症例詳細
Case detail
【セラミッククラウン】【精密根管治療】前歯が痛い
治療症例の内容
- 診療科目
- 担当医
- 町田睦月(ドクタープロフィール)
- 患者様
- 20代男性
- 治療期間
- 治療回数
- 2-5回
- 治療計画
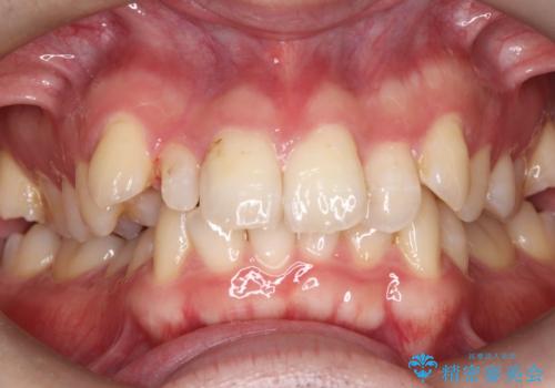
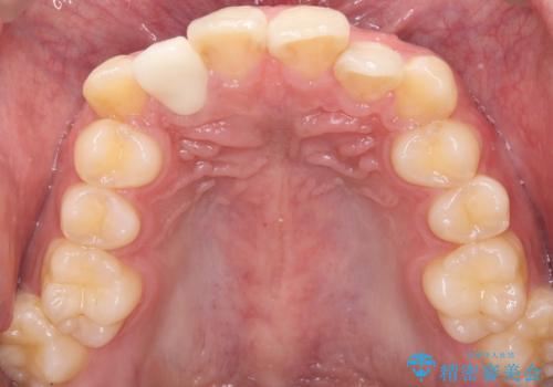
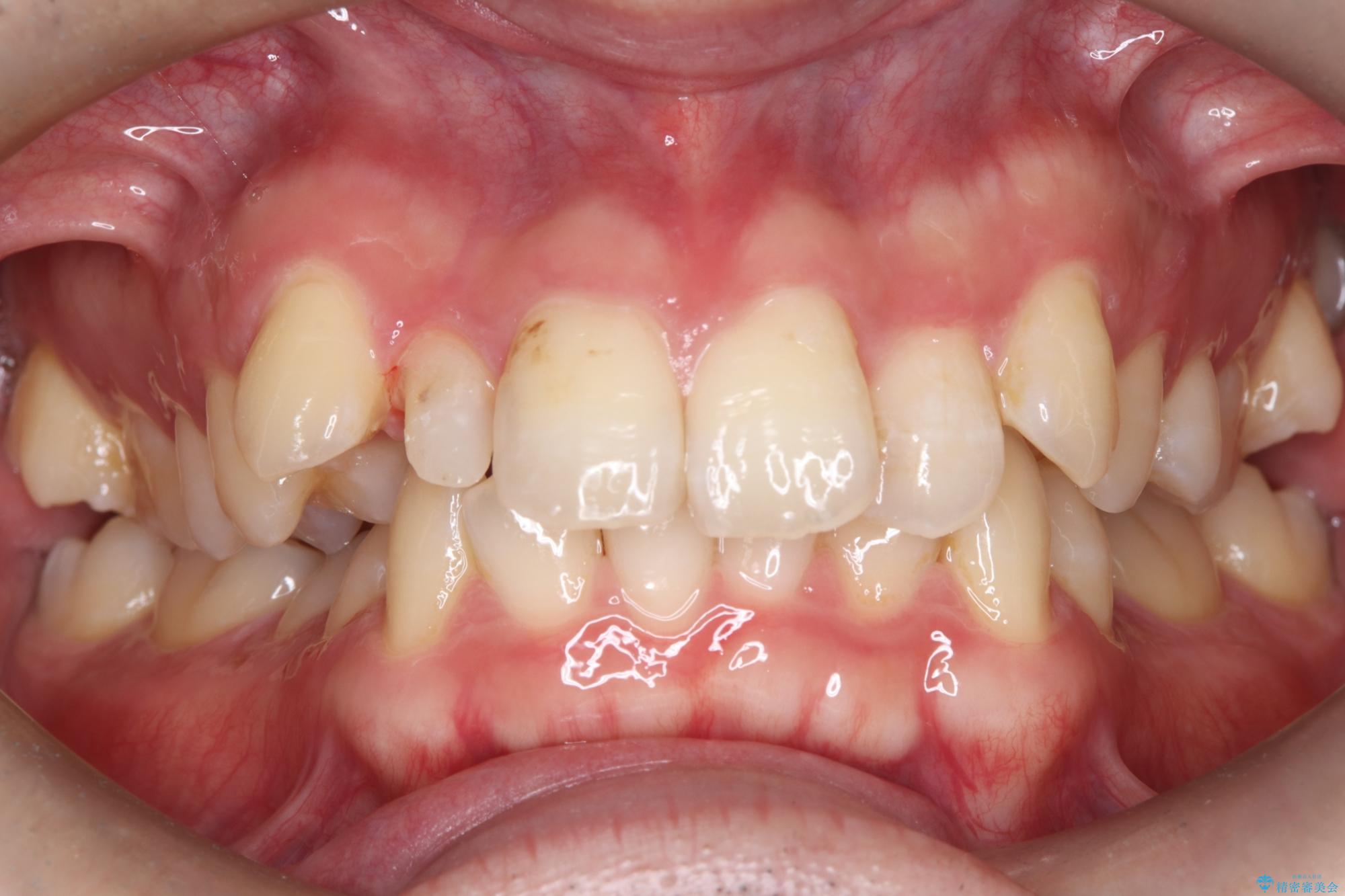
