症例詳細
Case detail
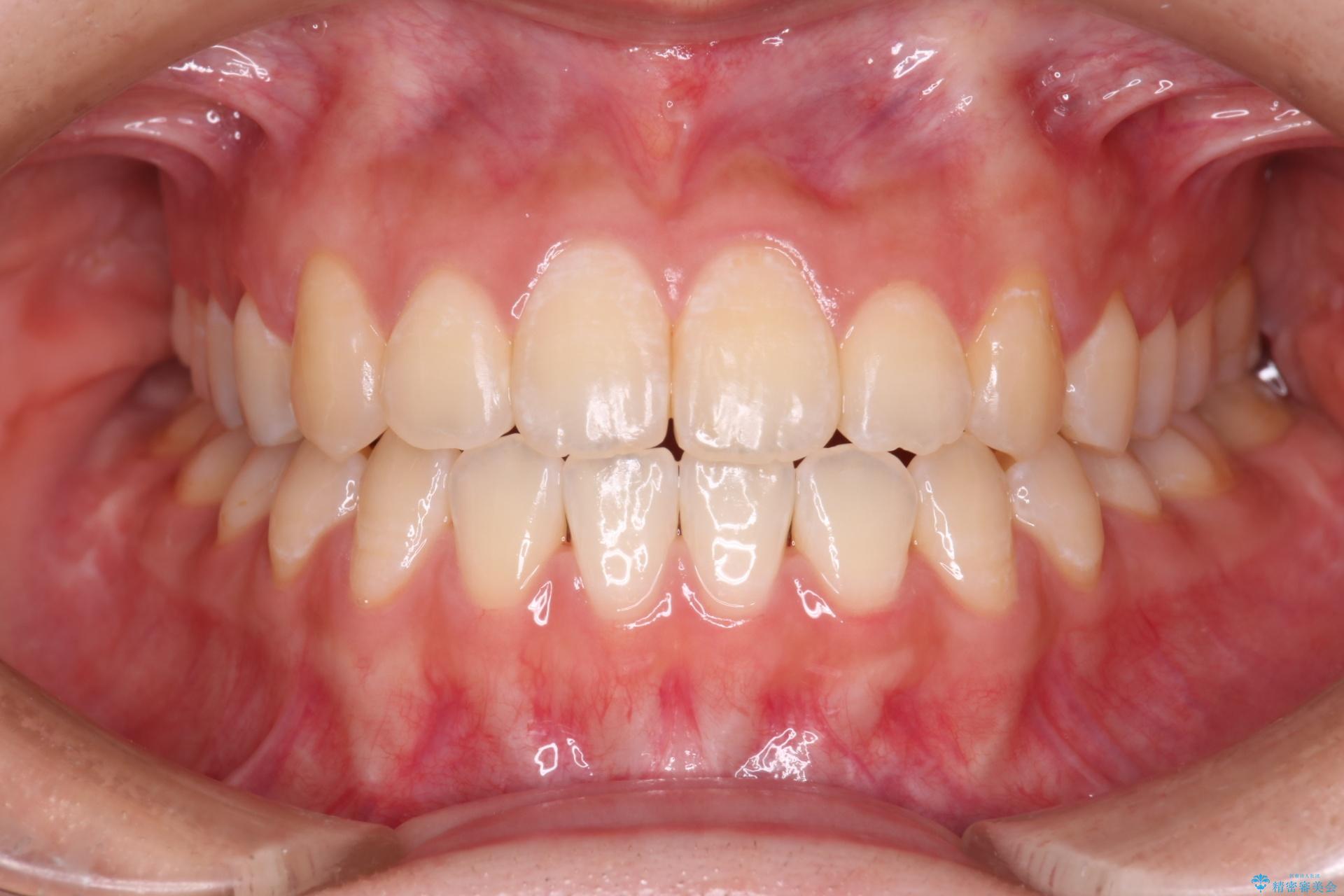
【審美ワイヤー】八重歯とがたつき気になる
治療症例の内容
- 診療科目
- 担当医
- 菊地俊介(ドクタープロフィール)
- 患者様
- 20代女性
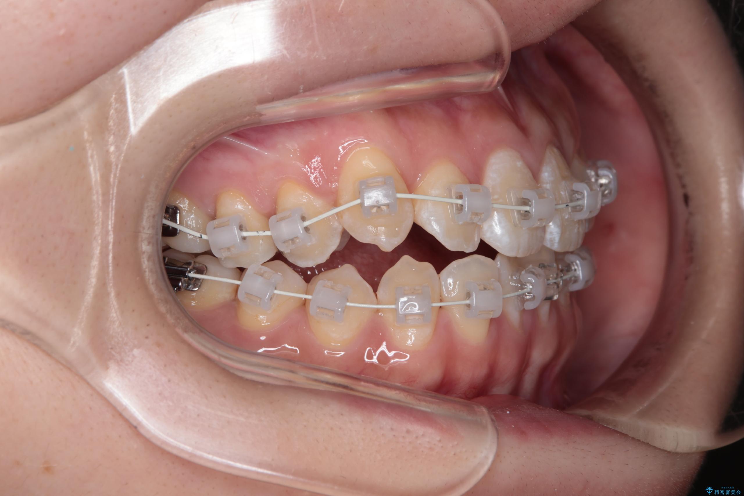
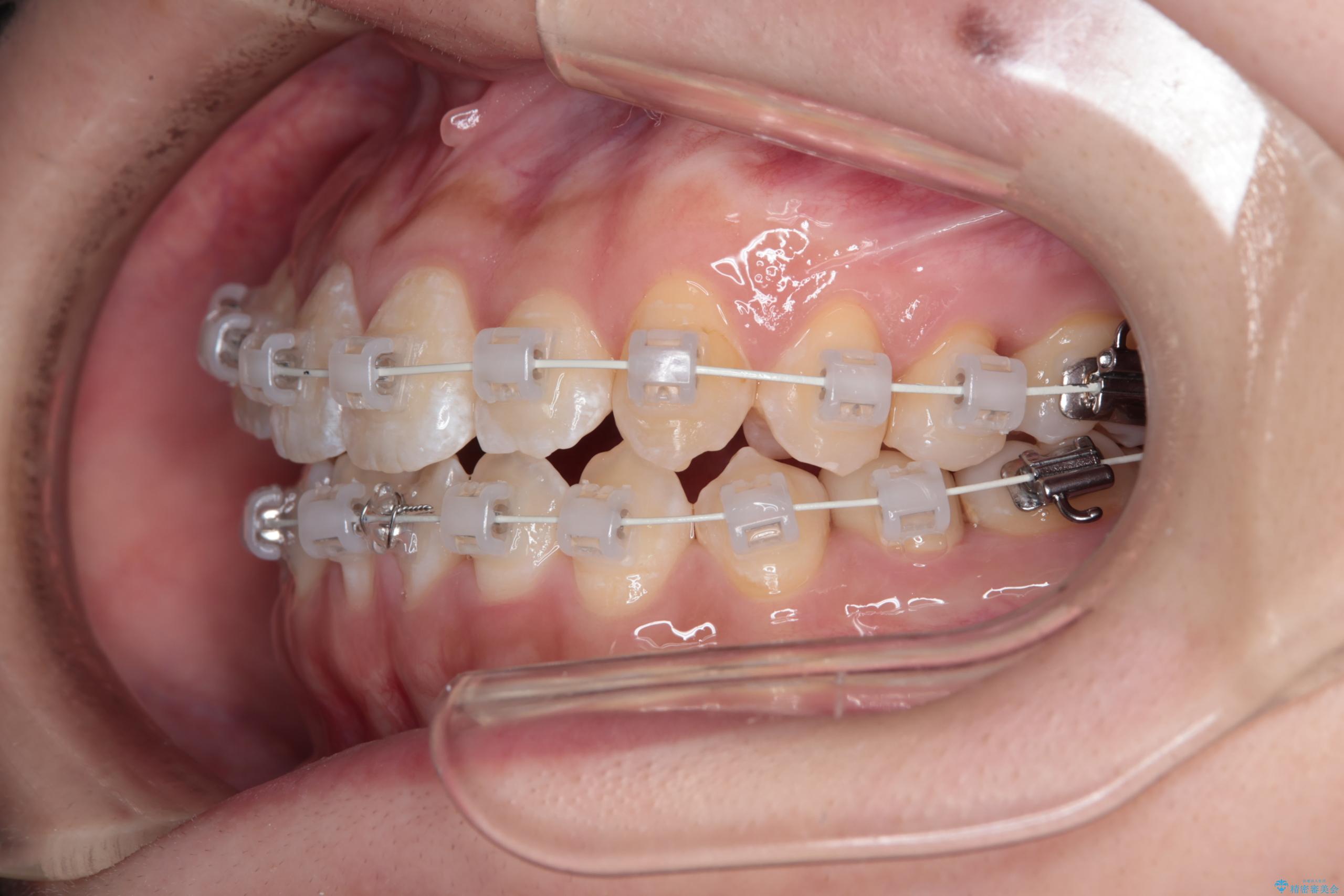
