症例詳細
Case detail
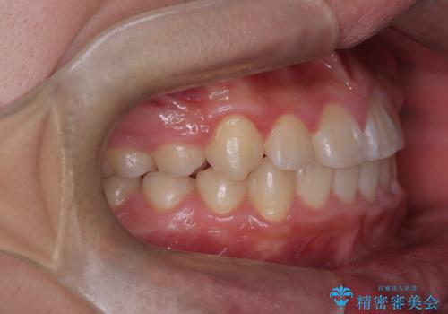
八重歯・歯並びのデコボコとディープバイトを改善した抜歯ワイヤー矯正症例
治療症例の内容
- 診療科目
- 担当医
- 河野豊嘉(ドクタープロフィール)
- 患者様
- 10代男性
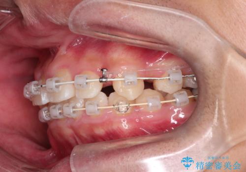
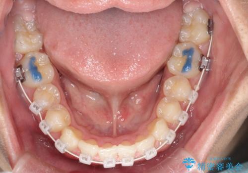
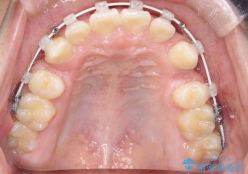
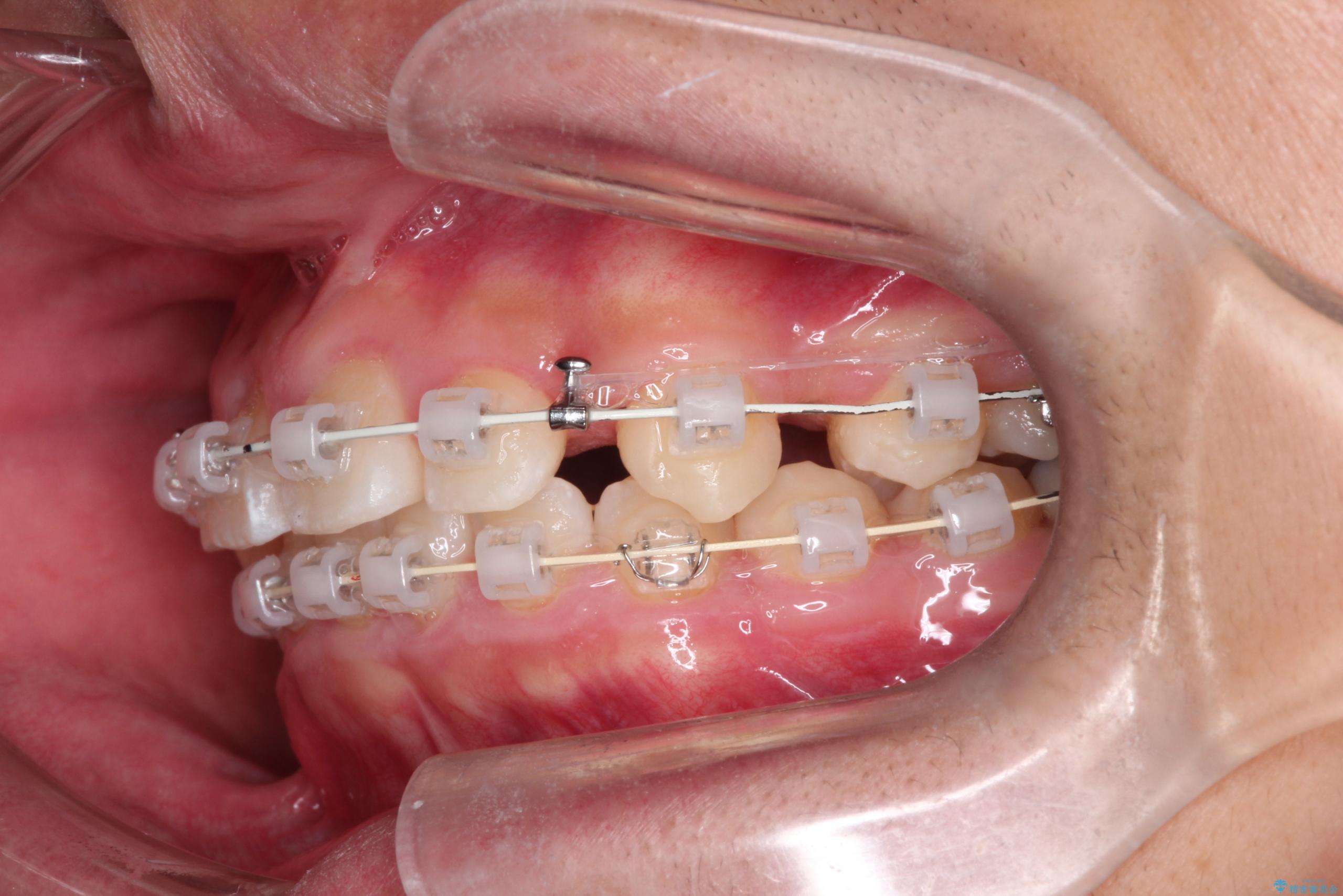
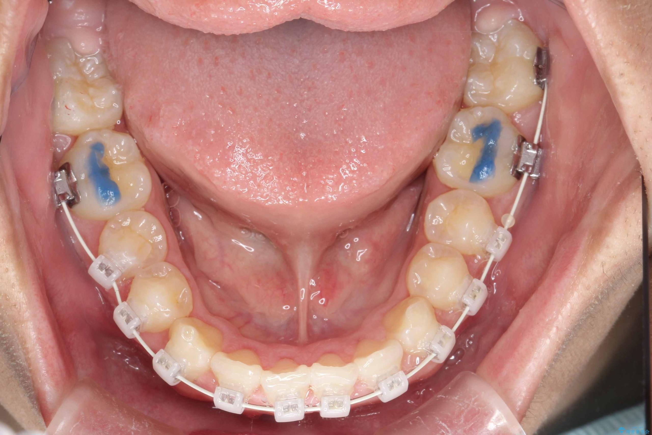
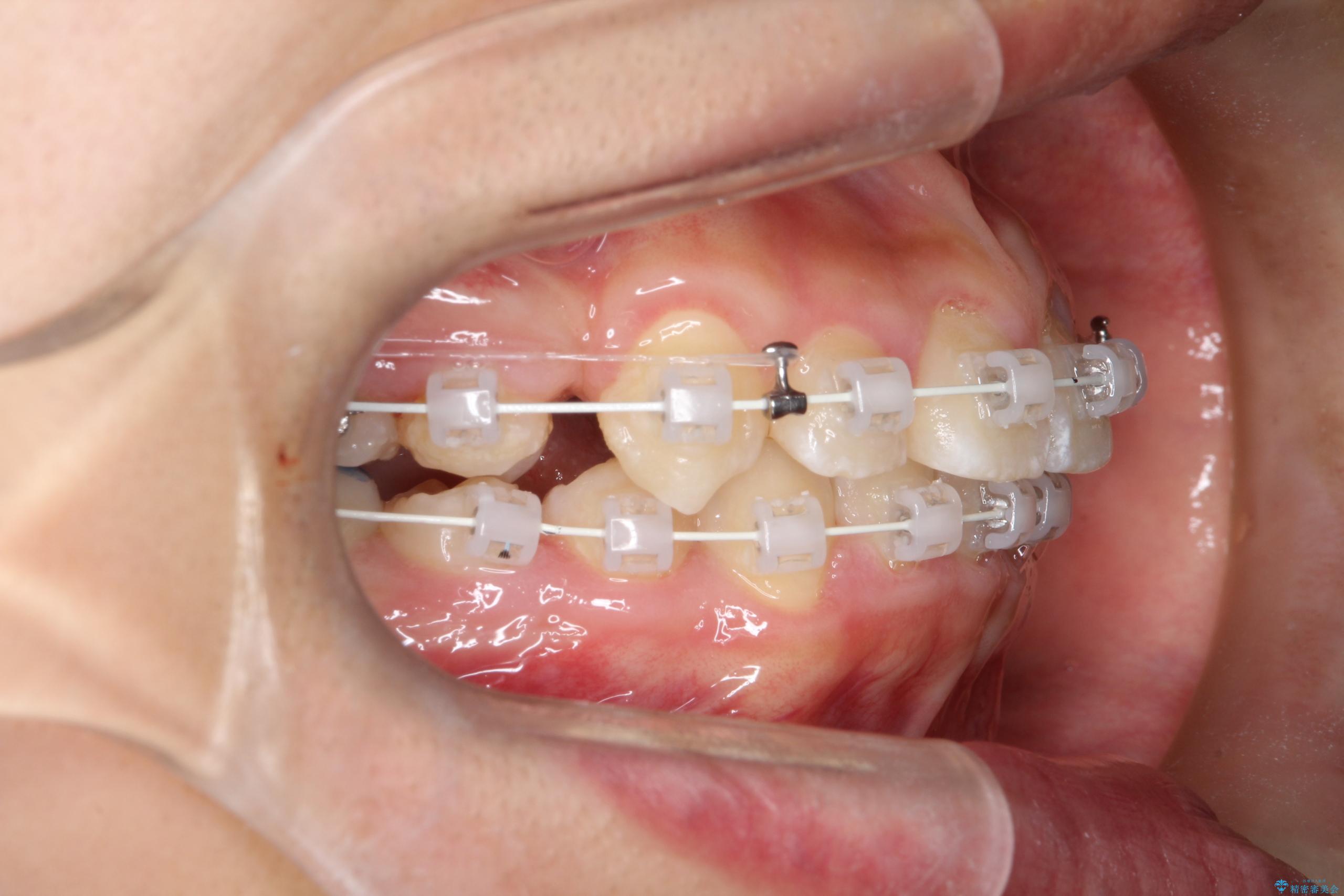
- 矯正装置
- ワイヤー(審美装置)
- 治療期間
- 2年
- 治療回数
- 10-30回
