症例・治療例紹介
Cases
インプラント治療 → 1DAYインプラント(抜歯即時埋入)
1ページ目 / 2
難症例の奥歯も3ヶ月で機能回復!抜歯即時インプラントでスピード解決


歯肉から膿が出る 破折した奥歯の抜歯即時埋入インプラント


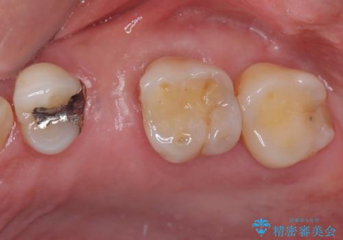
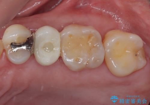
破折によりクラウンの外れてしまった奥歯 抜歯即時埋入で短期間インプラント治療


顕微鏡で確認した歯の破折。抜歯即時インプラントで治療


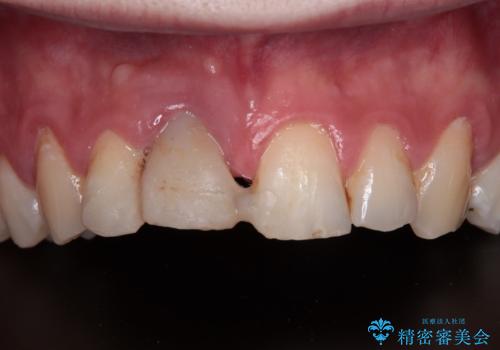
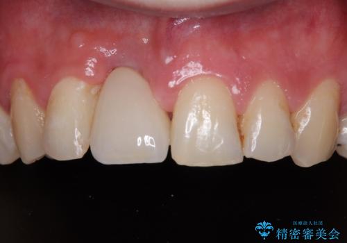
折れた前歯を即時インプラントで回復


ニューヨークから1泊で通院 1DAYインプラント


破折した前歯のインプラント 1DAYインプラントで短期間治療


放置していたむし歯 抜歯即時埋入インプラントによる補綴治療


破折した奥歯 1DAYインプラントで短期間治療


欠損を放置した奥歯 即時荷重インプラントですぐに噛めるように


手術が怖くて抜いたままの奥歯に歯を 1DAYインプラント治療


首の皮一枚で繋がっている前歯 1DAYインプラントでスムーズに治療


前歯4本のセラミック治療|抜歯即時インプラント+歯根端切除術で機能と美しさを回復


放置していたむし歯 抜歯即時埋入インプラントで負担を軽減


強い咬合力で歯が割れる 1DAYインプラントで歯を守りながら治療


インプラント治療の注意事項(リスク・副作用など)
- 外科手術のため、術後に痛みや腫れ、違和感を伴います
- メンテナンスを怠ったり喫煙により、お口の中に大きな悪影響を及ぼすインプラント周囲炎等にかかる可能性があります
- 糖尿病、肝硬変、心臓病等の場合、インプラント治療ができない可能性があります
- 高血圧、貧血・不整脈等の場合、インプラント治療後に治癒不全を招く可能性があります
- 自費診療(保険適用外治療)となります
