症例詳細
Case detail
【メタル装置】1本のみ抜歯してワイヤー矯正
治療症例の内容
- 担当医
- 菊地俊介(ドクタープロフィール)
- 患者様
- 30代男性
- 矯正装置
- メタル装置
- 治療期間
- 1年5ヶ月
- 治療回数
- 10-30回
- 治療計画
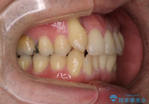
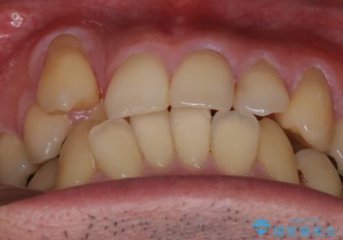
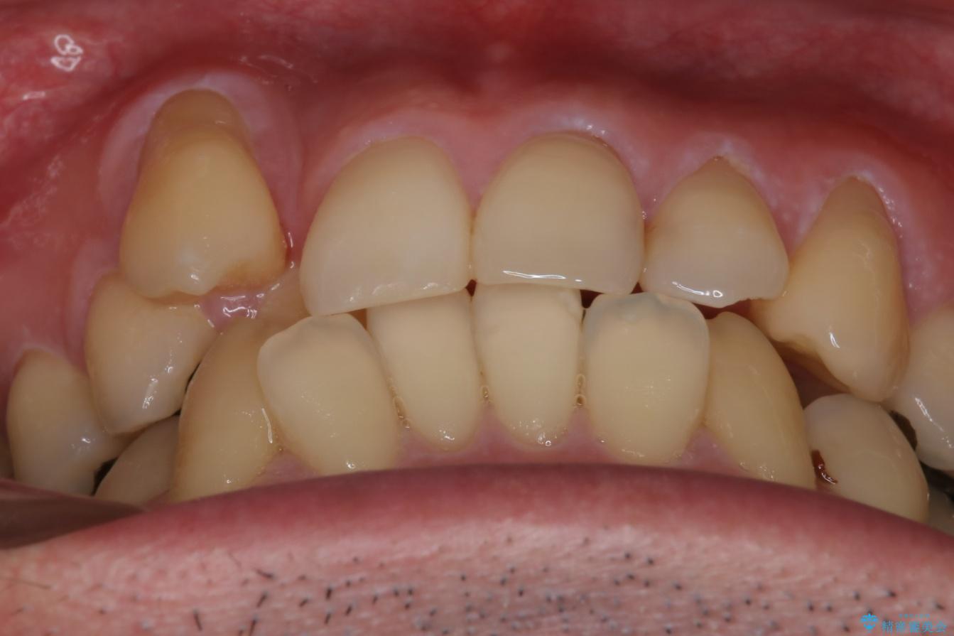
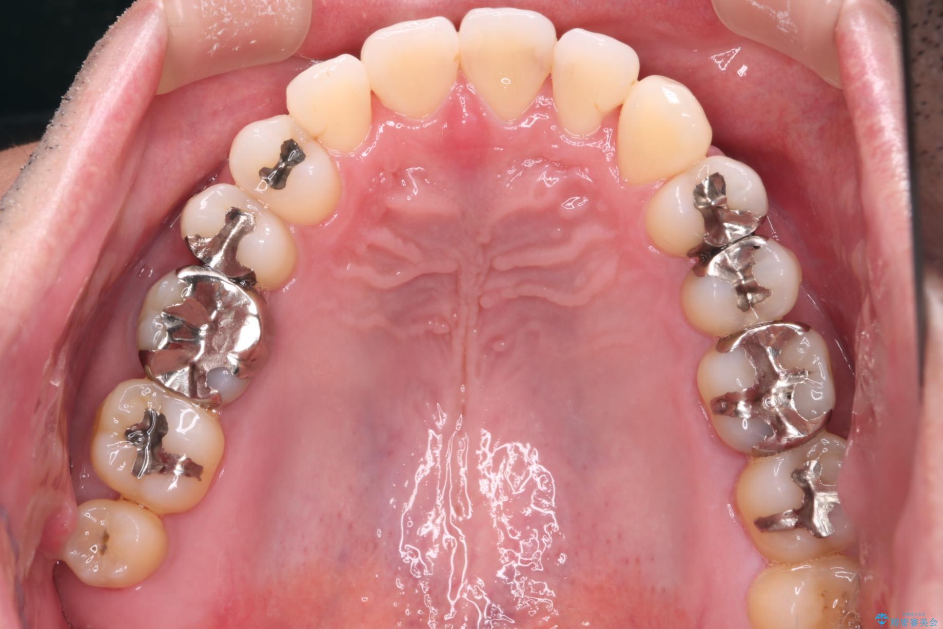
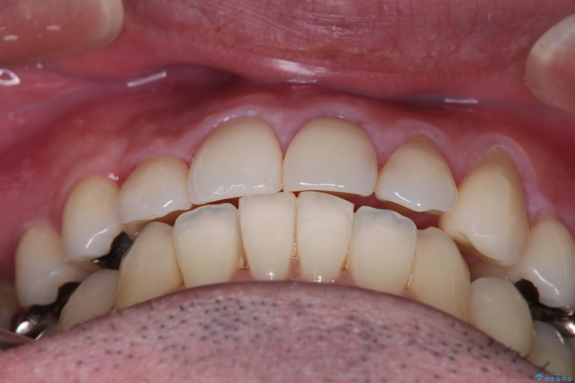
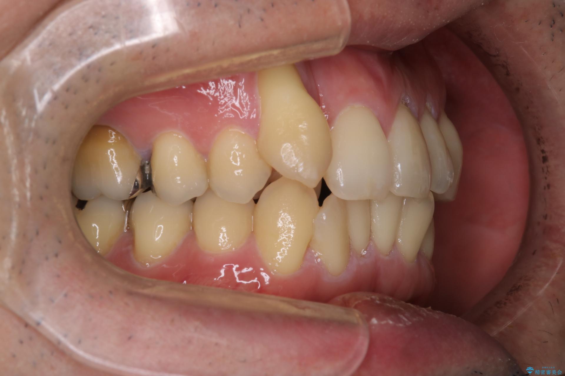
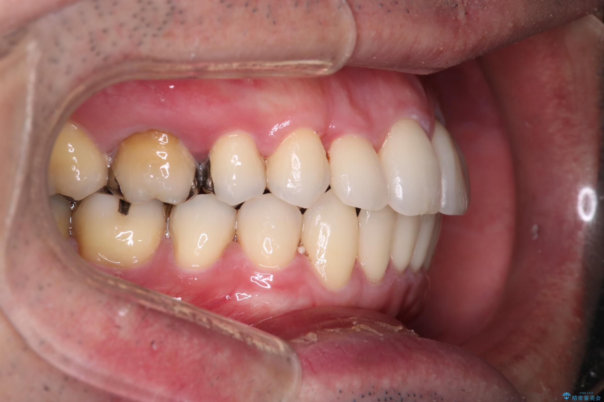
