症例詳細
Case detail
隠れた前歯が気になる ディープバイトのワイヤー矯正治療
治療症例の内容
- 診療科目
- 担当医
- 藤巻太一朗(ドクタープロフィール)
- 患者様
- 30代女性
- 矯正装置
- 審美装置
- 治療期間
- 1年7ヶ月
- 治療回数
- 10-30回
- 治療計画
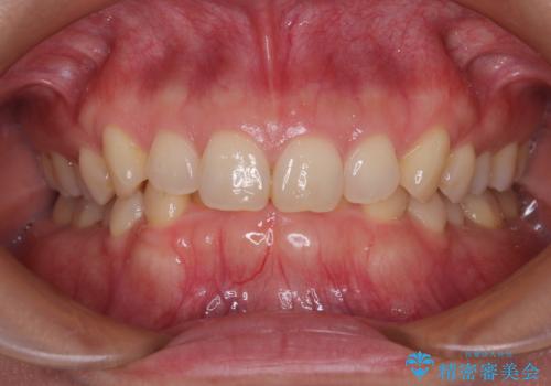
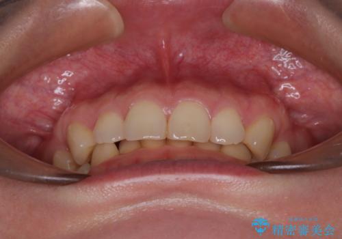
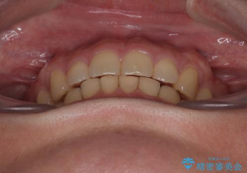
