症例・治療例紹介
Cases
最新の症例
【抜歯】インビザラインの抜歯矯正


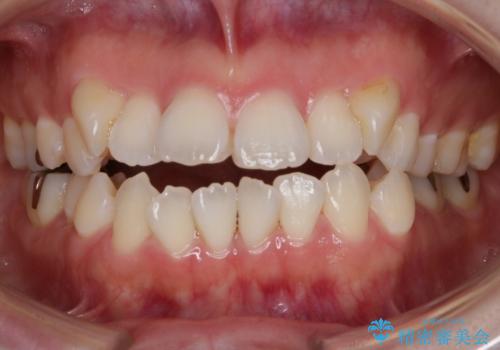
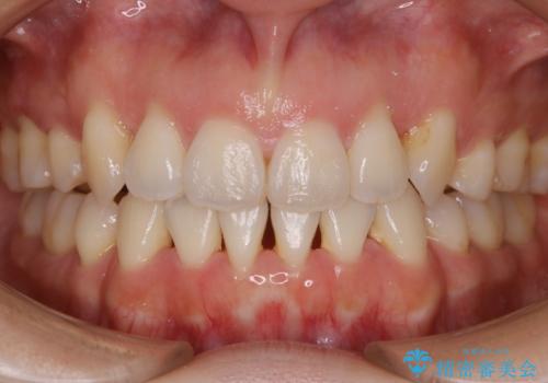
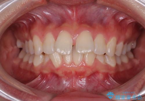
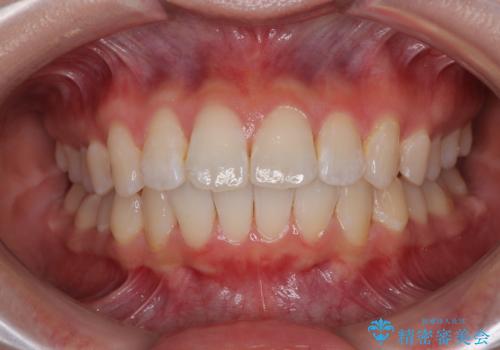
前歯のオープンバイト インビザラインで咬み合わせを改善
担当医 藤巻太一朗


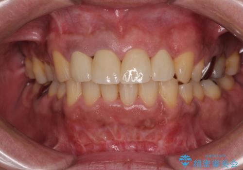
飛び出した口元を改善したい ワイヤー装置による抜歯矯正治療
担当医 藤巻太一朗


破折した奥歯 抜歯即時埋入インプラントによる補綴治療


【根管治療】【セラミッククラウン】根っこが細くて治療できないと言われた


ウェディング前のホワイトニングとエアーフロー
担当医 歯科衛生士


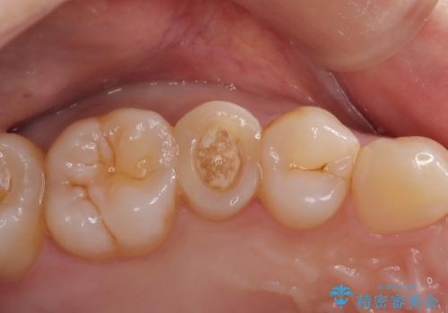
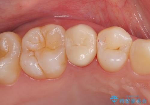
銀歯の下に虫歯 〈オールセラミッククラウン〉
担当医 瀧村怜未


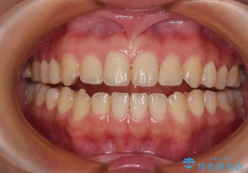
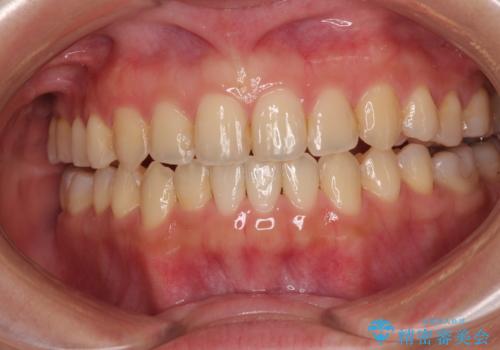
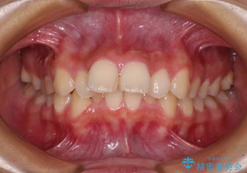
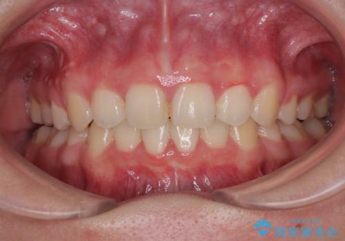
深い咬み合わせによる隙間 インビザライン矯正でコンプレックスを改善


【インプラント】セラミックのブリッジが何度も壊れてしまう


前歯の審美歯科治療 下顎の部分矯正と上顎前歯のオールセラミッククラウン


奥歯の欠損と前歯のデコボコを治したい インプラントと矯正治療の総合歯科治療


骨格性のディープバイト 補助装置を併用したワイヤー矯正治療で咬み合わせを改善


割れてしまった奥歯 抜歯即時埋入インプラントによる短期間治療