- 矯正装置
- 審美装置
- 治療期間
- 1年
- 治療回数
- 10-30回
- 治療計画
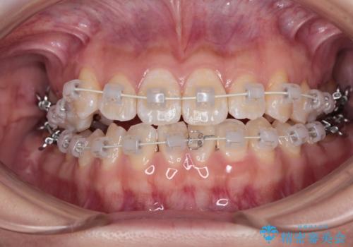
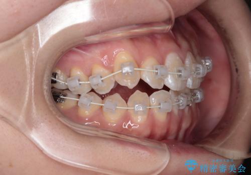
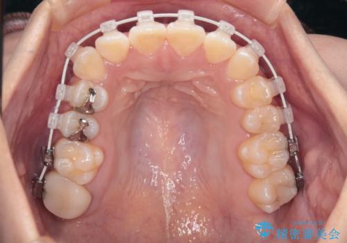
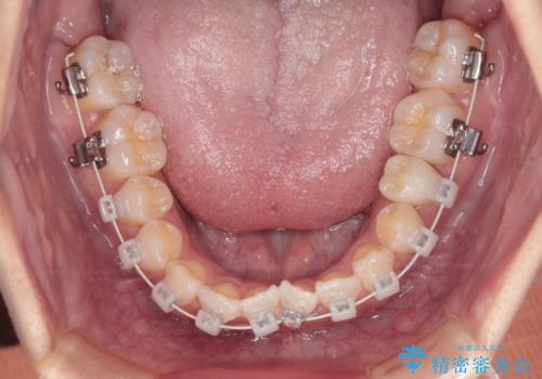
