症例詳細
Case detail
前歯の気になる変色を解消。再根管治療とオールセラミックで自然な美しさへ
治療症例の内容
- 診療科目
- 治療カテゴリ
- 担当医
- 河口智英(ドクタープロフィール)
- 患者様
- 20代女性
- 治療期間
- 2ヶ月
- 治療回数
- 2-5回
- 治療計画
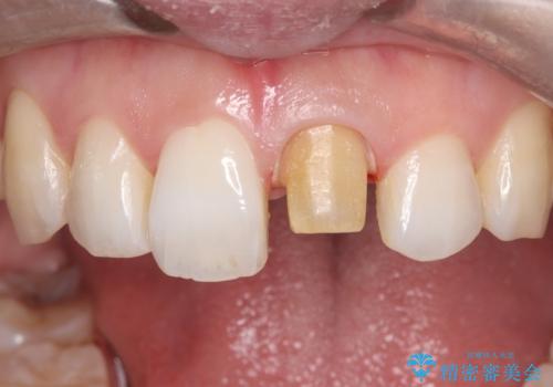
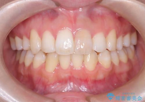
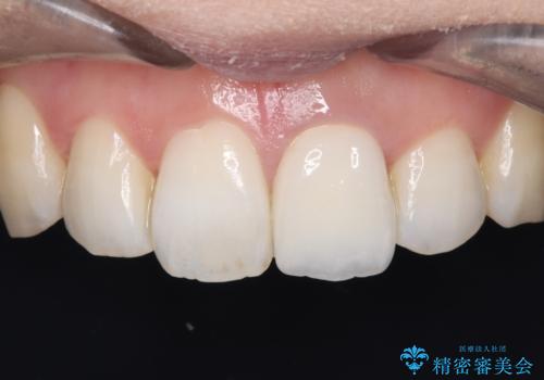