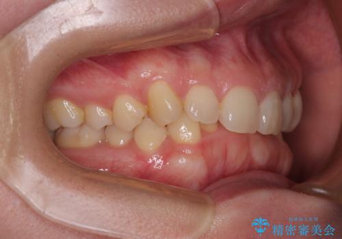
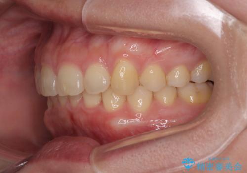
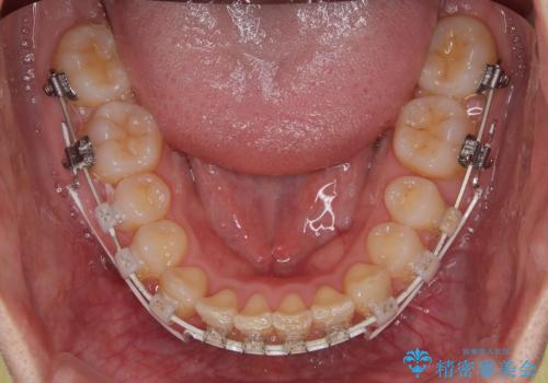
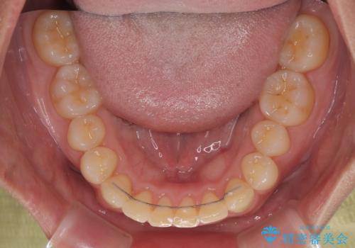
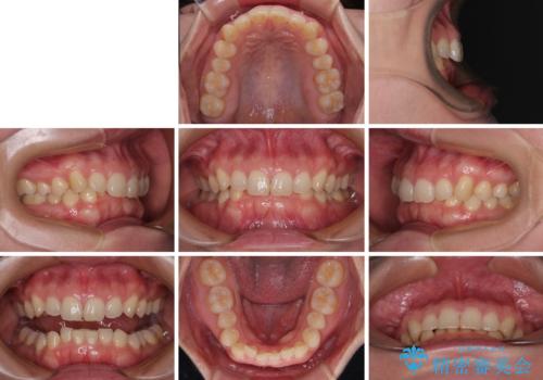
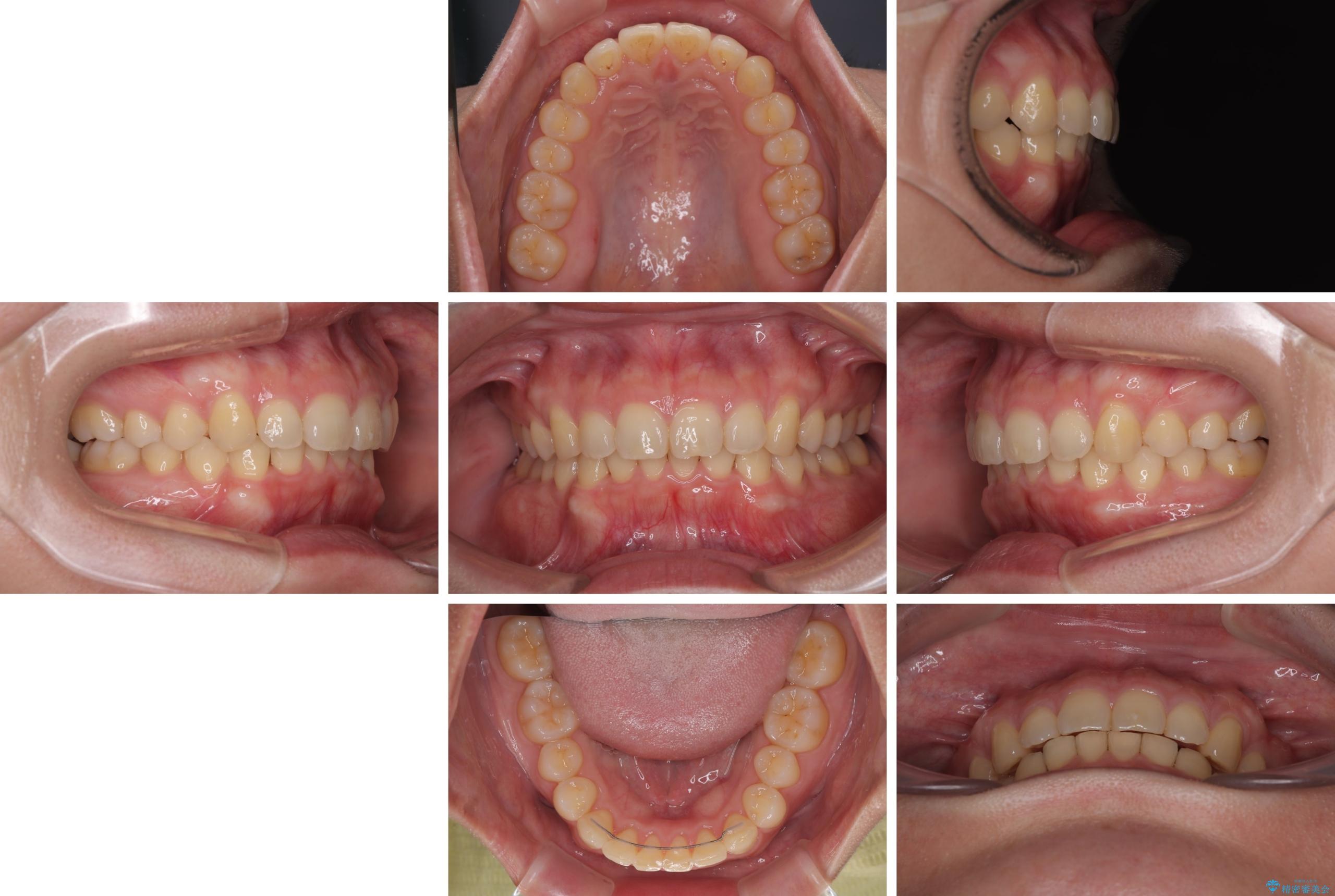