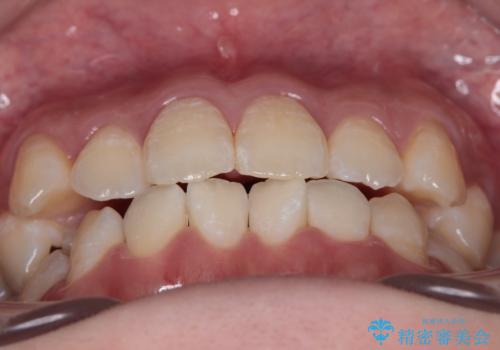
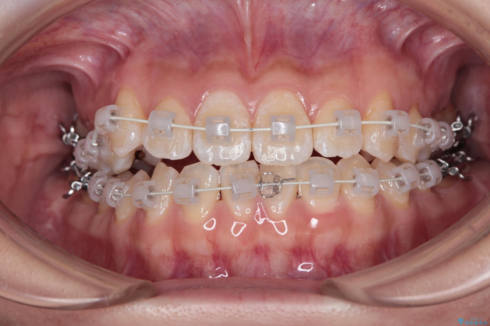
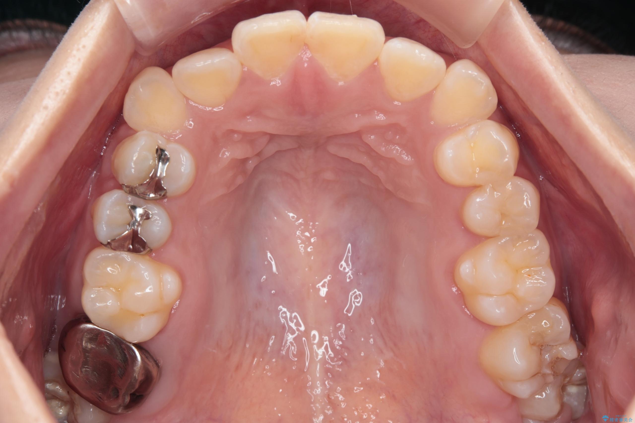
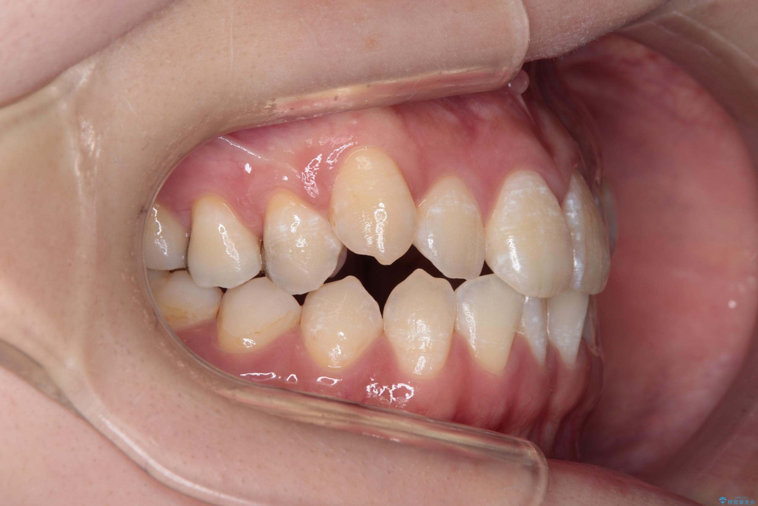
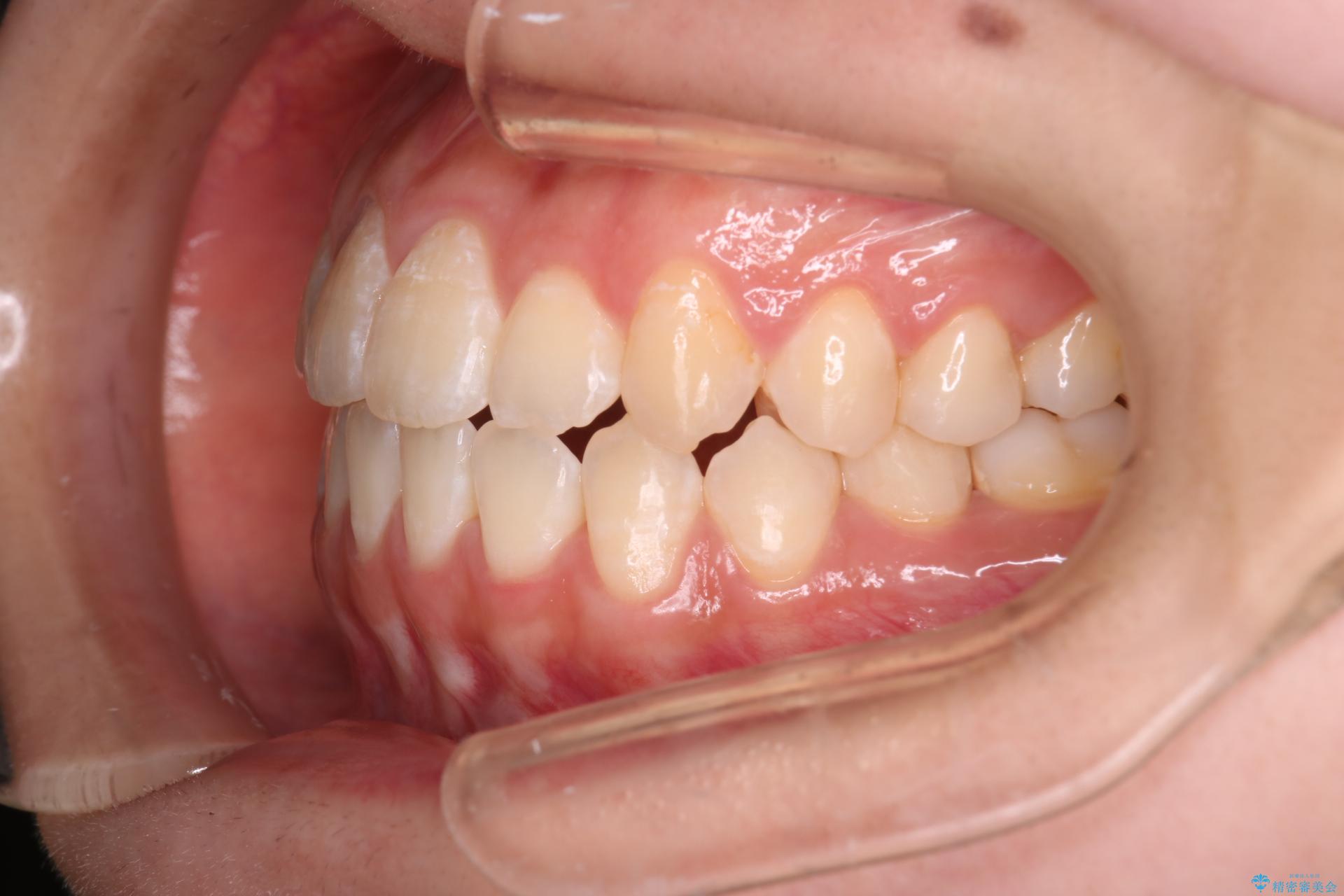
