症例詳細
Case detail
唇が閉じられない ワイヤー装置による抜歯矯正治療
治療症例の内容
- 診療科目
- 治療カテゴリ
- 担当医
- 藤巻太一朗(ドクタープロフィール)
- 患者様
- 20代女性
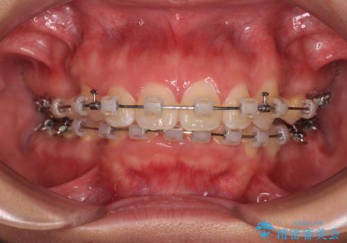
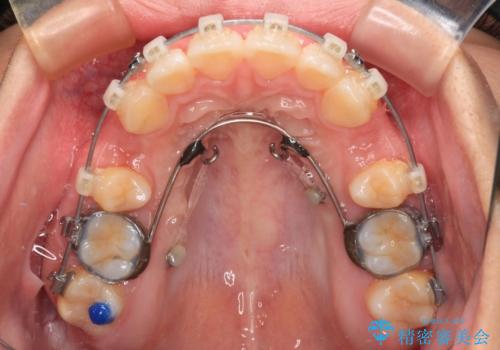
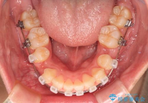
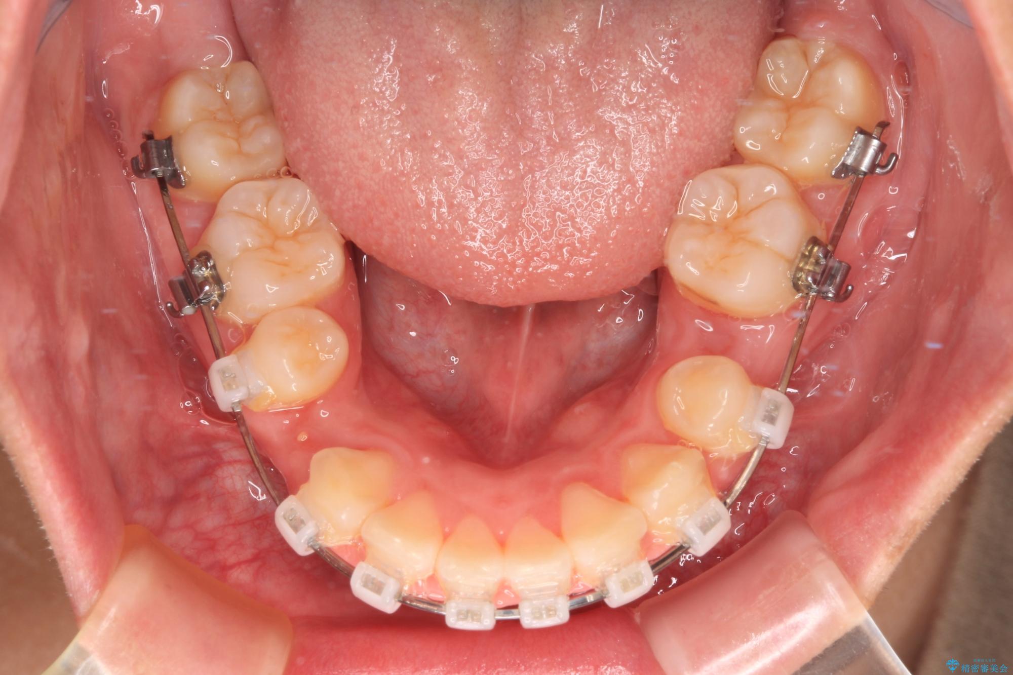
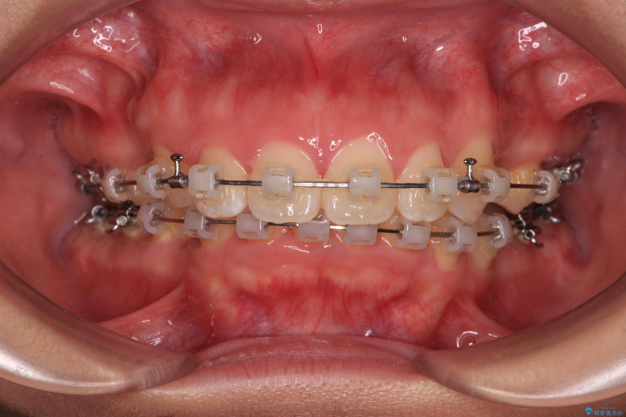
- 矯正装置
- クリアブラケット
- 治療期間
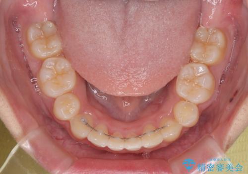