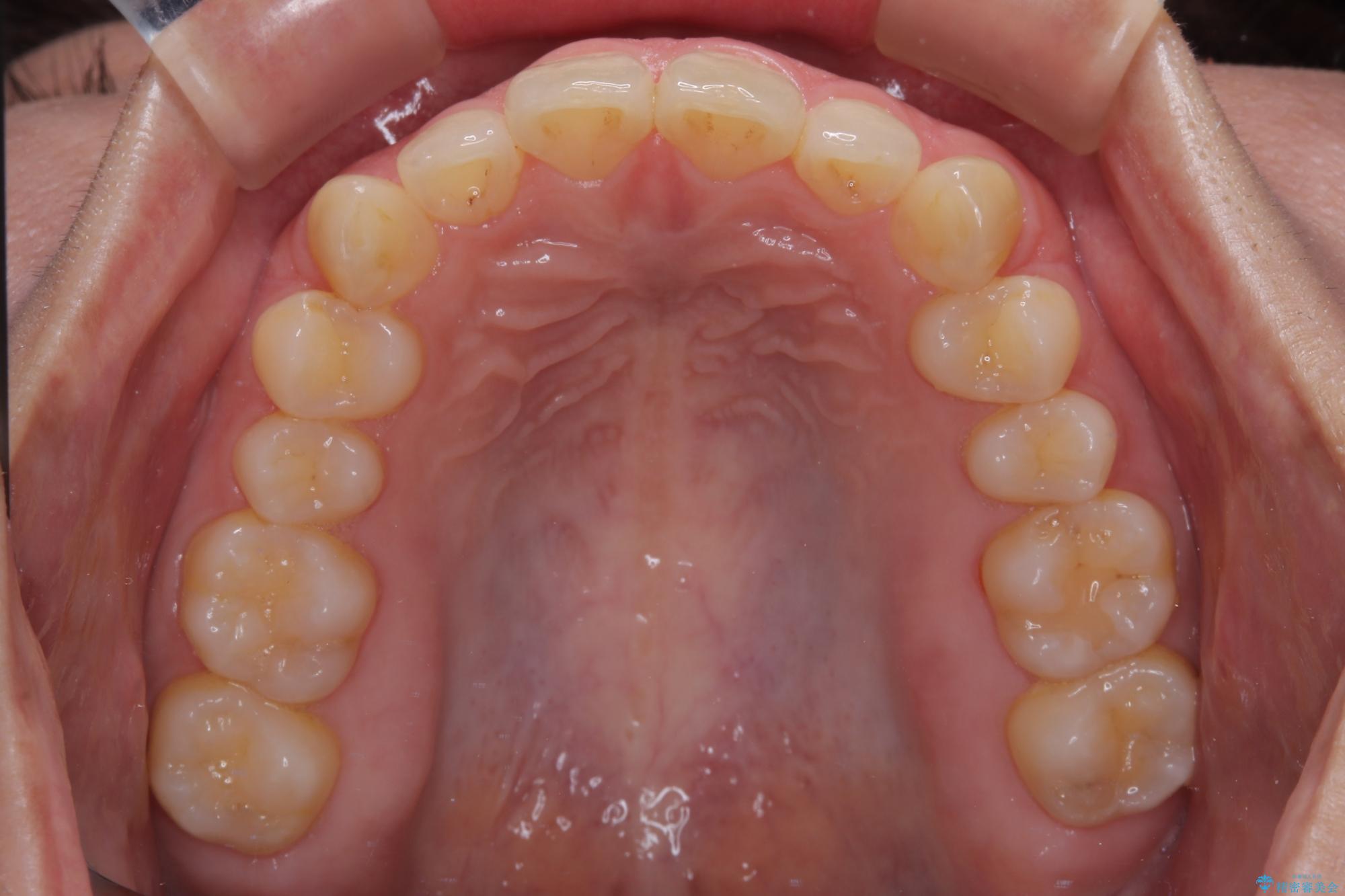
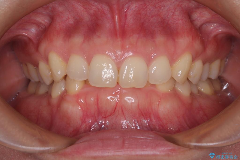
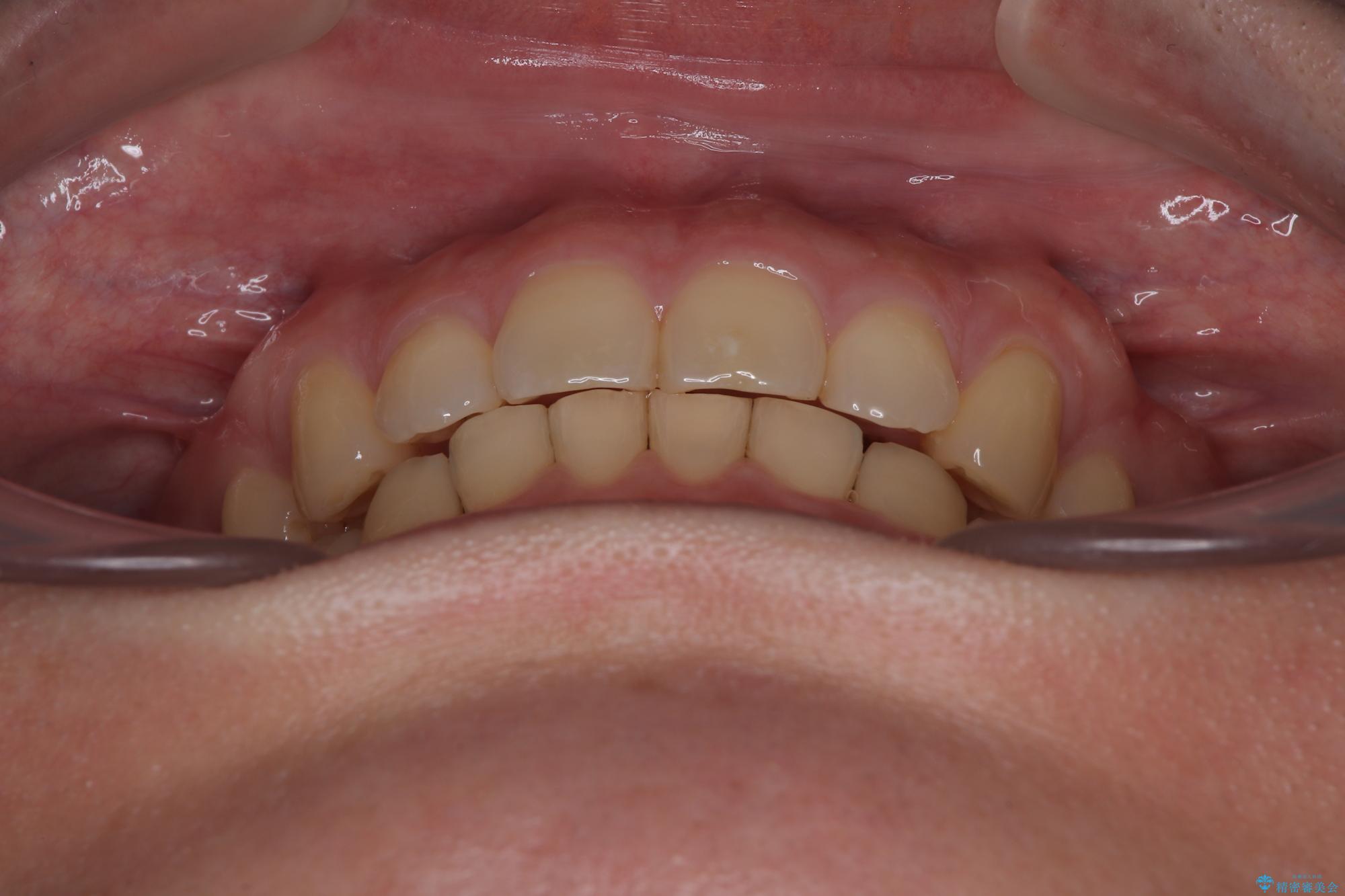
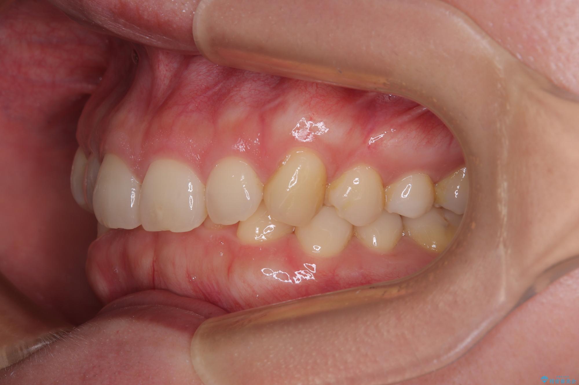
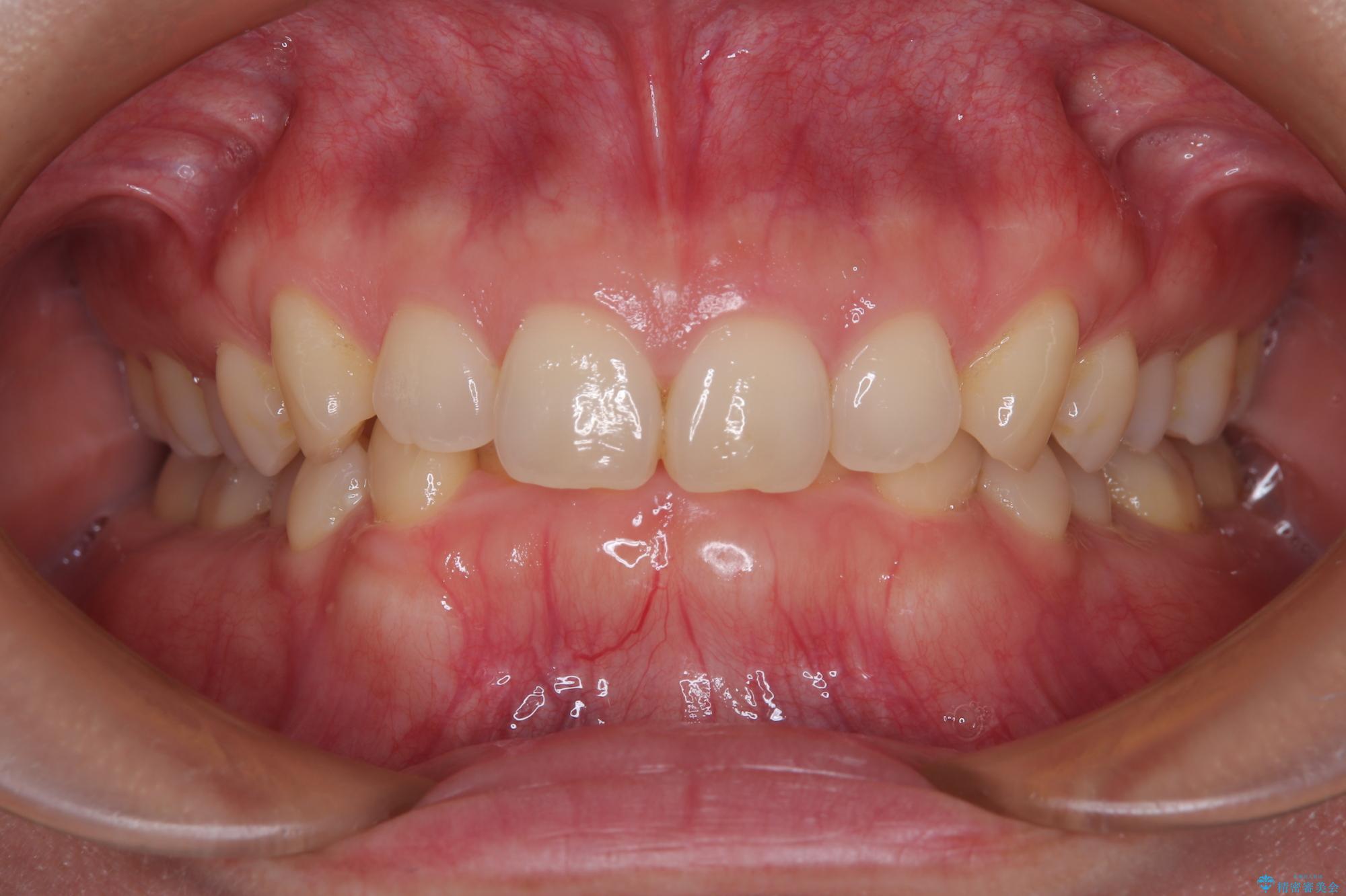
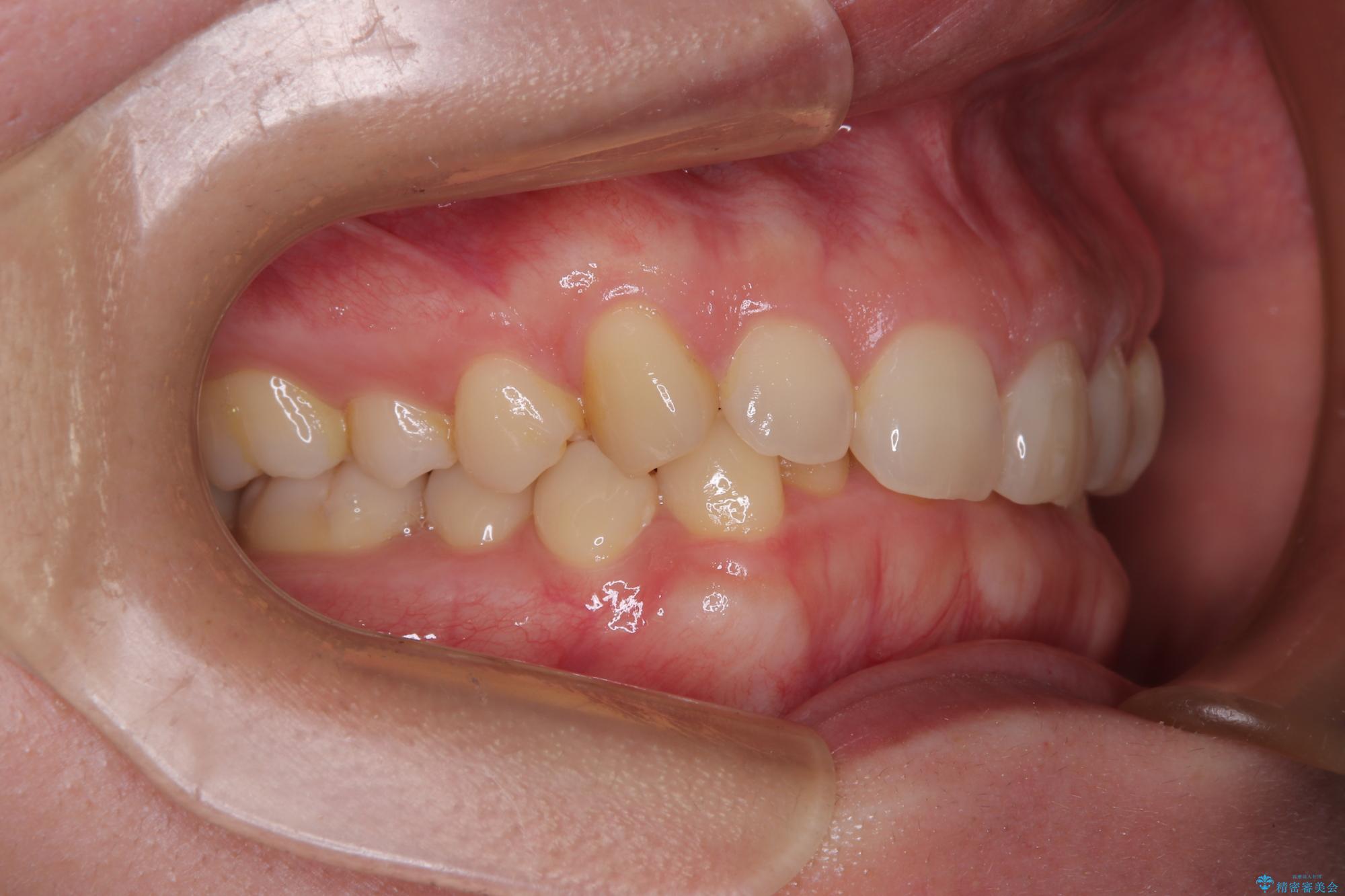