- 右上2番目の歯が舌側転位していることと前歯の叢生(がたつき)を主訴に来院されました。
右上の犬歯が初診時よりかなり歯根露出しており、矯正の力をかけるとさらに歯根露出するリスクがあるため、右上の2番目の歯を前に出すためにも
右上の犬歯を抜歯して歯並びを整える治療計画を立てました。
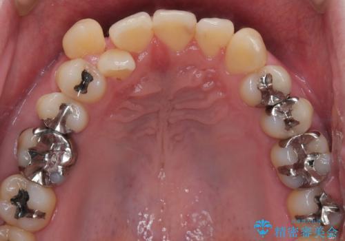
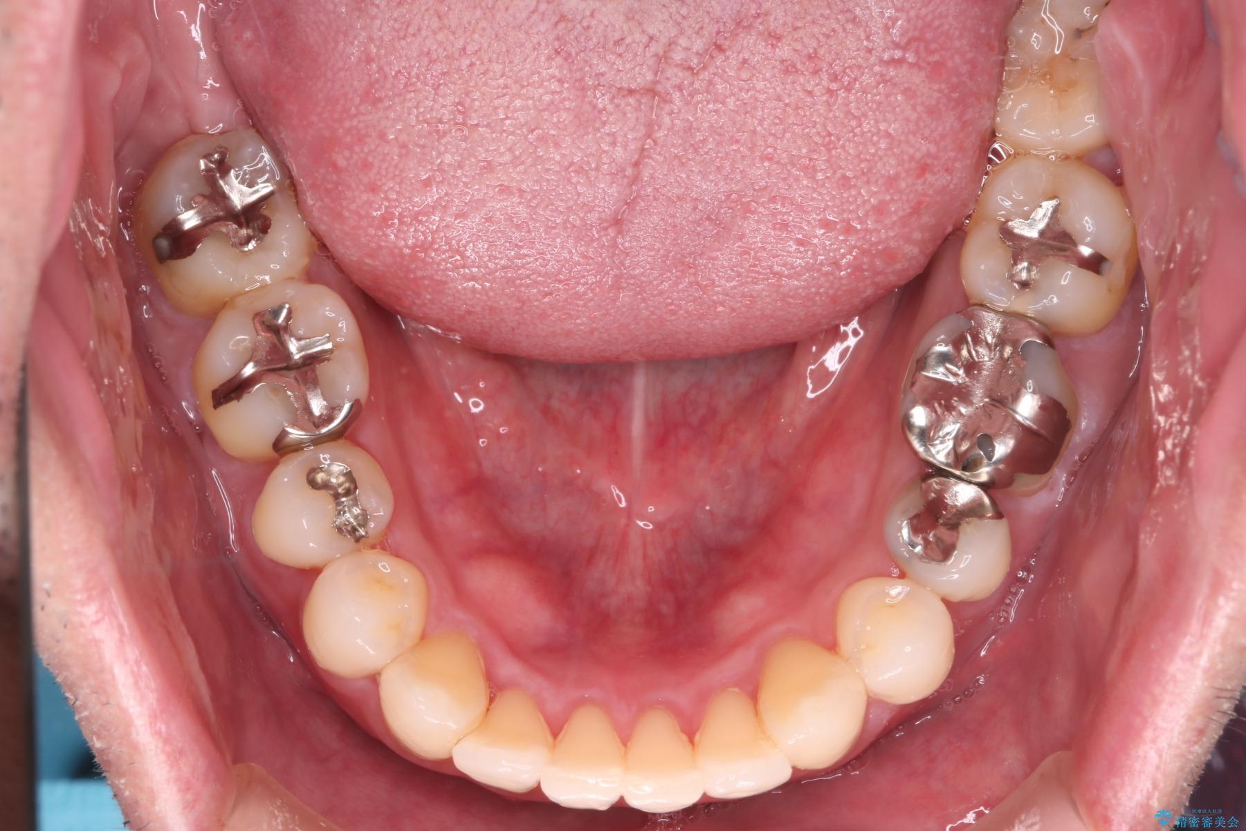
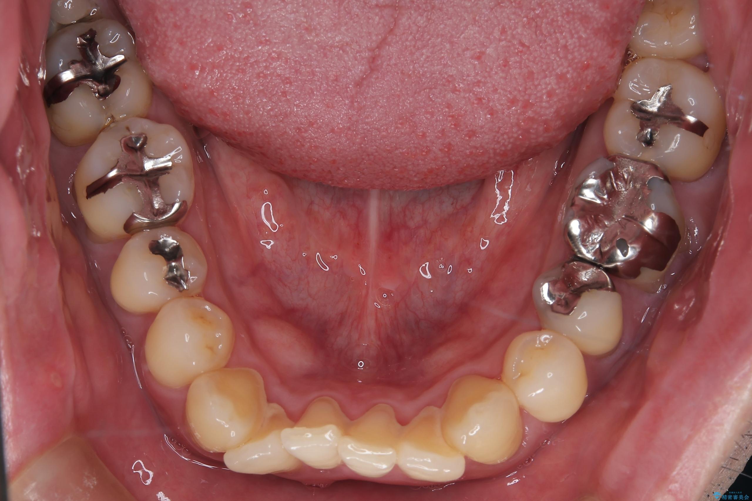
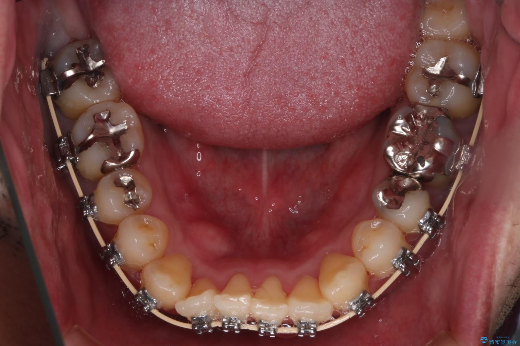
下のがたつきをとるために、IPR(歯と歯の間を削る処置)も行って歯を並べていきます。
- 費用(概算)
- 80.3万円(税込)費用は治療当時の料金となります
治療について
