電話予約
無料相談予約
選ばれる理由
Reason
歯科医師紹介
Doctor
診療科目
Services
症例写真
Case photo
動画
Movie
治療費一覧
Price
医院紹介
Clinic
症例・治療例紹介
Cases
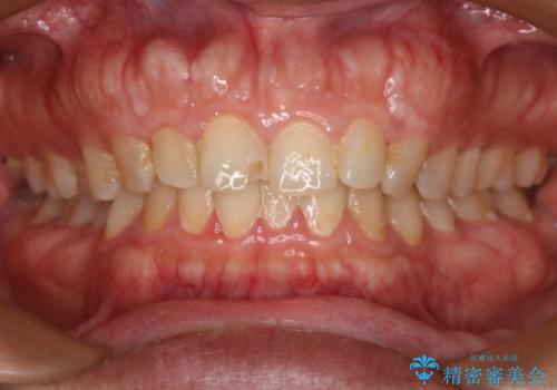
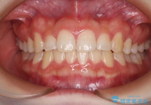
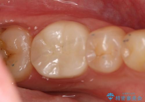
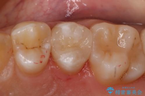
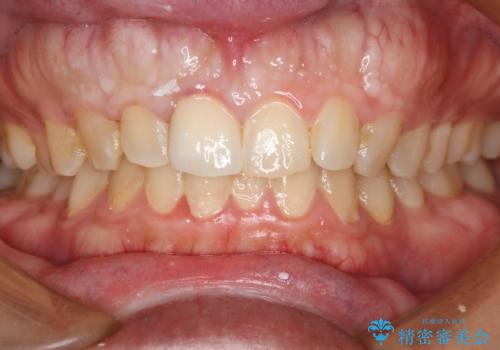
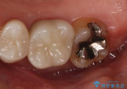
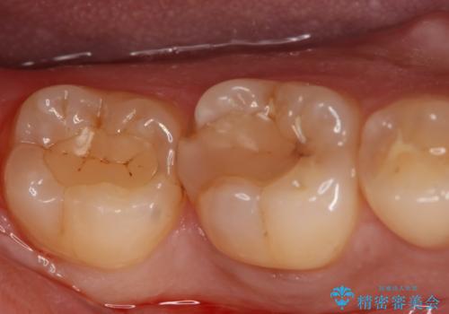
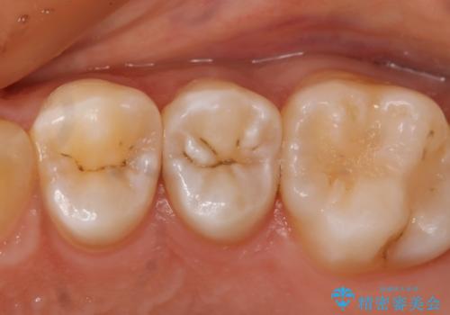
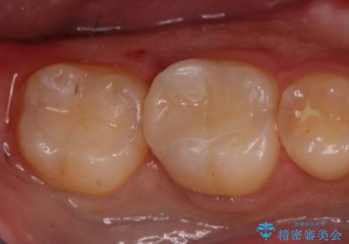
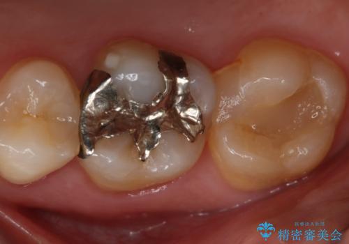
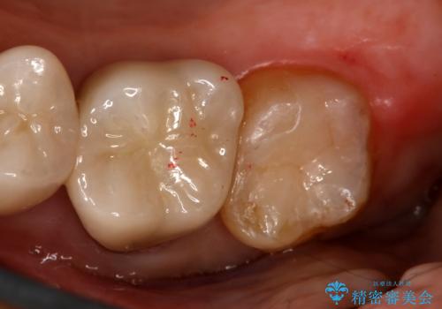
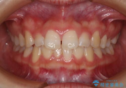
Dr. 小澤俊哉の症例写真
1ページ目 / 3
担当医 小澤俊哉<2025年10月30日更新>
担当医 小澤俊哉<2025年10月18日更新>
担当医 小澤俊哉<2025年9月22日更新>
担当医 小澤俊哉<2025年8月18日更新>
担当医 小澤俊哉<2025年7月10日更新>
担当医 小澤俊哉<2025年6月1日更新>