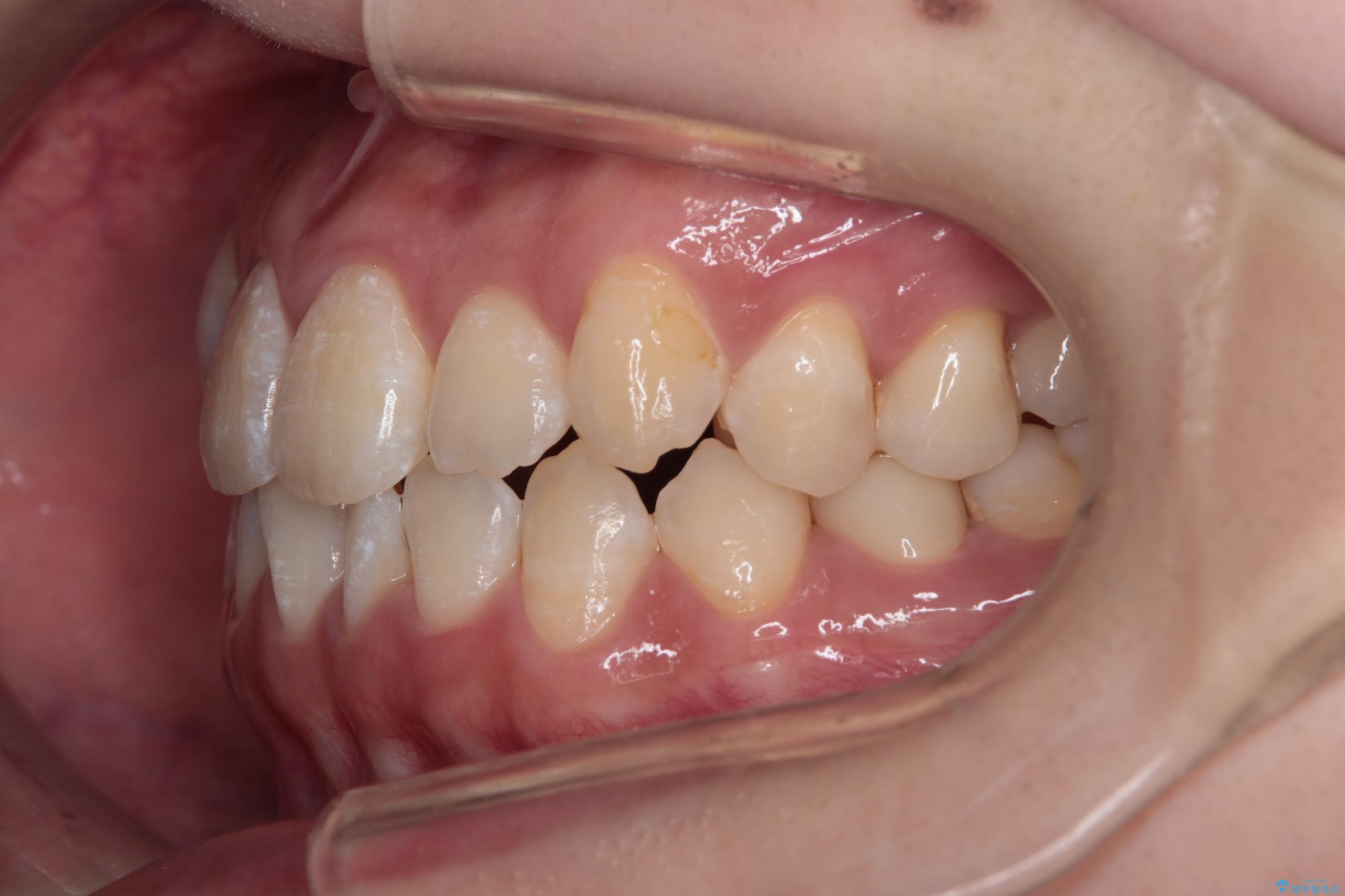
- 八重歯とがたつきを主訴に来院されました。
抜歯はせず、IPR(歯と歯の間を削る処置)を行いワイヤーにて歯列拡大を行うことで歯列を整える治療計画を立てました。
- 費用(概算)
- 78.1万円(税込)費用は治療当時の料金となります
治療について
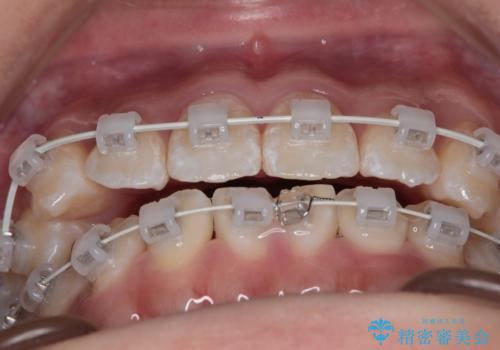