- 2年7ヶ月
- 治療回数
- 30回以上
- 治療計画
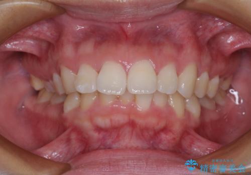
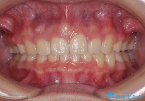
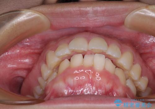
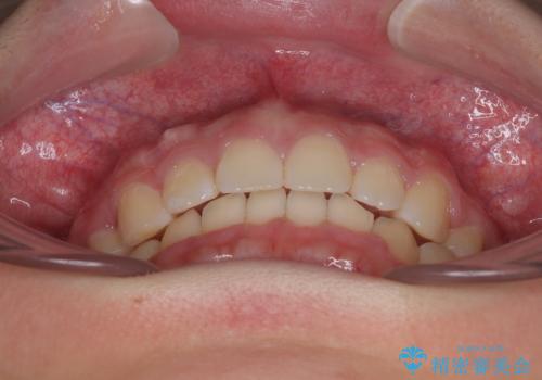
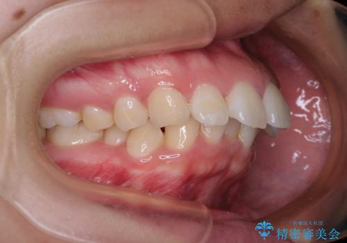
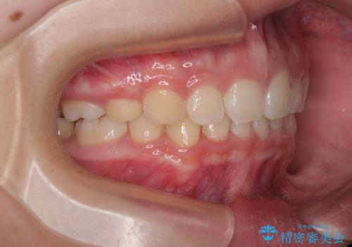
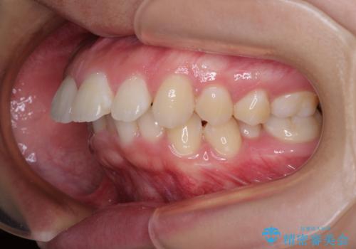
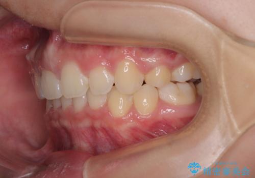
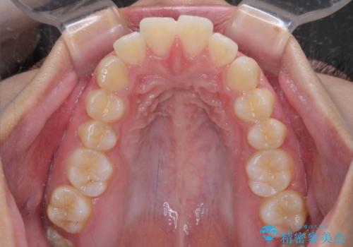