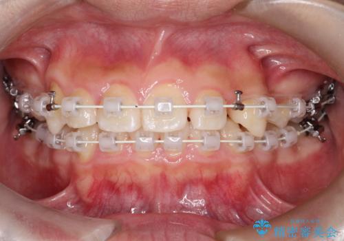
- 治療計画
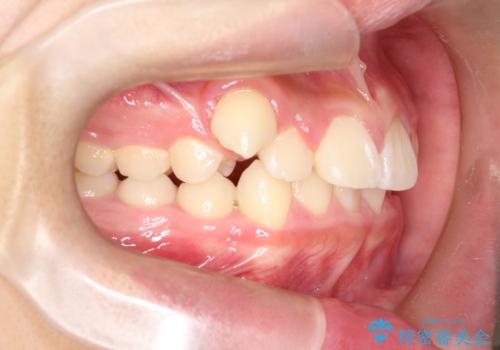
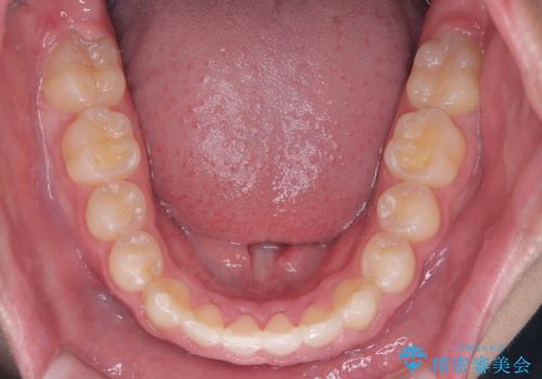
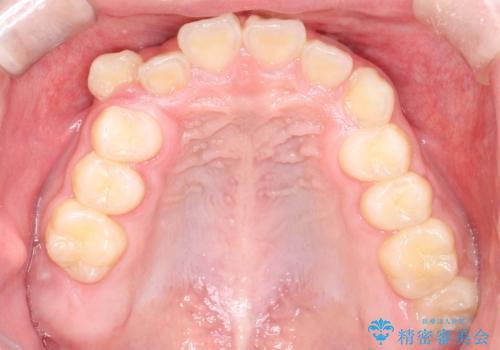
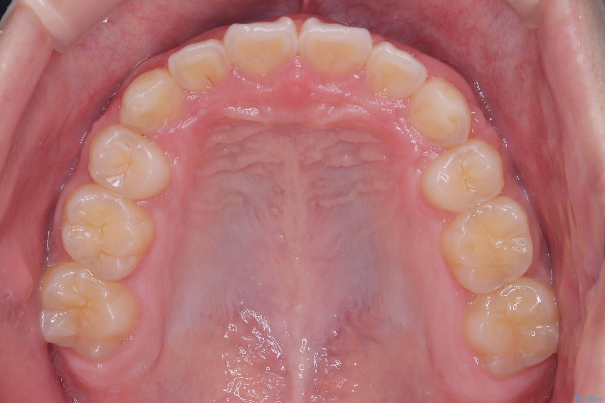
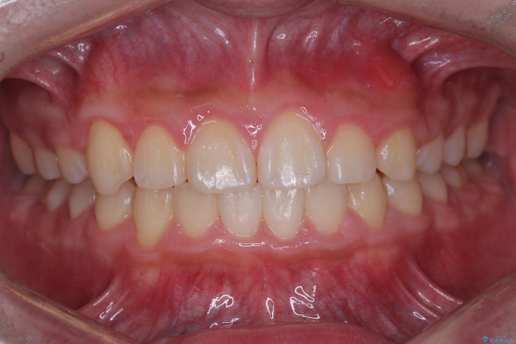
