症例詳細
Case detail
【メタルフリー】銀歯を綺麗な白い歯に
治療症例の内容
- 担当医
- 木本百栄(ドクタープロフィール)
- 患者様
- 30代男性
- 治療期間
- 1ヶ月
- 治療回数
- 2-5回
- 治療計画
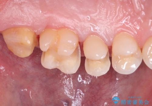
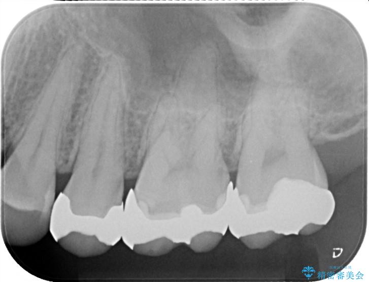
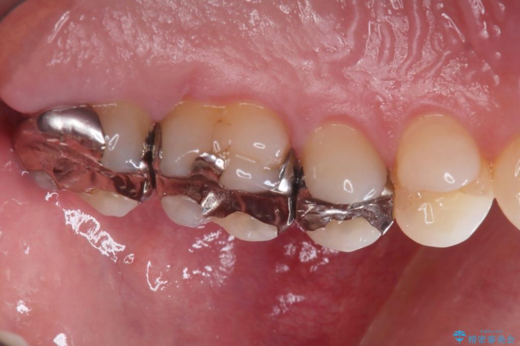
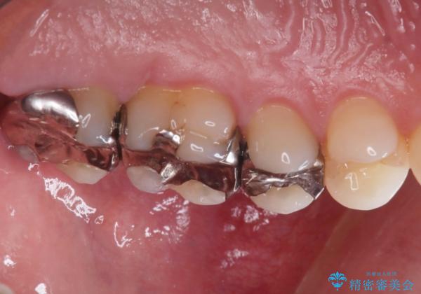
- 銀歯の入っている部分にフロスが引っかかるため、銀歯を適合の良い白いセラミックインレーにやりかえることを提案させていただきました。
- 費用(概算)
- 27.5万円(税込)費用は治療当時の料金となります
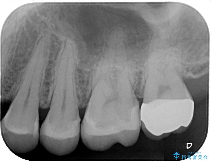
治療について
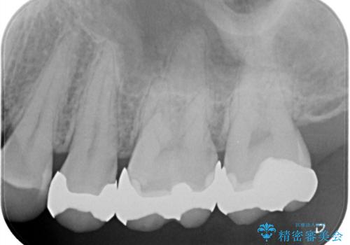
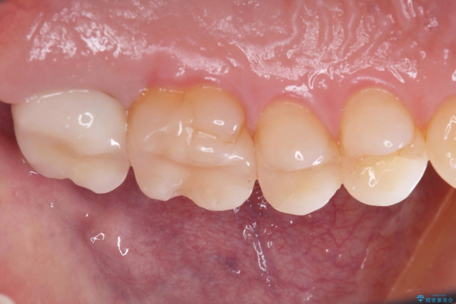
一番奥の歯は銀歯に覆われている範囲が多いため、強度などを踏まえ被せ物にしました。
その他2本は詰め物です。
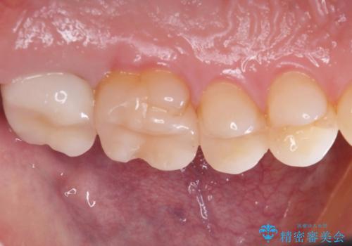
銀歯が綺麗な白い歯になりました。
適合がとてもよいので、フロスの引っかかりも解消されました。
セラミック治療の注意事項(リスク・副作用など)
- 天然歯を削ります
- 硬い素材は天然歯を傷つけてしまう場合があります
- かみ合わせや歯ぎしりが強すぎる方はセラミックが割れてしまう可能性があります
- 自費診療(保険適用外治療)となります
当サイトの内容、テキスト、画像等の無断転載、複製、複写、盗用を固く禁じます。