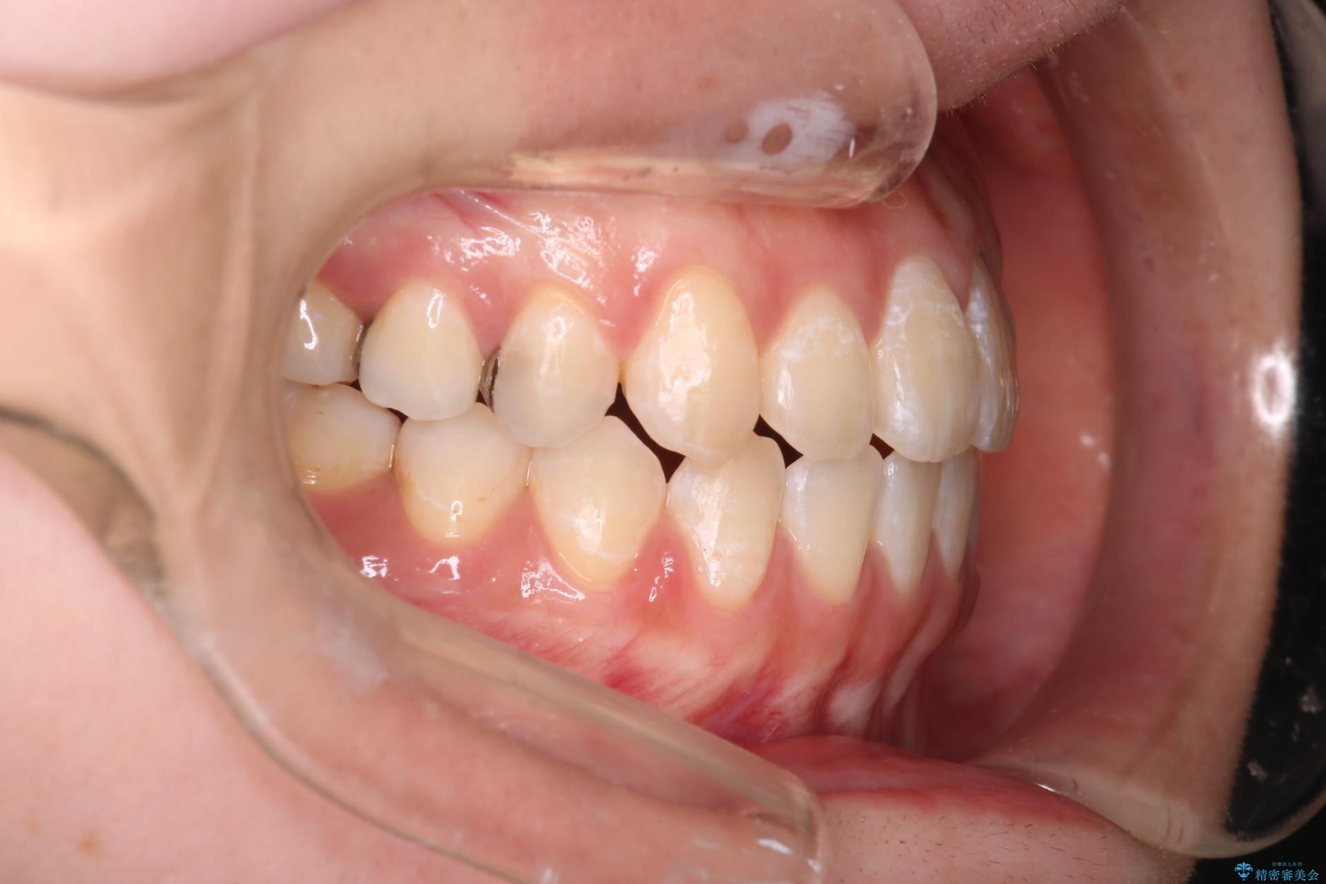
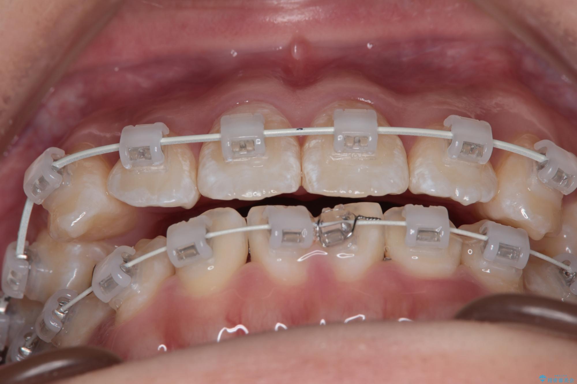
右側の八重歯の部分は噛み合わせをよくするためにゴム掛けを行いました。
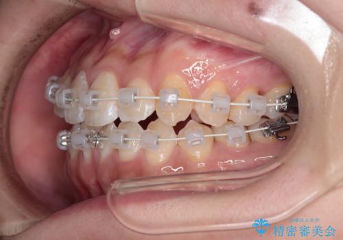
セラミックと銀歯の部分は装置が脱離してしまうので、矯正用の仮歯に変えて治療を行いました。