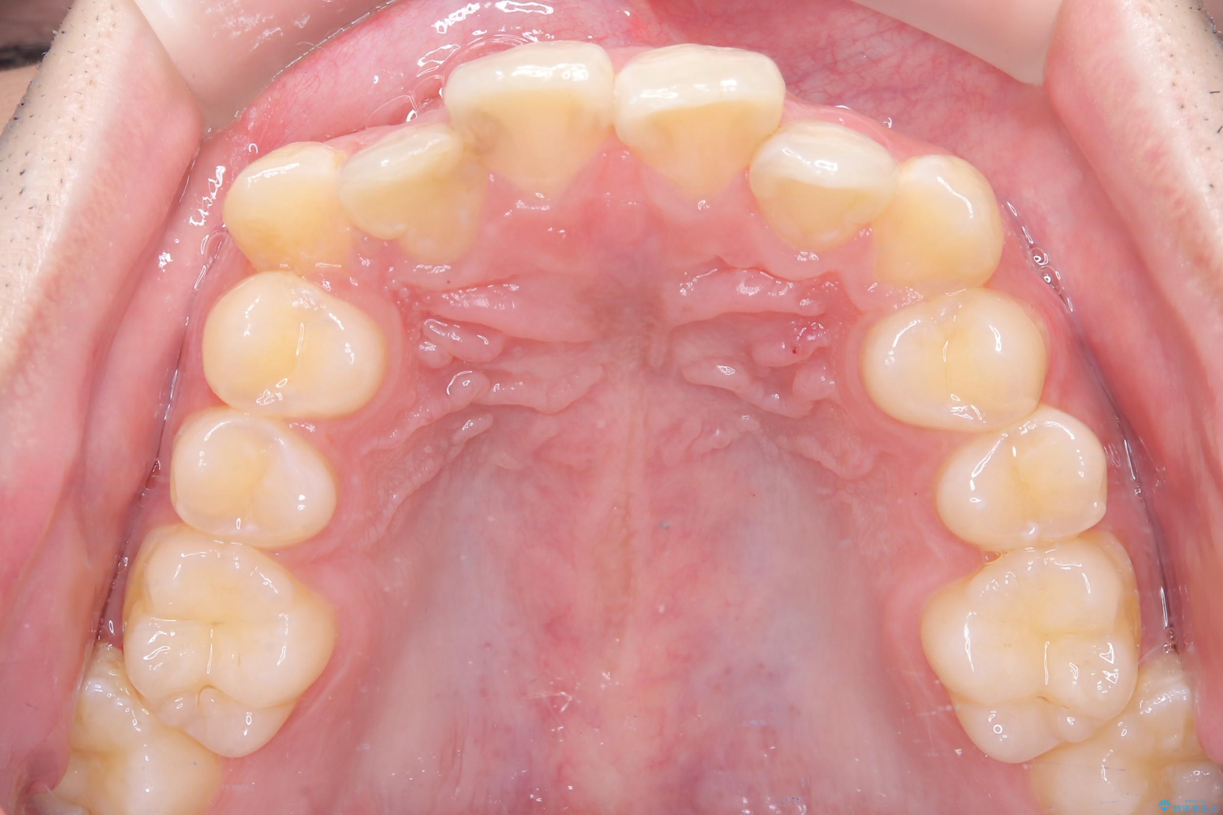
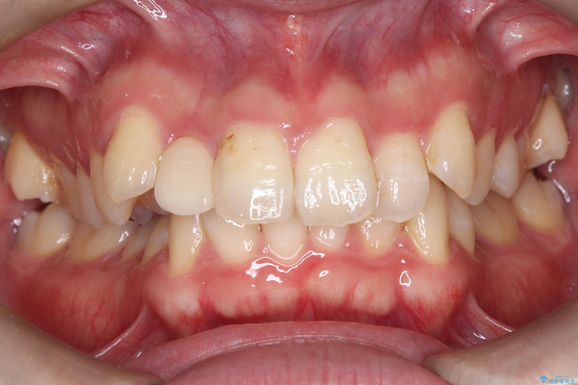
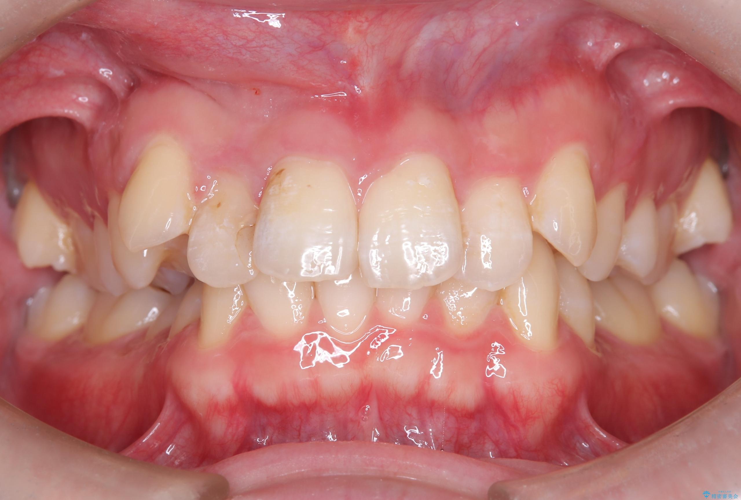
- 主訴:右上の前歯が何しなくても痛い
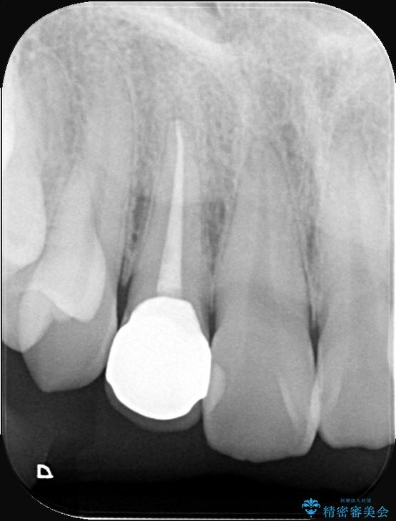
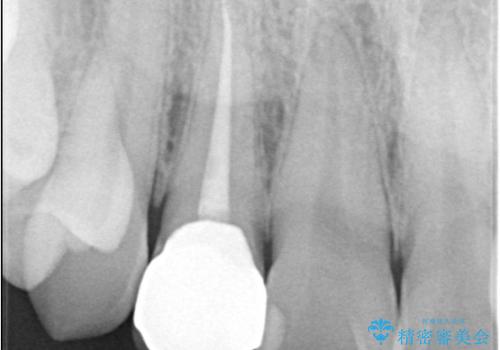
