症例・治療例紹介
Cases
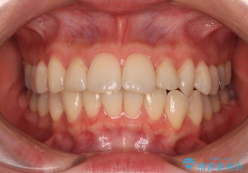
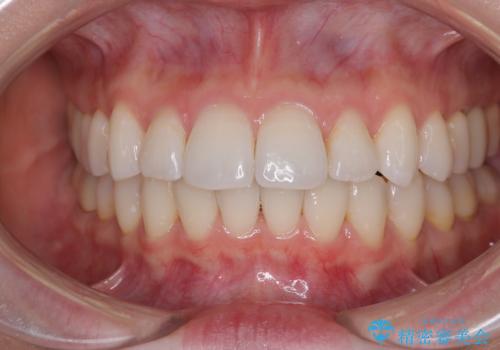
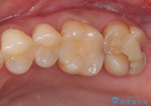
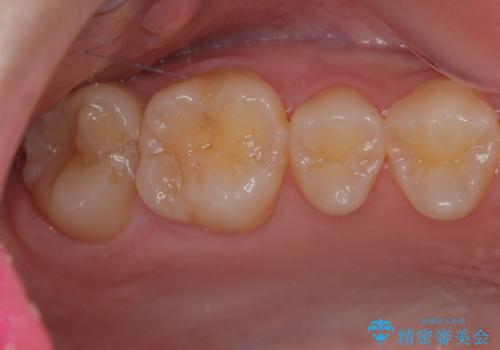
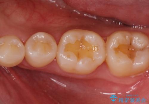
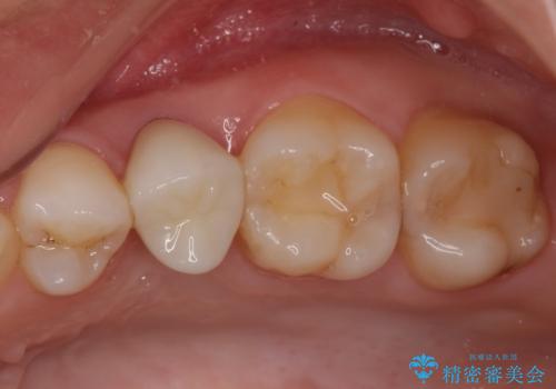
セラミック治療 → PGA(ゴールド)
1ページ目 / 11
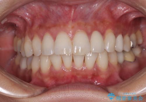
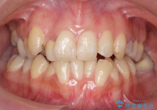
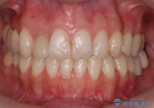
上下前歯のデコボコ ワイヤー装置で楽ちん矯正治療


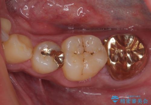
痛みを感じる上顎大臼歯 ゴールドクラウンの補綴治療


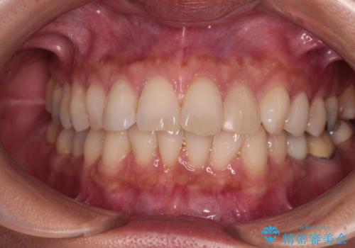
むし歯と前歯のデコボコを治したい インビザラインを使用した総合歯科治療


伸び出してきた上顎奥歯 部分矯正を用いた奥歯の補綴治療


あきらめないで!!虫歯でボロボロでも大丈夫! 非抜歯矯正と虫歯、インプラント治療で見違える歯並びに。


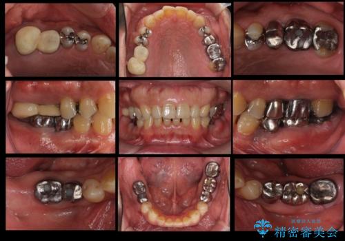
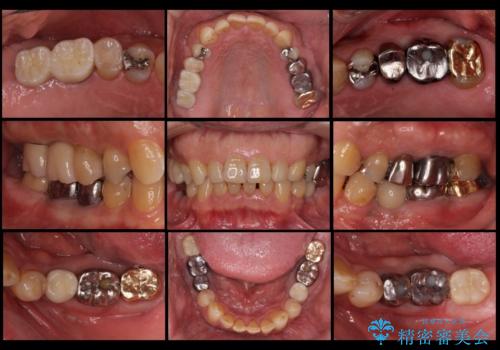
銀歯をやり替えたい フルジルコニアクラウン・ゴールドインレー修復


銀歯をやり替えたい フルジルコニアクラウン・ゴールドインレー修復


歯が割れているといわれた 奥歯にインプラントをしていきたい 全体的な治療


セラミック治療の注意事項(リスク・副作用など)
- 天然歯を削ります
- 硬い素材は天然歯を傷つけてしまう場合があります
- かみ合わせや歯ぎしりが強すぎる方はセラミックが割れてしまう可能性があります
- 自費診療(保険適用外治療)となります














