症例詳細
Case detail
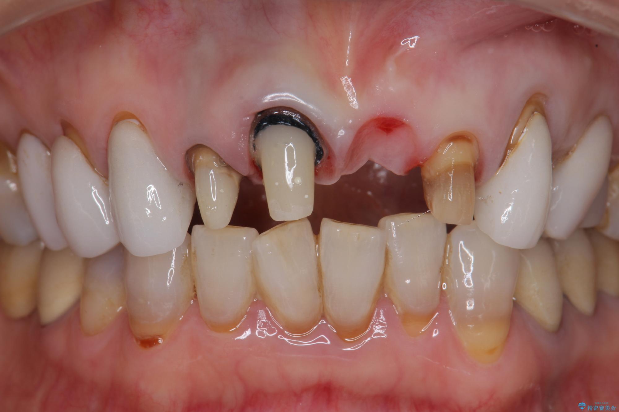
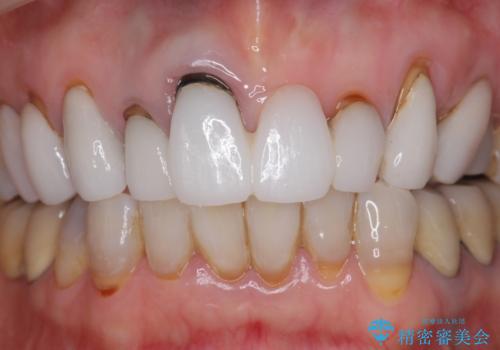
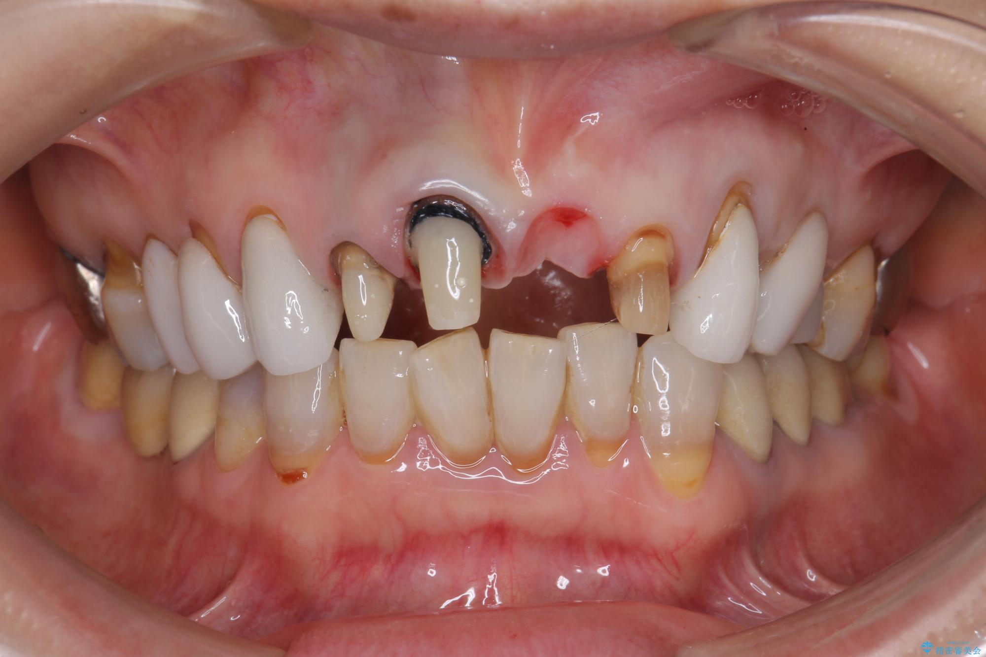
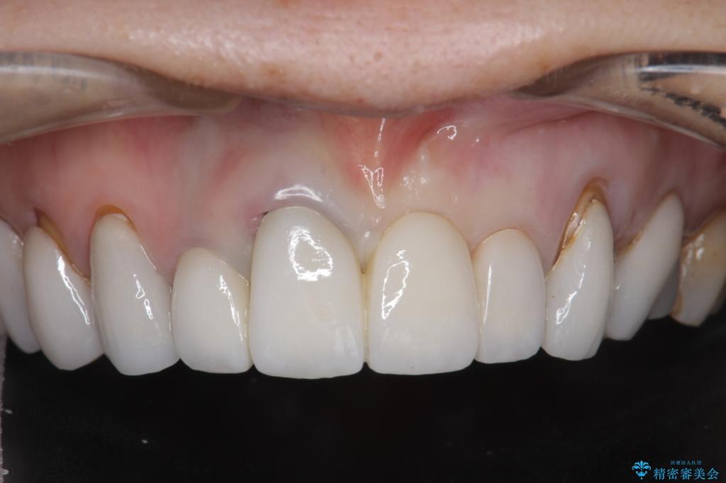
[ セラミック治療 ] 歯ぐきの際の黒ずみを改善したい
治療症例の内容
- 診療科目
- 治療カテゴリ
- 担当医
- 大元洋佑(ドクタープロフィール)
- 患者様
- 50代女性
- 治療期間
- 2ヶ月
- 治療回数
- 5-10回
- 治療計画
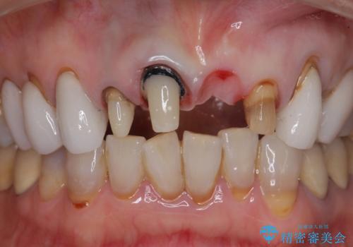
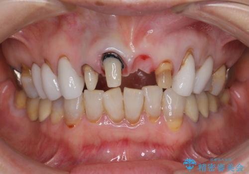
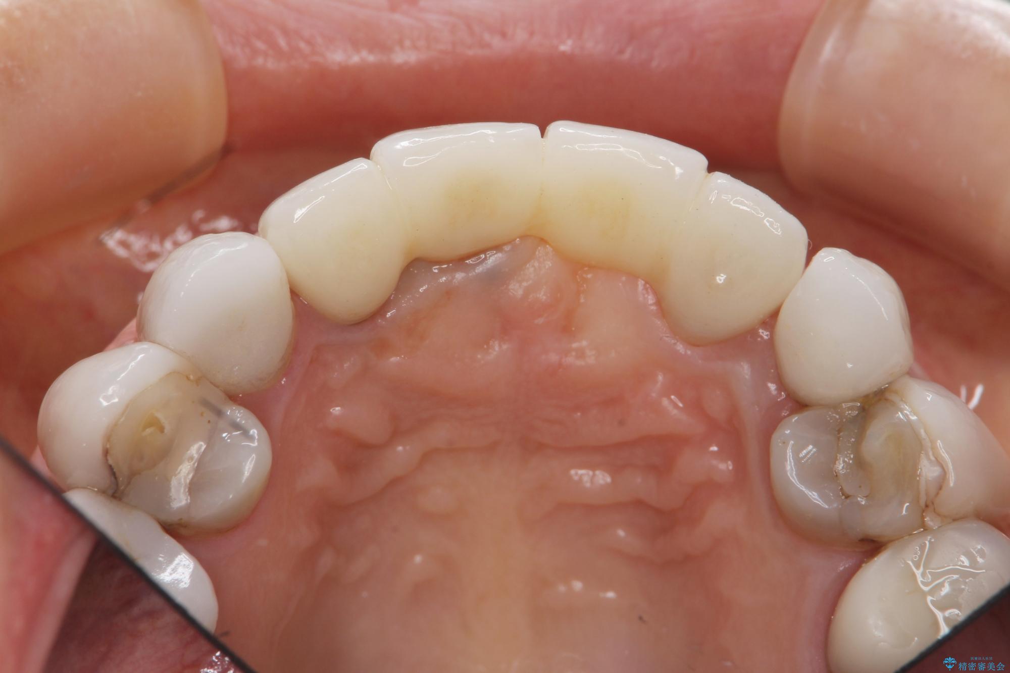
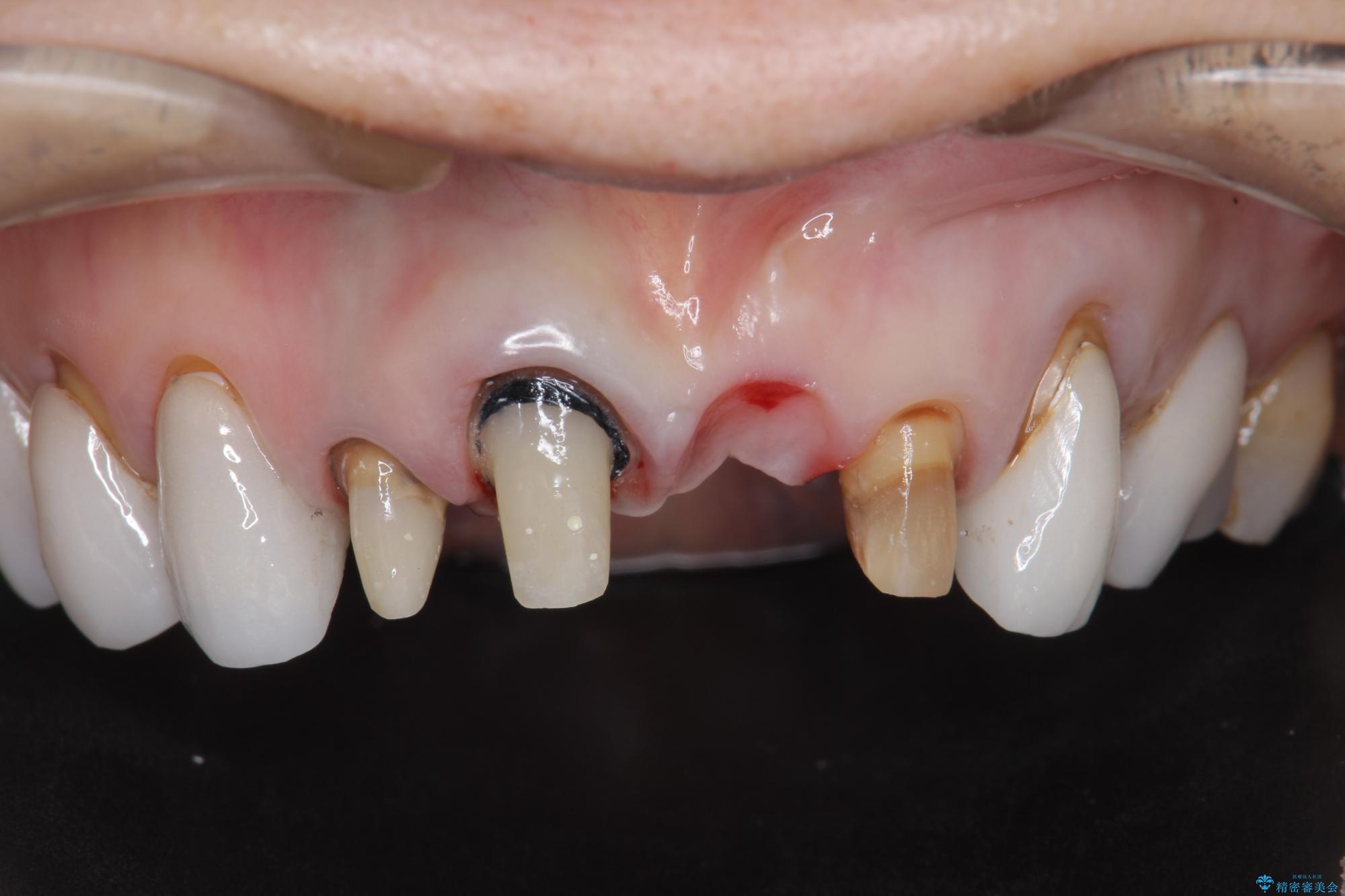