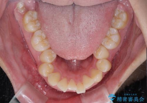
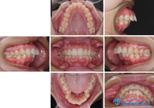
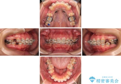
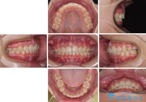
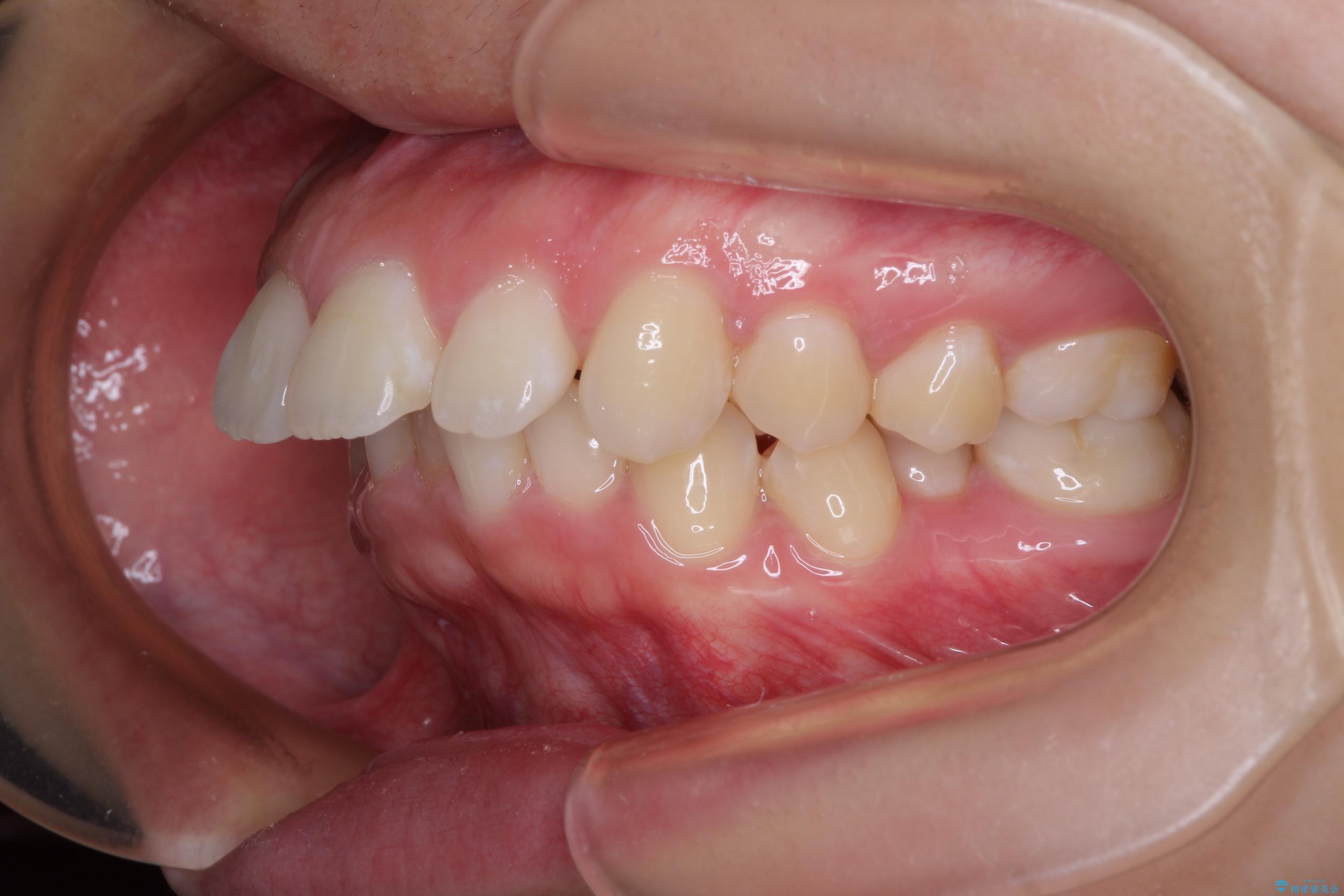
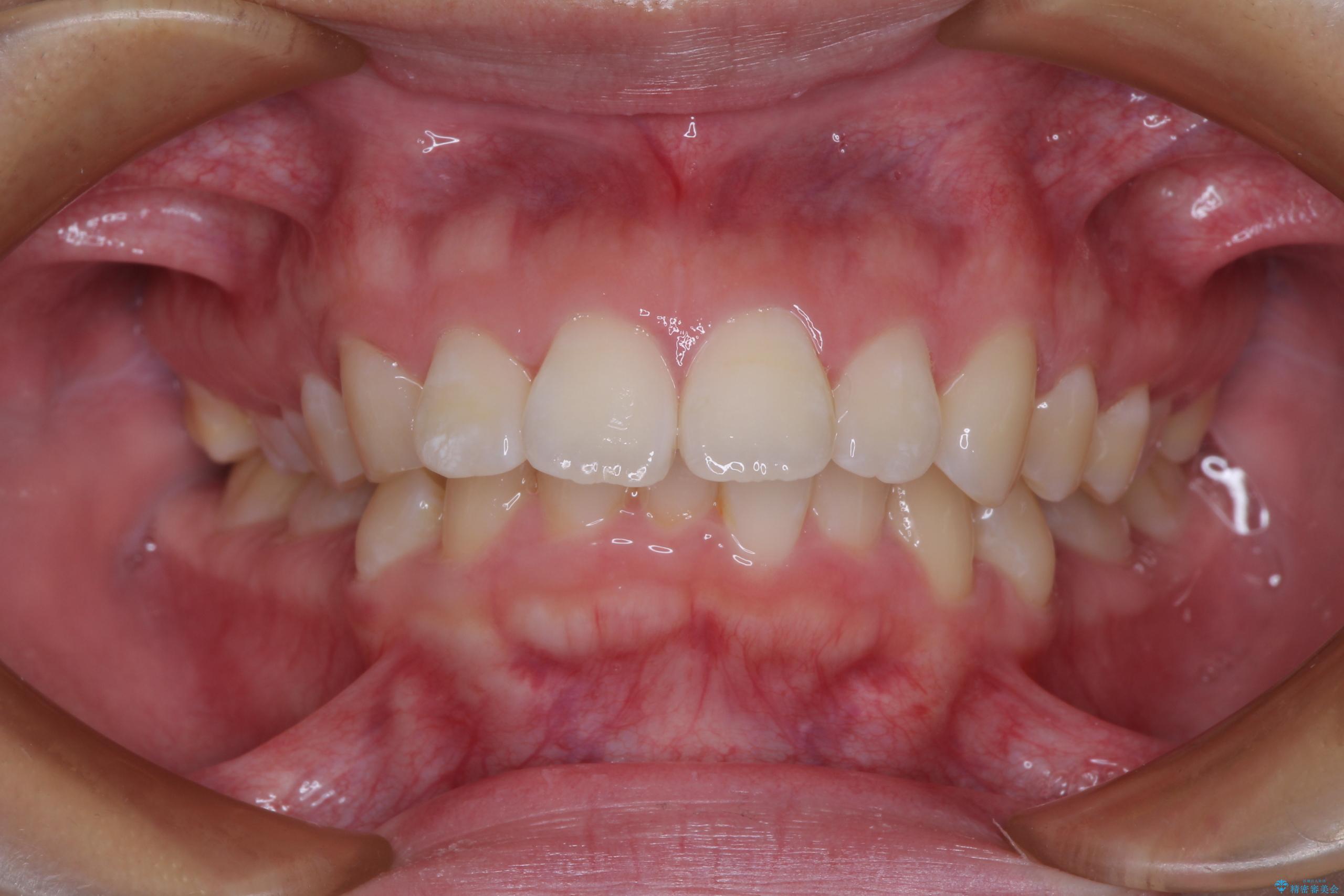
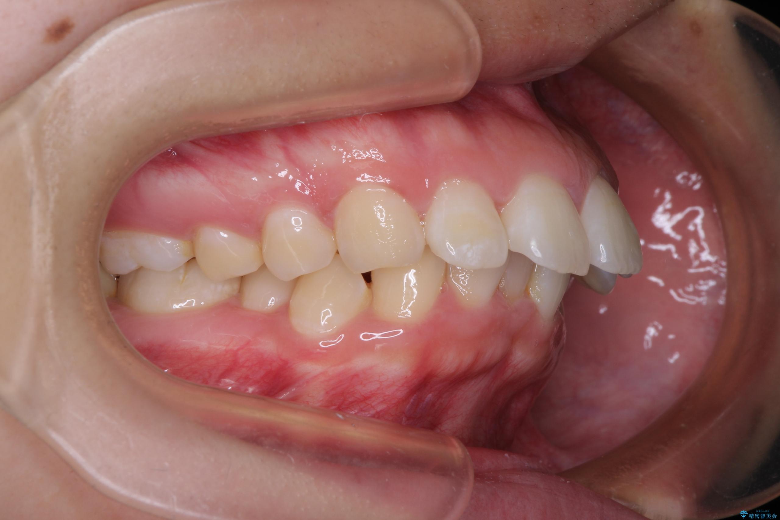
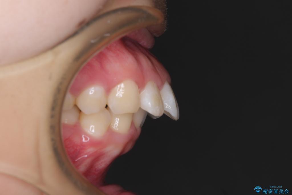
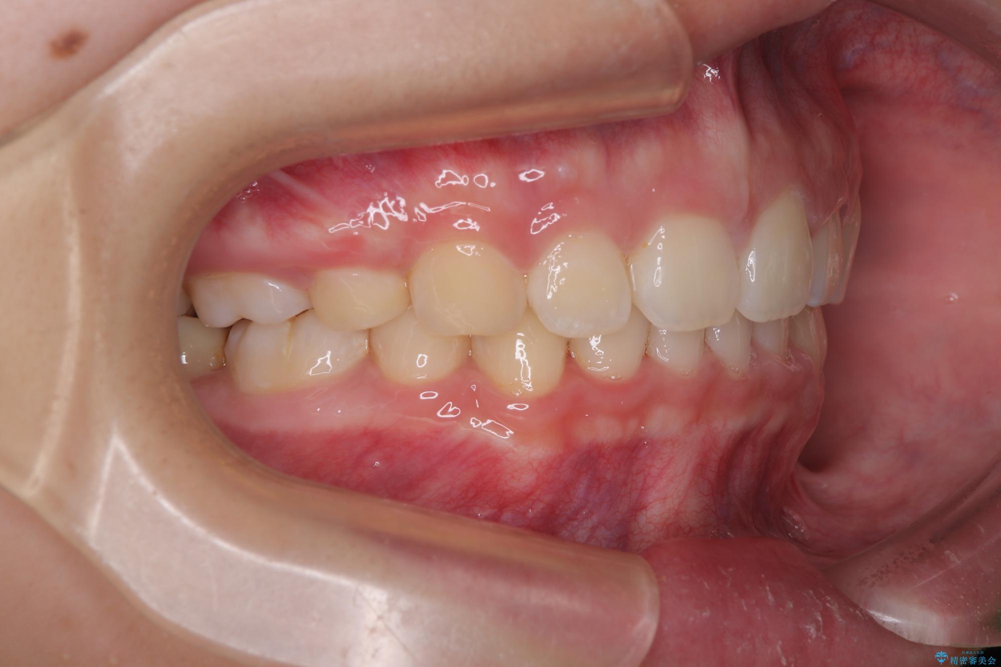