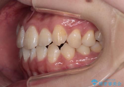
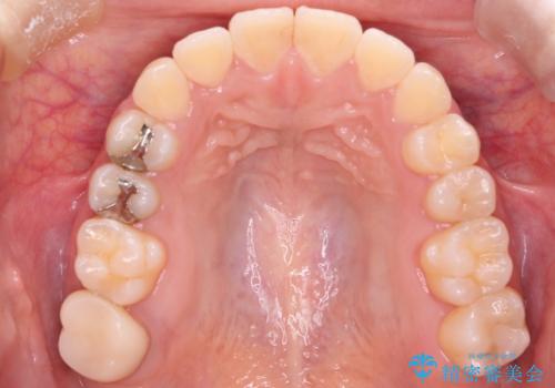
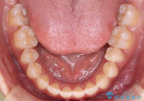
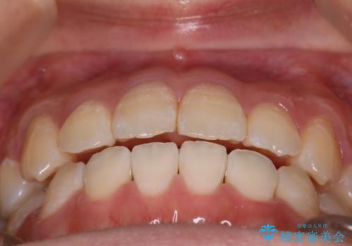
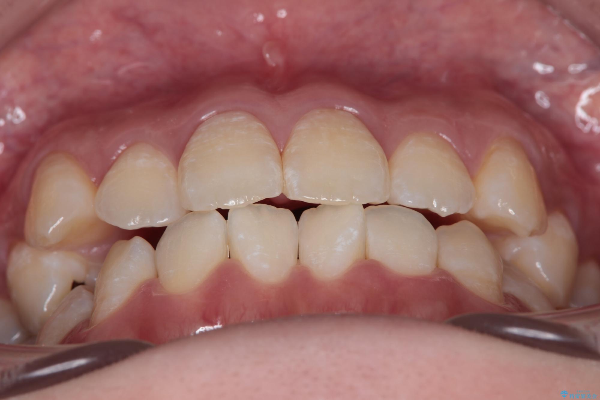
