電話予約
無料相談予約
選ばれる理由
Reason
歯科医師紹介
Doctor
診療科目
Services
症例写真
Case photo
動画
Movie
治療費一覧
Price
医院紹介
Clinic
症例・治療例紹介
Cases
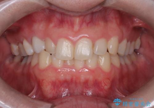
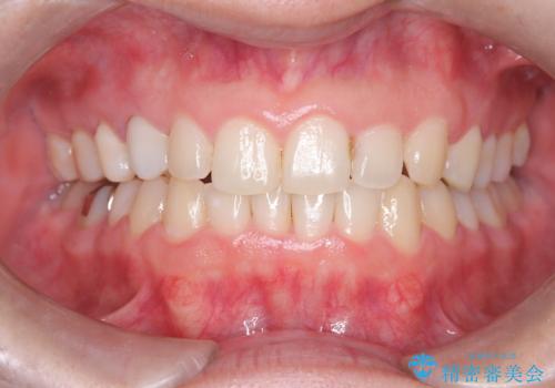
Dr. 瀧村怜未の症例写真
1ページ目 / 1
担当医 瀧村怜未<2025年10月31日更新>
担当医 瀧村怜未<2025年9月30日更新>
担当医 瀧村怜未<2025年8月31日更新>
担当医 瀧村怜未<2025年7月31日更新>
担当医 瀧村怜未<2025年6月30日更新>
担当医 瀧村怜未<2025年5月31日更新>
担当医 瀧村怜未<2025年3月31日更新>
担当医 瀧村怜未<2025年2月28日更新>