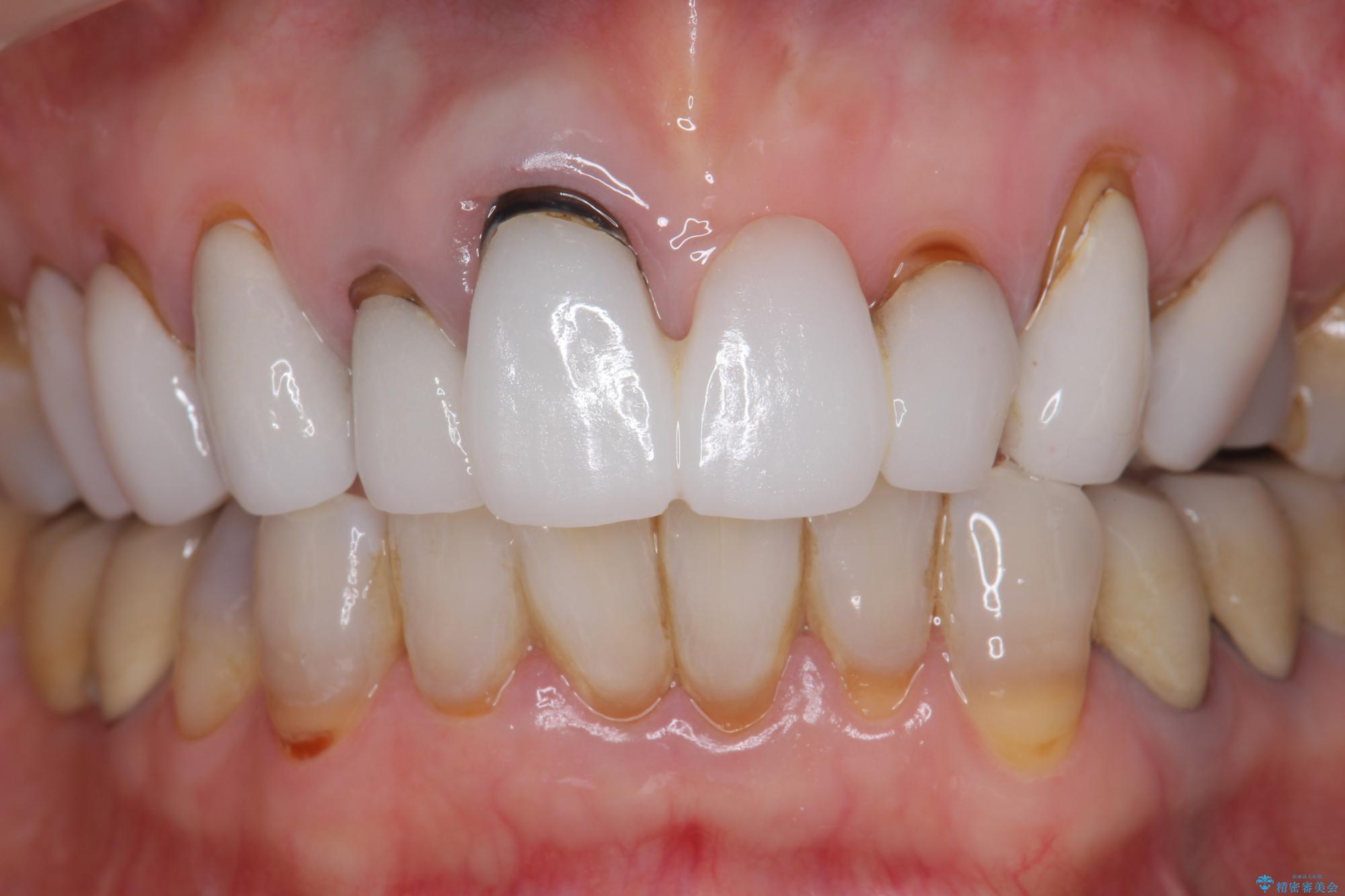
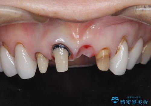
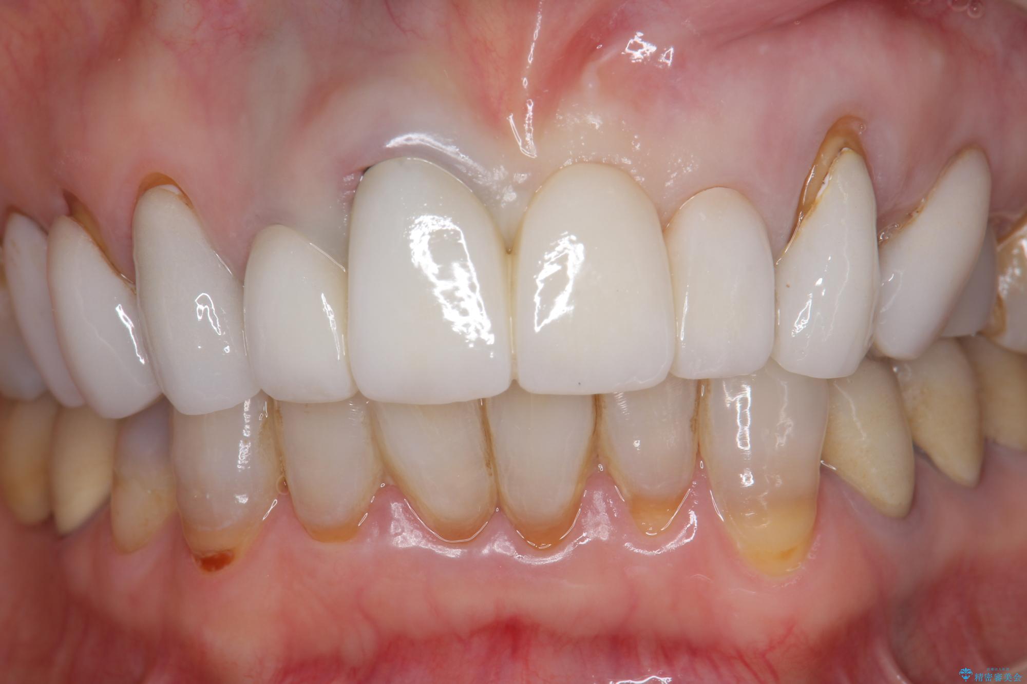
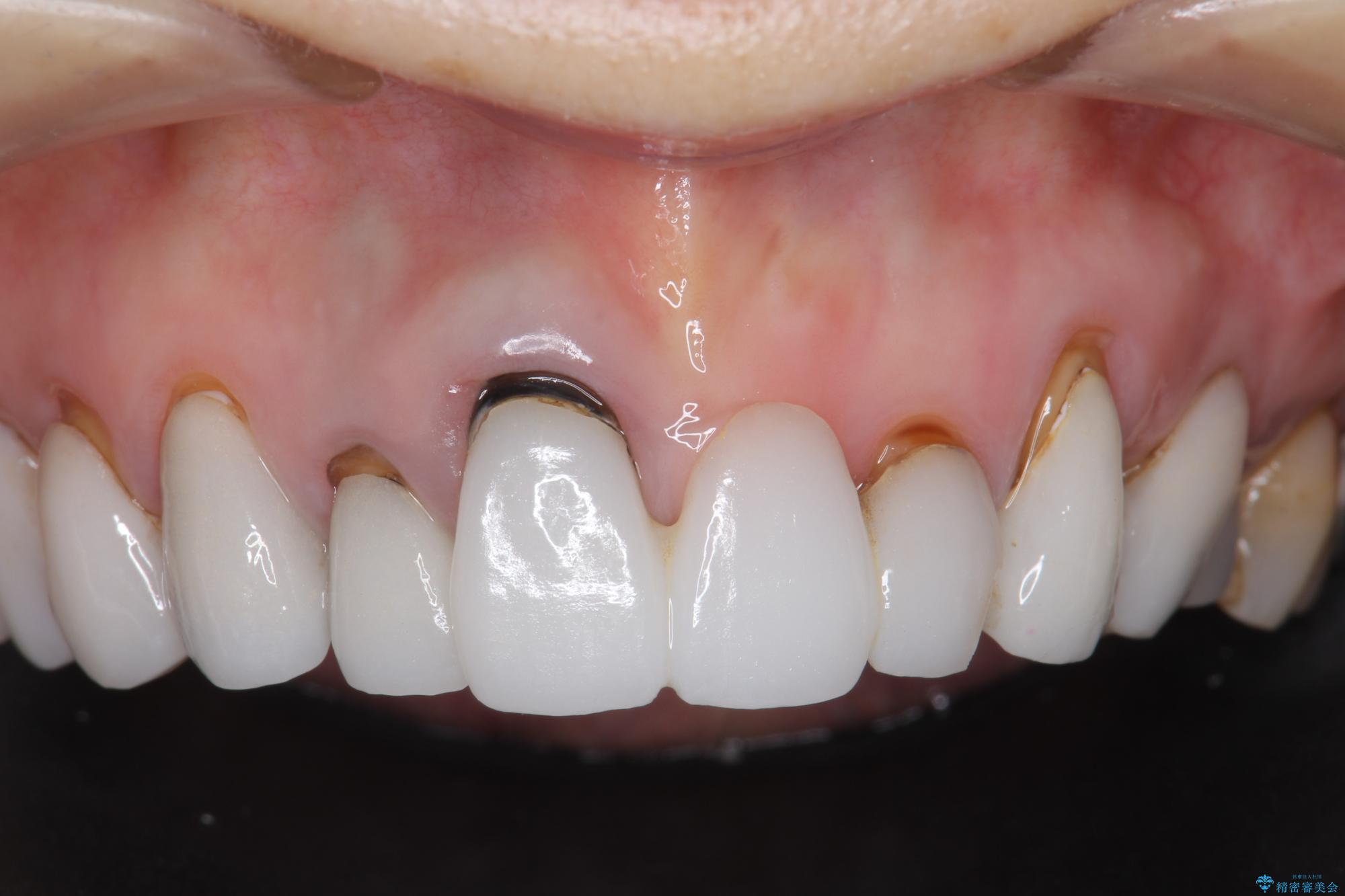
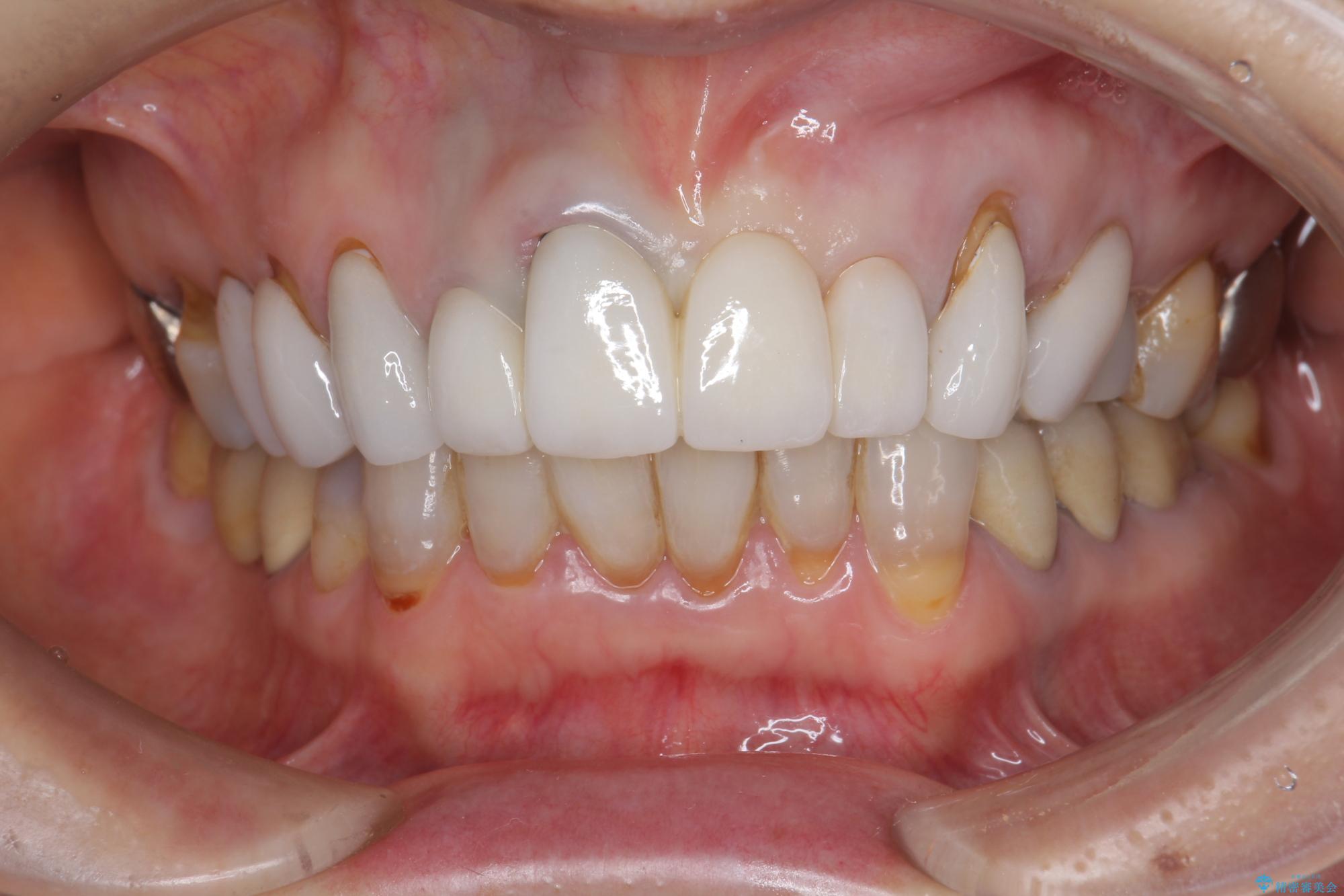
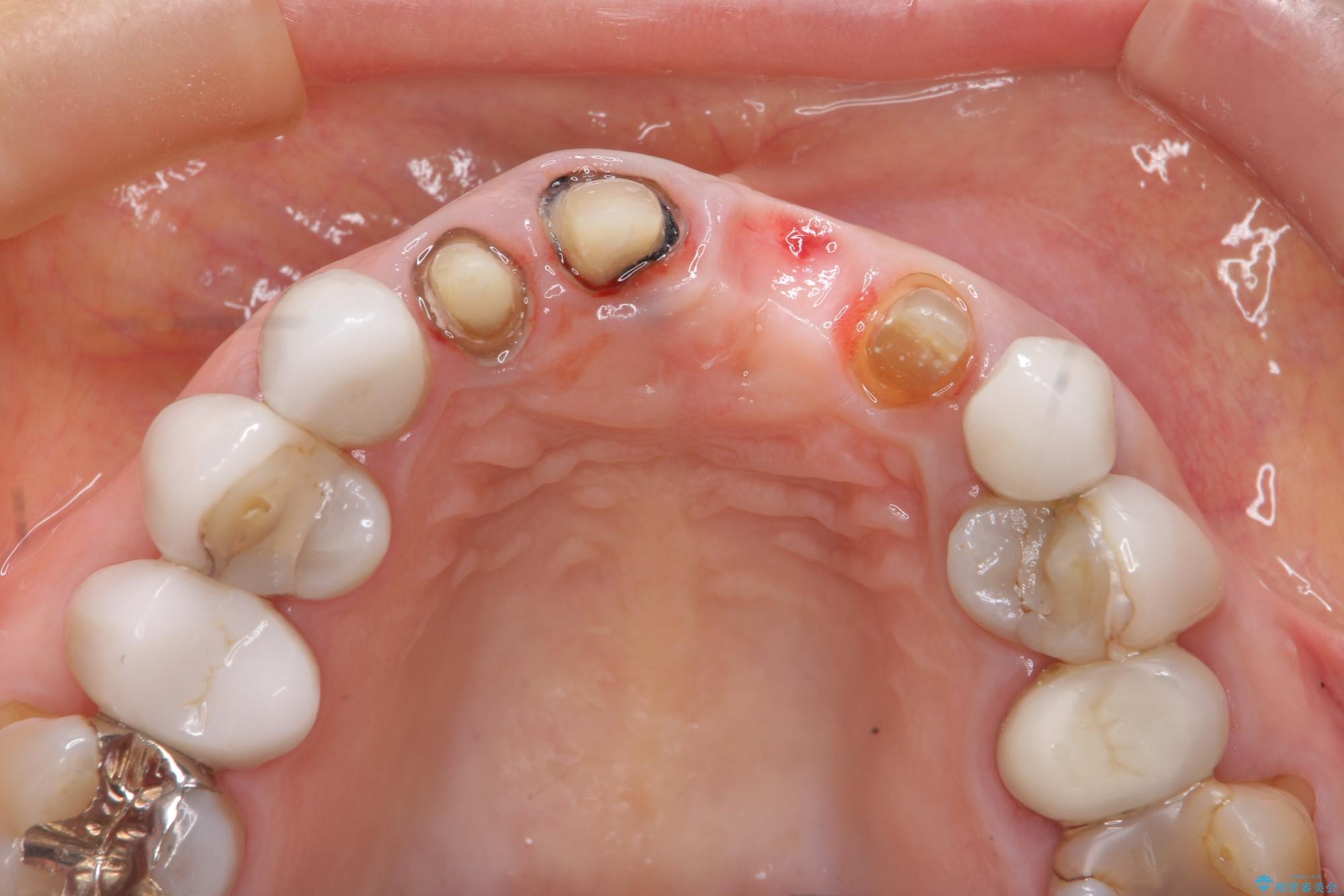
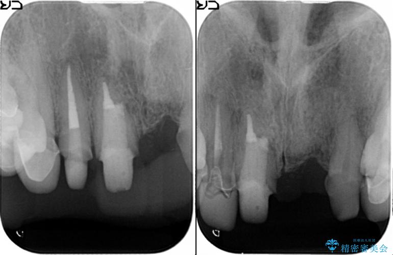
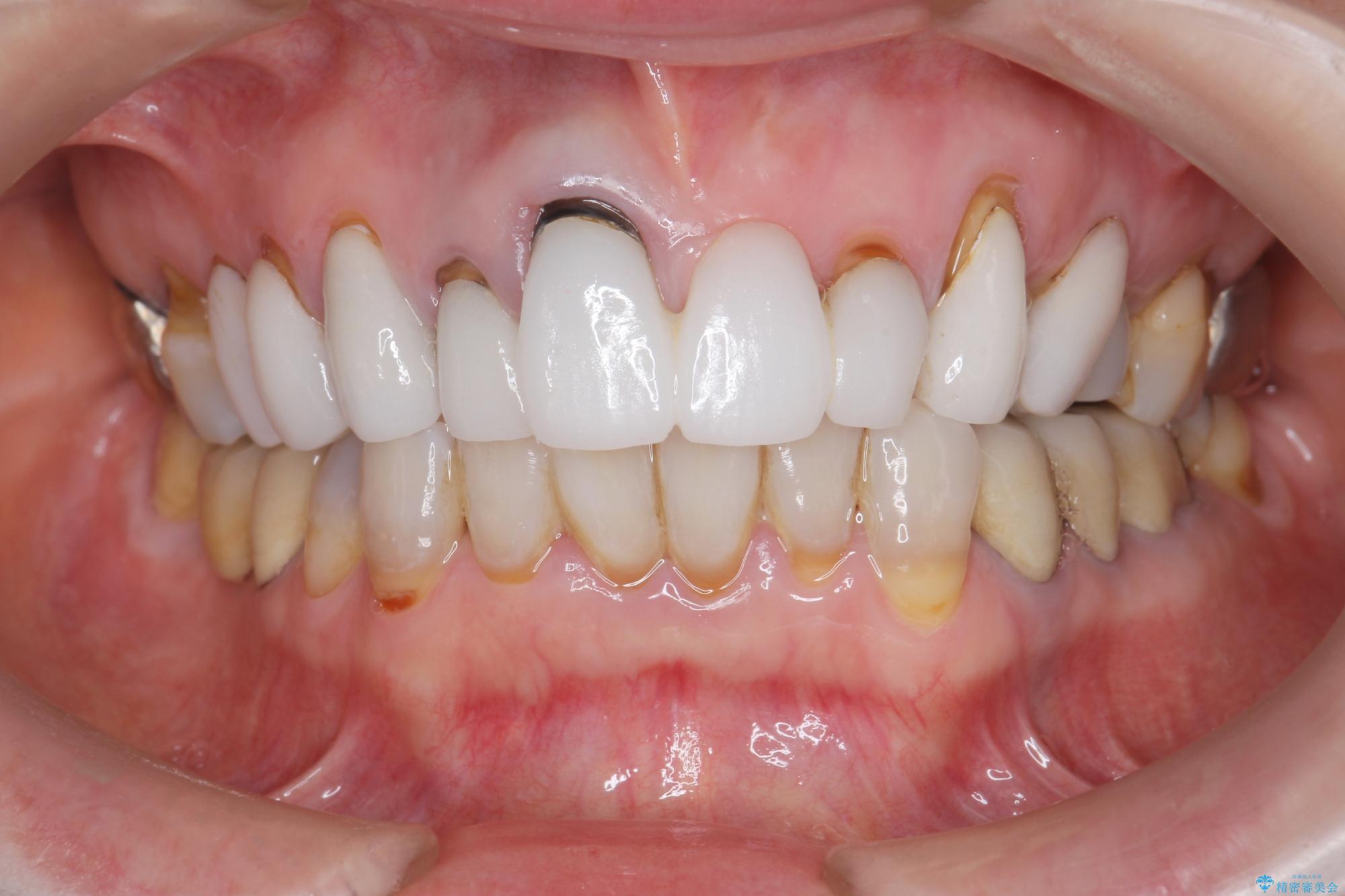
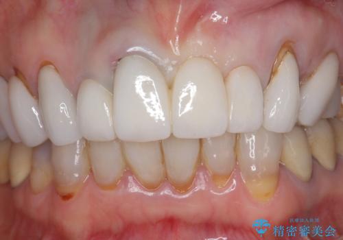
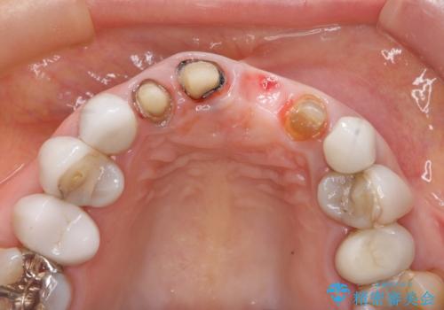
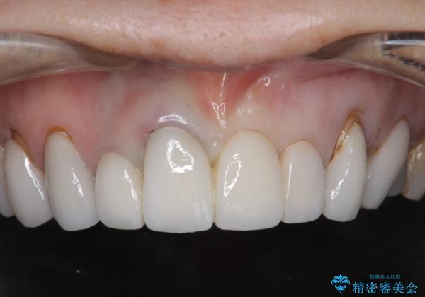
