症例・治療例紹介
Cases
その他 → 歯ぎしり・食いしばり・ナイトガード
1ページ目 / 2
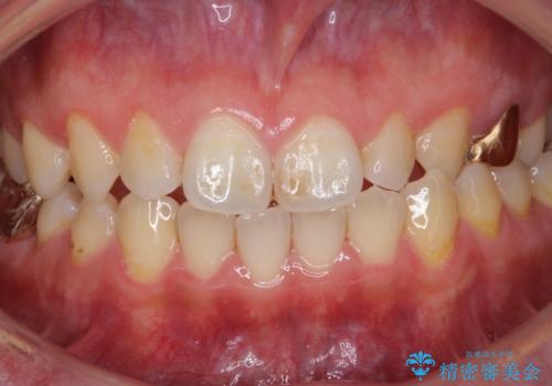
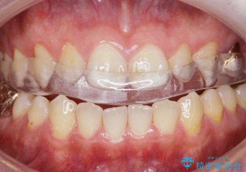
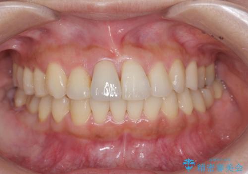
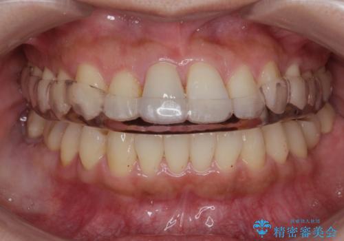
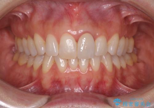
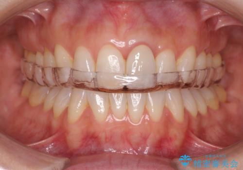
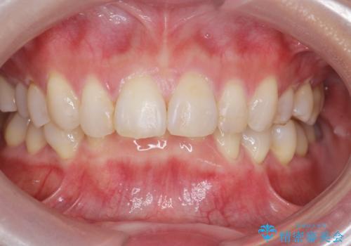
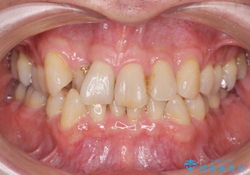
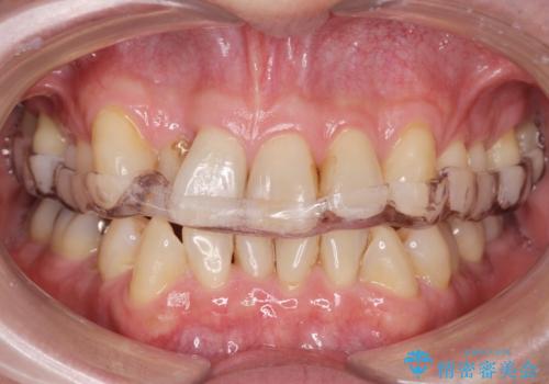
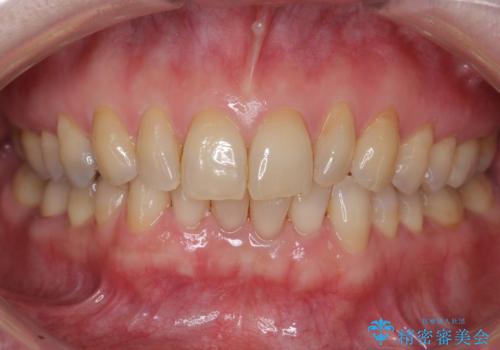
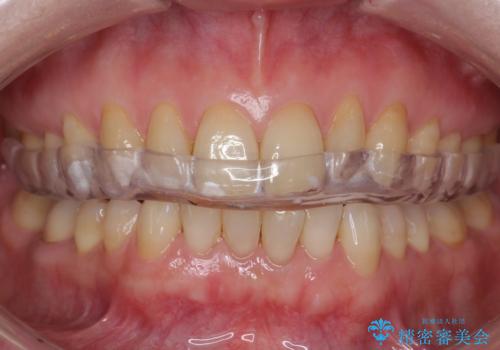
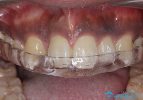
食いしばりが強い 歯周病全顎治療
担当医 大元洋佑


スポーツ用マウスガードを作りたい


ナイトガードによる歯の予防。


ナイトガードで歯の予防をしたい。


ナイトガードで就寝時の歯の予防


ラ行が言いにくい。


ナイトガードで歯ぎしりの影響を抑える


ナイトガードで歯を保護


夜中の歯ぎしり ナイトガードで予防


ナイトガードで歯ぎしり予防


奥歯が欠けた セラミックインレーでの修復後、ナイトガード装着


歯のすり減りと歯の挺出をナイトガードで予防


ナイトガードで歯の負担の予防


夜間の歯ぎしりを防ぐためのナイトガード


歯ぎしりが気になる。


