症例・治療例紹介
Cases
最新の症例
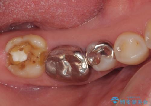
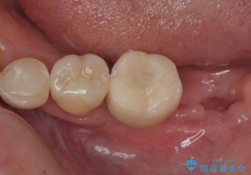
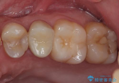
右下の銀歯が外れた オールセラミッククラウン
担当医 有澤哲郎


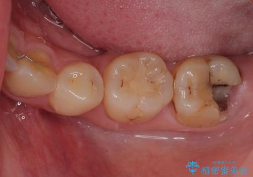
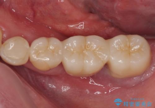
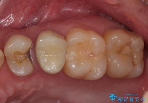
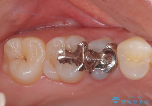
左下の奥歯が欠けた フルジルコニアクラウン・親知らず抜歯
担当医 有澤哲郎


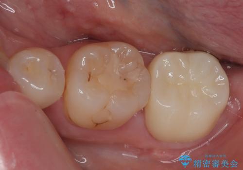
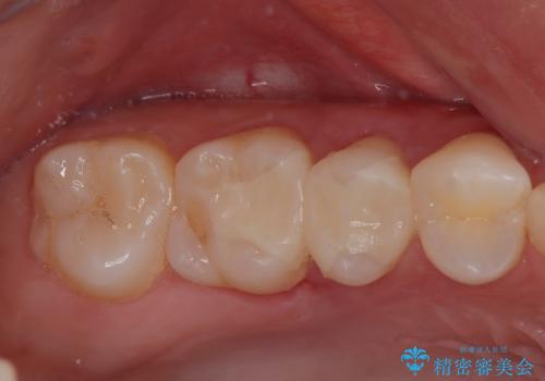
笑った時に目立つ銀歯を治したい オールセラミッククラウン
担当医 有澤哲郎


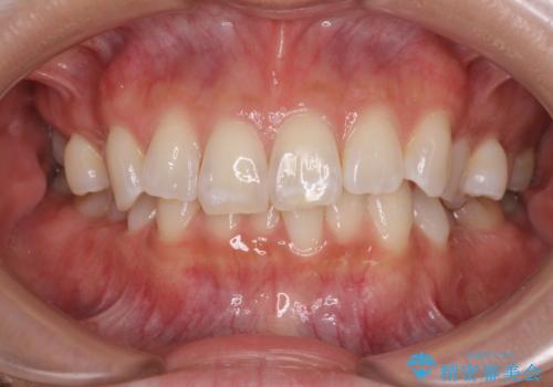
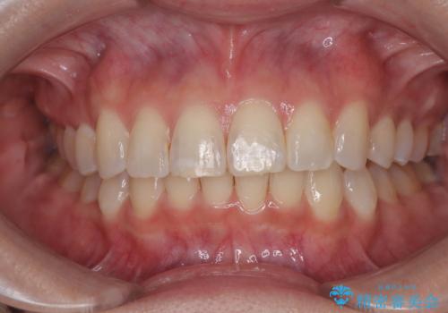
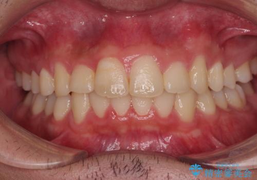
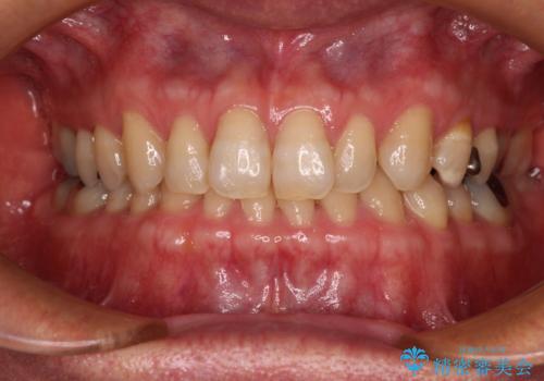
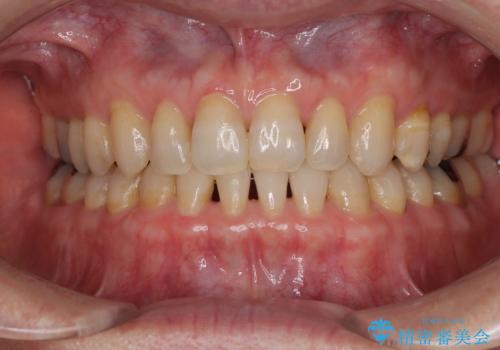
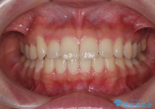
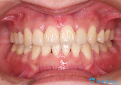
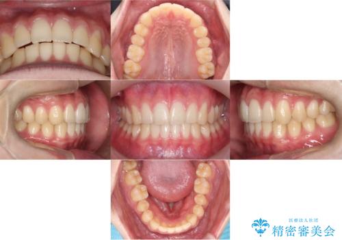
デコボコの非抜歯矯正 ワイヤー装置で楽して改善


