症例・治療例紹介
Cases
Dr. 藤巻太一朗の症例写真
1ページ目 / 112
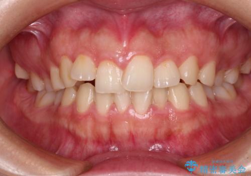
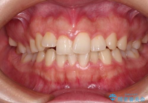
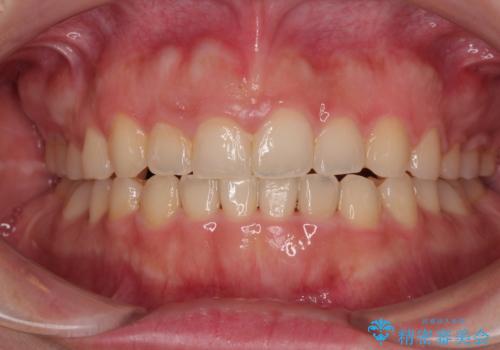
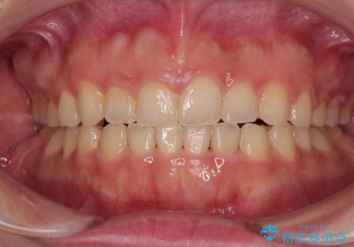
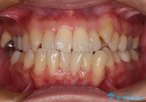
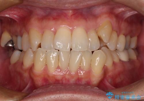
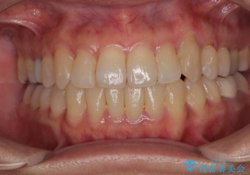
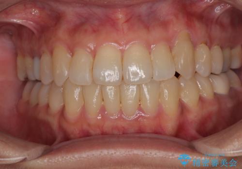
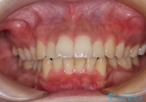
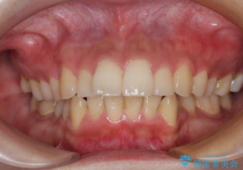
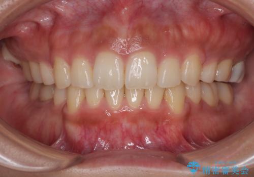
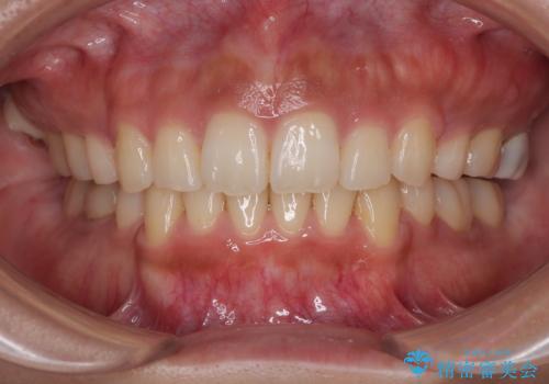
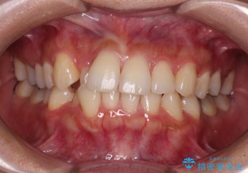
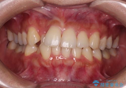
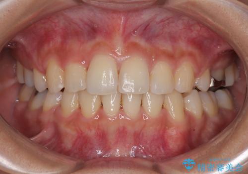
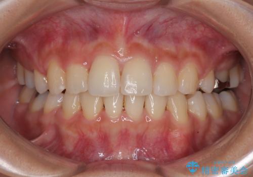
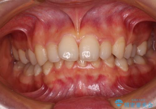
