症例詳細
Case detail
【審美装置】非抜歯矯正で八重歯改善!
治療症例の内容
- 患者様
- 20代女性
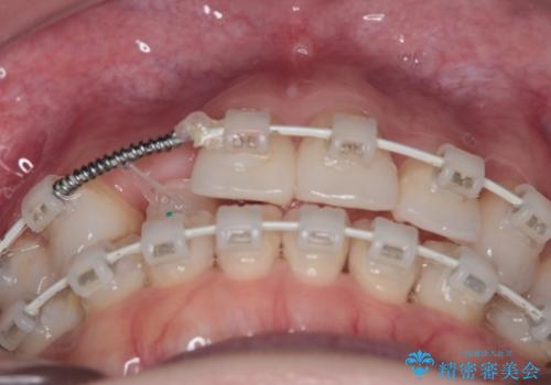
- 矯正装置
- 審美装置
- 治療期間
- 1年4ヶ月
- 治療回数
- 10-30回
- 治療計画
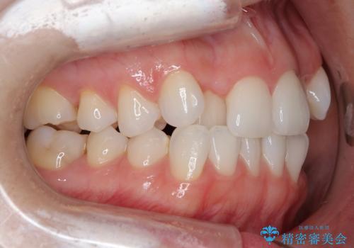
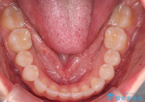
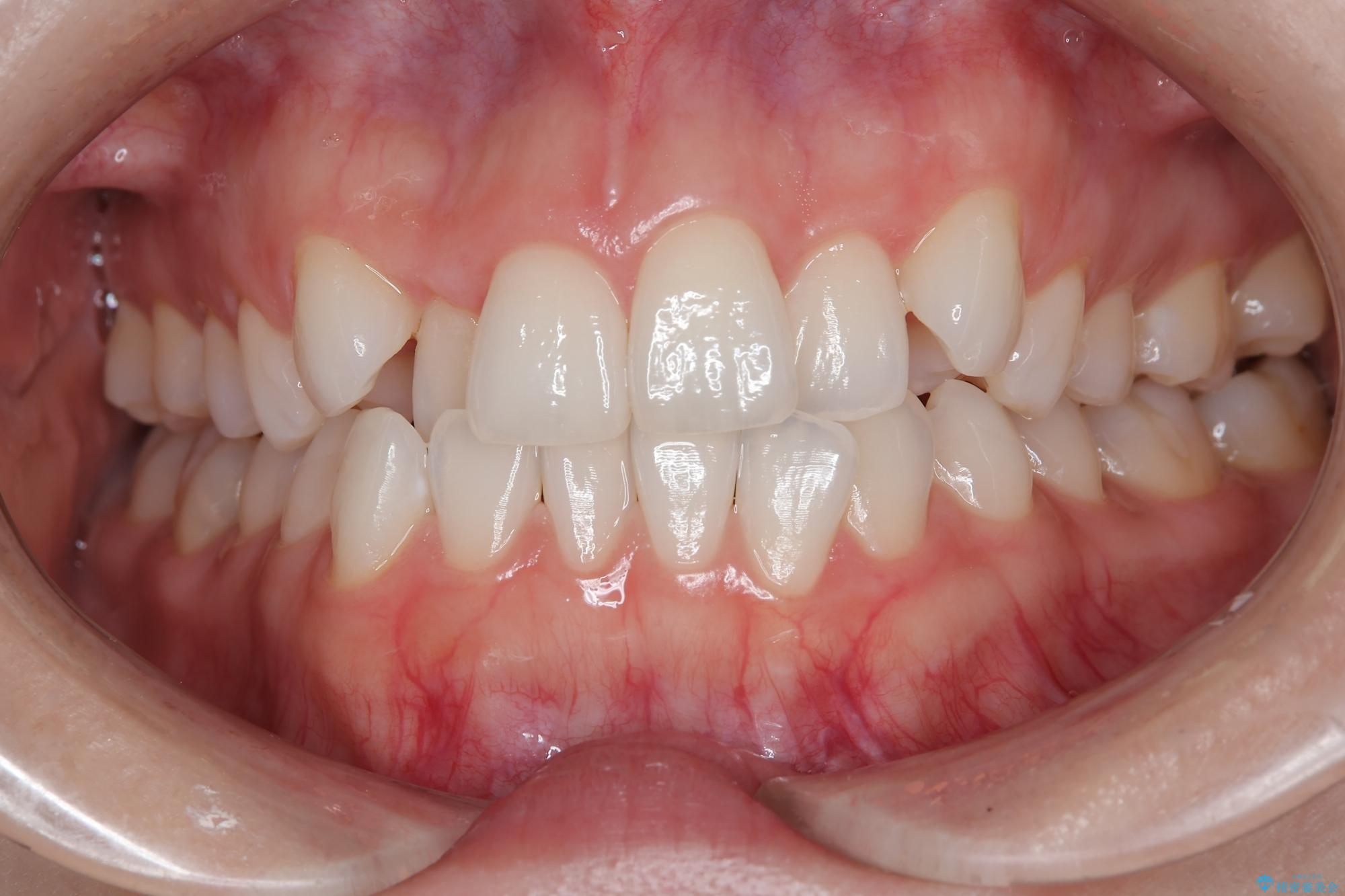
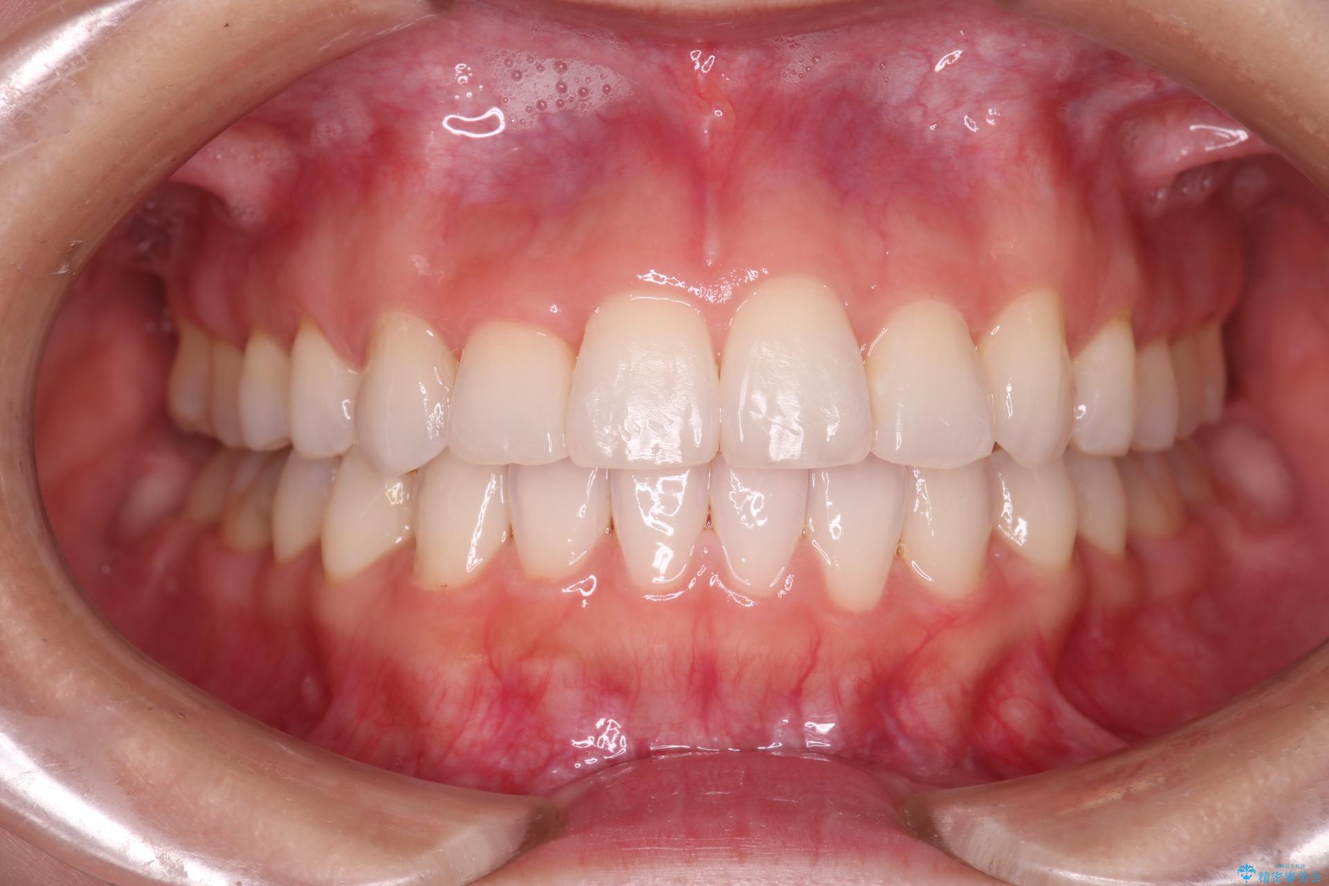