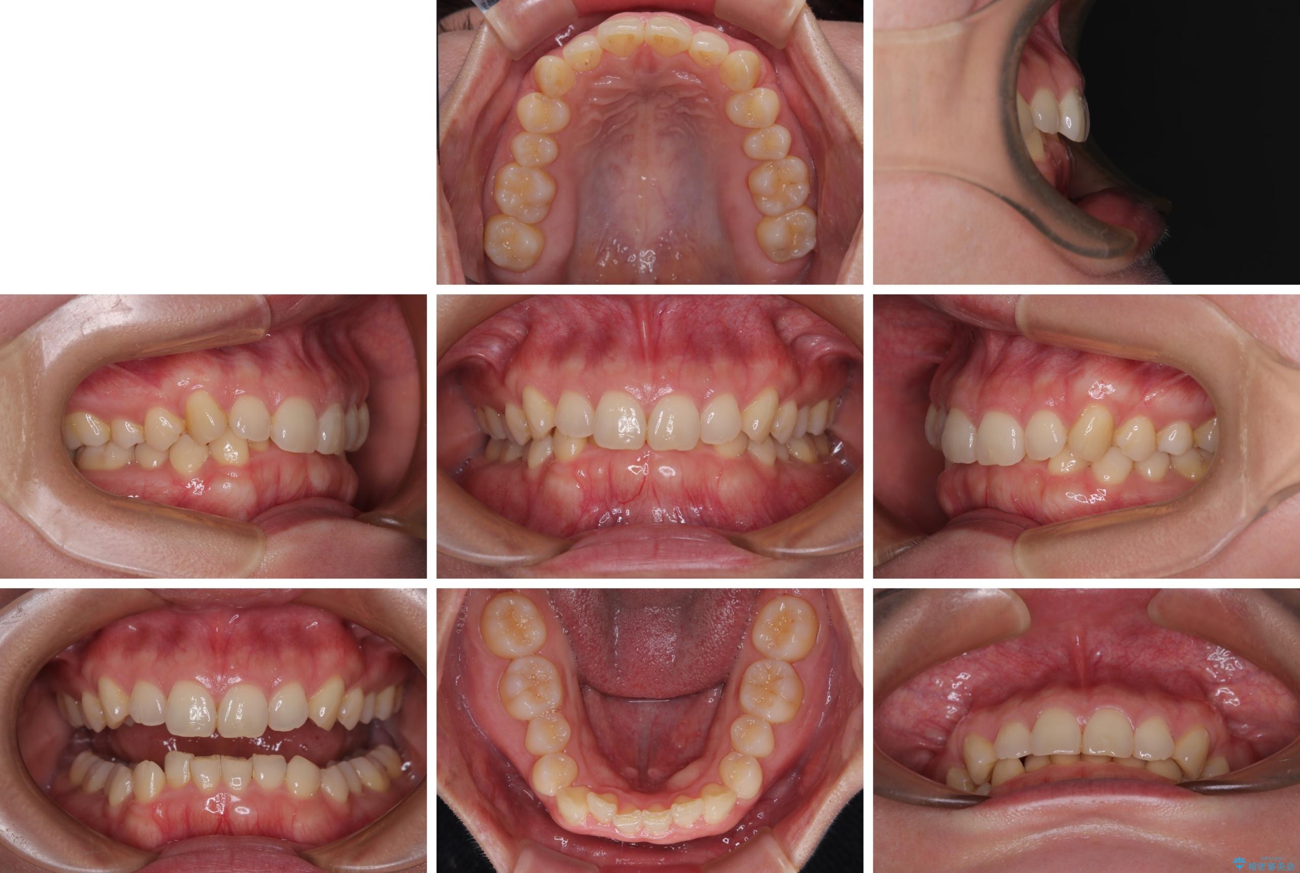
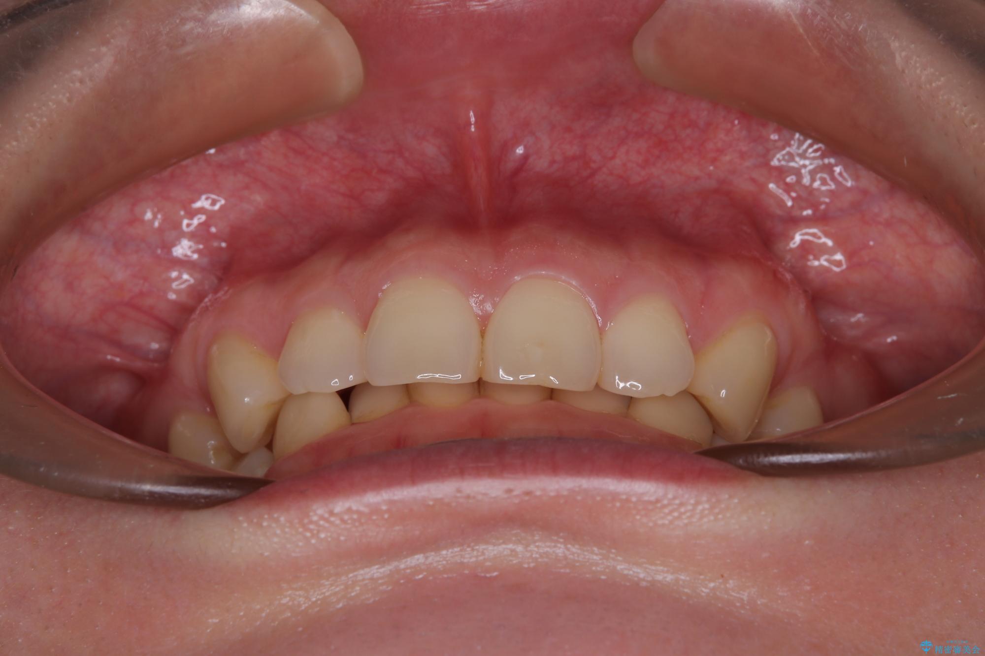
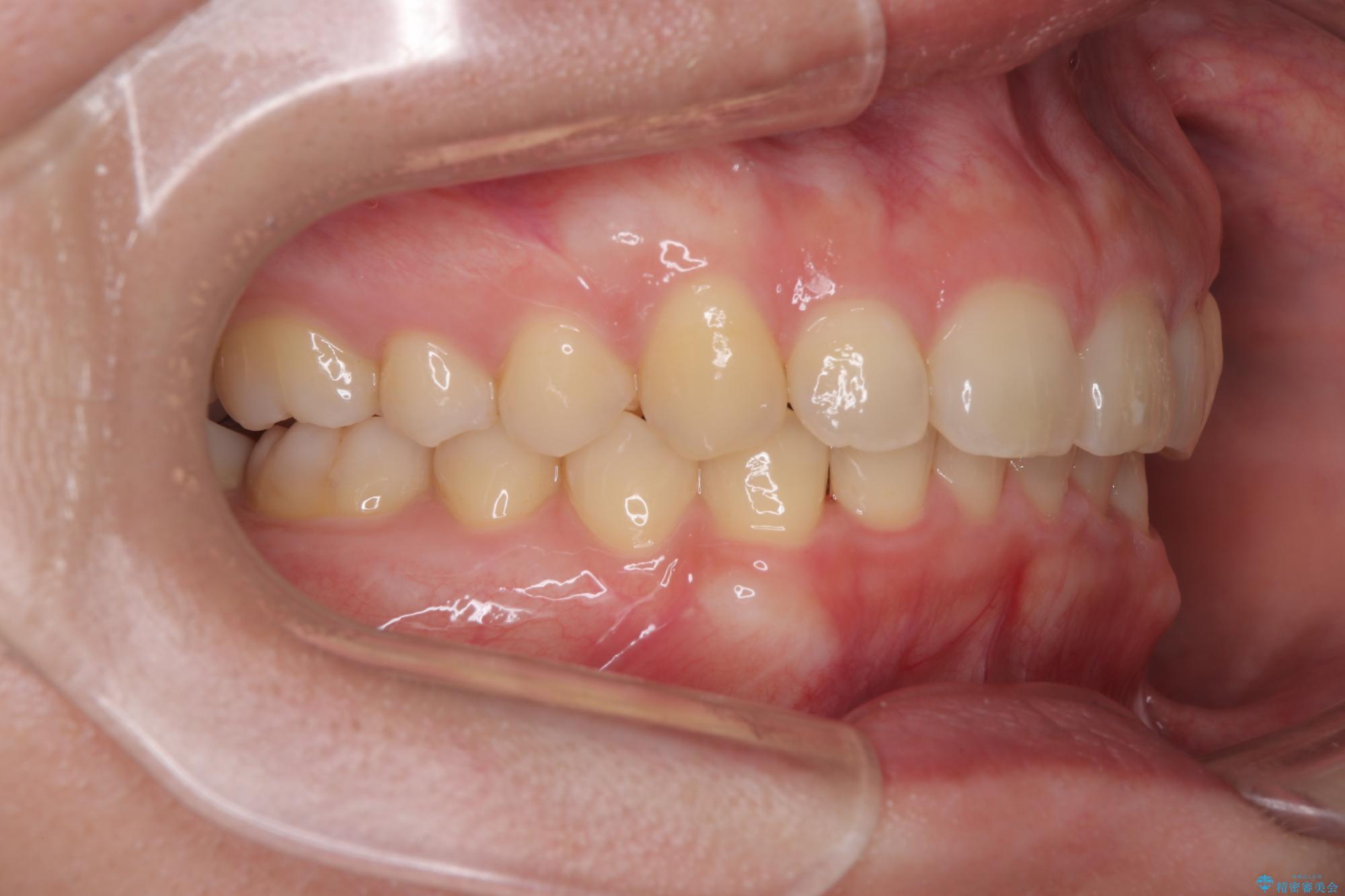
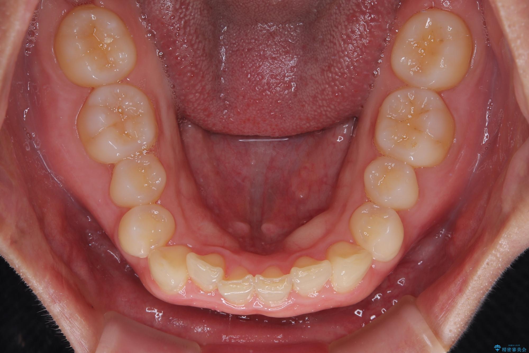
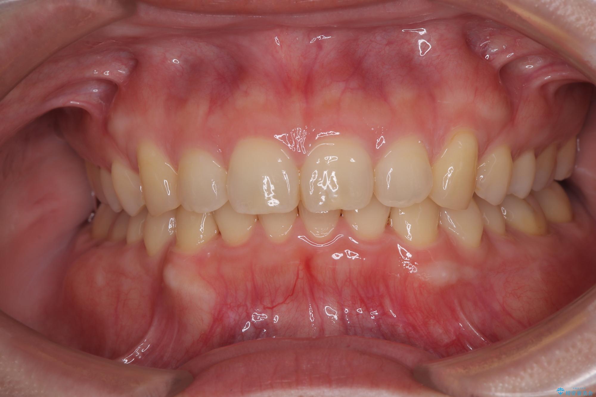
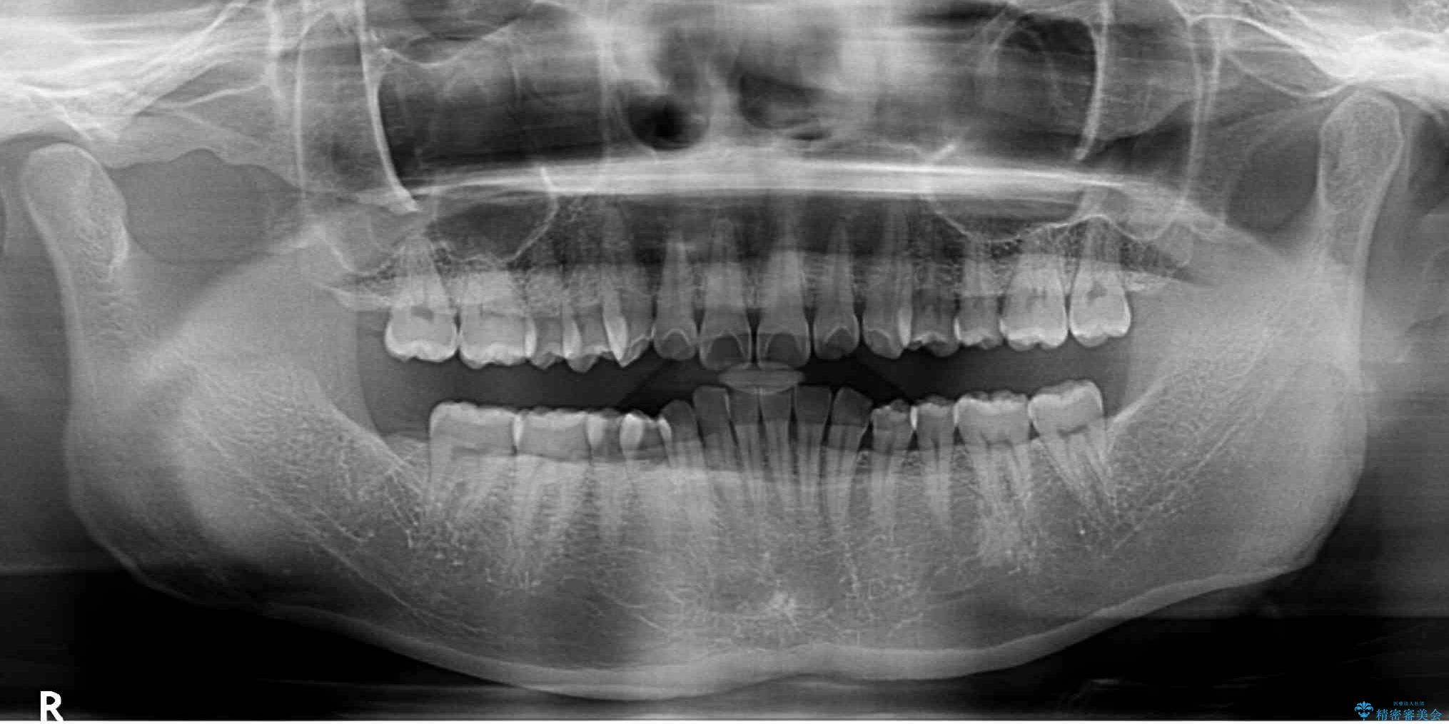
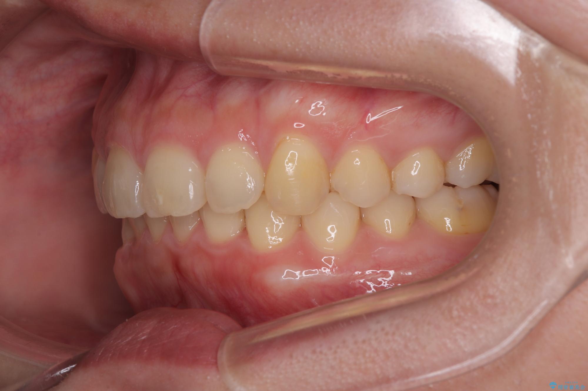
