電話予約
無料相談予約
選ばれる理由
Reason
歯科医師紹介
Doctor
診療科目
Services
症例写真
Case photo
動画
Movie
治療費一覧
Price
医院紹介
Clinic
症例・治療例紹介
Cases
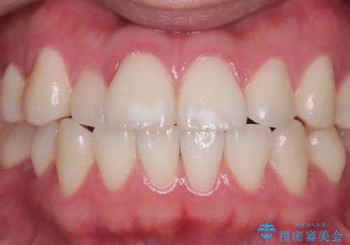
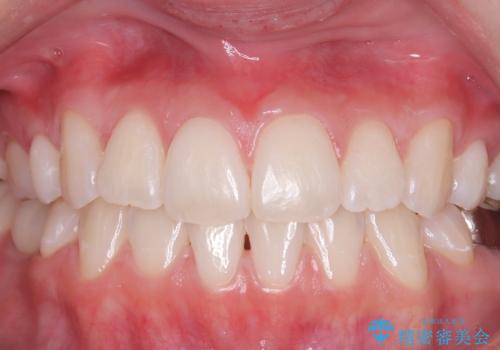
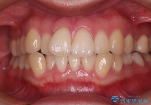
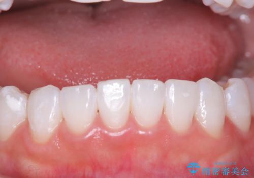
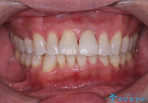
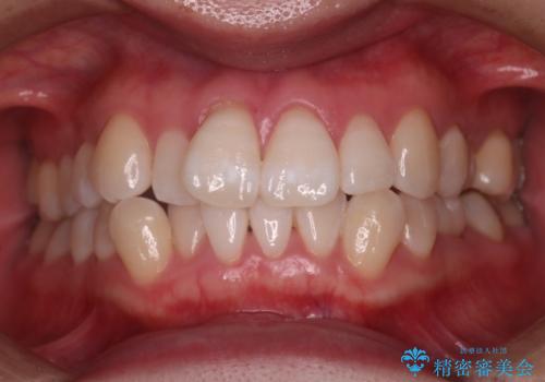
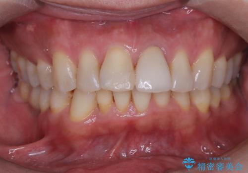
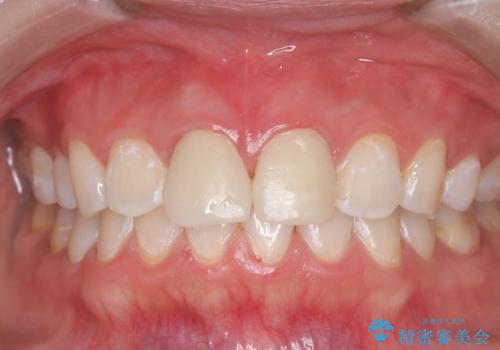
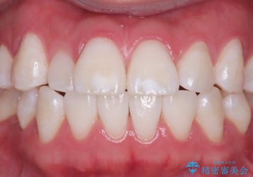
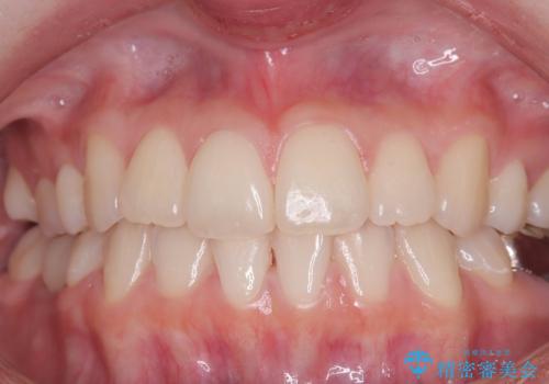
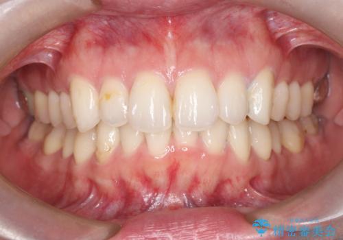
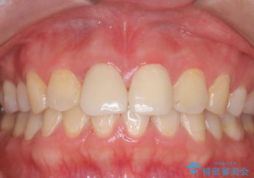
歯科衛生士の症例写真
1ページ目 / 50
担当医 歯科衛生士<2026年2月4日更新>
担当医 歯科衛生士<2026年2月2日更新>
担当医 歯科衛生士<2026年1月30日更新>
担当医 歯科衛生士<2026年2月3日更新>
担当医 歯科衛生士<2026年1月21日更新>
担当医 歯科衛生士<2026年1月19日更新>
担当医 歯科衛生士<2025年12月19日更新>
担当医 歯科衛生士<2025年12月18日更新>
担当医 歯科衛生士<2026年1月27日更新>
担当医 歯科衛生士<2025年12月12日更新>
担当医 歯科衛生士<2025年12月1日更新>
担当医 歯科衛生士<2025年11月19日更新>
担当医 歯科衛生士<2025年11月13日更新>
担当医 歯科衛生士<2025年11月10日更新>