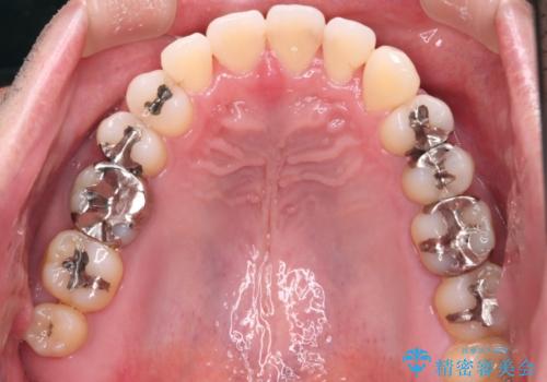
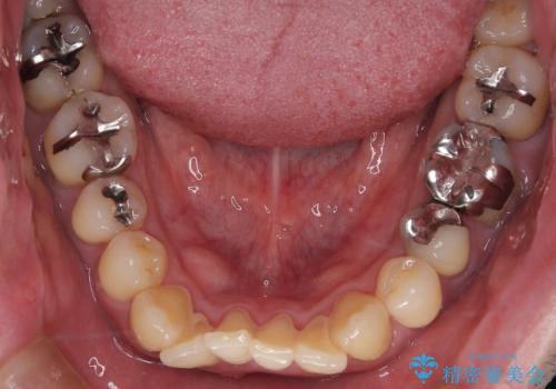
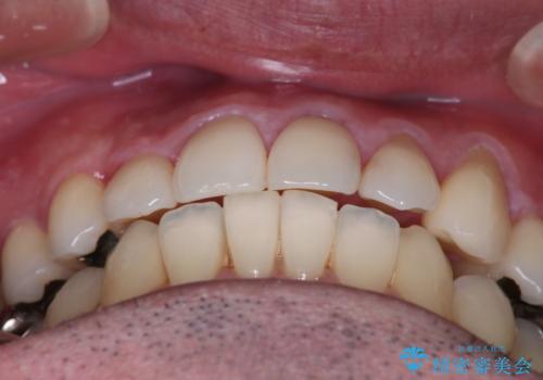
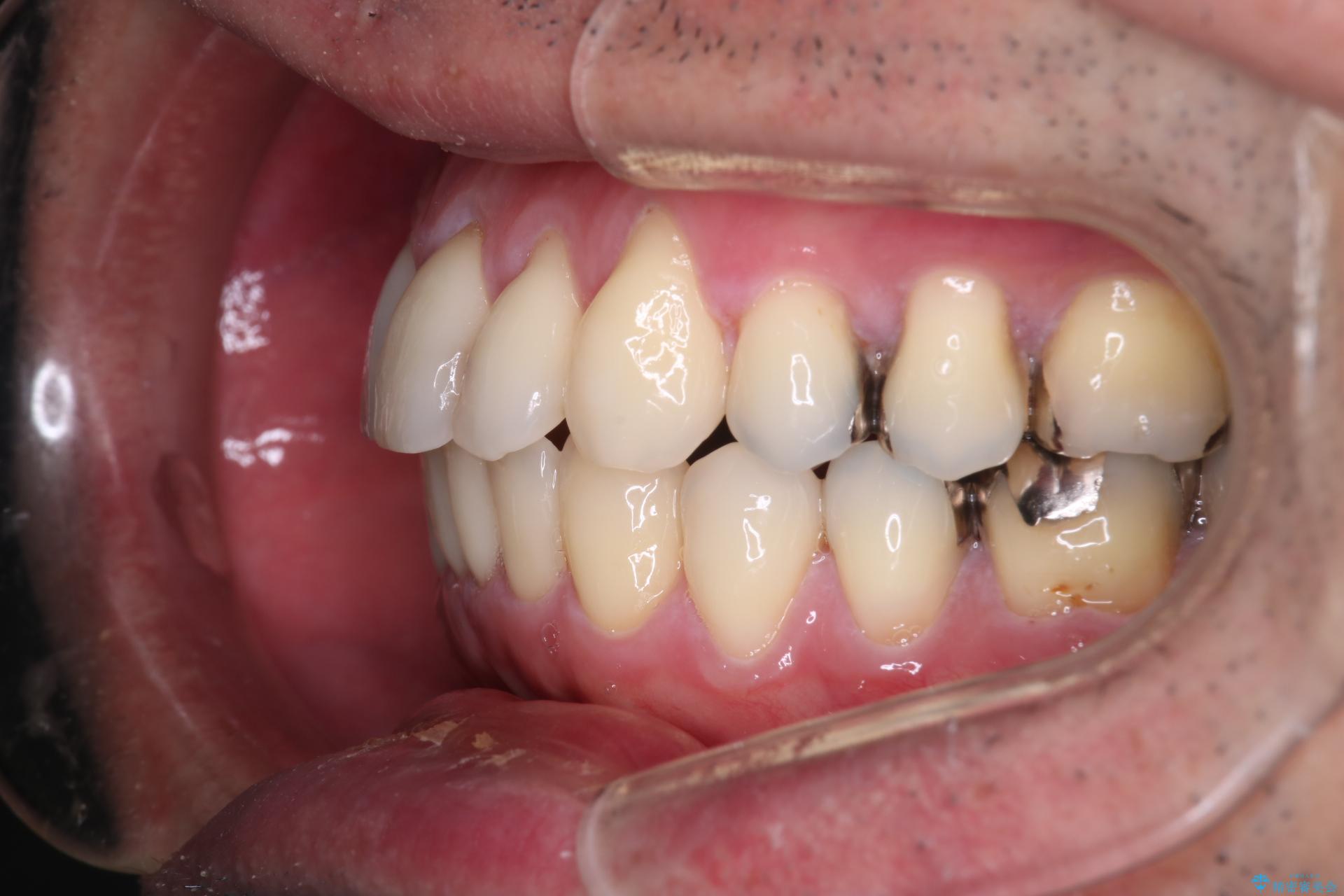
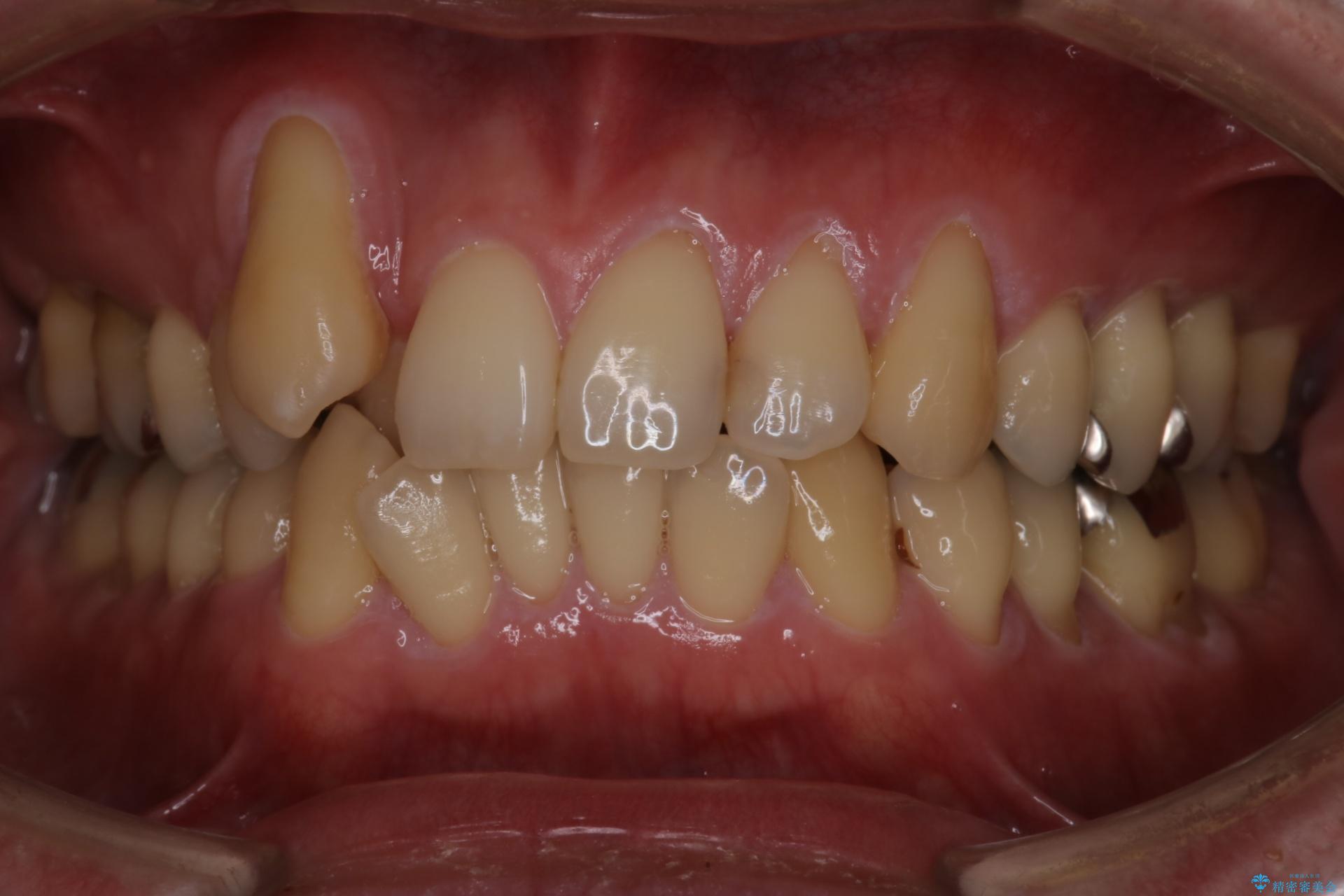