- 下顎前歯が完全に隠れてしまっていることを気にして来院された患者様です。
下顎の臼歯が手前に傾斜していることで咬み合わせが深くなってしまい、下顎前歯が見えないほどに上顎前歯が覆い被さっている状態でした。
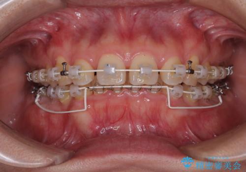
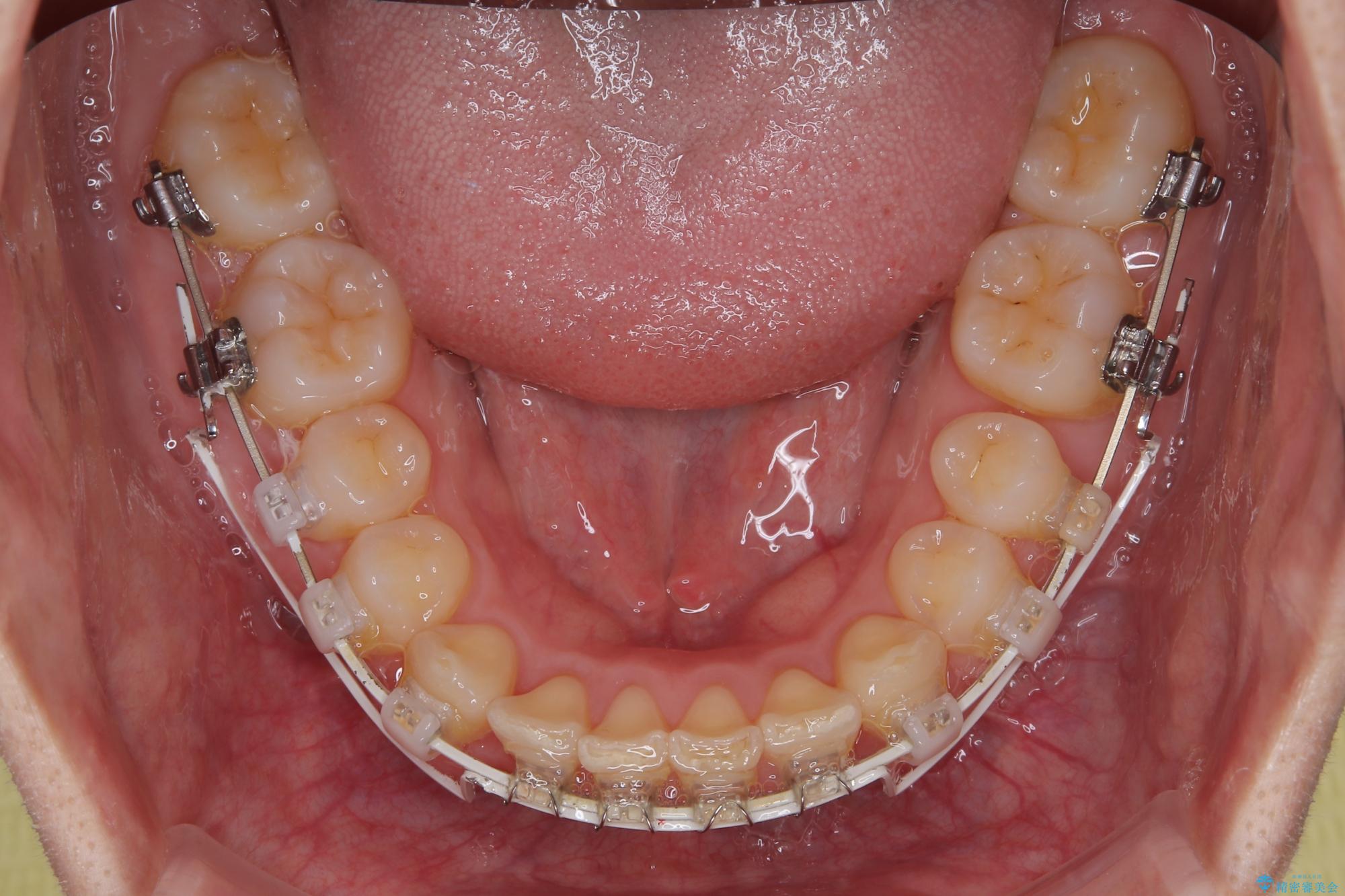
咬合力が強いことと、マウスピースを長時間装着する自信がないとのことで、ワイヤー装置にて矯正治療を行うこととしました。