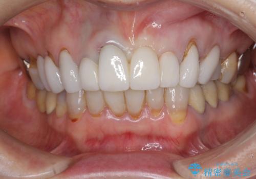
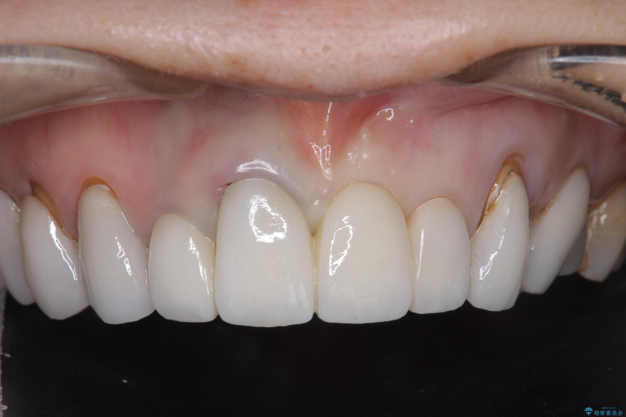
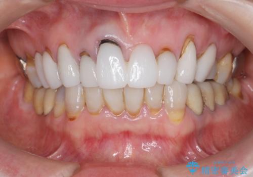
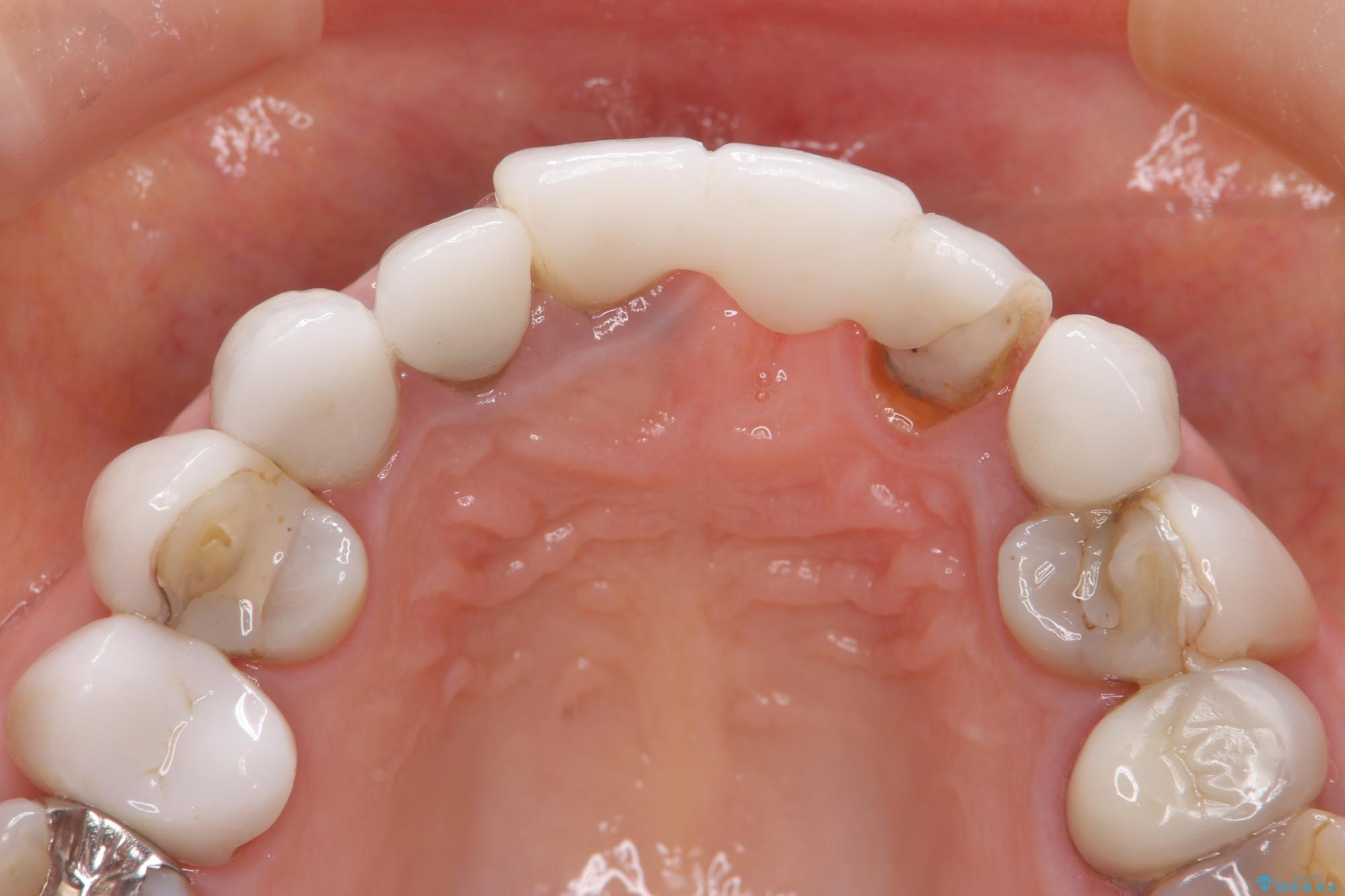
- 歯ぐきとセラミックの間の黒ずみが目立つので、きれいに治してほしい。と希望され来院されました。
歯ぐきの位置が変化しクラウン下の歯が見えるようになってしまったことで、審美障害が生じている状態です。
クラウンマージンの再設定を行うことで、黒ずんだ部分を再度覆い、審美障害を改善します。
- 費用(概算)
- 52.8万円(ジルコニアクラウン×4・仮歯×4)費用は治療当時の料金となります
治療について
歯ぐきの位置の経年的な変化は、誰にでも起きうる変化です。
強いブラッシングや電動歯ブラシの当て過ぎなども原因の一因となることがあります。
セラミック治療の注意事項(リスク・副作用など)
- 天然歯を削ります