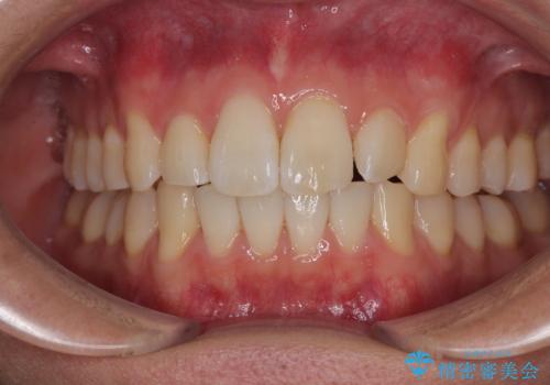
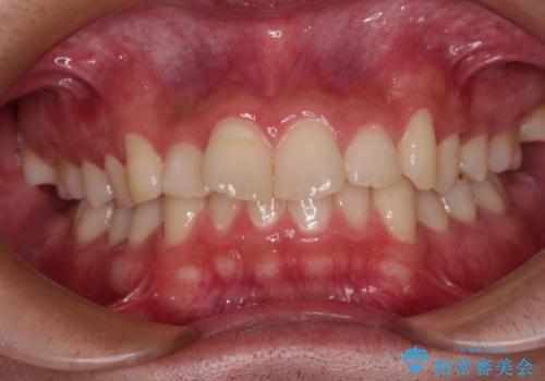
前歯のデコボコをインビザラインで綺麗に改善
担当医 藤巻太一朗


デコボコをインビザライン矯正で改善 奥歯は補助装置で確実に移動を
担当医 藤巻太一朗


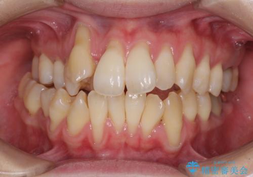
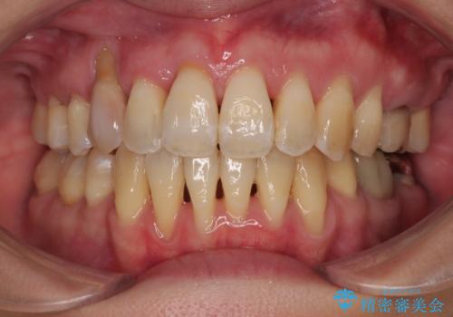
【モニター】ディープバイトで隙間の空いた歯列 ワイヤー装置での非抜歯矯正


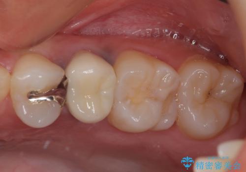
ブリッジから膿が出る 奥歯のインプラント治療


急速拡大装置 狭い骨幅を拡大した上で、顕著なデコボコを改善する抜歯矯正治療


マウスピース矯正が煩わしい ワイヤー装置での非抜歯矯正


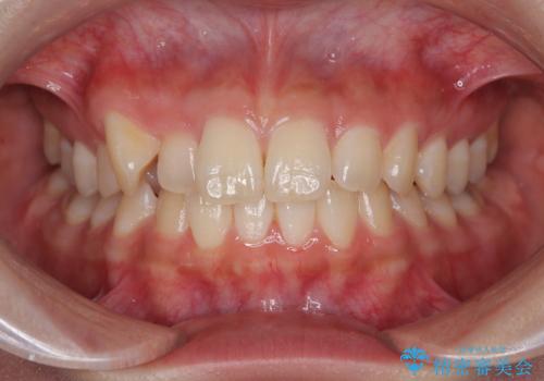
【審美装置】前歯のデコボコを綺麗に


【ワイヤー矯正】すきっ歯を治したい
担当医 町田睦月