右上2番の歯に自発痛を認め、症状や歯髄診・レントゲン像から不可逆性歯髄炎と診断し、精密根管治療から歯冠補綴まで行うこととなりました。
- 費用(概算)
- 242,000円(税込み)費用は治療当時の料金となります
治療について
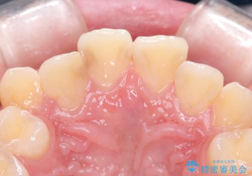
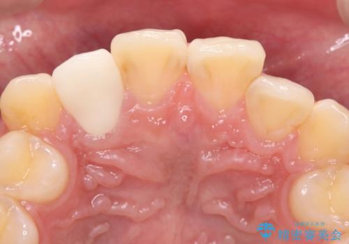
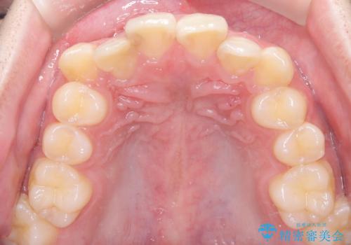
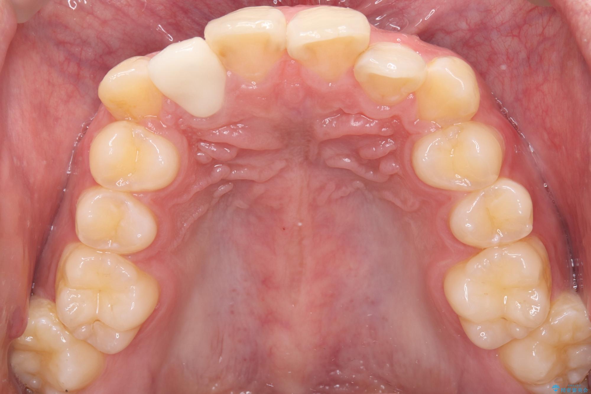