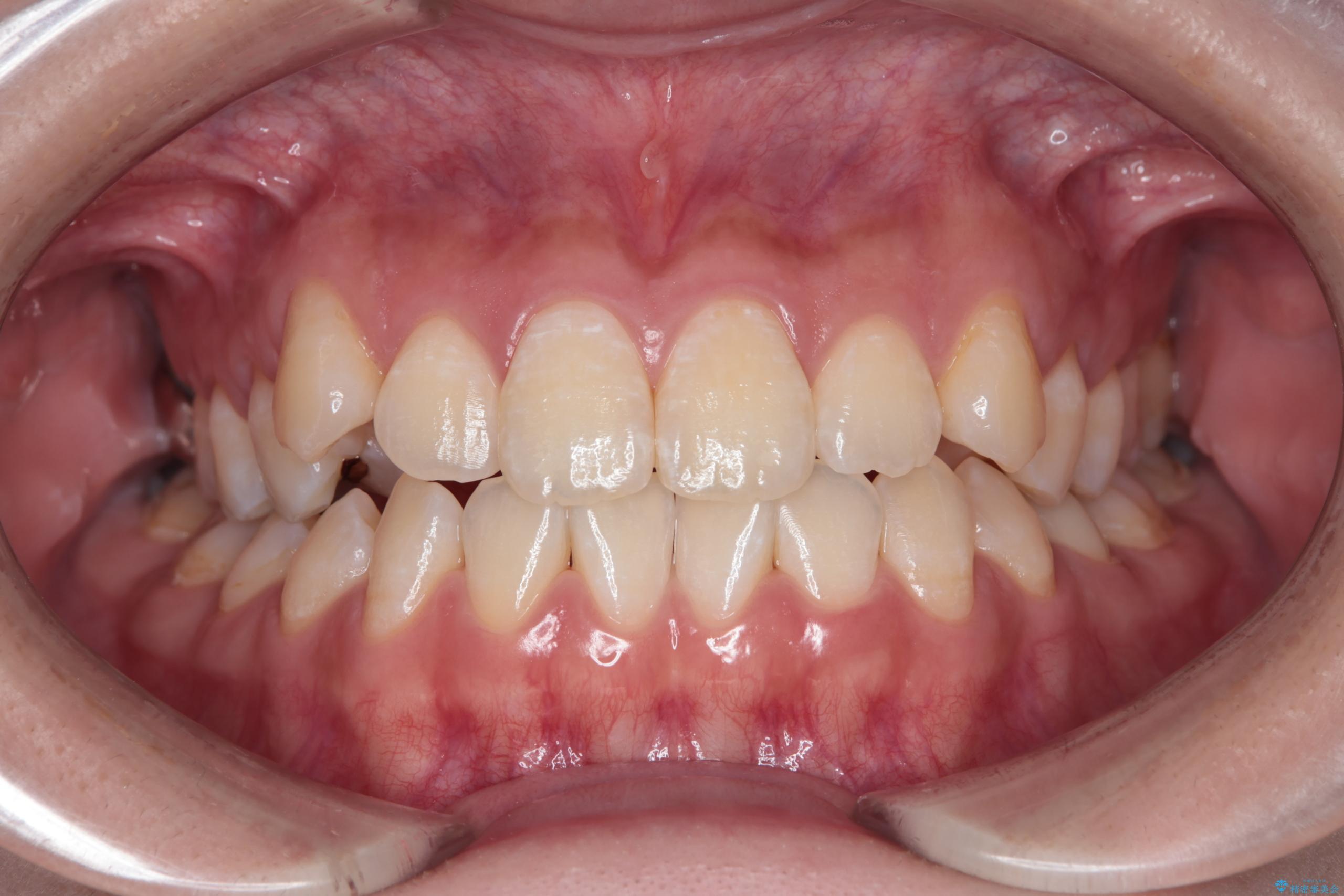
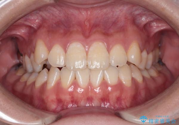
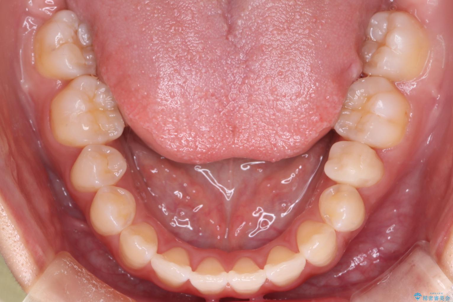
気になっていた八重歯とがたつきが改善され綺麗な歯並びになりました。
予定通り1年で治療を終えることができたので良かったです。
ワイヤー矯正の注意事項(リスク・副作用など)
- 治療中は違和感や痛みが起こることがあります
- 症状により、抜歯が必要な場合があります
- 治療中は歯磨きがしにくくなるため、虫歯や歯周病になりやすくなります
- 矯正治療後の保定が不十分だと後戻り(元の位置に戻ろうとする動き)をします
- 自費診療(保険適用外)となります
当サイトの内容、テキスト、画像等の無断転載、複製、複写、盗用を固く禁じます。




