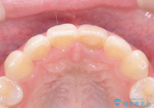
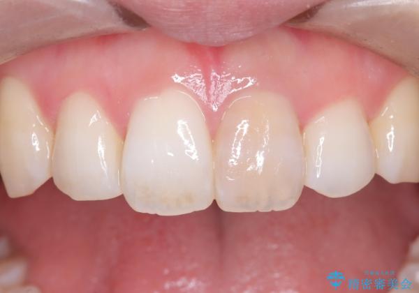
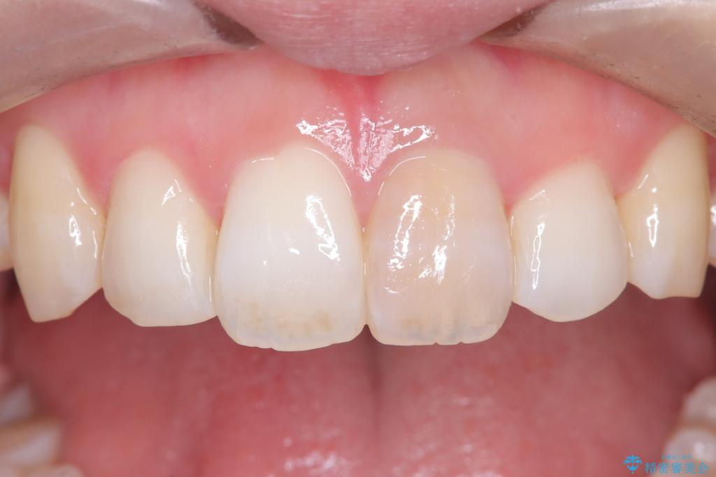
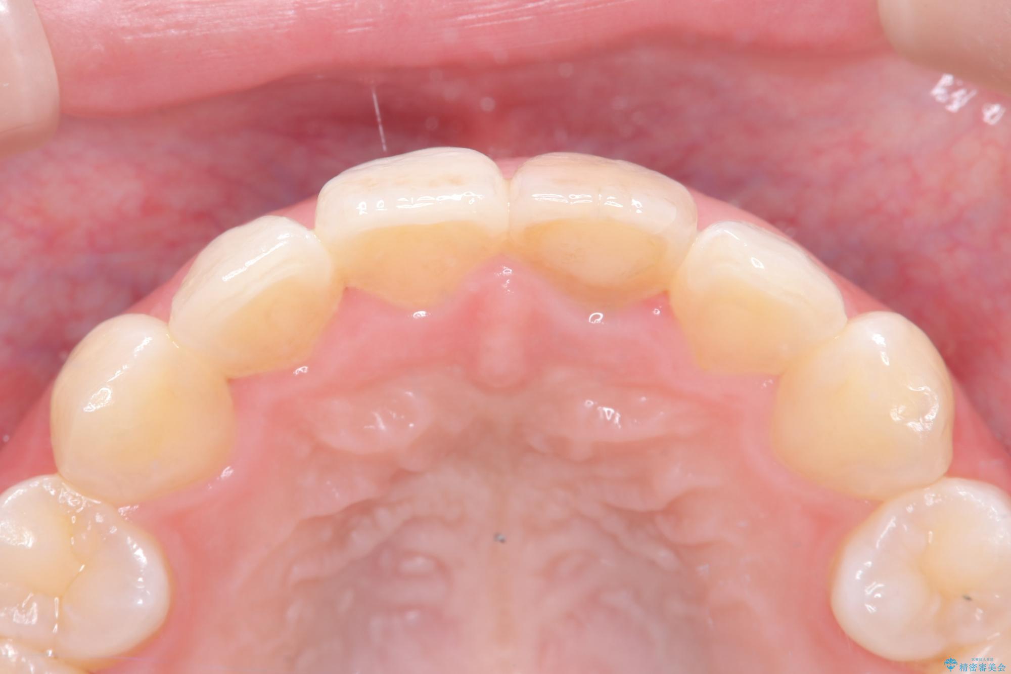
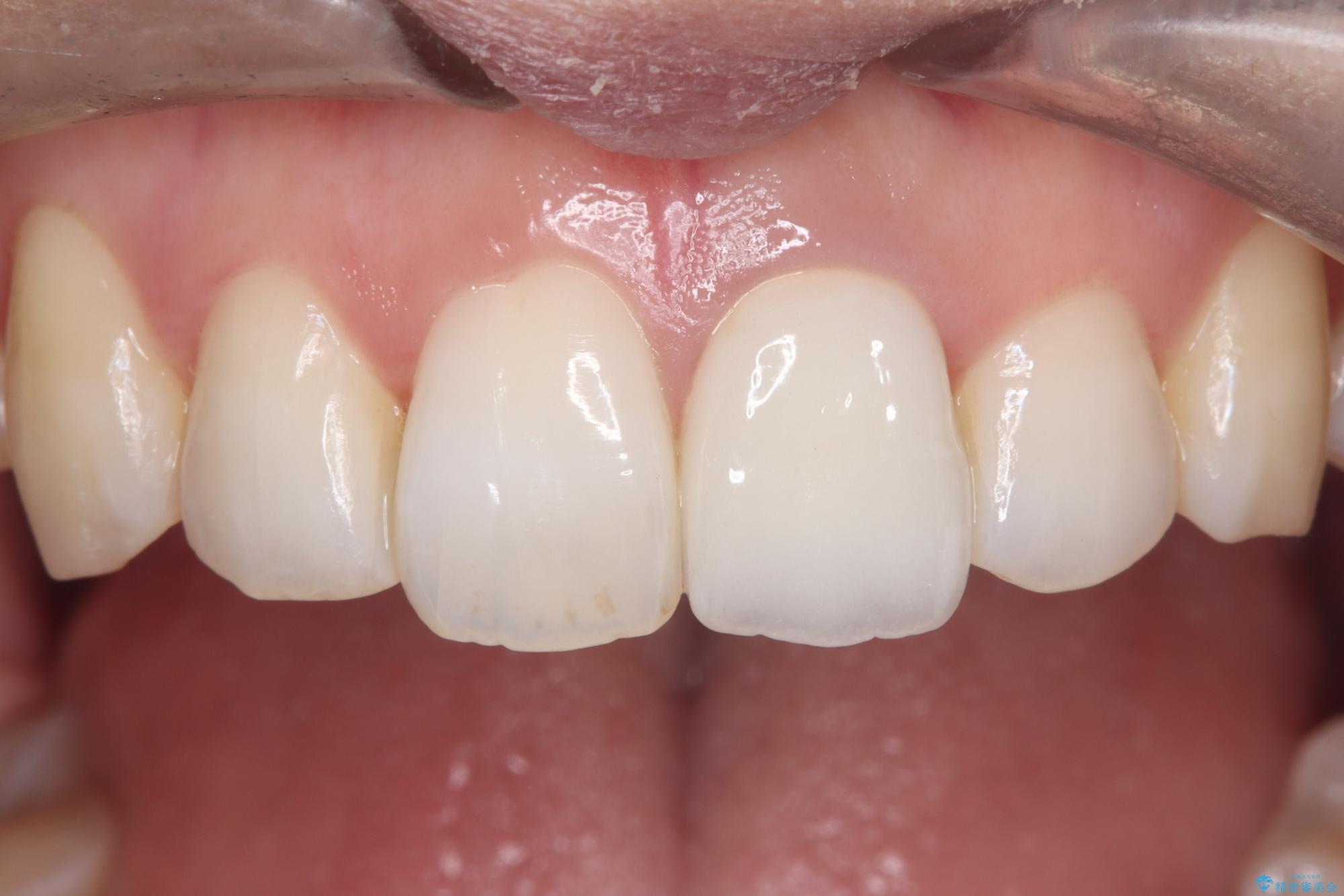
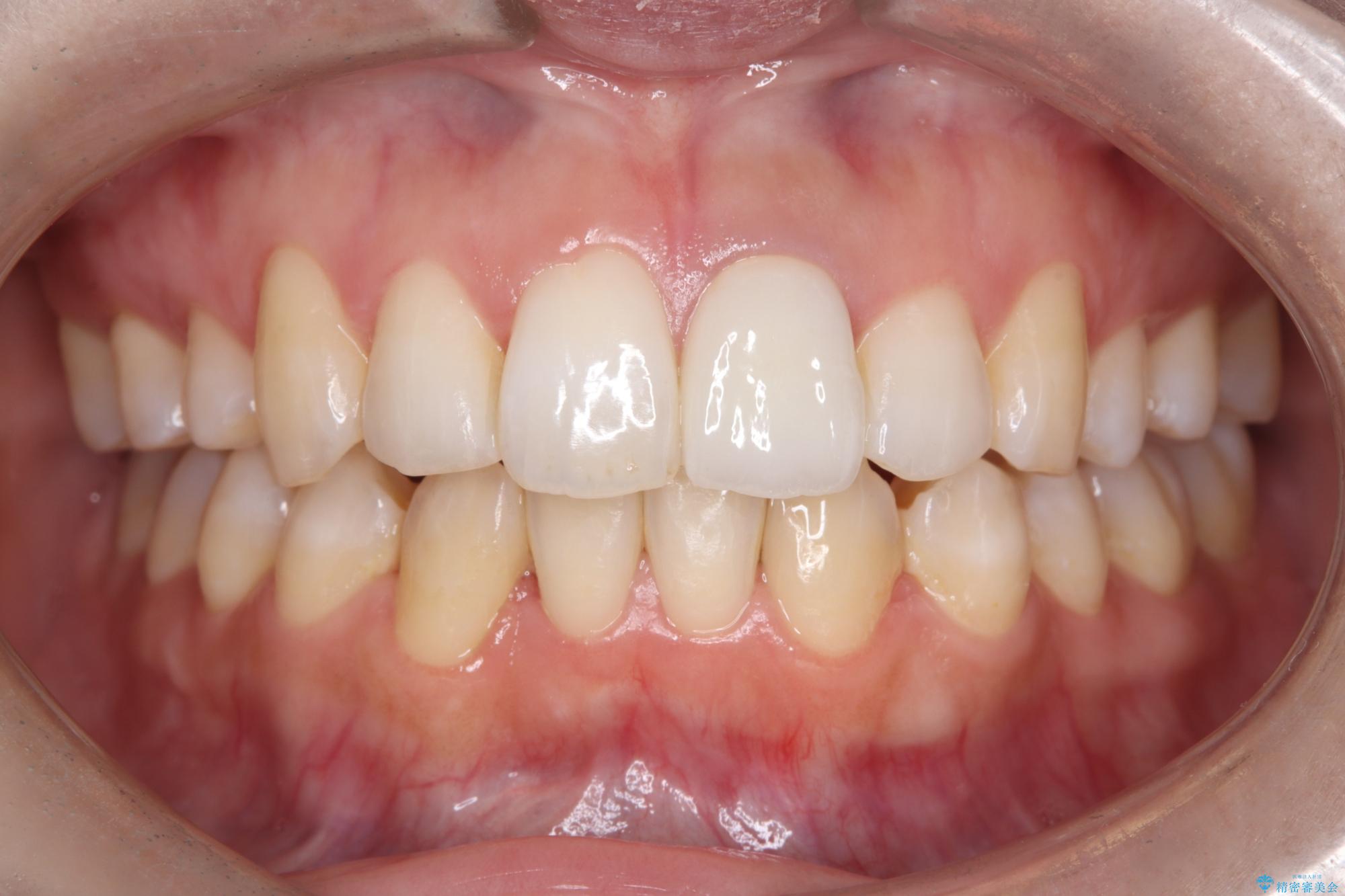
- 「以前、他院で神経を取った前歯がだんだん黒ずんできた」という見た目の改善を主訴にご来院されました。 