症例詳細
Case detail
銀歯の段差と虫歯リスクを改善|ラバーダム防湿下で行うセラミックインレー治療
治療症例の内容
- 診療科目
- 治療カテゴリ
- 担当医
- 河野豊嘉(ドクタープロフィール)
- 患者様
- 40代女性
- 治療期間
- 治療回数
- 2-5回
- 治療計画
- 当院でメンテナンスに通われている患者様です。
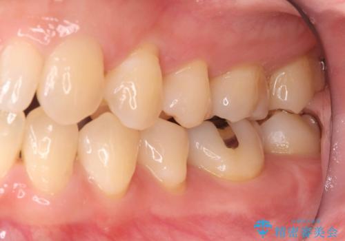
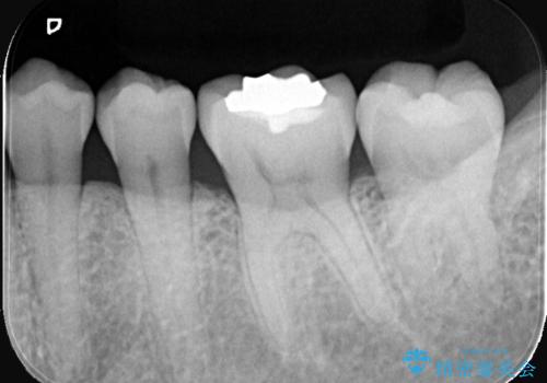