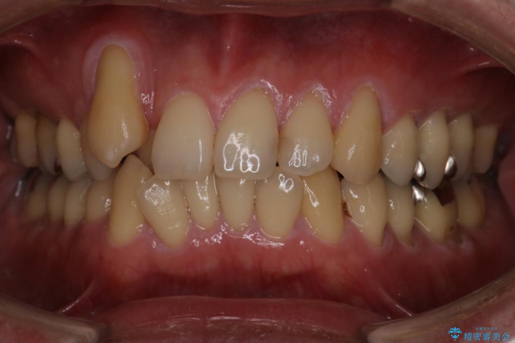
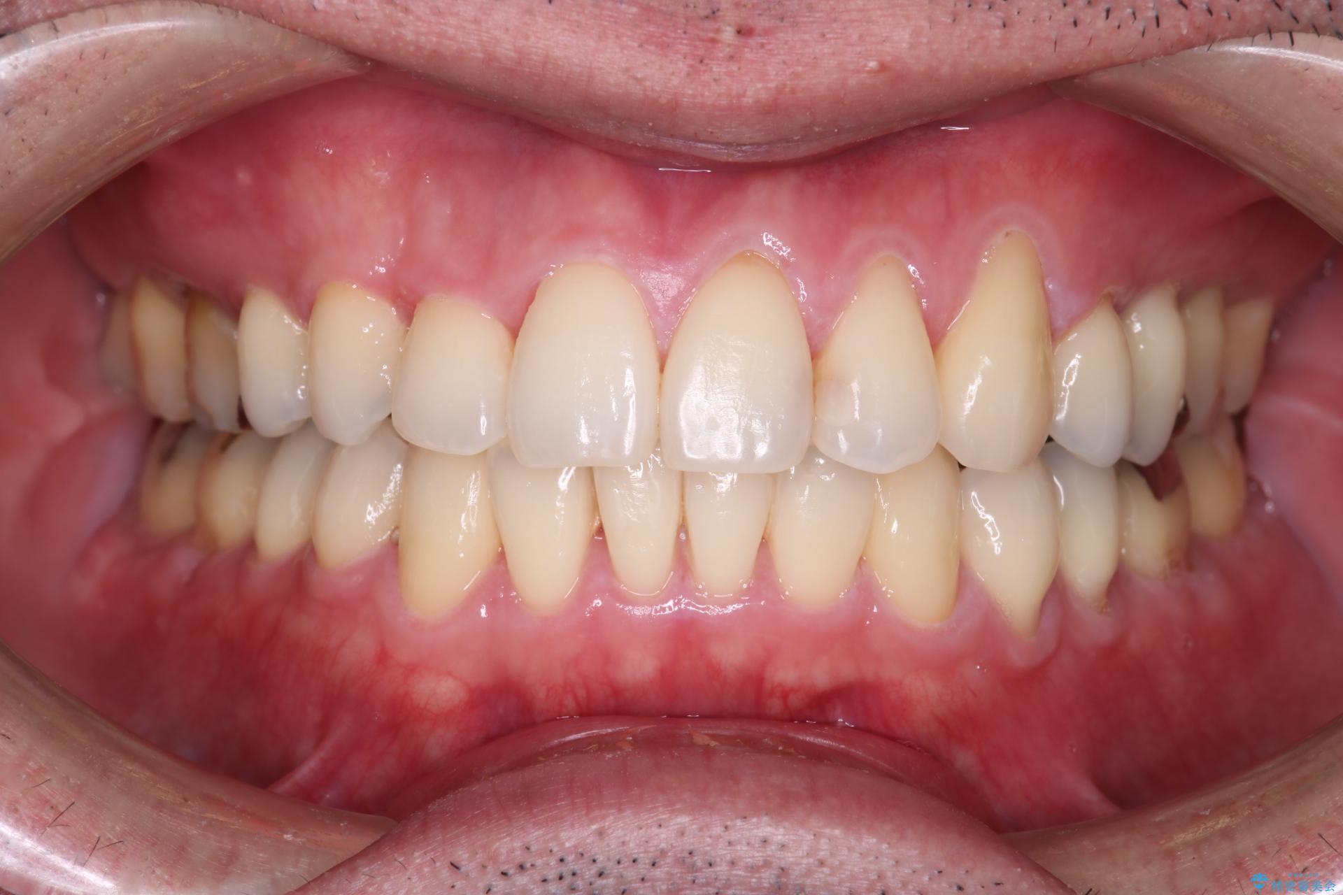
抜歯の本数を最小限に抑えたことで、治療計画も1年5ヶ月と短期間で終了することができ
主訴である前歯のがたつきも改善され綺麗な歯並びになりました。
矯正の装置を除去したタイミングで、ホワイトニングも行うことで歯の色味も白くなりました。
ワイヤー矯正の注意事項(リスク・副作用など)
- 治療中は違和感や痛みが起こることがあります
- 症状により、抜歯が必要な場合があります
- 治療中は歯磨きがしにくくなるため、虫歯や歯周病になりやすくなります
- 矯正治療後の保定が不十分だと後戻り(元の位置に戻ろうとする動き)をします
- 自費診療(保険適用外)となります
当サイトの内容、テキスト、画像等の無断転載、複製、複写、盗用を固く禁じます。



