- 硬い素材は天然歯を傷つけてしまう場合があります
- かみ合わせや歯ぎしりが強すぎる方はセラミックが割れてしまう可能性があります
- 自費診療(保険適用外治療)となります
当サイトの内容、テキスト、画像等の無断転載、複製、複写、盗用を固く禁じます。

![[ セラミック治療 ] 歯ぐきの際の黒ずみを改善したいの治療前](https://seimitsushinbi.jp/wp/wp-content/uploads/2025/11/dc9a6d694f758da04c95369d49ca1eaa-500x350.jpg?v=1763813257)
![[ セラミック治療 ] 歯ぐきの際の黒ずみを改善したいの治療中](https://seimitsushinbi.jp/wp/wp-content/uploads/2025/11/48fb58d1ccf64d5815803cede29bad97-500x350.jpg?v=1763813277)
![[ セラミック治療 ] 歯ぐきの際の黒ずみを改善したいの治療後](https://seimitsushinbi.jp/wp/wp-content/uploads/2025/11/819a3f722b2f6f2cebfa9bb6824ecc79-500x350.jpg?v=1763813270)
![[ セラミック治療 ] 歯ぐきの際の黒ずみを改善したいの治療前](https://seimitsushinbi.jp/wp/wp-content/uploads/2025/11/CI3-side-500x350.jpg?v=1763813292)
![[ セラミック治療 ] 歯ぐきの際の黒ずみを改善したいの治療中](https://seimitsushinbi.jp/wp/wp-content/uploads/2025/11/CI17-side-500x350.jpg?v=1763813293)
![[ セラミック治療 ] 歯ぐきの際の黒ずみを改善したいの治療後](https://seimitsushinbi.jp/wp/wp-content/uploads/2025/11/CI19-side-500x350.jpg?v=1763813293)