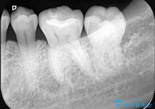
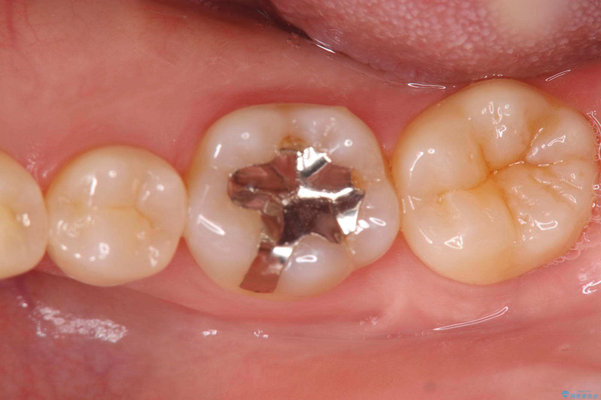
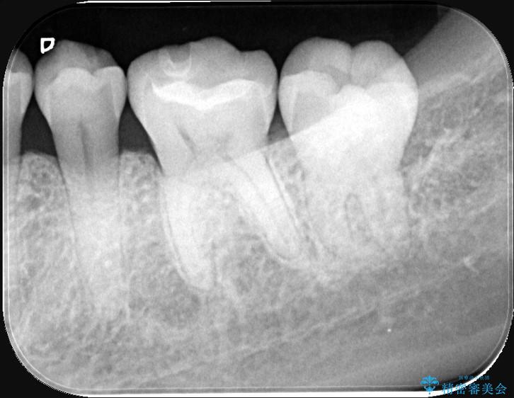
歯が欠けたことによるものか、もしくは以前装着された修復物の不適合が原因と考えられますが、銀歯(メタルインレー)と歯との間に大きな段差が認められ、汚れが溜まりやすい状態となっていました。
このような状態では、修復物の内部で虫歯が進行している可能性が高いため、治療が必要と判断しました。