- 費用(概算)
- 95万円(税込)費用は治療当時の料金となります
治療について
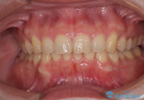
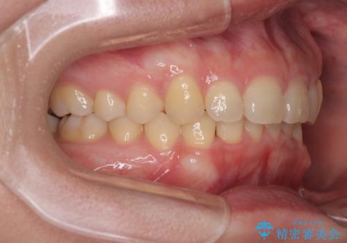
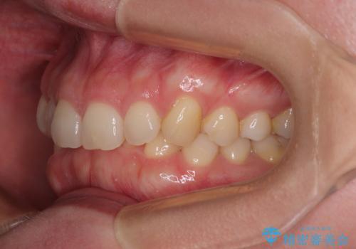
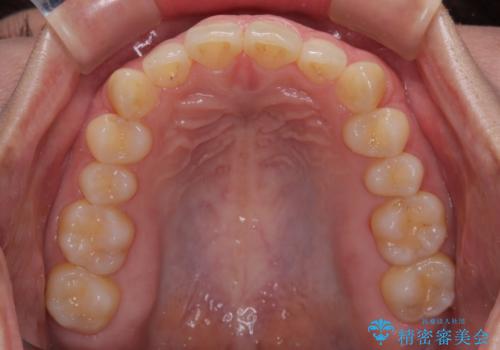
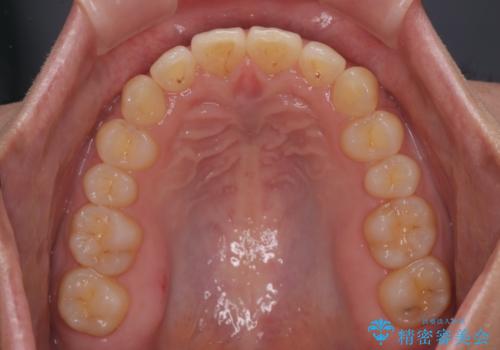
