症例詳細
Case detail
放置して膿で腫れ上がった奥歯 短期間でのインプラント治療
治療症例の内容
- 担当医
- 藤巻太一朗(ドクタープロフィール)
- 患者様
- 40代男性
- 治療期間
- 4ヶ月
- 治療回数
- 5-10回
- 治療計画
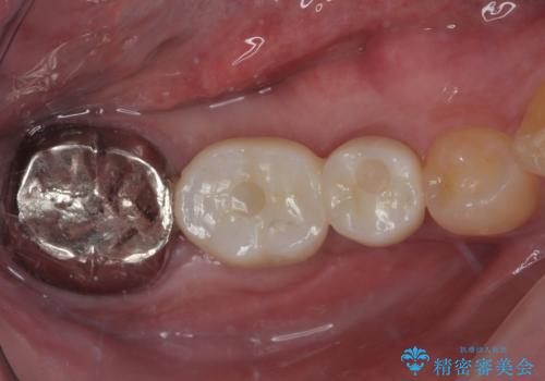
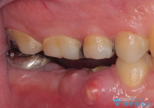
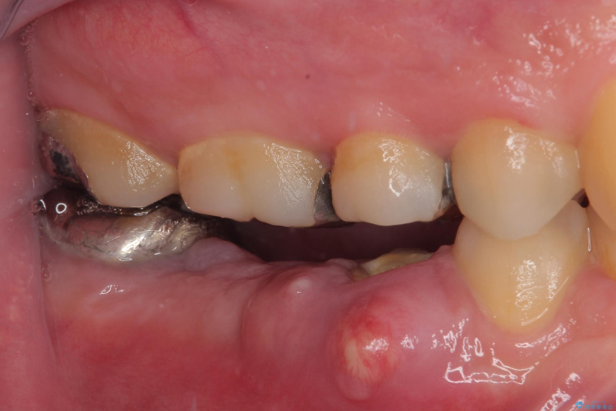
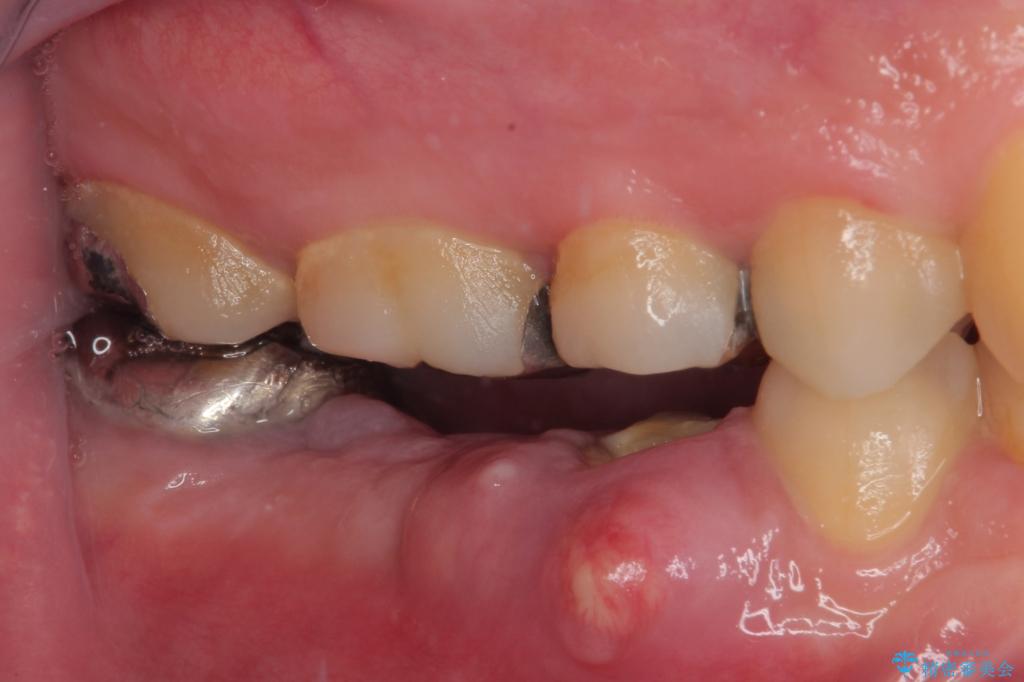
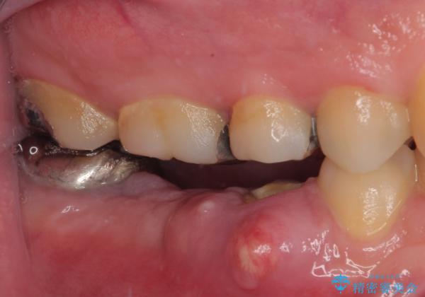
- むし歯を放置したことで、歯茎で膿が腫れ上がったしまったとのことで来院された患者様です。
ブリッジの支台歯が痛みを覚え、近医でブリッジを切断してもらって以降、そのままにしてしまったとのことでした。
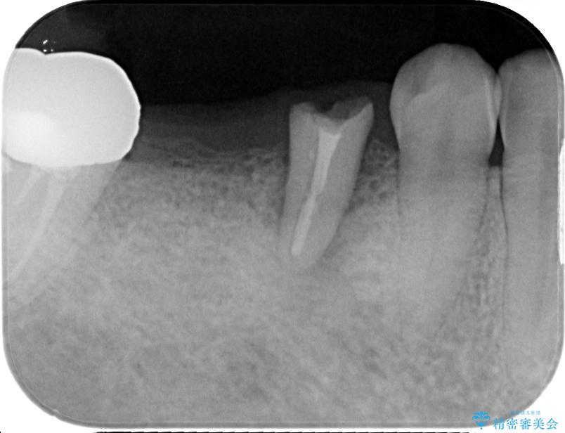
問題が起きていた手前の歯から膿が出てきたことを自覚して当院を来院されましたが、既に歯根破折をしており、抜歯が必要な状態でした。
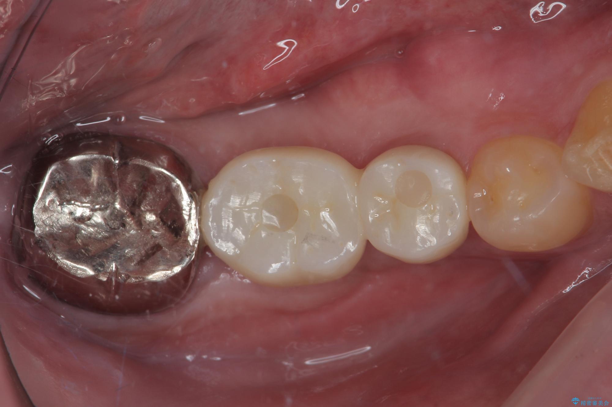
咬合力が非常に強い患者様であり、2歯欠損のブリッジ(しかも大臼歯は失活歯)は歯根破折のリスクが高すぎると判断し、抜歯部および欠損部に対して、インプラントによる補綴治療を行うこととしました。
- 費用(概算)