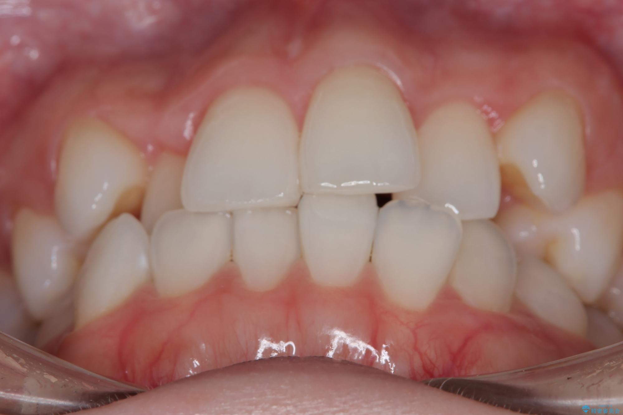
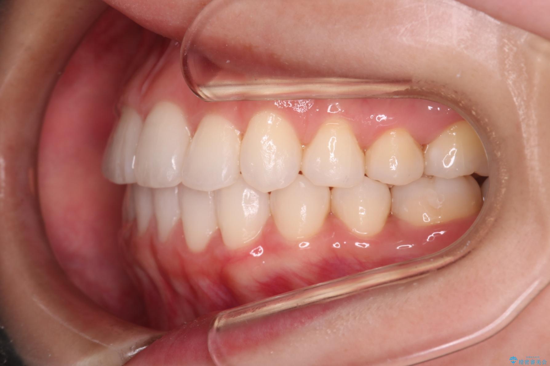
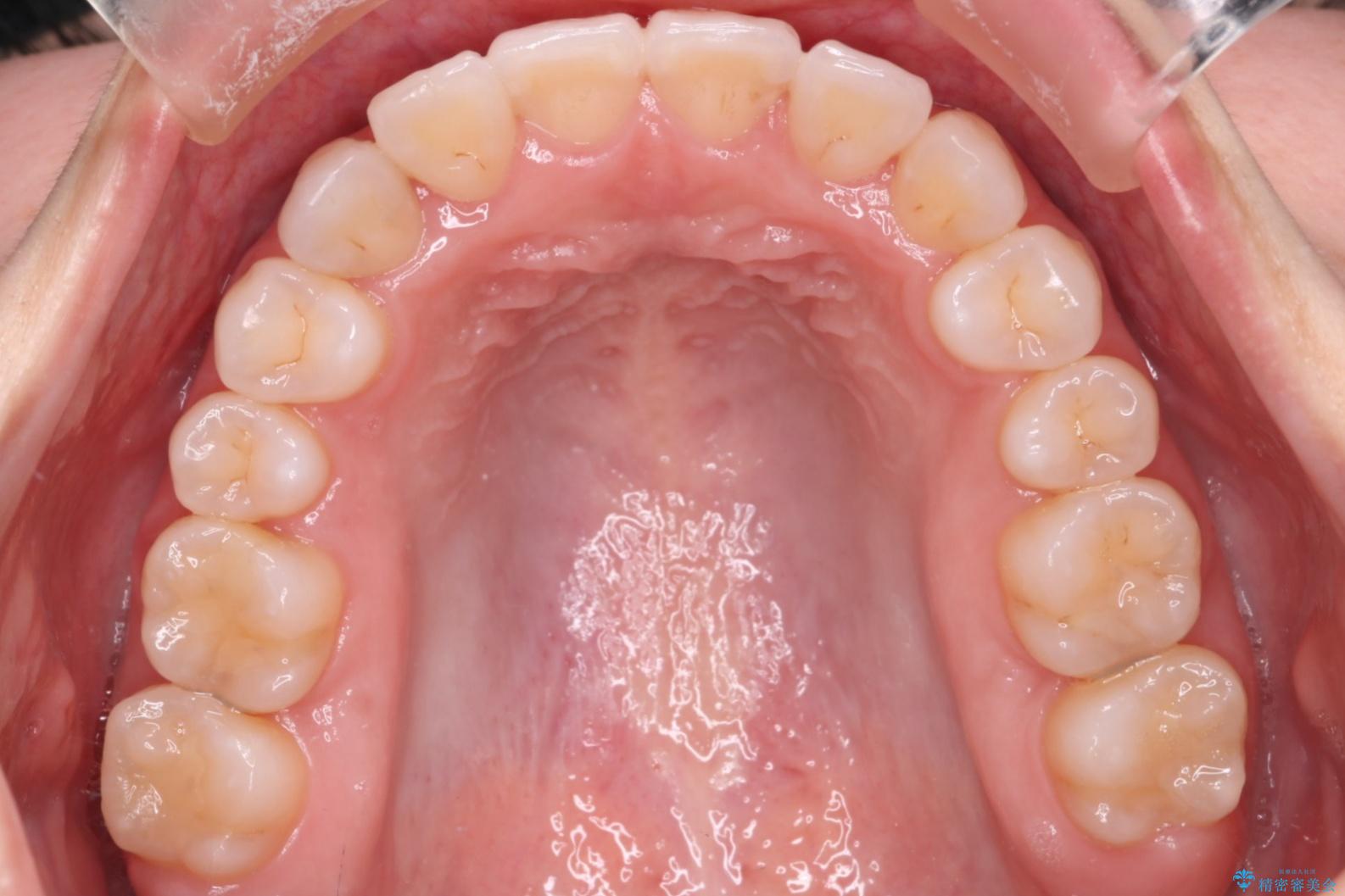
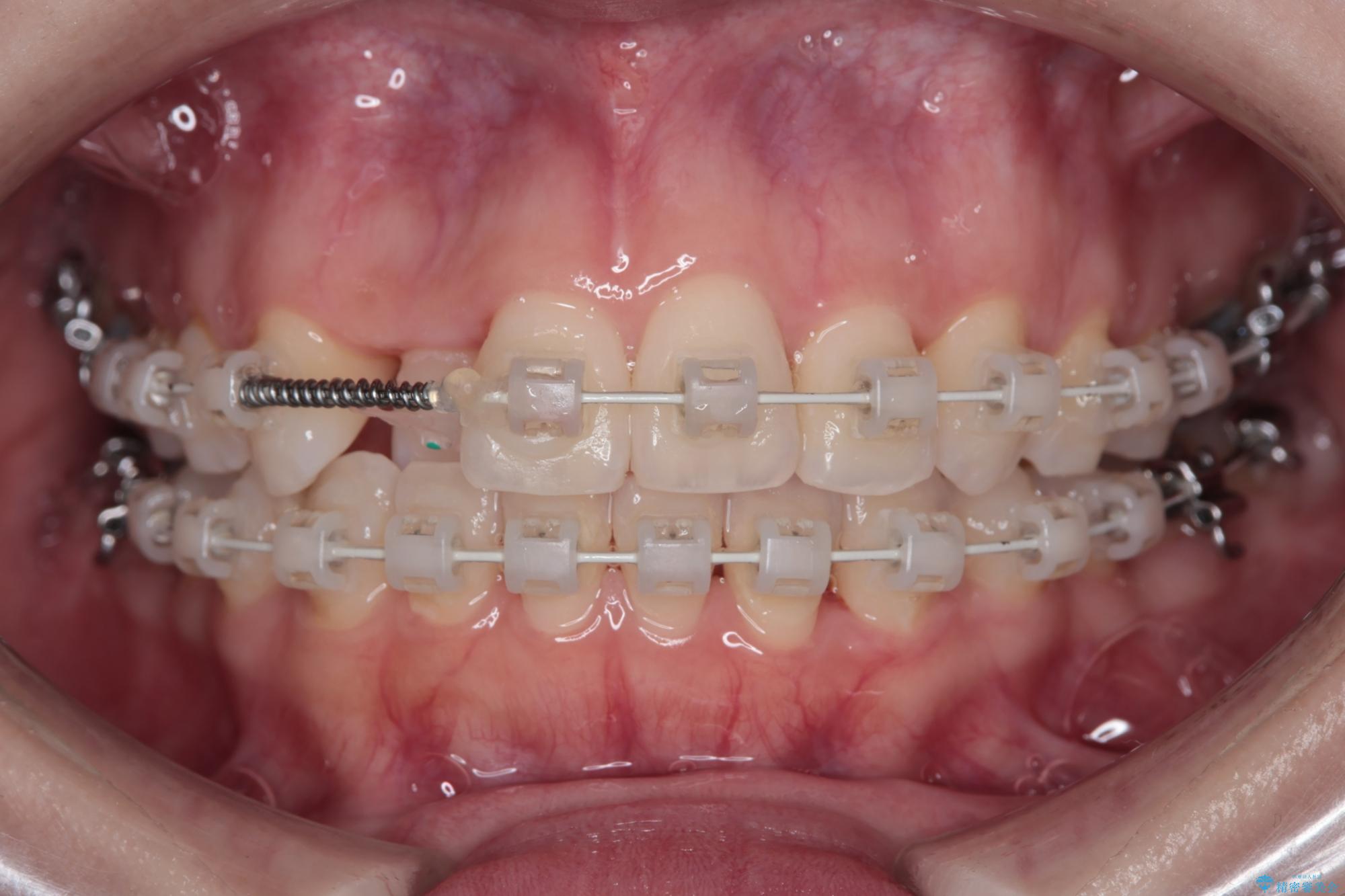