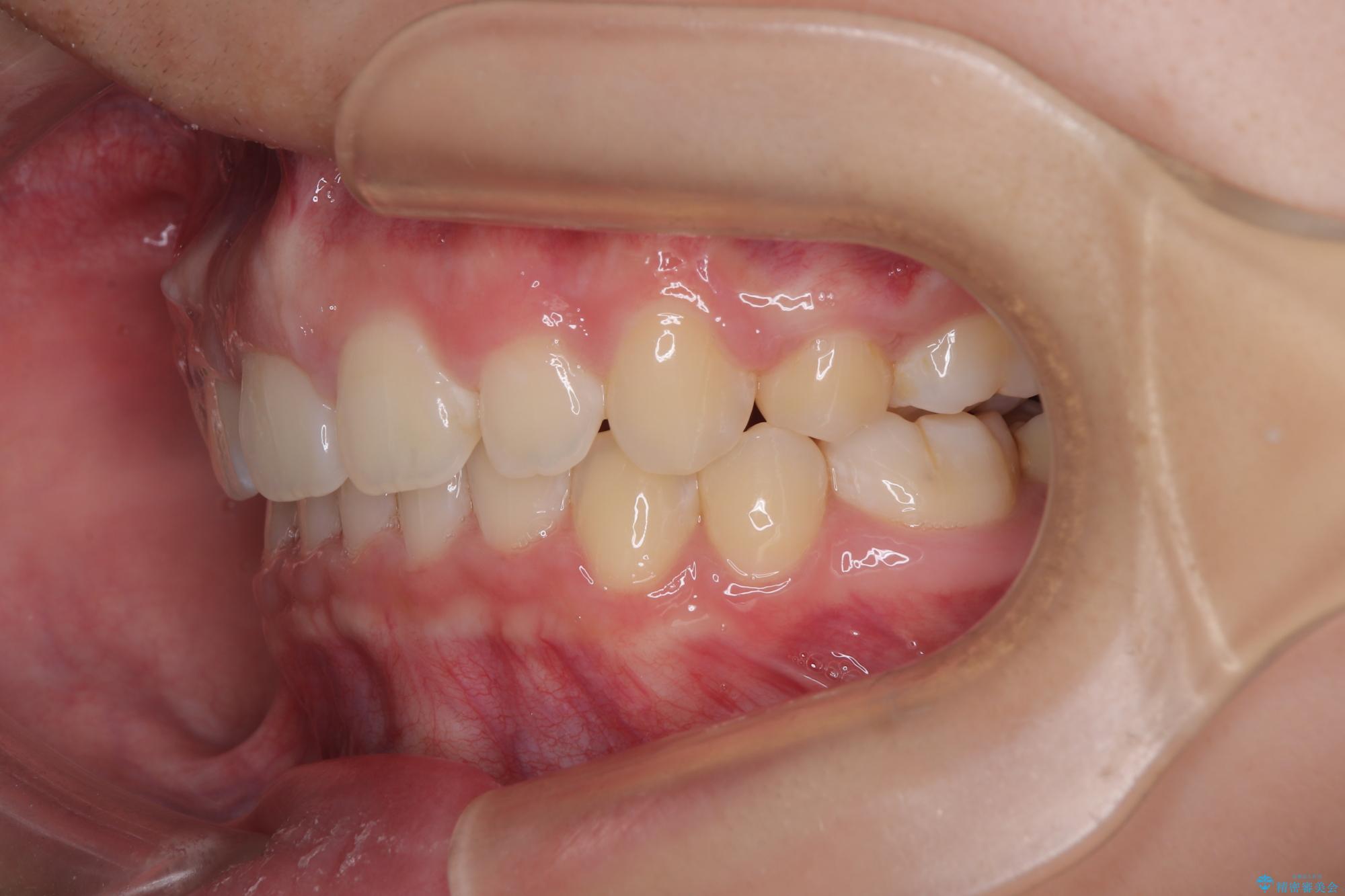
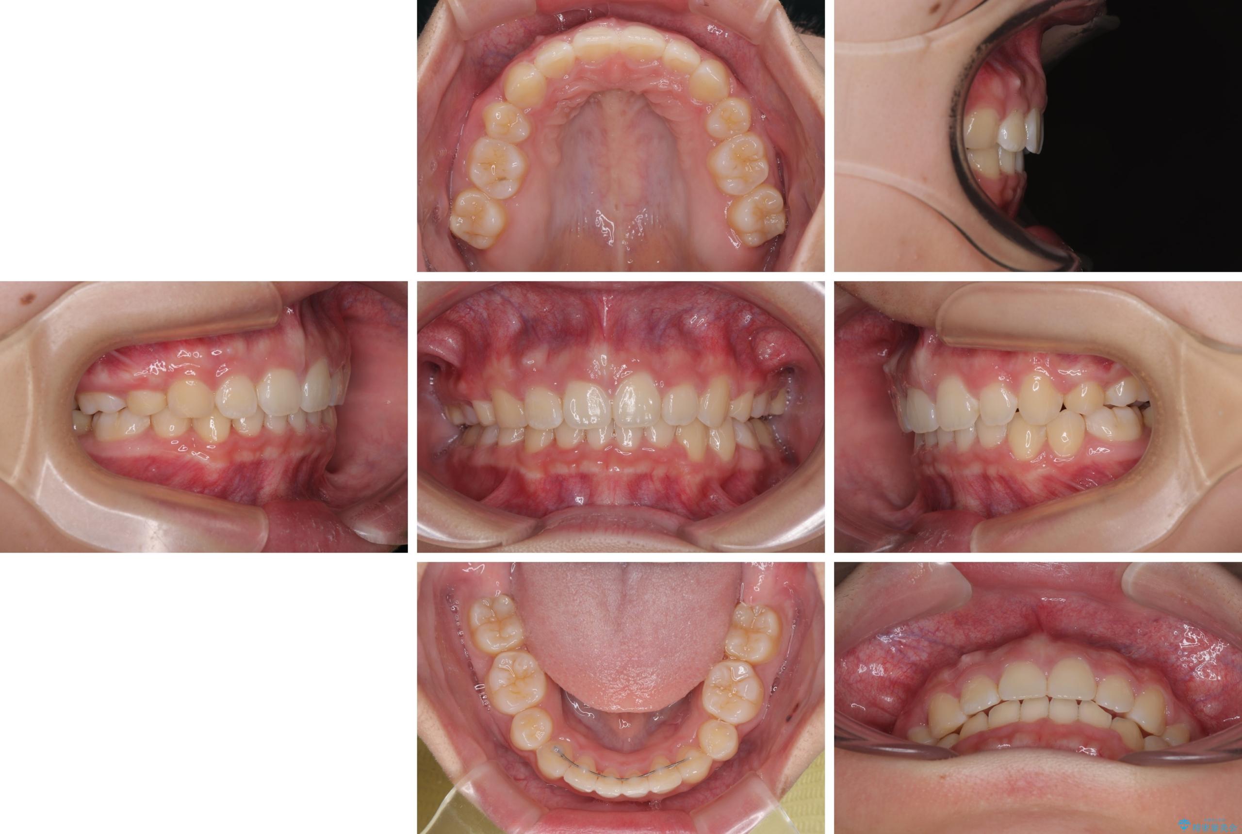
- 上顎前歯が飛び出していて唇がうまく閉じられないとのことで来院された患者様です。
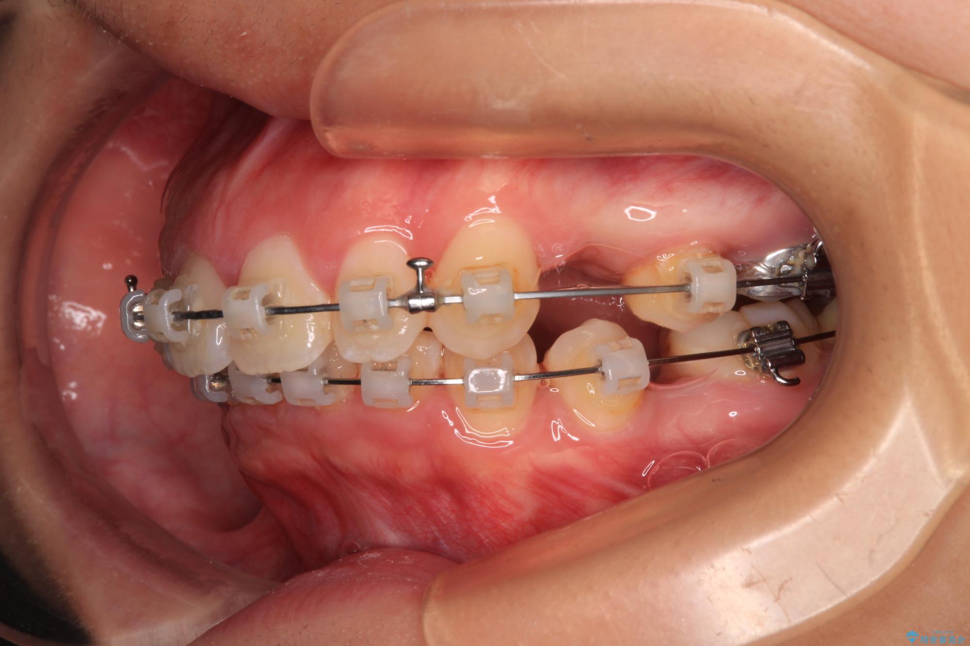
