症例・治療例紹介
Cases
最新の症例
前歯の隙間とへこみが舌で触ると気になる|矯正治療は絶対にしたくない|抜歯即時インプラント+オールセラミッククラウンで審美修復


虫歯を治したい〈セラミック〉


外科処置は一度だけ|抜歯即時インプラントで短期間で自然な見た目へ


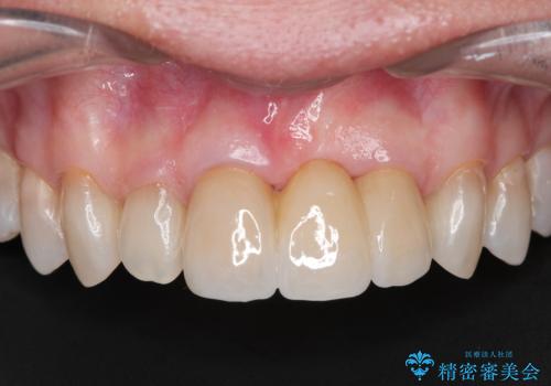
前歯の変色が気になる〈セラミッククラウン〉
担当医 瀧村怜未


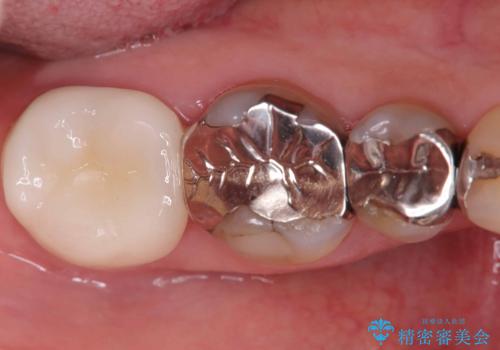
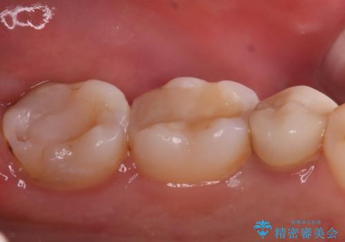
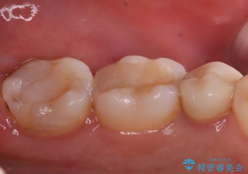
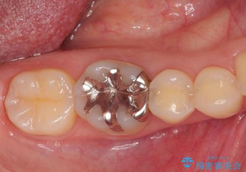
銀歯の下の虫歯|オールセラミッククラウン
担当医 河野豊嘉


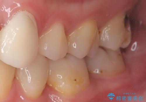
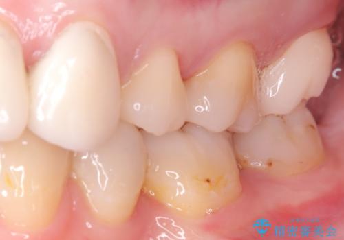
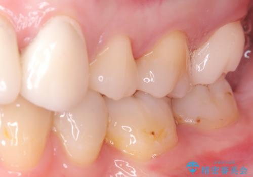
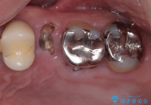
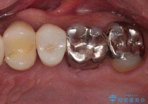
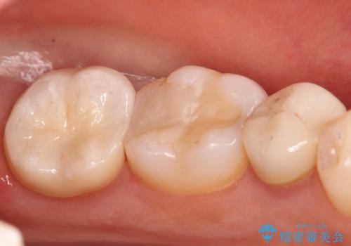
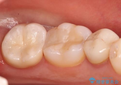
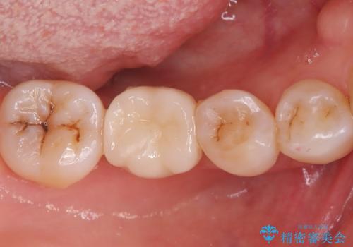
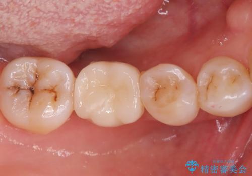
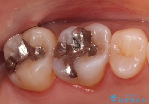
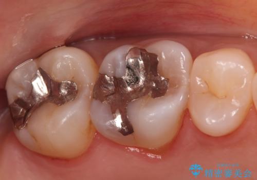
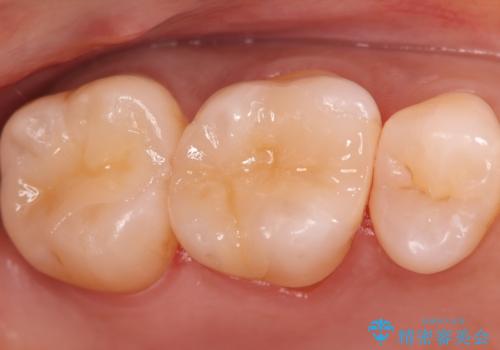
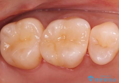
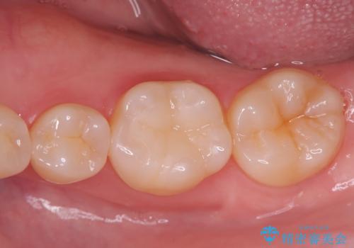
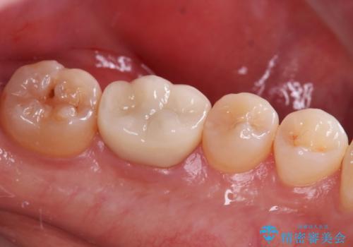
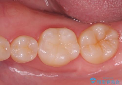
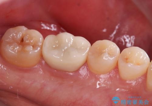
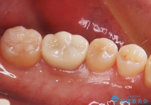
奥歯に虫歯があると言われた セラミッククラウンでキレイで長持ちする歯へ
担当医 榊原康平