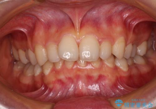
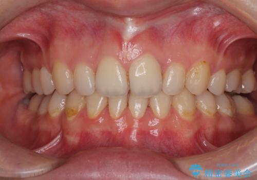
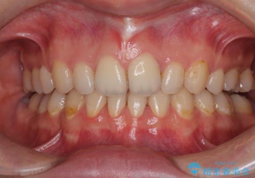
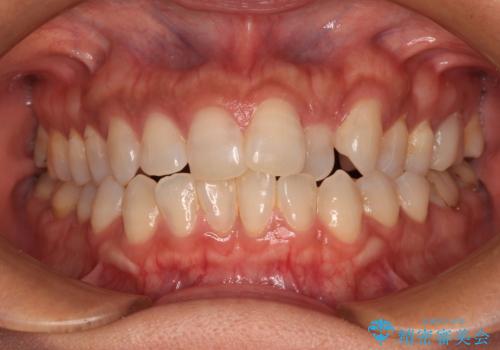
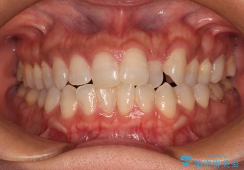
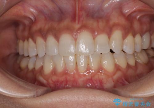
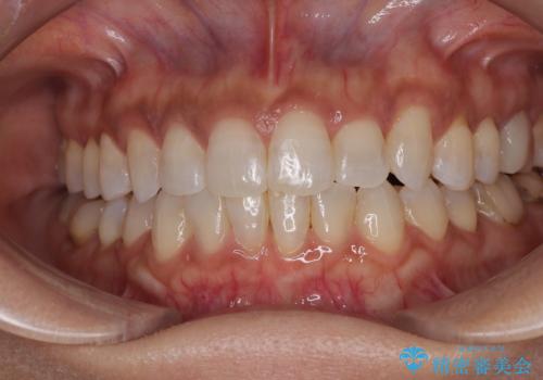
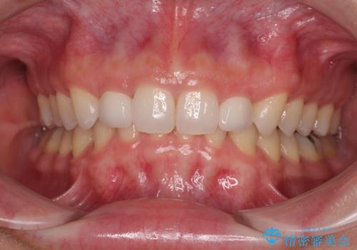
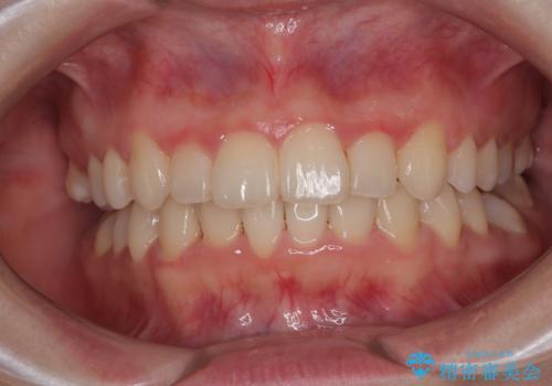
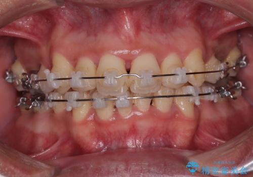
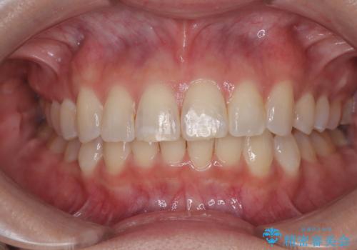
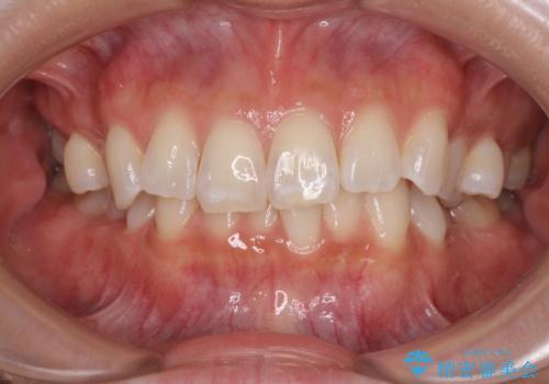
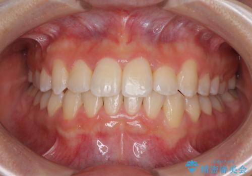
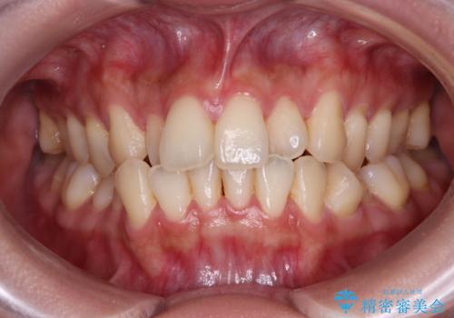
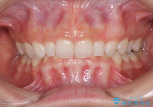
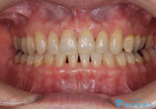
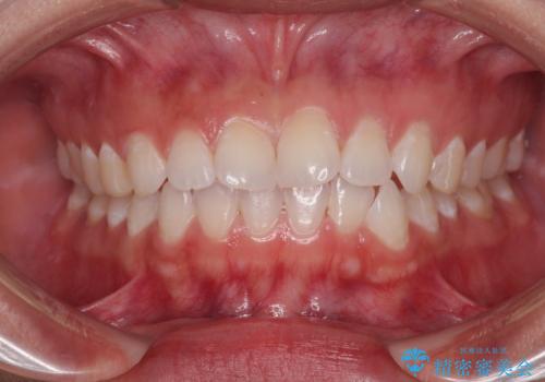
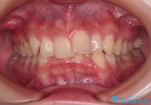
捻れて前に出ている前歯 ワイヤー装置での非抜歯矯正


