症例・治療例紹介
Cases
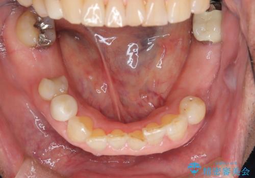
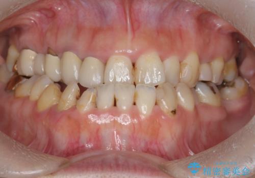
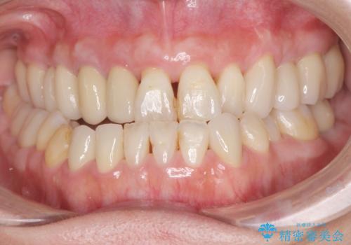
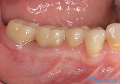
総合歯科治療
矯正歯科治療&セラミック治療掲載症例数226件
最新 矯正歯科治療&セラミック治療症例


インプラント治療&セラミック治療掲載症例数197件
最新 インプラント治療&セラミック治療症例


インプラント治療&矯正歯科治療掲載症例数37件
最新 インプラント治療&矯正歯科治療症例


インプラント&根管治療&矯正歯科掲載症例数7件
最新 インプラント&根管治療&矯正歯科症例


根管治療&セラミック治療掲載症例数205件
最新 根管治療&セラミック治療症例


根管治療&矯正歯科治療掲載症例数8件
最新 根管治療&矯正歯科治療症例


歯周病治療&インプラント治療掲載症例数74件
最新 歯周病治療&インプラント治療症例


歯周病治療&セラミック治療掲載症例数192件
最新 歯周病治療&セラミック治療症例


歯周病治療&矯正歯科治療掲載症例数22件
最新 歯周病治療&矯正歯科治療症例