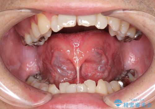
サーフィンで前歯をぶつけて歯が欠けた|かかりつけ医で治療困難と言われ当院へ来院|VPT(生活歯髄療法)で神経を保存|前歯の見た目も改善


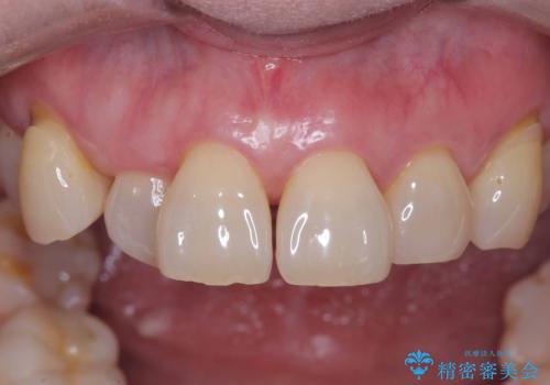
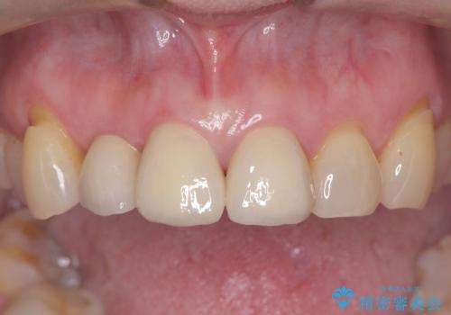
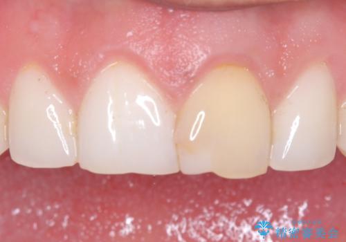
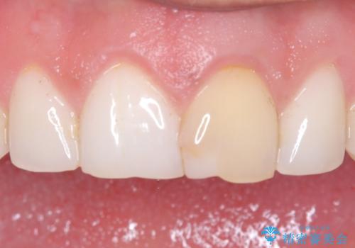
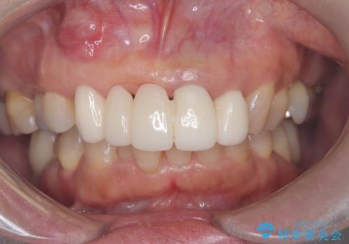
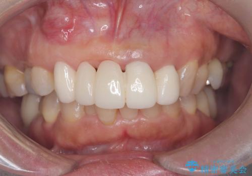
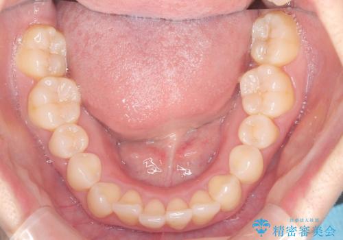
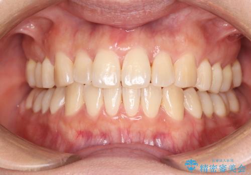
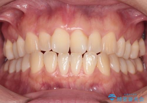
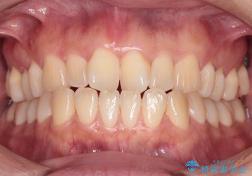
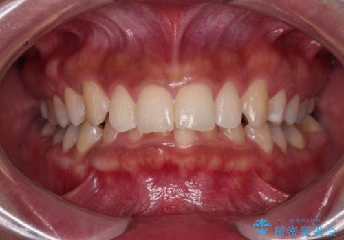
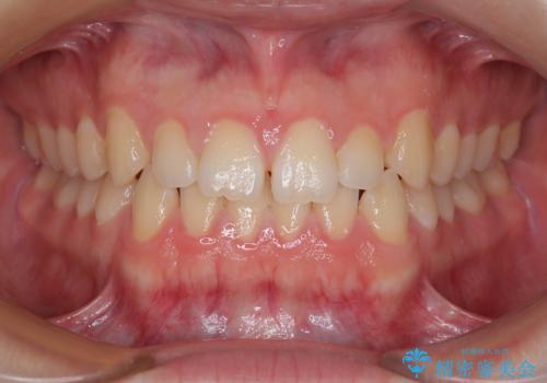
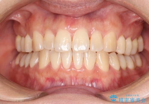
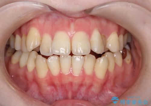
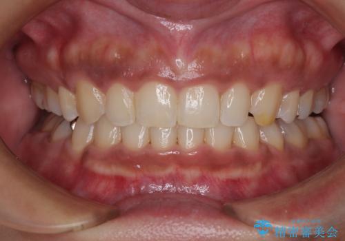
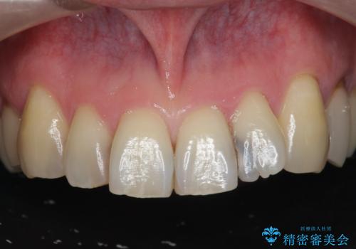
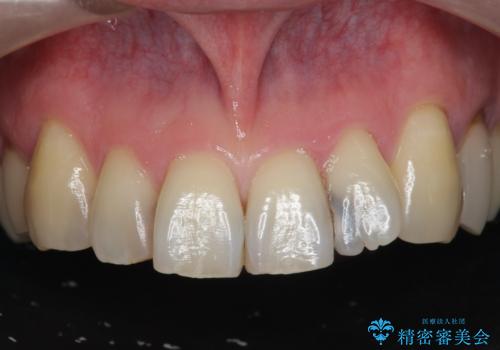