診査の結果、神経を取り除いた後の歯(失活歯)特有の変色が起きており、さらに根の先端にわずかな影が見られたため、内部で感染が起きている可能性がありました。
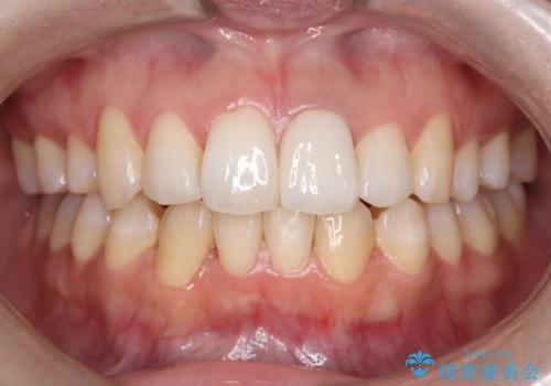
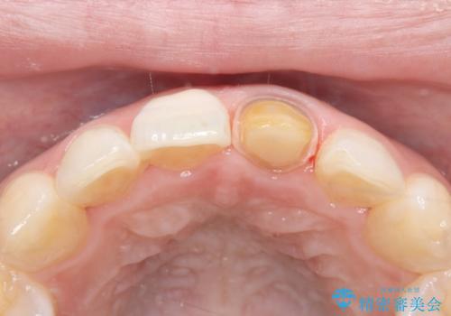
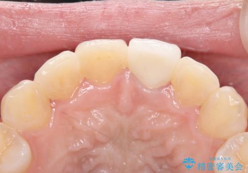
そこで、まずは土台を外して根の内部をきれいにする再根管治療を行い、基礎をやり直した上で、透明感の高いオールセラミッククラウンで被せ直す治療計画を立案。単に白くするだけでなく、再発を防ぎ、長期的に美しい状態を保つことを目指しました。