- 90万円(税込)費用は治療当時の料金となります
治療について
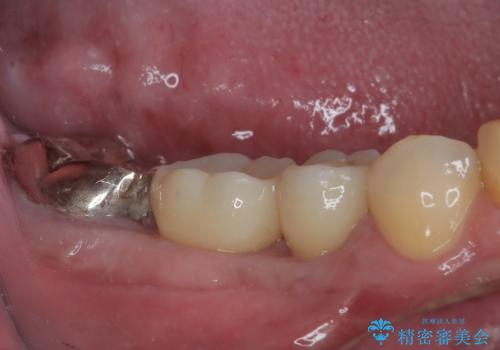
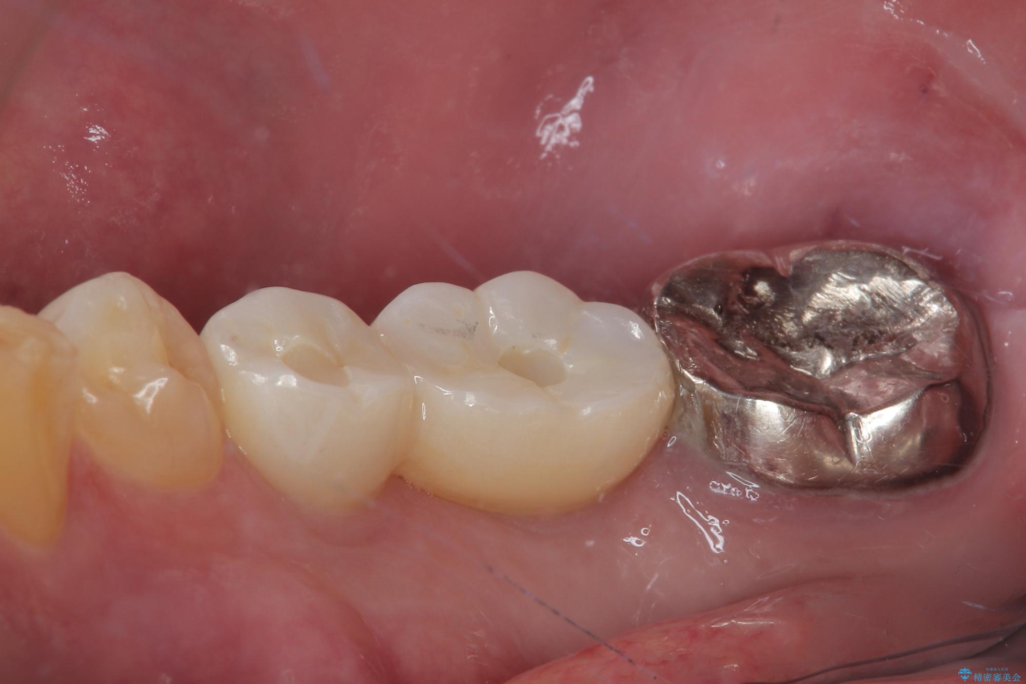
抜歯即時埋入部と後方の欠損部は、即日荷重(インプラント埋入と同時に仮歯を装着すること)が可能な安定値が得られましたが、長い期間欠損した状態で過ごすと、欠損部に舌を押し当てる癖が発現してしまい、舌からの側方圧でインプラントが脱離するリスクが著しく高まってしまうため、即日荷重は行いませんでした。
おかげでインプラントは無事に生着し、僅か4ヶ月で治療を終えることができました。
インプラント治療の注意事項(リスク・副作用など)
- 外科手術のため、術後に痛みや腫れ、違和感を伴います
- メンテナンスを怠ったり喫煙により、お口の中に大きな悪影響を及ぼすインプラント周囲炎等にかかる可能性があります
- 糖尿病、肝硬変、心臓病等の場合、インプラント治療ができない可能性があります
- 高血圧、貧血・不整脈等の場合、インプラント治療後に治癒不全を招く可能性があります
- 自費診療(保険適用外治療)となります
セラミック治療の注意事項(リスク・副作用など)
- 天然歯を削ります
- 硬い素材は天然歯を傷つけてしまう場合があります
- かみ合わせや歯ぎしりが強すぎる方はセラミックが割れてしまう可能性があります
- 自費診療(保険適用外治療)となります
当サイトの内容、テキスト、画像等の無断転載、複製、複写、盗用を固く禁じます。