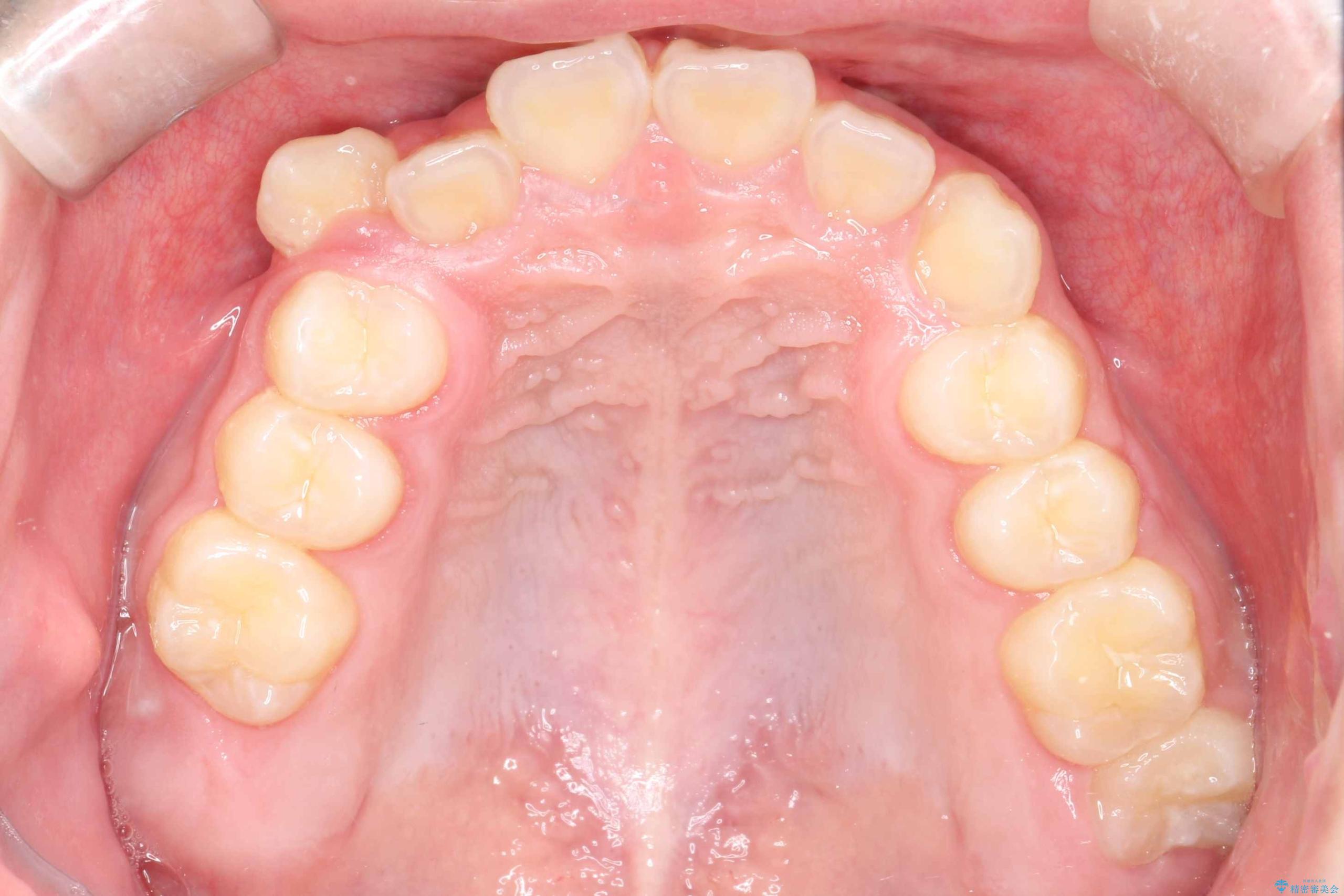
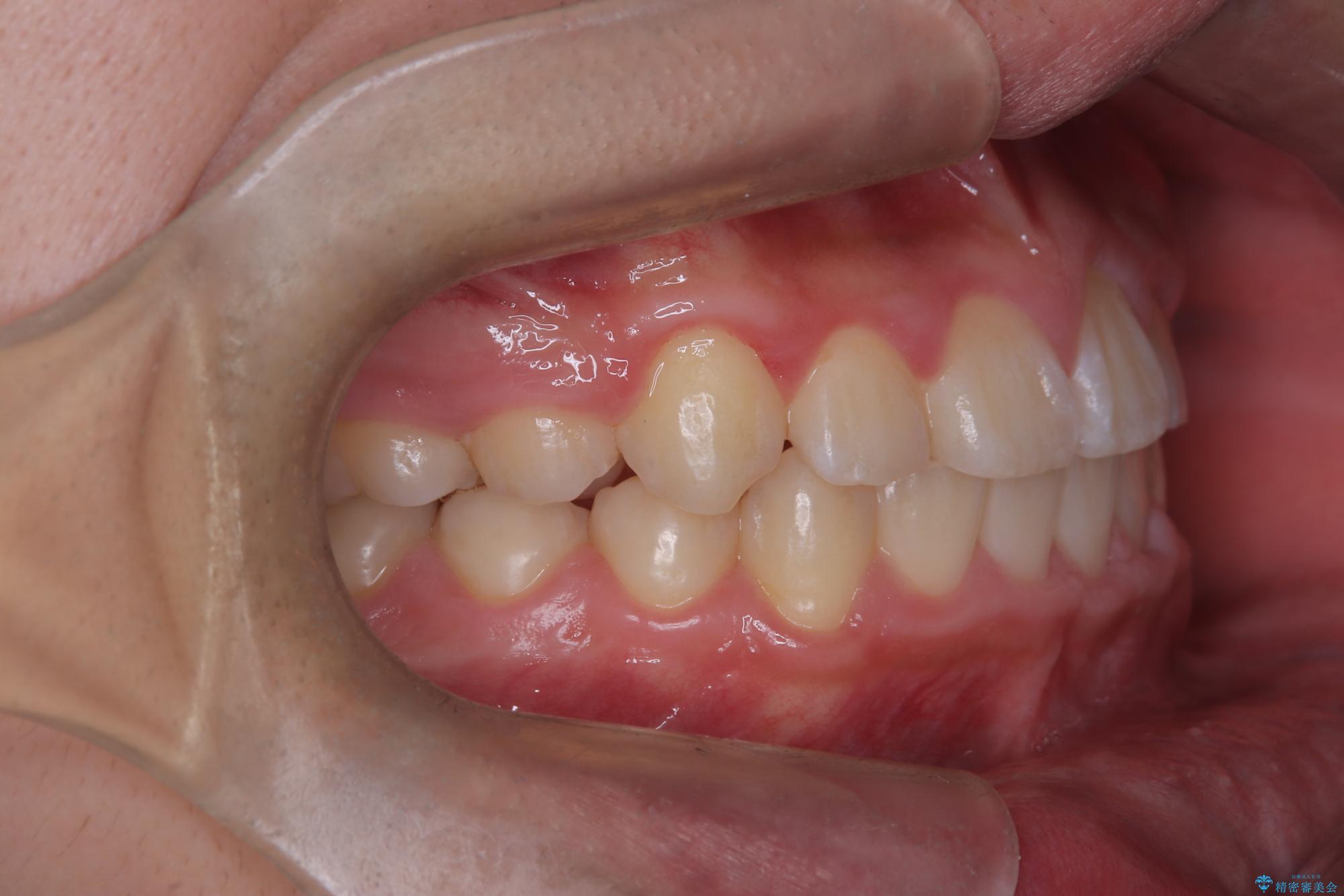
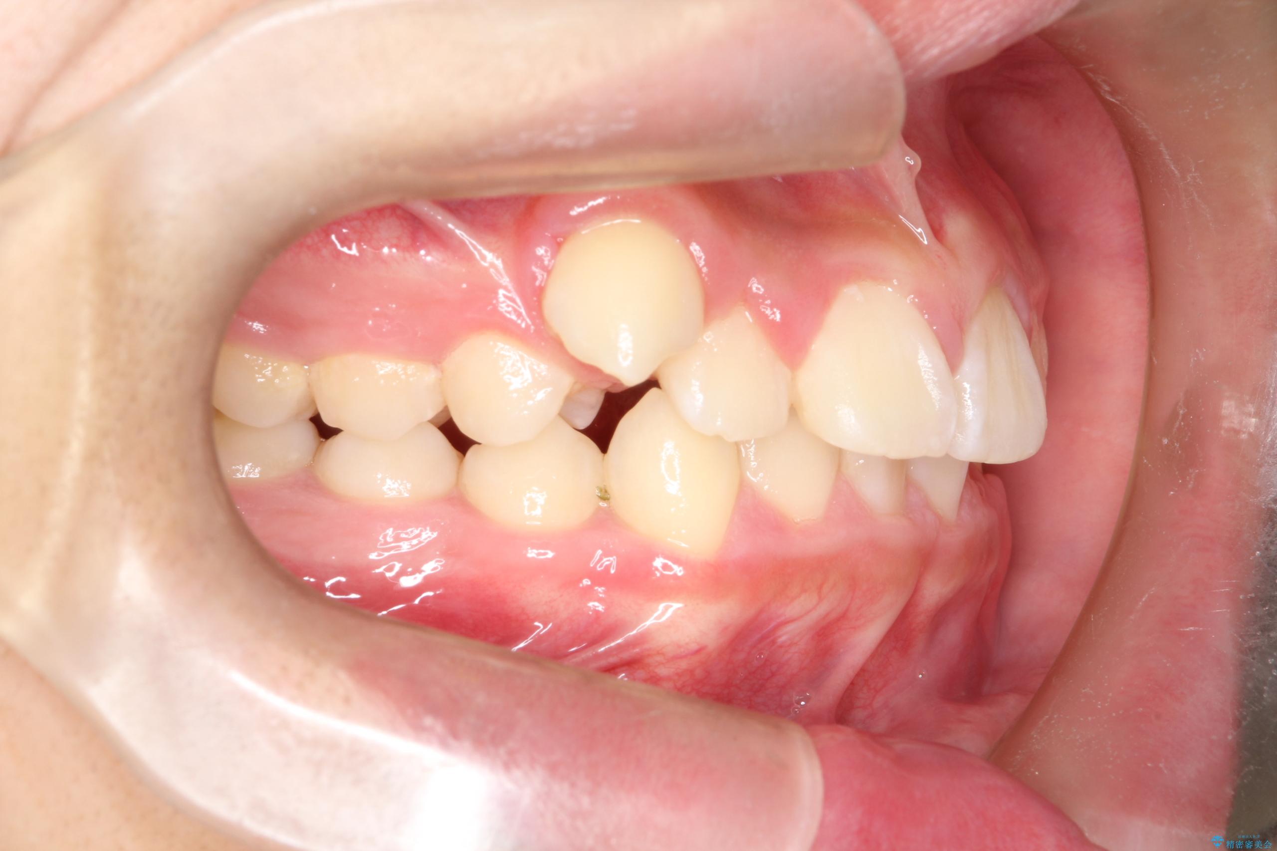
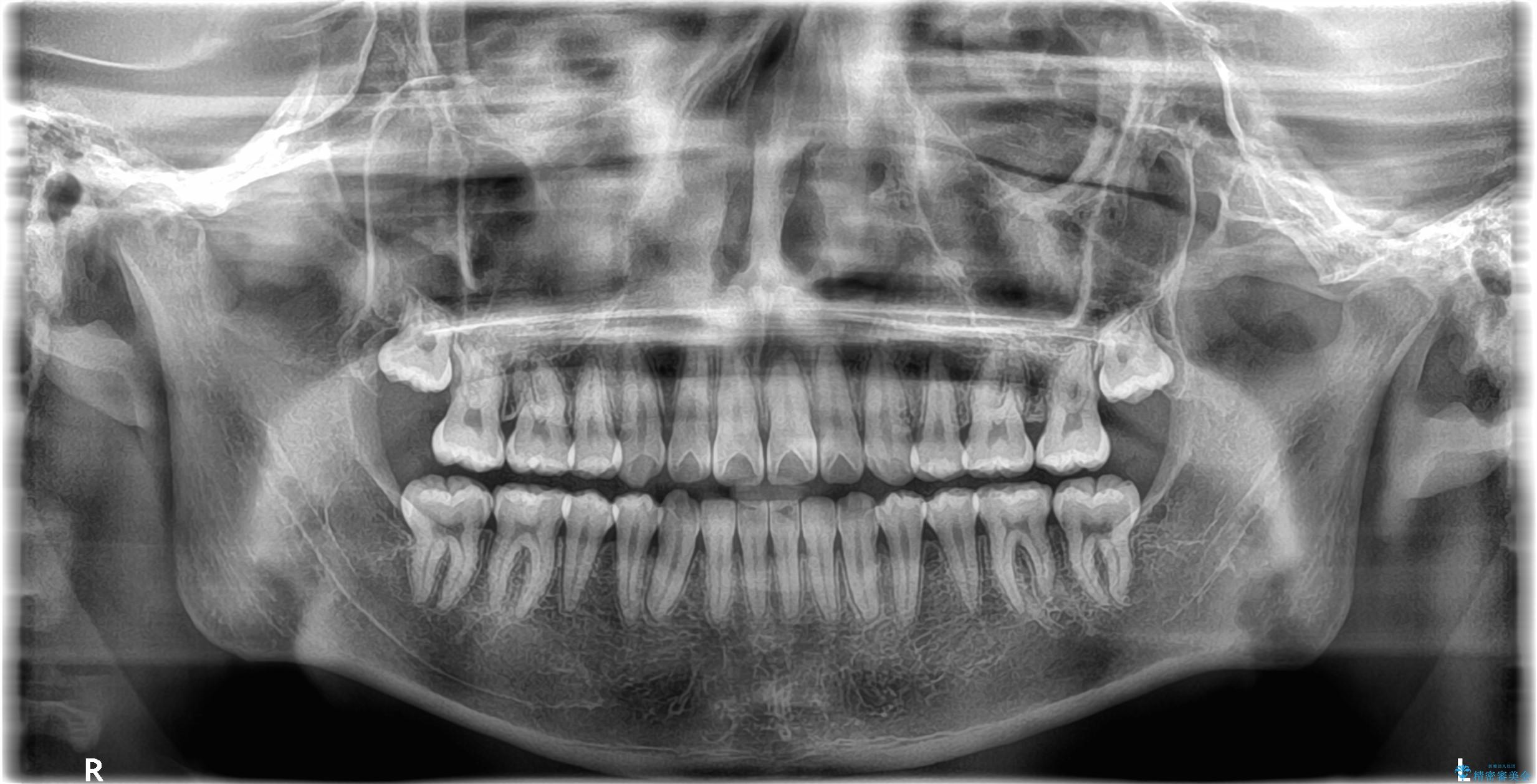
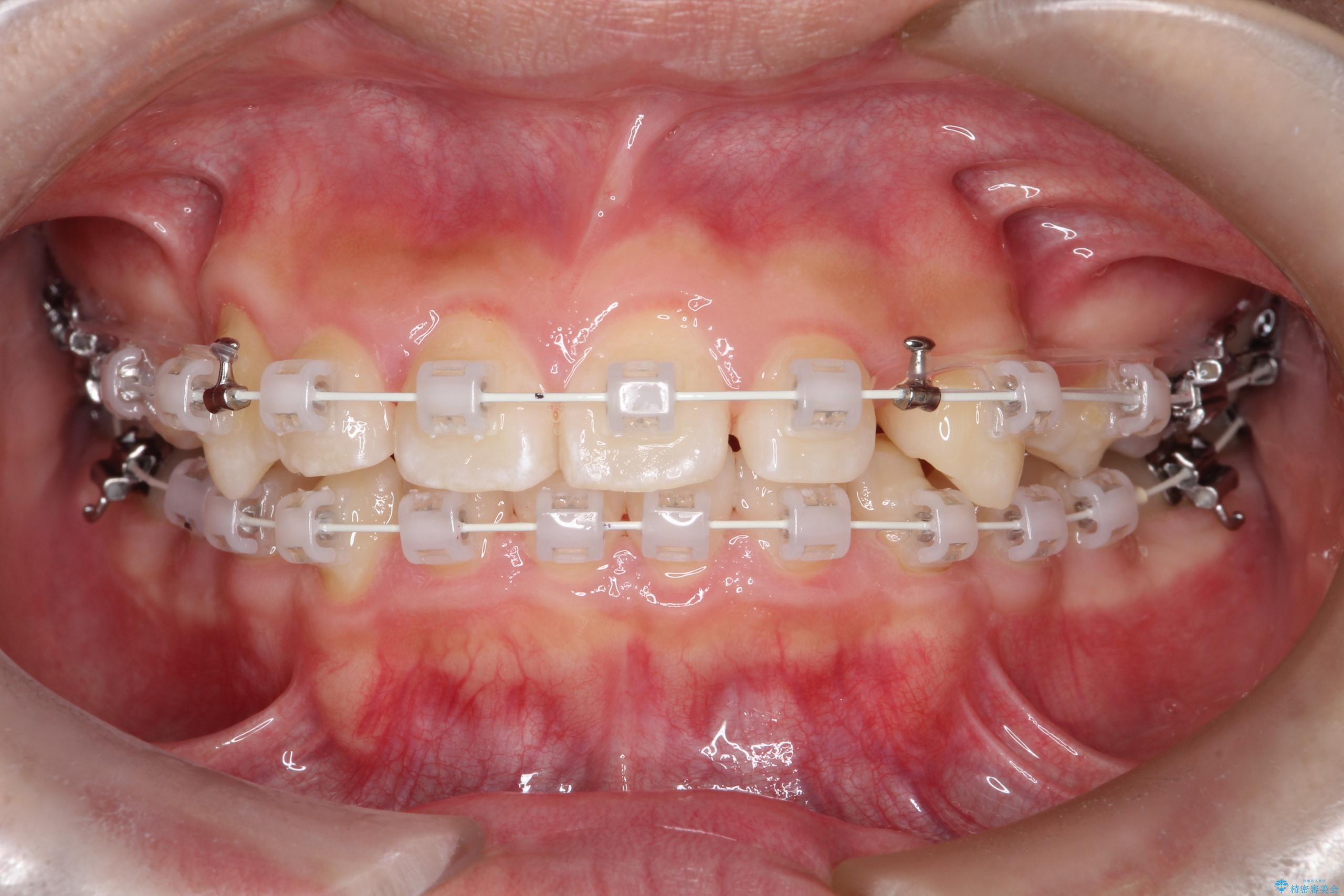