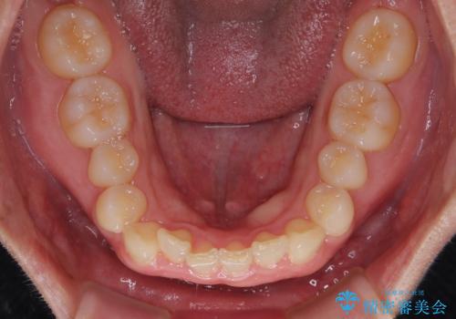
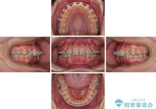
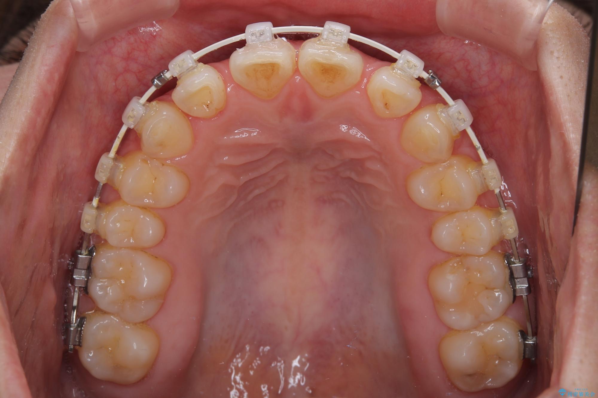
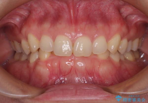
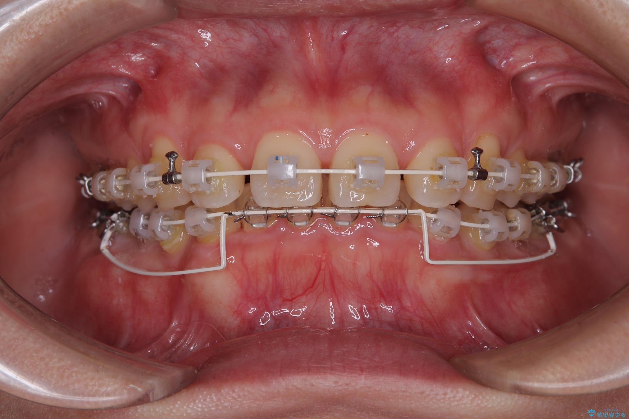
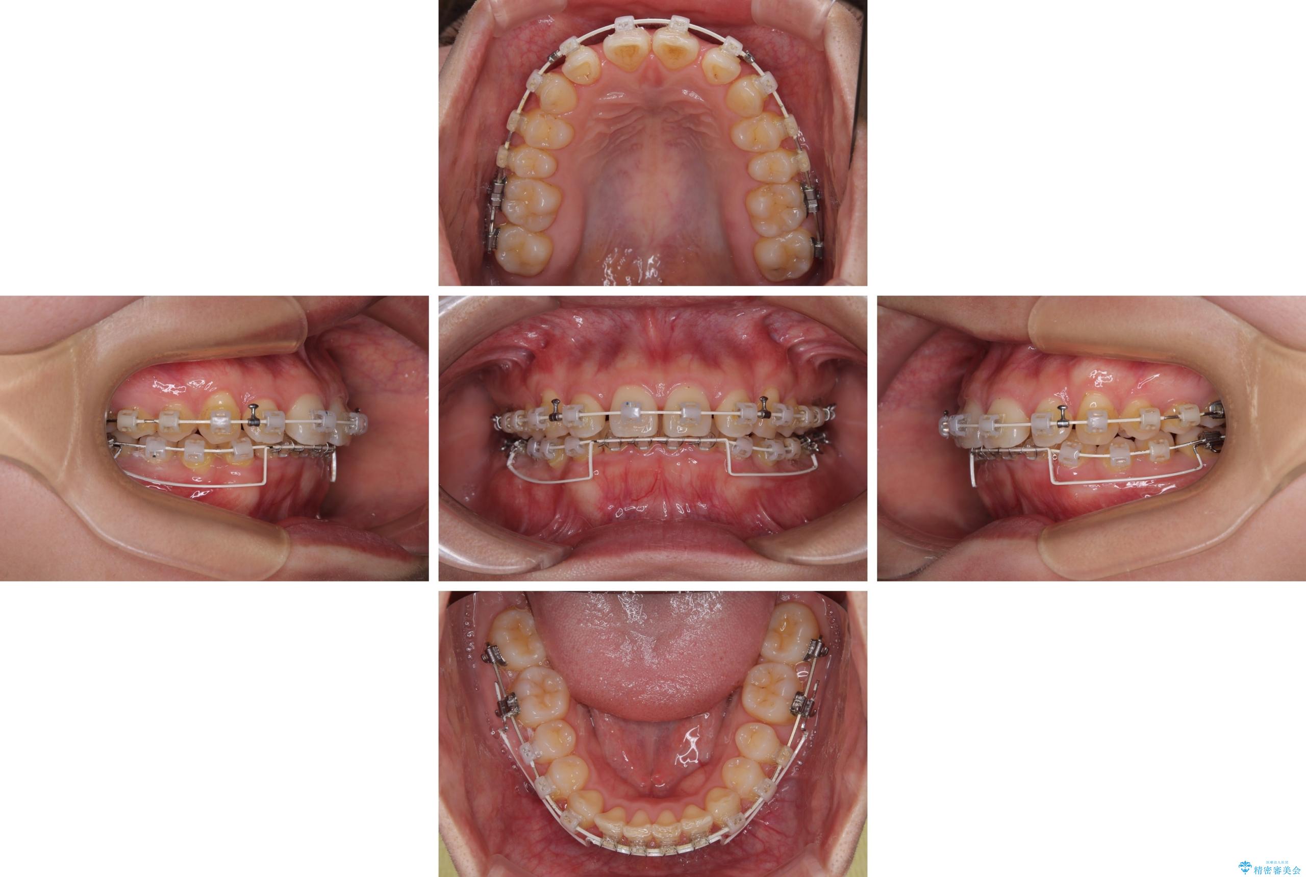
下顎臼歯を起き上がらせるためにユーティリティーアーチを使用し、一気に深い咬み合わせを改善することができました。
ワイヤー矯正の注意事項(リスク・副作用など)
- 治療中は違和感や痛みが起こることがあります
- 症状により、抜歯が必要な場合があります
- 治療中は歯磨きがしにくくなるため、虫歯や歯周病になりやすくなります
- 矯正治療後の保定が不十分だと後戻り(元の位置に戻ろうとする動き)をします
- 自費診療(保険適用外)となります
当サイトの内容、テキスト、画像等の無断転載、複製、複写、盗用を固く禁じます。


