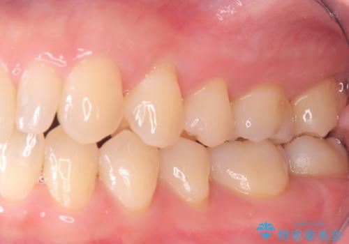
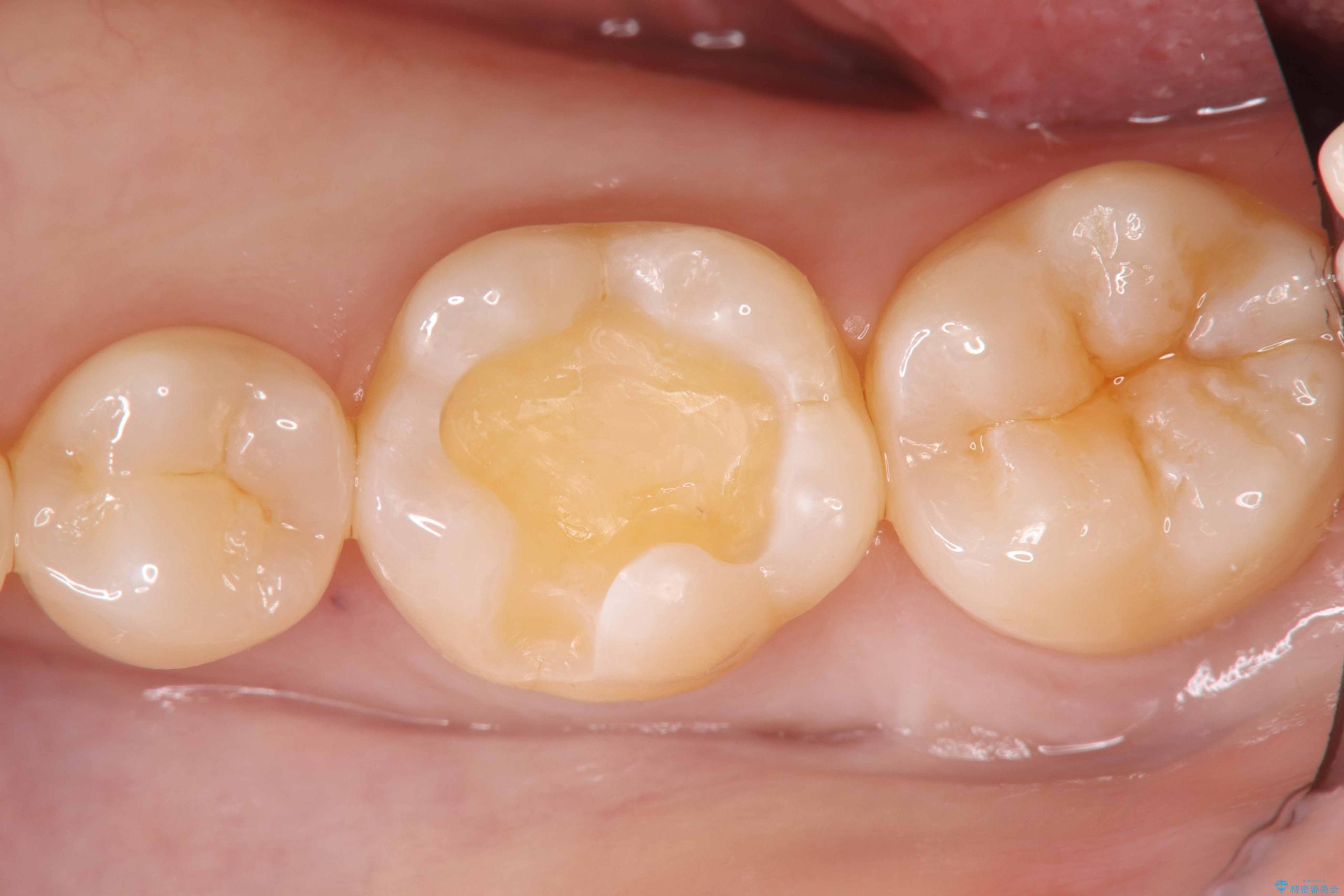
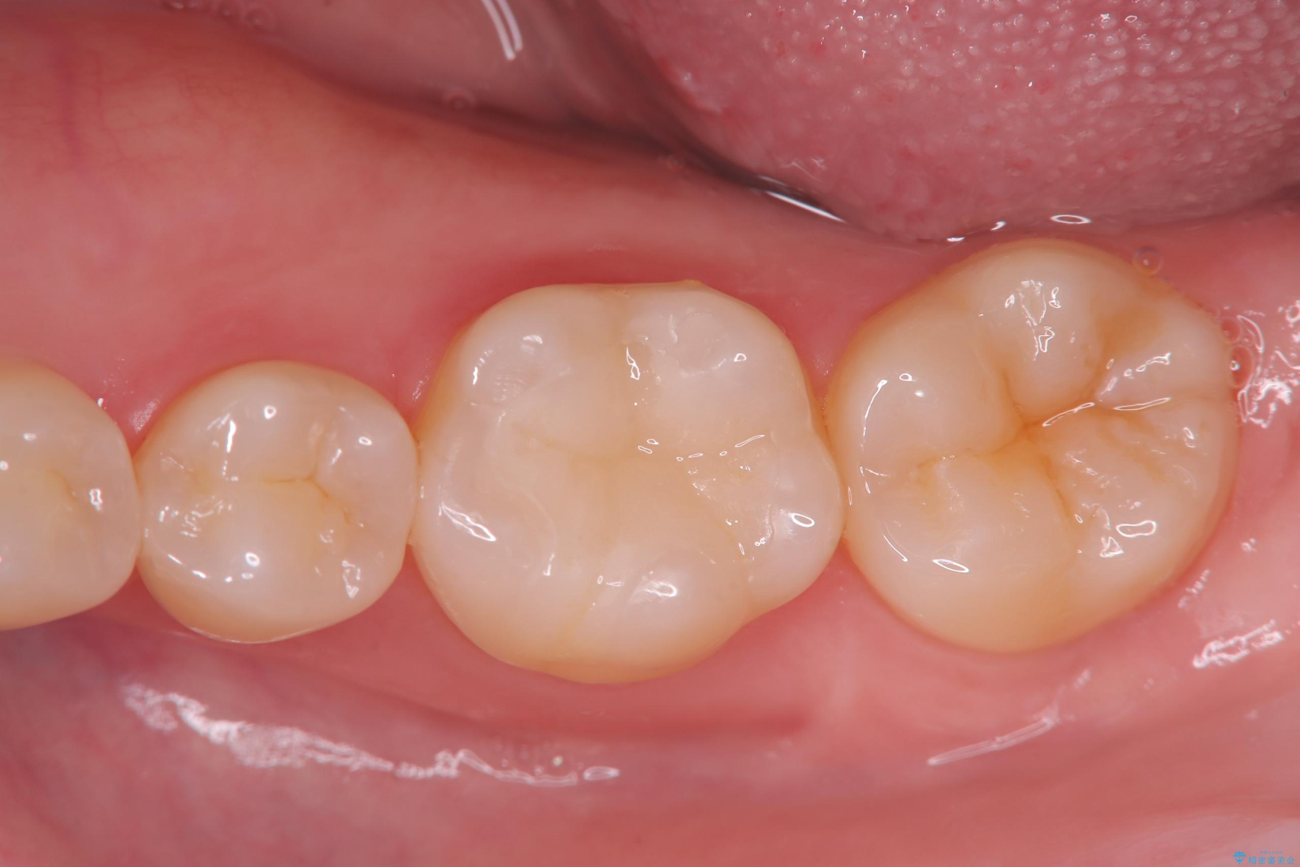
今回は、経年的な劣化が少なく、汚れが付着しにくいセラミックインレーを用いて治療を行いました。
- 費用(概算)
- 77,000円費用は治療当時の料金となります
治療について
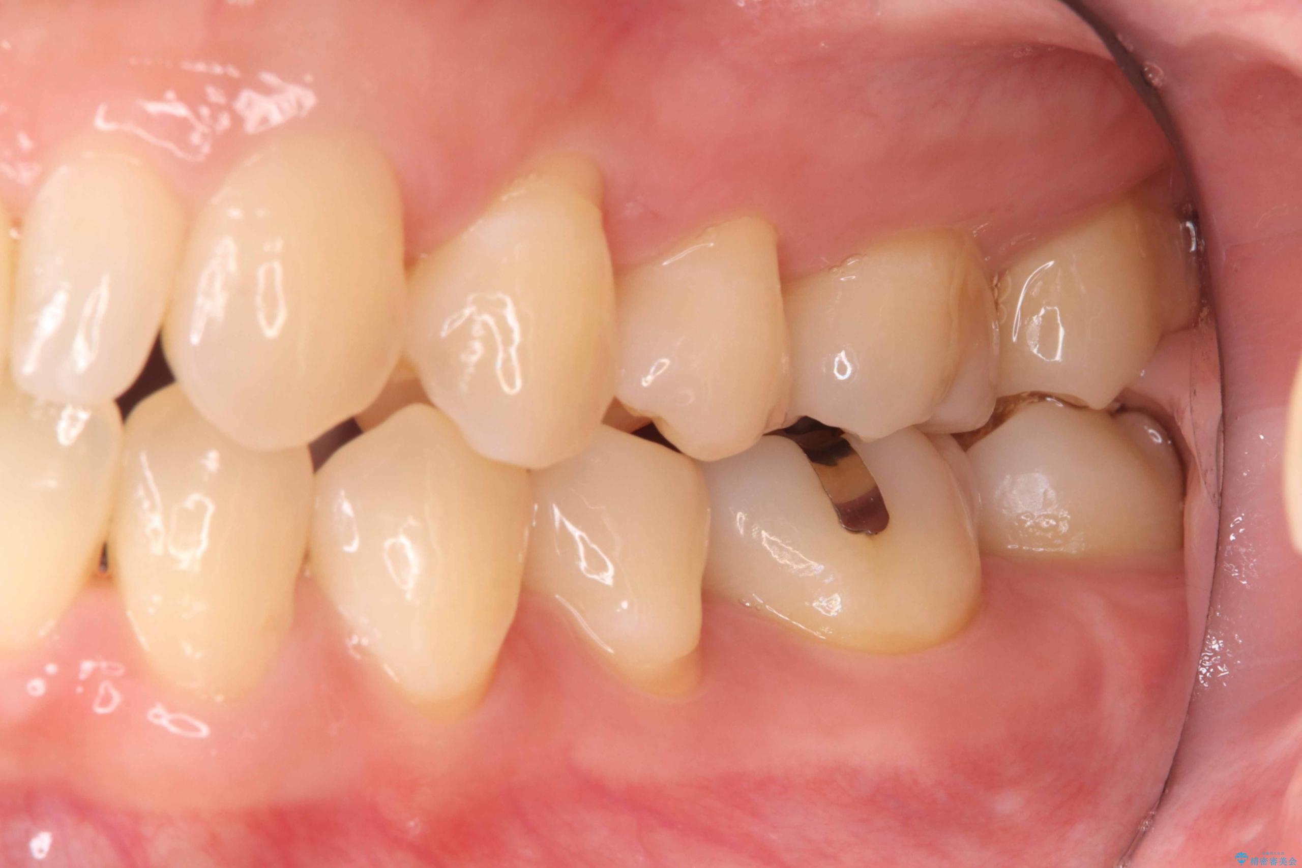
セラミックインレー装着時には、唾液が入らないようラバーダムシートを使用し、接着精度を高めることで、長く安心して使っていただける治療を心がけています。
セラミック治療の注意事項(リスク・副作用など)
- 天然歯を削ります
- 硬い素材は天然歯を傷つけてしまう場合があります
- かみ合わせや歯ぎしりが強すぎる方はセラミックが割れてしまう可能性があります
- 自費診療(保険適用外治療)となります
当サイトの内容、テキスト、画像等の無断転載、複製、複写、盗用を固く禁じます。








