1747795809)
![[ 60代から行う矯正治療 ] すれ違った前歯を矯正したいの治療後](https://seimitsushinbi.jp/wp/wp-content/uploads/2025/05/b55e37d3638bcdf1179ad4e1aeee9e03-500x350.jpg?v=1747795314)
![[ 60代から行う矯正治療 ] すれ違った前歯を矯正したいの治療前](https://seimitsushinbi.jp/wp/wp-content/uploads/2025/05/5851147311c19aebc469f3f2996dcfd1-500x350.jpg?v=1747795184)
![[ 60代から行う矯正治療 ] すれ違った前歯を矯正したいの治療中](https://seimitsushinbi.jp/wp/wp-content/uploads/2025/05/IMG_3240-500x350.jpg?v=1747795816)
![[ 60代から行う矯正治療 ] すれ違った前歯を矯正したいの治療後](https://seimitsushinbi.jp/wp/wp-content/uploads/2025/05/e3df3a3afca8fcb35a7bc98c55d2104a-500x350.jpg?v=1747795324)
![[ 60代から行う矯正治療 ] すれ違った前歯を矯正したいの治療前](https://seimitsushinbi.jp/wp/wp-content/uploads/2025/05/a018105da82a67bd51455f9f67070175-500x350.jpg?v=1747795164)
![[ 60代から行う矯正治療 ] すれ違った前歯を矯正したいの治療中](https://seimitsushinbi.jp/wp/wp-content/uploads/2025/05/IMG_3241-500x350.jpg?v=1747795823)
![[ 60代から行う矯正治療 ] すれ違った前歯を矯正したいの治療後](https://seimitsushinbi.jp/wp/wp-content/uploads/2025/05/f346864142b11fca3f6f0ef9d06c55fe-500x350.jpg?v=1747795309)
![[ 60代から行う矯正治療 ] すれ違った前歯を矯正したいの治療前](https://seimitsushinbi.jp/wp/wp-content/uploads/2025/05/228f78323a0e2887427412fb84bd3170-500x350.jpg?v=1747795189)
![[ 60代から行う矯正治療 ] すれ違った前歯を矯正したいの治療中](https://seimitsushinbi.jp/wp/wp-content/uploads/2025/05/IMG_3242-500x350.jpg?v=1747795829)
![[ 60代から行う矯正治療 ] すれ違った前歯を矯正したいの治療後](https://seimitsushinbi.jp/wp/wp-content/uploads/2025/05/3195dc58b04d99b062efdad566ff9ea4-500x350.jpg?v=1747795329)
![[ 60代から行う矯正治療 ] すれ違った前歯を矯正したいの治療前](https://seimitsushinbi.jp/wp/wp-content/uploads/2025/05/IMG_9840-500x350.jpg?v=1747795585)
![[ 60代から行う矯正治療 ] すれ違った前歯を矯正したいの治療中](https://seimitsushinbi.jp/wp/wp-content/uploads/2025/05/IMG_3249-1-500x350.jpg?v=1747795906)
![[ 60代から行う矯正治療 ] すれ違った前歯を矯正したいの治療前](https://seimitsushinbi.jp/wp/wp-content/uploads/2025/05/IMG_9847-500x350.jpg?v=1747795596)
![[ 60代から行う矯正治療 ] すれ違った前歯を矯正したいの治療中](https://seimitsushinbi.jp/wp/wp-content/uploads/2025/05/IMG_3253-500x350.jpg?v=1747795911)
![[ 60代から行う矯正治療 ] すれ違った前歯を矯正したいの治療前](https://seimitsushinbi.jp/wp/wp-content/uploads/2025/05/IMG_9848-500x350.jpg?v=1747795604)
![[ 60代から行う矯正治療 ] すれ違った前歯を矯正したいの治療中](https://seimitsushinbi.jp/wp/wp-content/uploads/2025/05/IMG_3254-500x350.jpg?v=1747795918)
![[ 60代から行う矯正治療 ] すれ違った前歯を矯正したいの治療前](https://seimitsushinbi.jp/wp/wp-content/uploads/2025/05/IMG_9845-500x350.jpg?v=1747795592)
![[ 60代から行う矯正治療 ] すれ違った前歯を矯正したいの治療中](https://seimitsushinbi.jp/wp/wp-content/uploads/2025/05/IMG_3255-500x350.jpg?v=1747795926)
![[ 60代から行う矯正治療 ] すれ違った前歯を矯正したいの治療前](https://seimitsushinbi.jp/wp/wp-content/uploads/2025/05/IMG_9846-500x350.jpg?v=1747795609)
![[ 60代から行う矯正治療 ] すれ違った前歯を矯正したいの治療中](https://seimitsushinbi.jp/wp/wp-content/uploads/2025/05/IMG_3256-1-500x350.jpg?v=1747795933)