- 上の八重歯が気になることを主訴に来院されました。
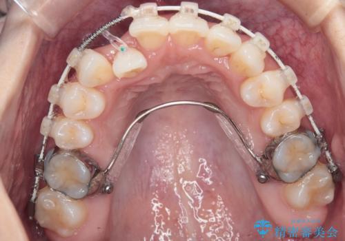
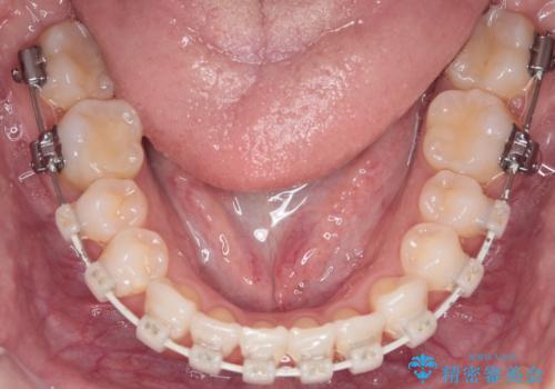
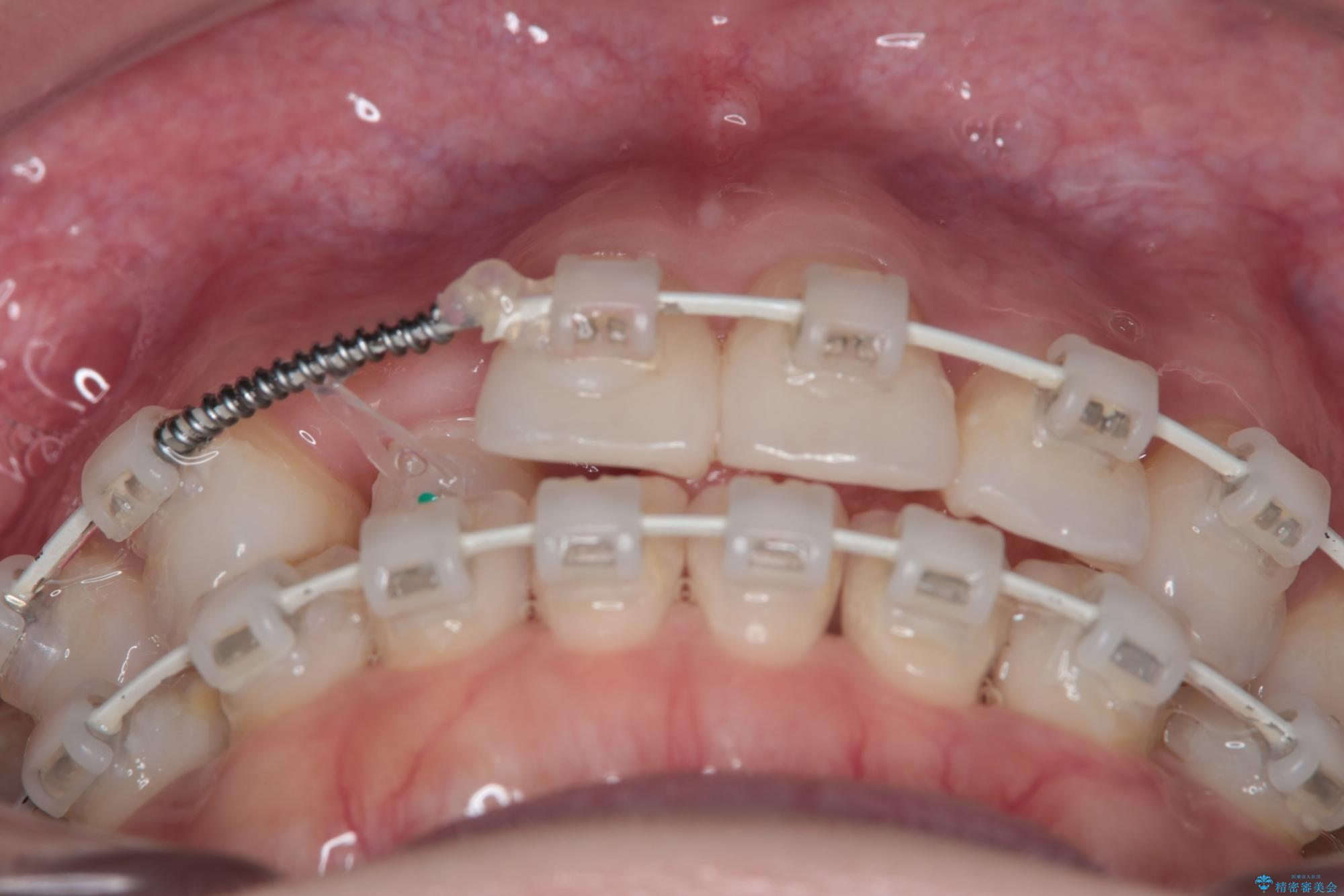
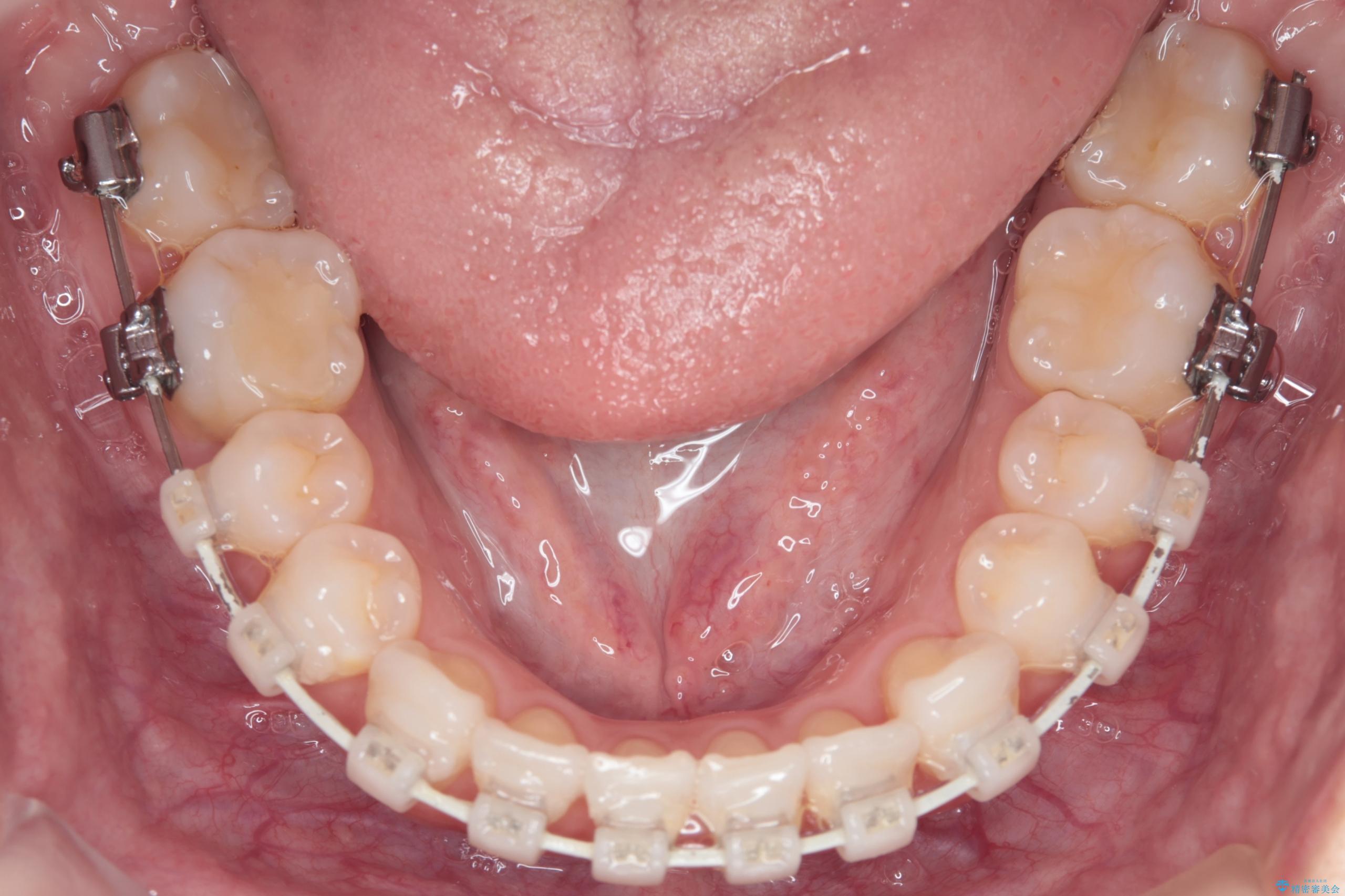