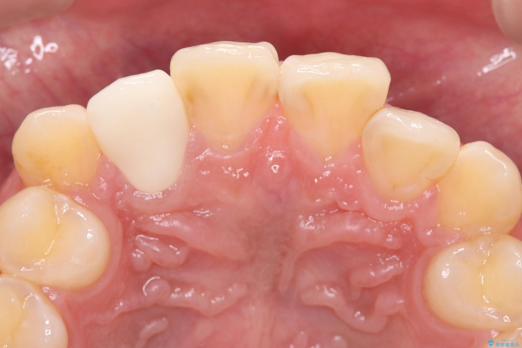
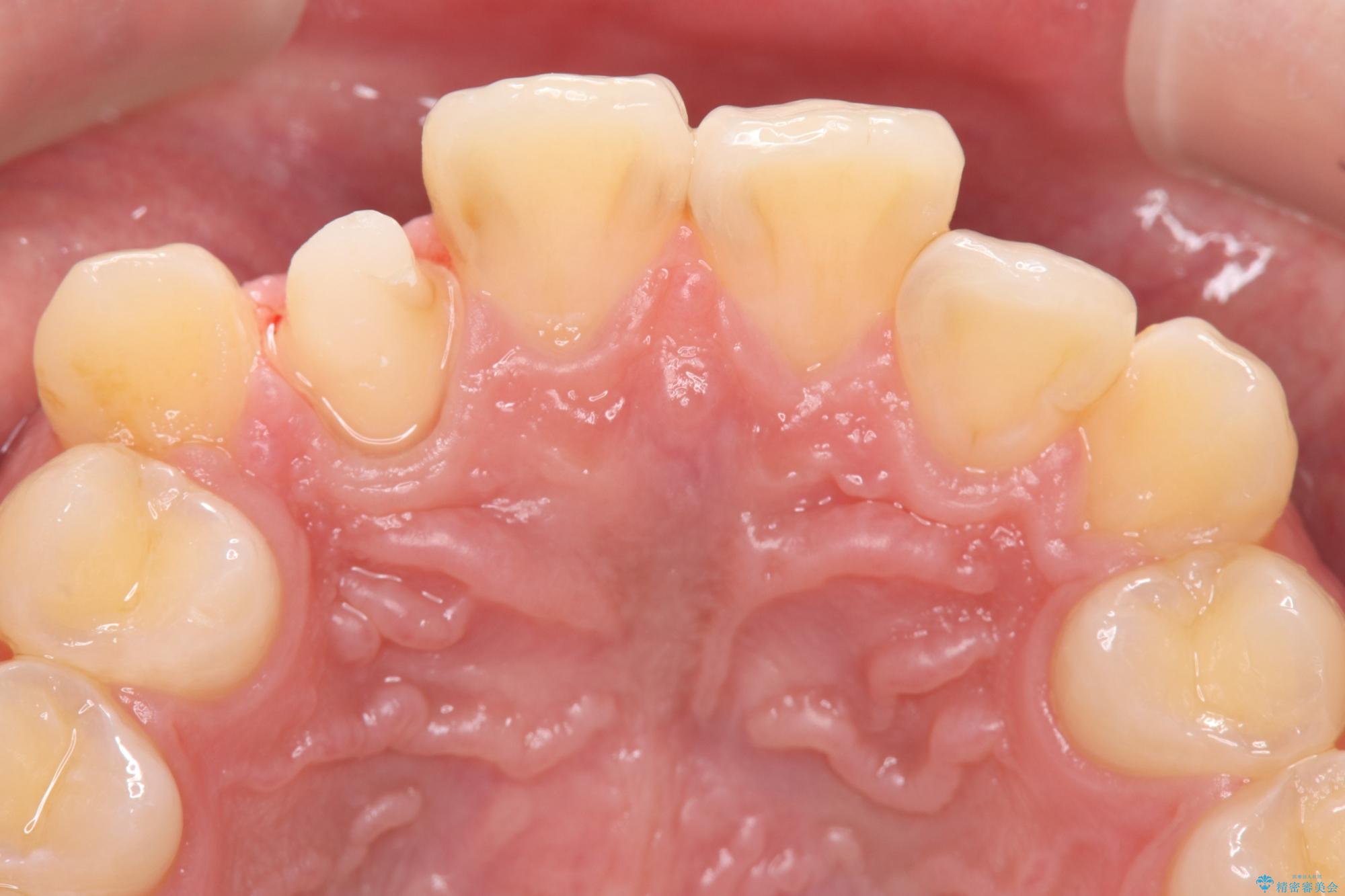
初診時に歯髄診断を行い、不可逆性歯髄炎と診断し抜髄から補綴修復までの流れを説明し、精密根管治療、ファイバ-コア築造、オールセラミッククラウン(St)修復を行うこととしました。
セラミック治療の注意事項(リスク・副作用など)
- 天然歯を削ります
- 硬い素材は天然歯を傷つけてしまう場合があります
- かみ合わせや歯ぎしりが強すぎる方はセラミックが割れてしまう可能性があります
- 自費診療(保険適用外治療)となります
根管治療の注意事項(リスク・副作用など)
- 根管治療により類似の全ての症例の問題が解決するわけではなく、症例はあくまでも一例です
- 根管治療により痛みや腫れがひかない事や、術後に痛みや腫れが生じる事、治療によるファイル破折やパーフォレーションなどの偶発症、術後の歯根破折を生じる可能性もあります
- 自費診療(保険適用外)となります
当サイトの内容、テキスト、画像等の無断転載、複製、複写、盗用を固く禁じます。