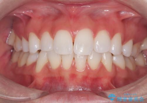
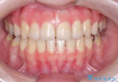
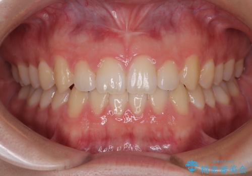
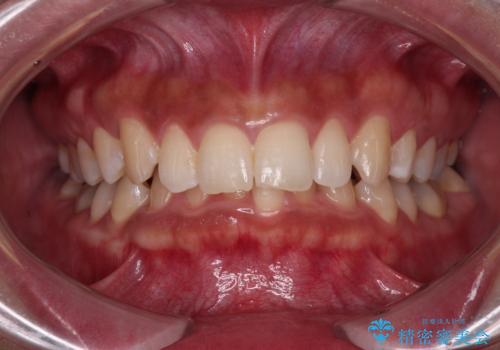
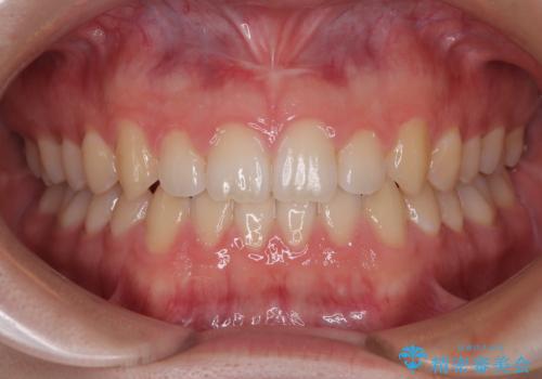
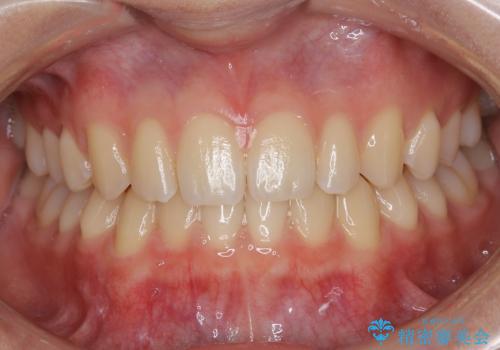
[ セラミック治療 ] 前歯の見た目を改善したい
担当医 大元洋佑
![[ セラミック治療 ] 前歯の見た目を改善したいの症例 治療前](https://seimitsushinbi.jp/wp/wp-content/uploads/2025/10/IMG_9990-2-500x350.jpg?v=1761816440)
![[ セラミック治療 ] 前歯の見た目を改善したいの症例 治療後](https://seimitsushinbi.jp/wp/wp-content/uploads/2025/10/IMG_9934-500x350.jpg?v=1761816431)
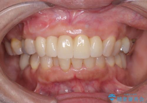
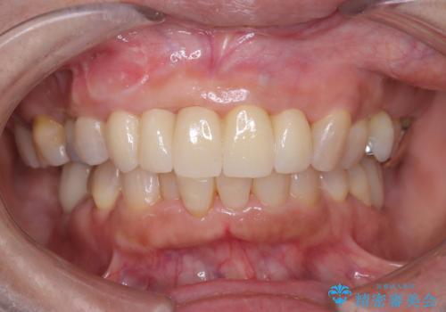
合わない入れ歯から卒業!奥歯2本をインプラントで快適に


歯周病治療、部分矯正、インプラントを組み合わせた奥歯の治療


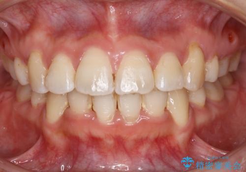
歯茎の腫れが気になる方必見!|抜歯即時インプラントで前歯5本を痛みなく3か月で治療完了!