上の親知らずを抜歯し、リンガルアーチを用いて臼歯遠心移動しながらIPR(歯と歯を削る処置)を行いスペースを確保し
歯並びを整えていく治療計画を立てました。
- 費用(概算)
- 82.1万円(税込)費用は治療当時の料金となります
治療について
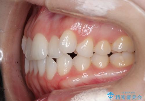
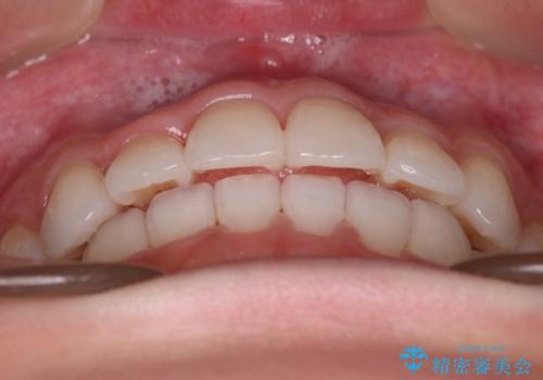
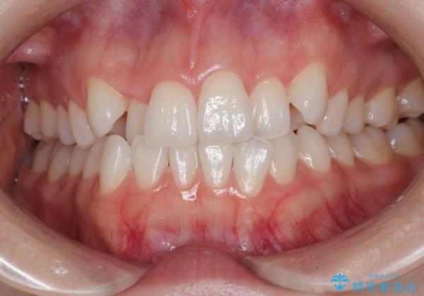
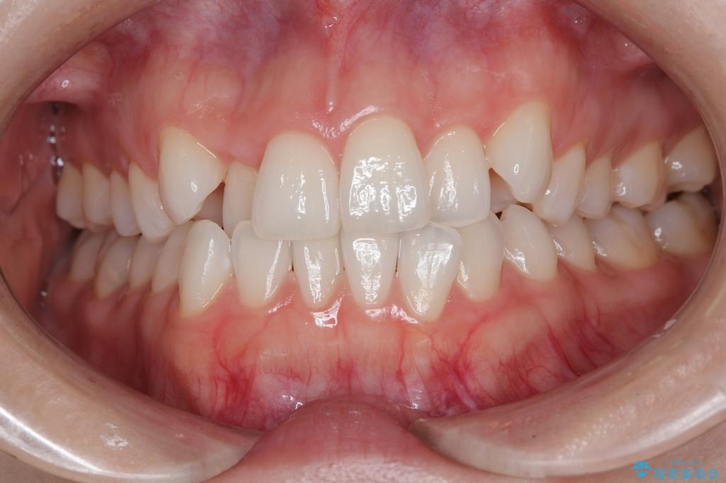