- 費用(概算)
- 30万円費用は治療当時の料金となります
治療について
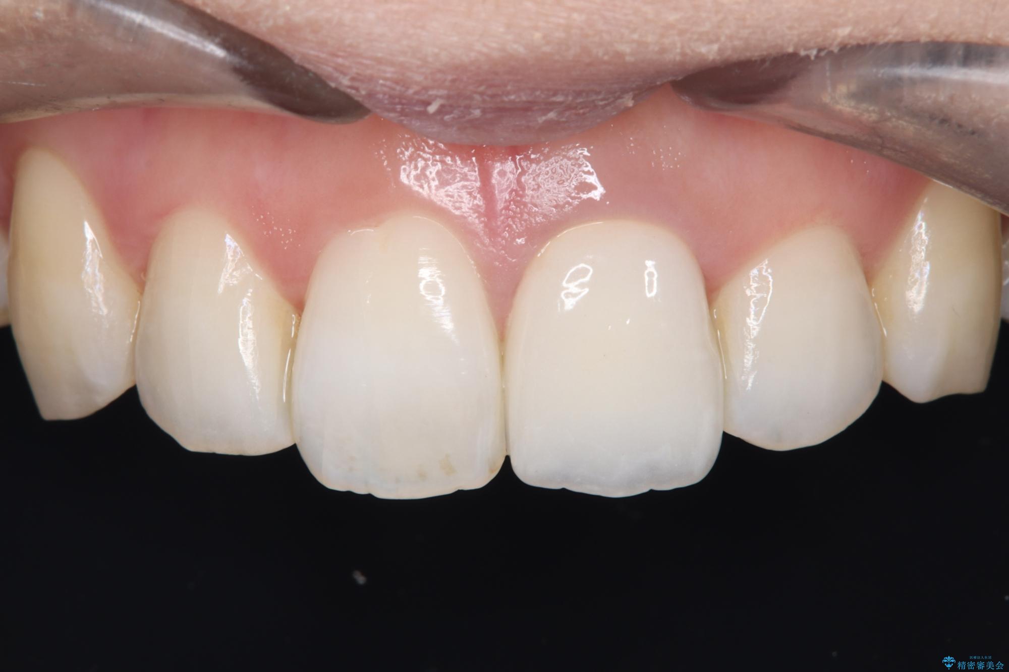
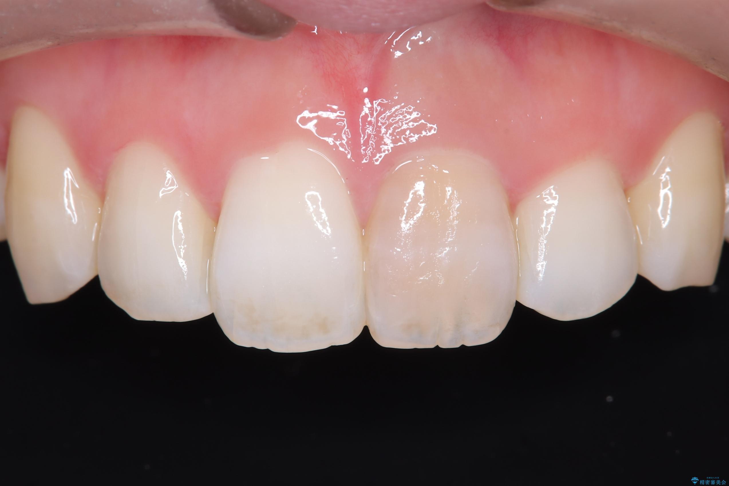
精密な再根管治療: 古い充填材を除去し、歯科用顕微鏡を用いて根管内を徹底的に清掃・殺菌しました。根の先まで確実に薬剤を詰め直すことで、将来的な根尖病変(根の先の膿)のリスクを最小限に抑えました。
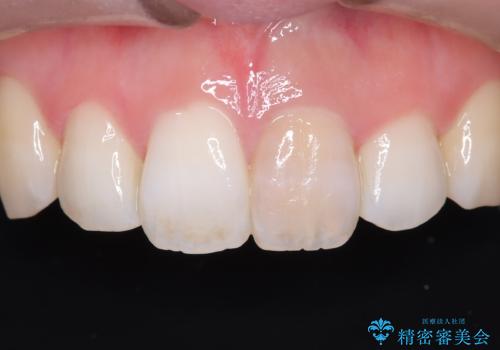
オールセラミッククラウンによる修復: 最終的な被せ物には、一切の金属を使用しないオールセラミックを選択。隣の天然歯と色調や透明感を精密に合わせることで、どこを治療したかわからないほど自然な仕上がりとなりました。
セラミック治療の注意事項(リスク・副作用など)
- 天然歯を削ります
- 硬い素材は天然歯を傷つけてしまう場合があります
- かみ合わせや歯ぎしりが強すぎる方はセラミックが割れてしまう可能性があります
- 自費診療(保険適用外治療)となります
当サイトの内容、テキスト、画像等の無断転載、複製、複写、盗用を固く禁じます。