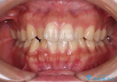
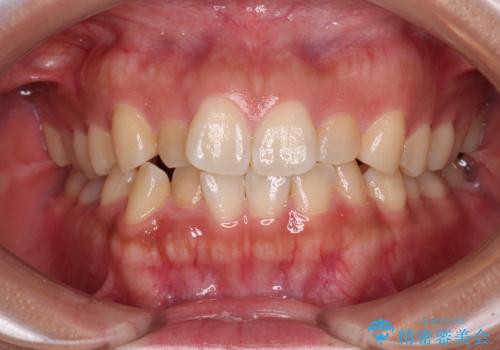
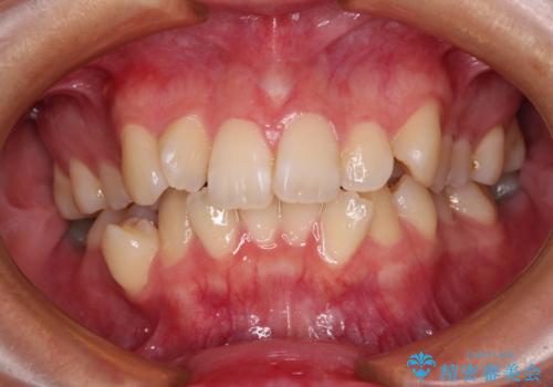
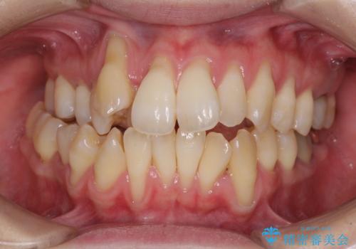
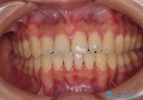
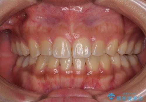
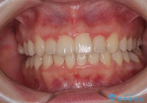
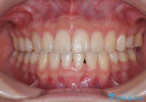
受け口と八重歯を改善 インビザライン矯正治療