![[ セラミック治療 ] 歯ぐきの際の黒ずみを改善したいの治療前](https://seimitsushinbi.jp/wp/wp-content/uploads/2025/11/edb61b5eeca028b79d992418e8953e28-500x350.jpg?v=1763813255)
![[ セラミック治療 ] 歯ぐきの際の黒ずみを改善したいの治療中](https://seimitsushinbi.jp/wp/wp-content/uploads/2025/11/3d689f014bcec8f33d477f6cf11e3a9c-500x350.jpg?v=1763813274)
![[ セラミック治療 ] 歯ぐきの際の黒ずみを改善したいの治療後](https://seimitsushinbi.jp/wp/wp-content/uploads/2025/11/ea757849fe5077c66fce51b1ea90d4d2-500x350.jpg?v=1763813265)
![[ セラミック治療 ] 歯ぐきの際の黒ずみを改善したいの治療前](https://seimitsushinbi.jp/wp/wp-content/uploads/2025/11/d567f2d226b0c8674ed7795aa373659e-500x350.jpg?v=1763813247)
![[ セラミック治療 ] 歯ぐきの際の黒ずみを改善したいの治療中](https://seimitsushinbi.jp/wp/wp-content/uploads/2025/11/310340837071682ce0c6efcf68b8c3c4-500x350.jpg?v=1763813272)
![[ セラミック治療 ] 歯ぐきの際の黒ずみを改善したいの治療後](https://seimitsushinbi.jp/wp/wp-content/uploads/2025/11/672b6df977d3a38cfc7f0065121108fc-500x350.jpg?v=1763813262)
![[ セラミック治療 ] 歯ぐきの際の黒ずみを改善したいの治療前](https://seimitsushinbi.jp/wp/wp-content/uploads/2025/11/536114081905b163eca29229f070ff39-500x350.jpg?v=1763813260)
![[ セラミック治療 ] 歯ぐきの際の黒ずみを改善したいの治療中](https://seimitsushinbi.jp/wp/wp-content/uploads/2025/11/b4ebb16dc39b7a4e3597bf4047b8d2a3-500x350.jpg?v=1763813283)
![[ セラミック治療 ] 歯ぐきの際の黒ずみを改善したいの治療後](https://seimitsushinbi.jp/wp/wp-content/uploads/2025/11/b98c70844836549895e852716114eecf-500x350.jpg?v=1763813292)