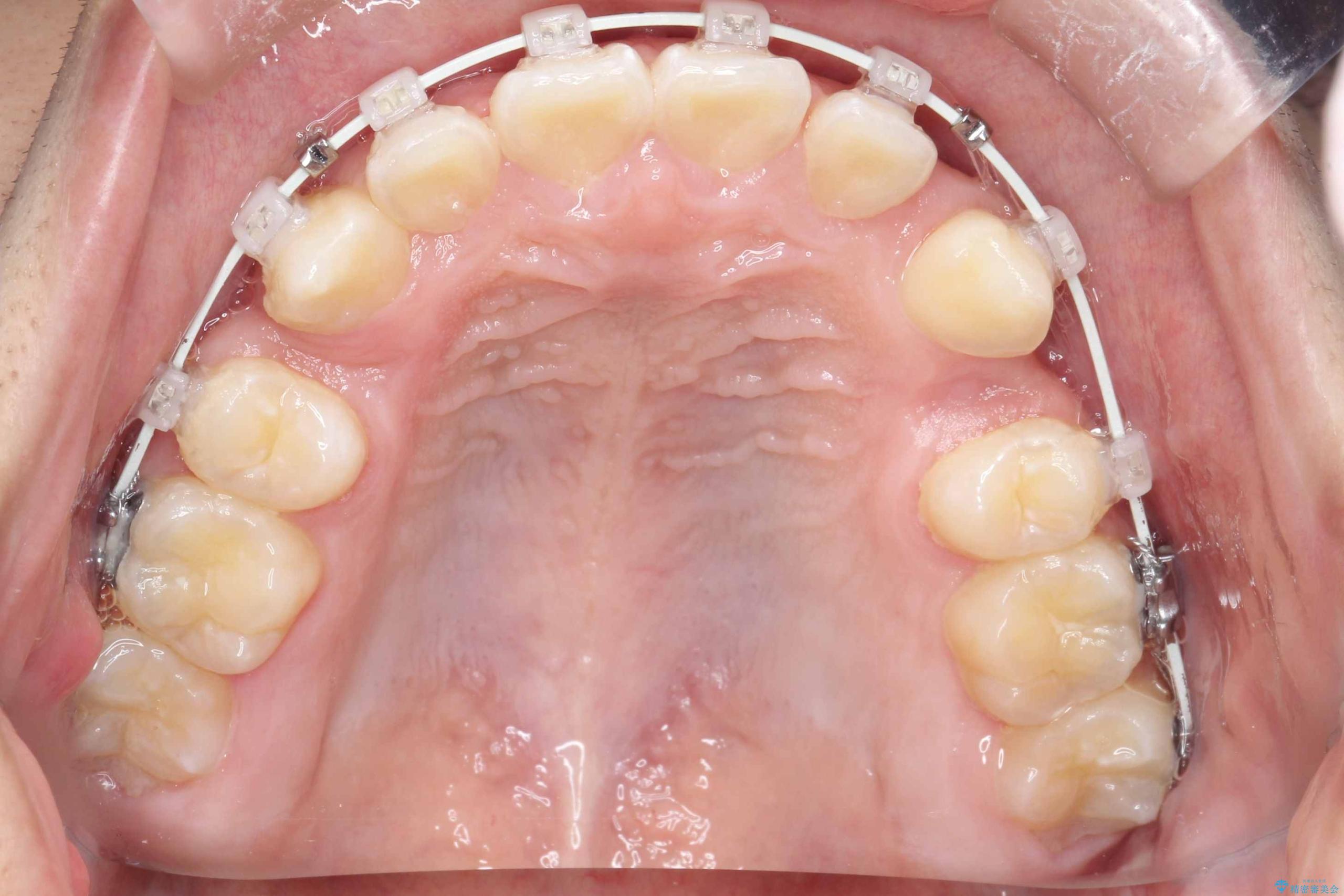
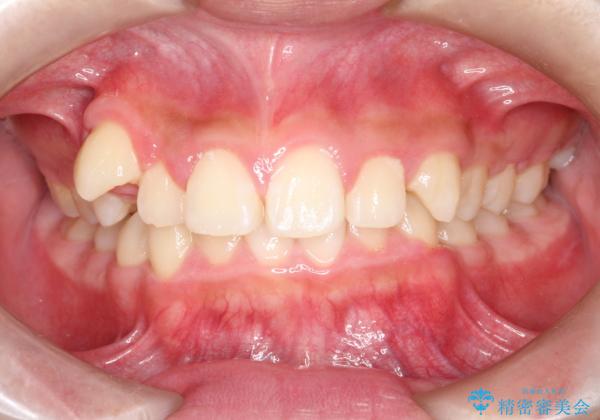
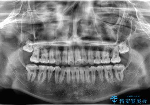
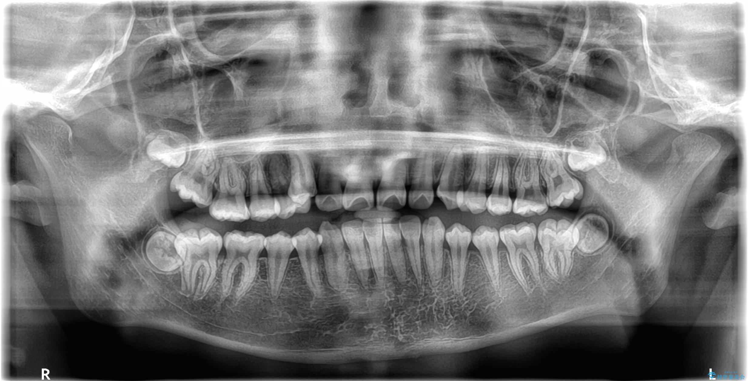
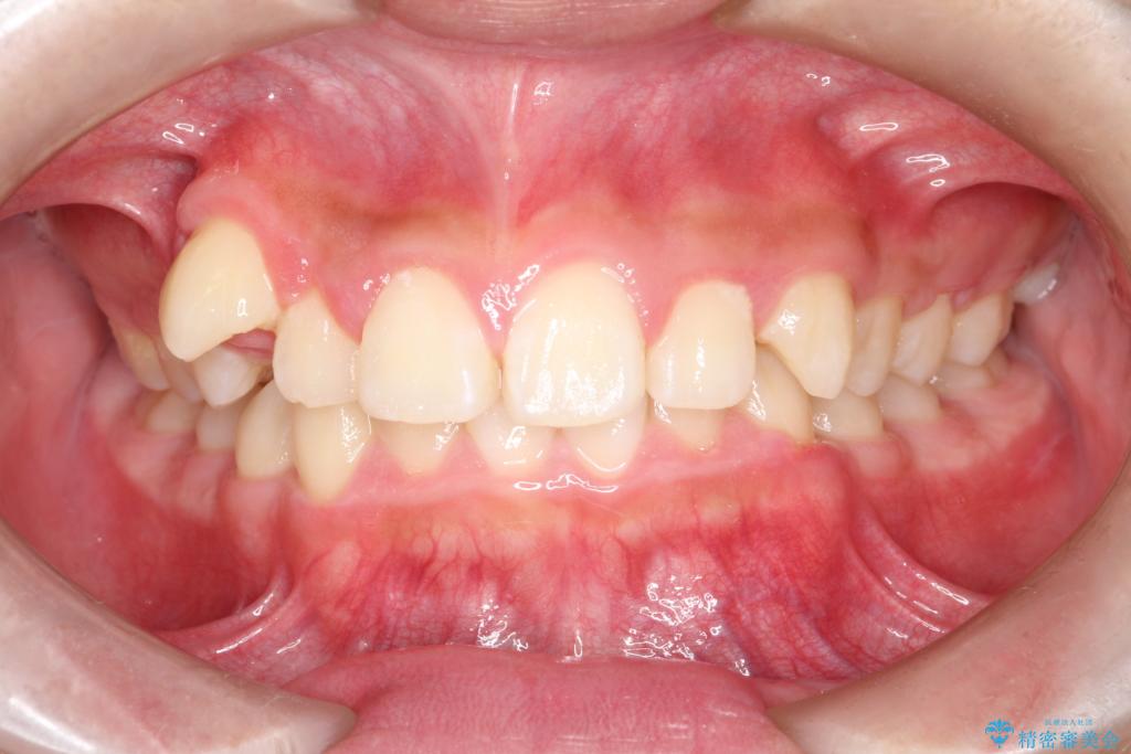
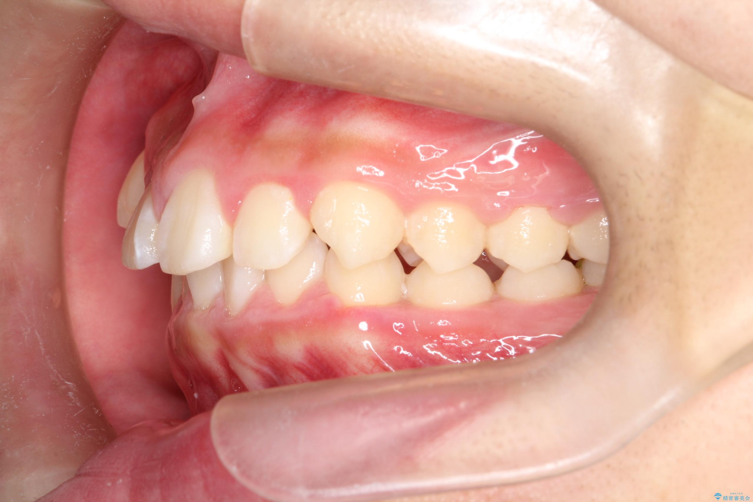