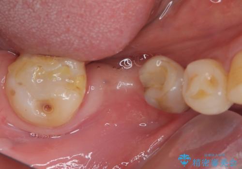
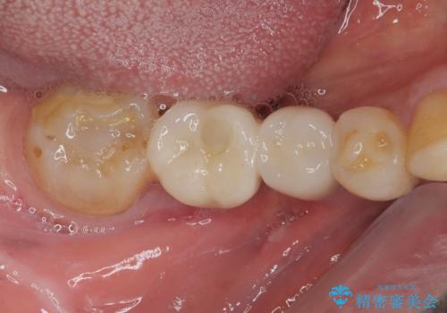
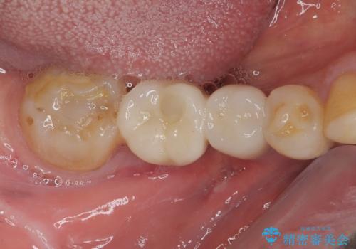
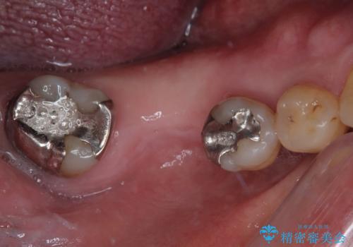
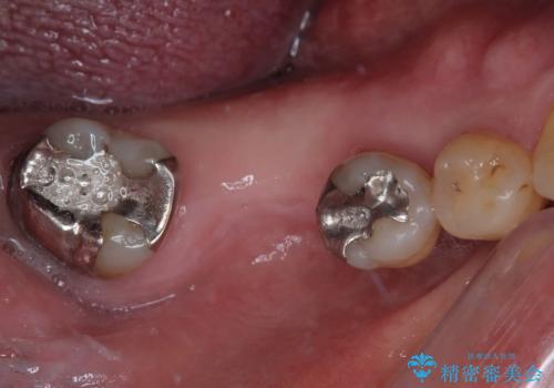
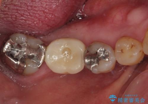
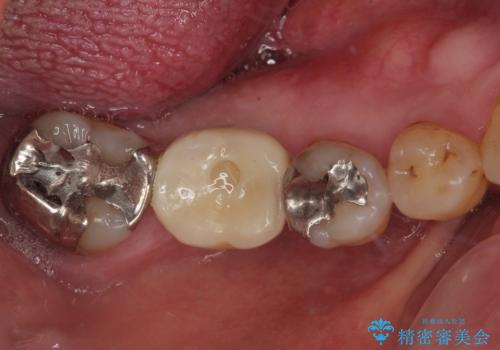
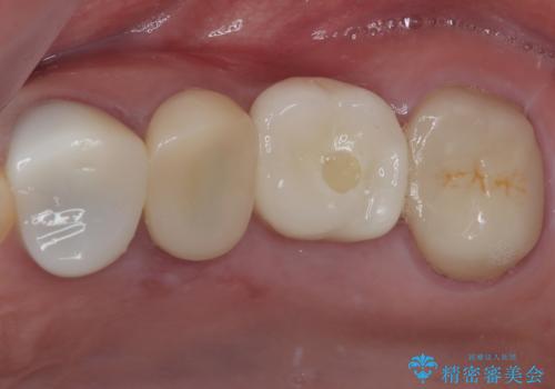
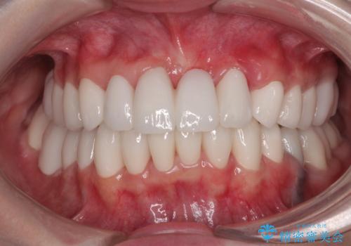
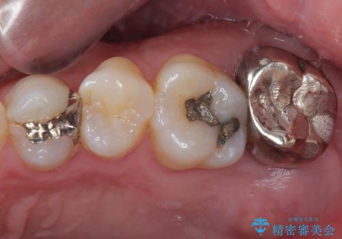
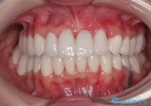
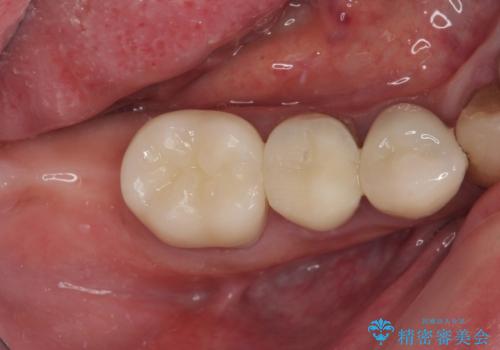
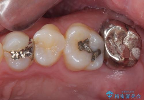
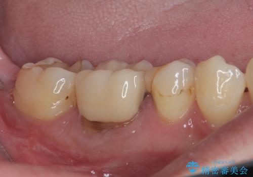
奥歯がしみる オールセラミッククラウンによる奥歯のむし歯治療