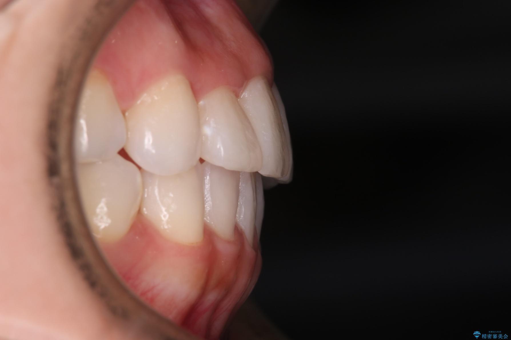
リンガルアーチを用いて遠心移動を行なったことで、
抜歯せずに八重歯が改善され綺麗な歯並びになりました。
治療期間も1年4ヶ月という短期間で終了することができました。
ワイヤー矯正の注意事項(リスク・副作用など)
- 治療中は違和感や痛みが起こることがあります
- 症状により、抜歯が必要な場合があります
- 治療中は歯磨きがしにくくなるため、虫歯や歯周病になりやすくなります
- 矯正治療後の保定が不十分だと後戻り(元の位置に戻ろうとする動き)をします
- 自費診療(保険適用外)となります
当サイトの内容、テキスト、画像等の無断転載、複製、複写、盗用を固く禁じます。




















