電話予約
無料相談予約
選ばれる理由
Reason
歯科医師紹介
Doctor
診療科目
Services
症例写真
Case photo
動画
Movie
治療費一覧
Price
医院紹介
Clinic
症例・治療例紹介
Cases
Dr. 青山卓弘の症例写真
1ページ目 / 11
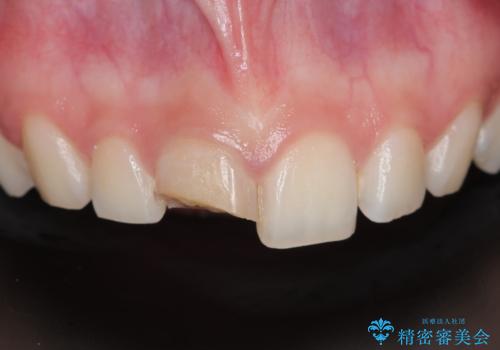
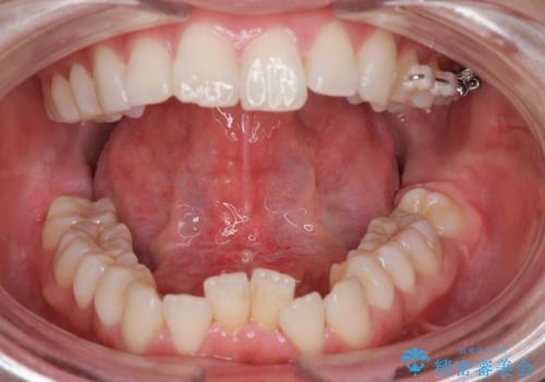
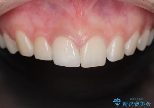
担当医 青山卓弘<2025年10月1日更新>
担当医 青山卓弘<2025年9月20日更新>
担当医 青山卓弘<2025年9月10日更新>
担当医 青山卓弘<2025年8月20日更新>
担当医 青山卓弘<2025年8月18日更新>
担当医 青山卓弘<2025年3月17日更新>
担当医 青山卓弘<2025年2月20日更新>
担当医 青山卓弘<2025年2月13日更新>
担当医 青山卓弘<2025年2月4日更新>
担当医 青山卓弘<2025年1月20日更新>
担当医 青山卓弘<2025年1月8日更新>