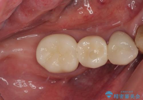
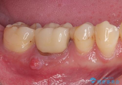
割れて揺れている奥歯 抜歯即時・早期埋入インプラント治療


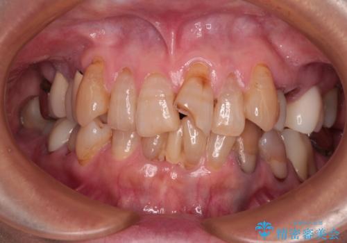
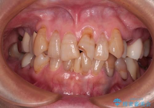
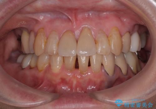
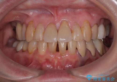
抜歯とむし歯治療を途中で放置 インプラント補綴治療


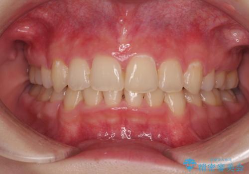
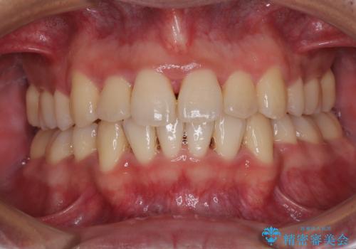
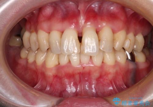
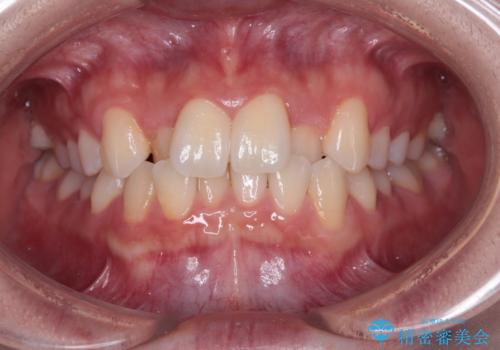
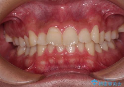
【モニター】唇が閉じにくい ワイヤー装置での抜歯矯正


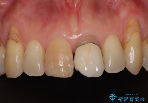
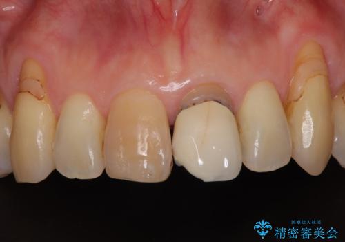
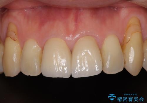
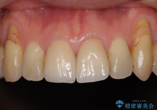
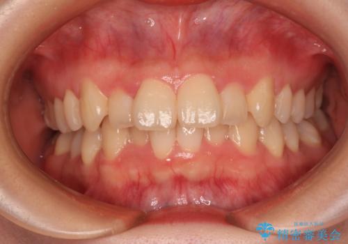
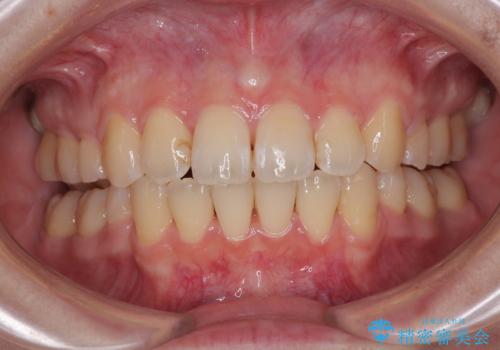
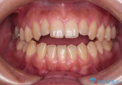
色のバランスの悪い前歯 オールセラミッククラウンで自然な口元に


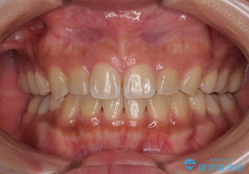
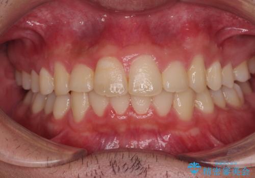
気になる前歯と咬み合わせを改善 インビザライン・モデレート
担当医 藤巻太一朗


抜歯して放置したままの奥歯 即時荷重インプラント


【モニター】閉じにくい前歯とクロスバイト ワイヤー装置での抜歯矯正


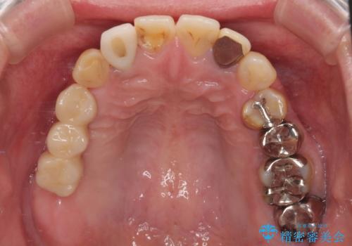
欠損や残存乳歯、深い咬み合わせ ワイヤー矯正で咬合改善


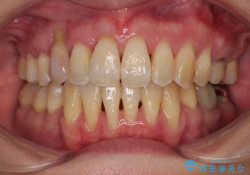
クロスバイトを治したい インビザラインによる矯正治療
担当医 藤巻太一朗


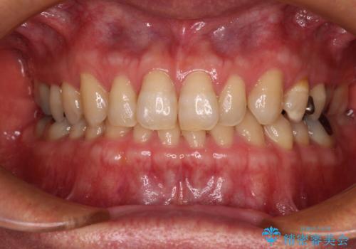
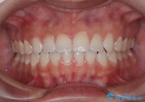
長年気になっていた前歯 矯正治療と補綴治療による審美歯科治療


しみる前歯のセラミック治療 周辺も同時に治療して調和の取れた前歯に


割れてしまった奥歯 1DAYインプラント治療


