症例・治療例紹介
Cases
Dr. 有澤哲郎の症例写真
1ページ目 / 6
他院で抜歯をしたのでインプラントを入れたい インプラント治療


奥歯がたまにしみる MTAによる生活歯髄療法・オールセラミッククラウン


急速拡大装置 狭い上顎歯列を改善して、八重歯を改善した片側抜歯矯正治療
担当医 有澤哲郎


親知らずを抜きたい 親知らず抜歯
担当医 有澤哲郎


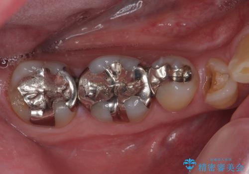
金属の詰め物が取れた オールセラミッククラウン
担当医 有澤哲郎


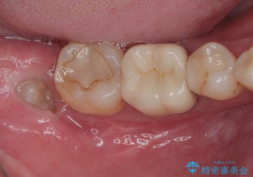
左下にフロスを通すと引っかかる オールセラミッククラウン
担当医 有澤哲郎


右下の親知らずを抜きたい 親知らず抜歯
担当医 有澤哲郎


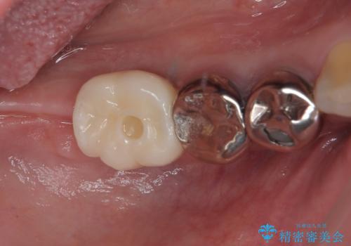
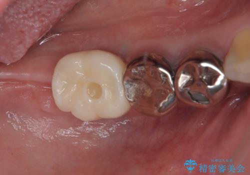
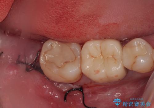
左下が虫歯になっている気がする オールセラミッククラウン
担当医 有澤哲郎


被せものが割れた オールセラミッククラウン・セラミックインレー修復


親知らずを抜きたい 親知らず抜歯
担当医 有澤哲郎


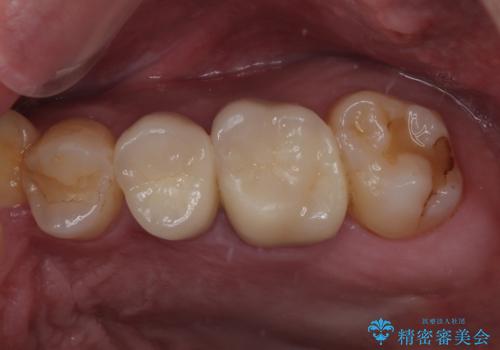
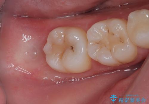
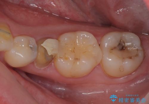
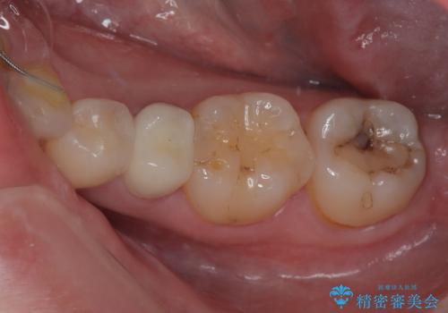
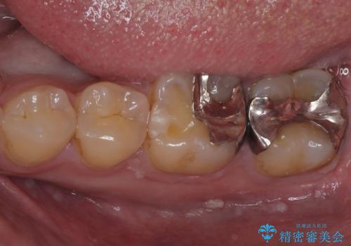
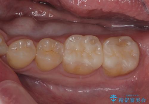
銀歯の下の虫歯を治したい オールセラミッククラウン・セラミックインレー修復


矯正が終わったのでセラミックに変えていきたい オールセラミッククラウン
担当医 有澤哲郎