- 八重歯と咬み合わせを治したいを主訴にご来院された患者様です。
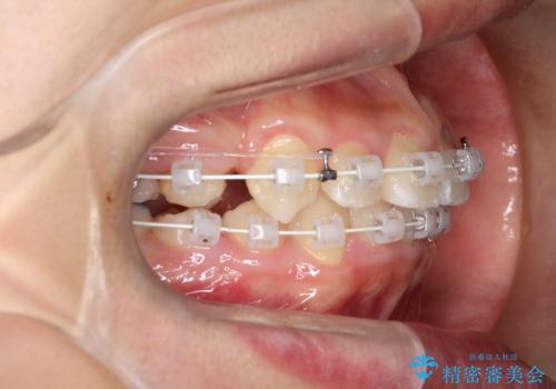
矯正の精密検査の結果上顎左右4番の計2本を抜歯し、審美性に配慮したワイヤー矯正装置(審美装置)を用いて治療を行いました。
- 費用(概算)
- 1,100,000円(税込)通院費込み費用は治療当時の料金となります
治療について
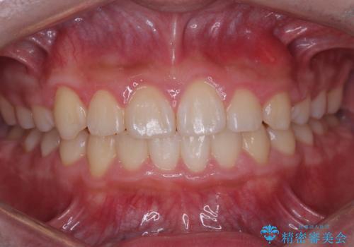
