症例・治療例紹介
Cases
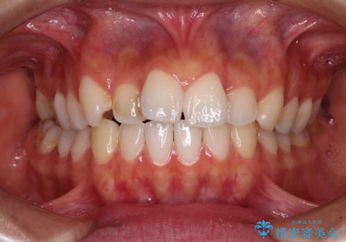
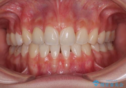
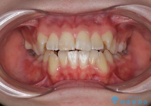
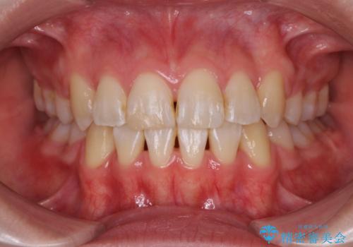
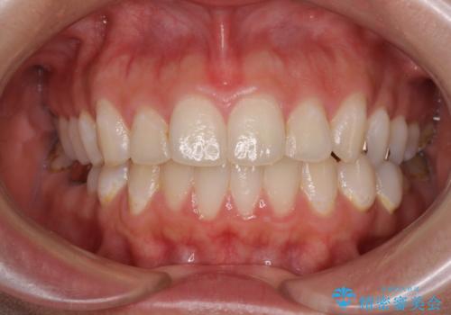
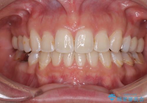
矯正歯科治療 → 上下顎前突(口ゴボ)
1ページ目 / 13
- 歯のデコボコ|口ボコ|八重歯が気になる!|ワイヤー矯正  
- 急速拡大装置 狭い骨幅を拡大した上で、口元の突出感を改善する抜歯矯正治療  
- 【モニター】とがった口元を抜歯して改善 ワイヤー装置の矯正治療- 担当医 藤巻太一朗   
- 出っ歯を治したい ワイヤー装置での抜歯矯正- 担当医 藤巻太一朗   
- 抜歯をせず前歯の角度を改善するマウスピース矯正治療  
- 奥歯の咬み合わせのズレと前歯の突出感 変則的な抜歯矯正  
- 【抜歯】ハーフリンガル矯正で韓国美人な横顔へ!  
- 前歯を後ろに下げたい ワイヤー矯正(クリア装置)  
- 突き出た前歯を治したい 小臼歯抜歯+マルチブラケット矯正- 担当医 大元洋佑   
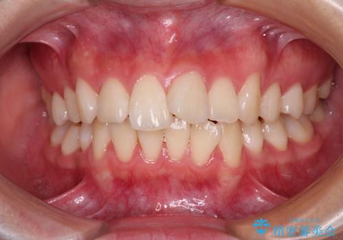
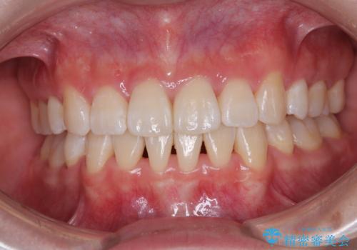
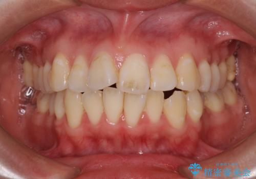
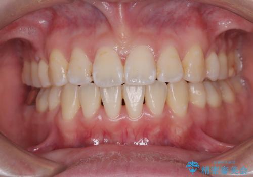
- [抜歯] ワイヤー装置で出っ歯の改善![[抜歯] ワイヤー装置で出っ歯の改善の症例 治療前](https://seimitsushinbi.jp/wp/wp-content/uploads/2025/05/IMG_1672-500x350.jpg?v=1746632084) ![[抜歯] ワイヤー装置で出っ歯の改善の症例 治療後](https://seimitsushinbi.jp/wp/wp-content/uploads/2025/05/IMG_8070-500x350.jpg?v=1746632252) 
- 【モニター】舌突出癖で隙間が ワイヤー装置での抜歯矯正  
- 【モニター】口が閉じられない ワイヤー装置での抜歯矯正- 担当医 藤巻太一朗   
- 口が閉じられない 抜歯矯正で前歯の突出感を改善  
- 出っ歯と奥歯のむし歯 ワイヤー装置での抜歯矯正とセラミック治療  
- 横顔の印象を変えたい ワイヤー装置での抜歯矯正  
ワイヤー矯正歯科治療の注意事項(リスク・副作用など)
- 治療中は違和感や痛みが起こることがあります
- 症状により、抜歯が必要な場合があります
- 治療中は歯磨きがしにくくなるため、虫歯や歯周病になりやすくなります
- 矯正治療後の保定が不十分だと後戻り(元の位置に戻ろうとする動き)をします
- 自費診療(保険適用外)となります
マウスピース矯正の注意事項(リスク・副作用など)
- 口腔内・歯並びの状態によっては対応できない場合があります
- マウスピース型矯正装置の長時間装着が必須です
- 治療計画通りに進めるためには、患者様の意志が重要になります
- 矯正治療後の保定が不十分だと後戻り(元の位置に戻ろうとする動き)をします
- 自費診療(保険適用外)となります