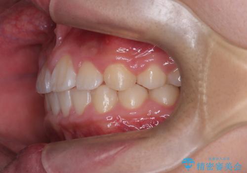
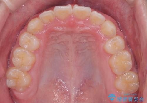
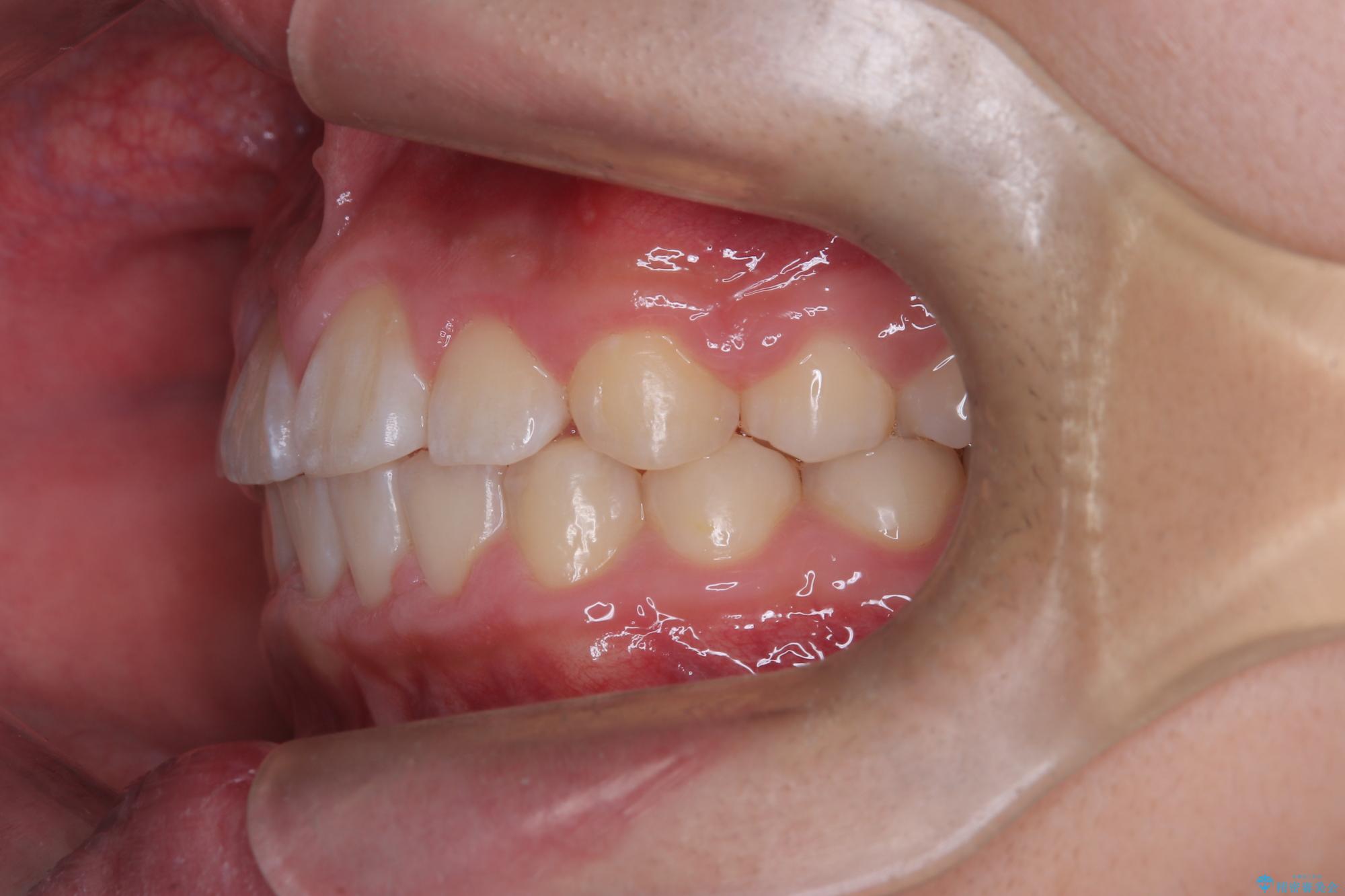
八重歯などの歯列のデコボコが綺麗に改善され、患者様にも大変喜んでいただけました。また、咬み合わせが深い「ディープバイト」も併せて改善し、見た目だけでなく機能面でもバランスの取れた咬合を獲得しています。
ワイヤー矯正の注意事項(リスク・副作用など)
- 治療中は違和感や痛みが起こることがあります
- 症状により、抜歯が必要な場合があります
- 治療中は歯磨きがしにくくなるため、虫歯や歯周病になりやすくなります
- 矯正治療後の保定が不十分だと後戻り(元の位置に戻ろうとする動き)をします
- 自費診療(保険適用外)となります
当サイトの内容、テキスト、画像等の無断転載、複製、複写、盗用を固く禁じます。

