くちばしのように前歯が突出していたため、口元を積極的に引っ込めるために、上下左右の小臼歯4本を抜歯することとしました。
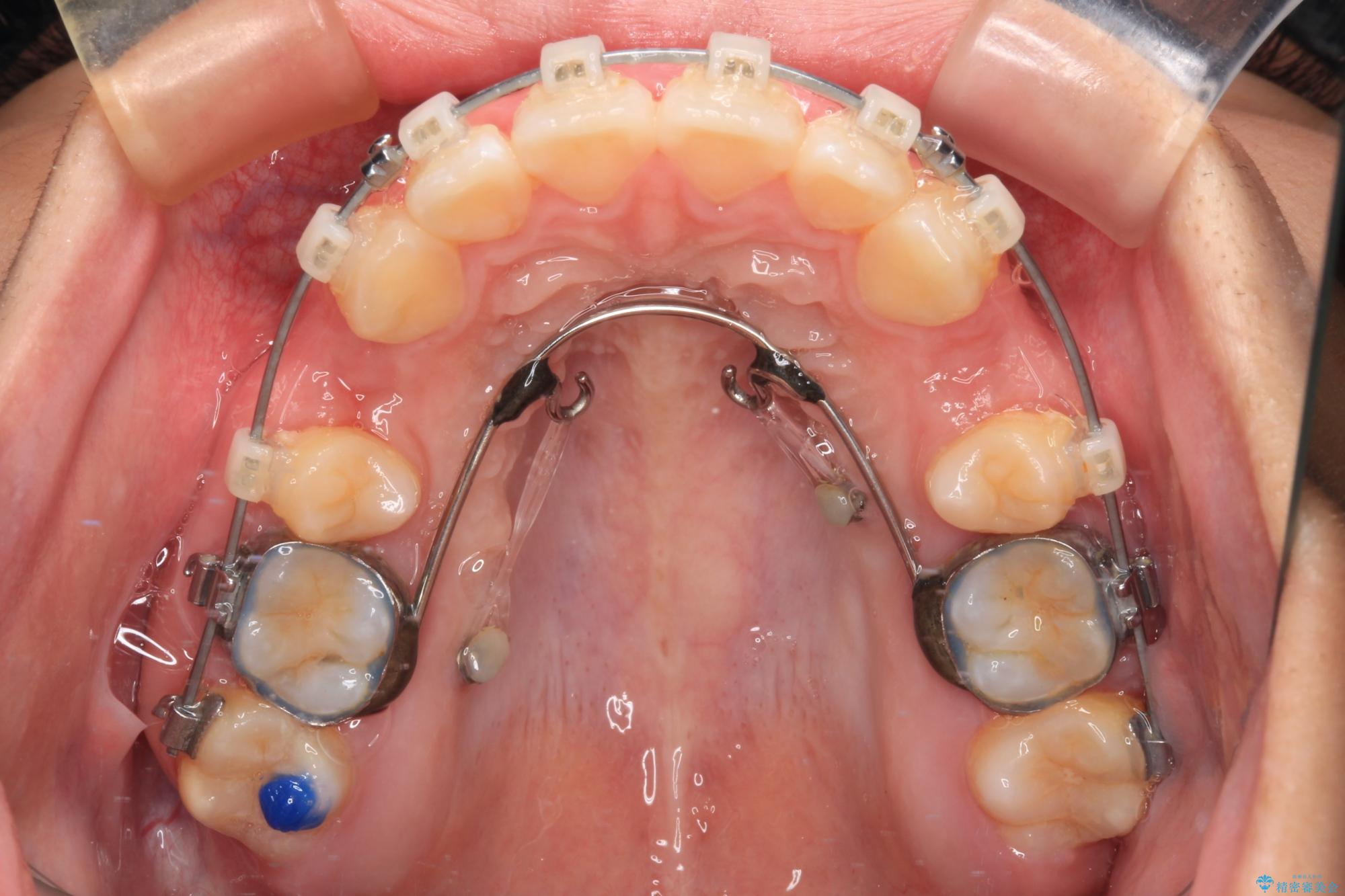
また、上顎歯列が下顎に対して前方位に位置していたため、補助装置を用いて上顎歯列を後方に移動させ、より積極的に口元を下げるようにしました。
- 費用(概算)
- 115万円(税込)費用は治療当時の料金となります
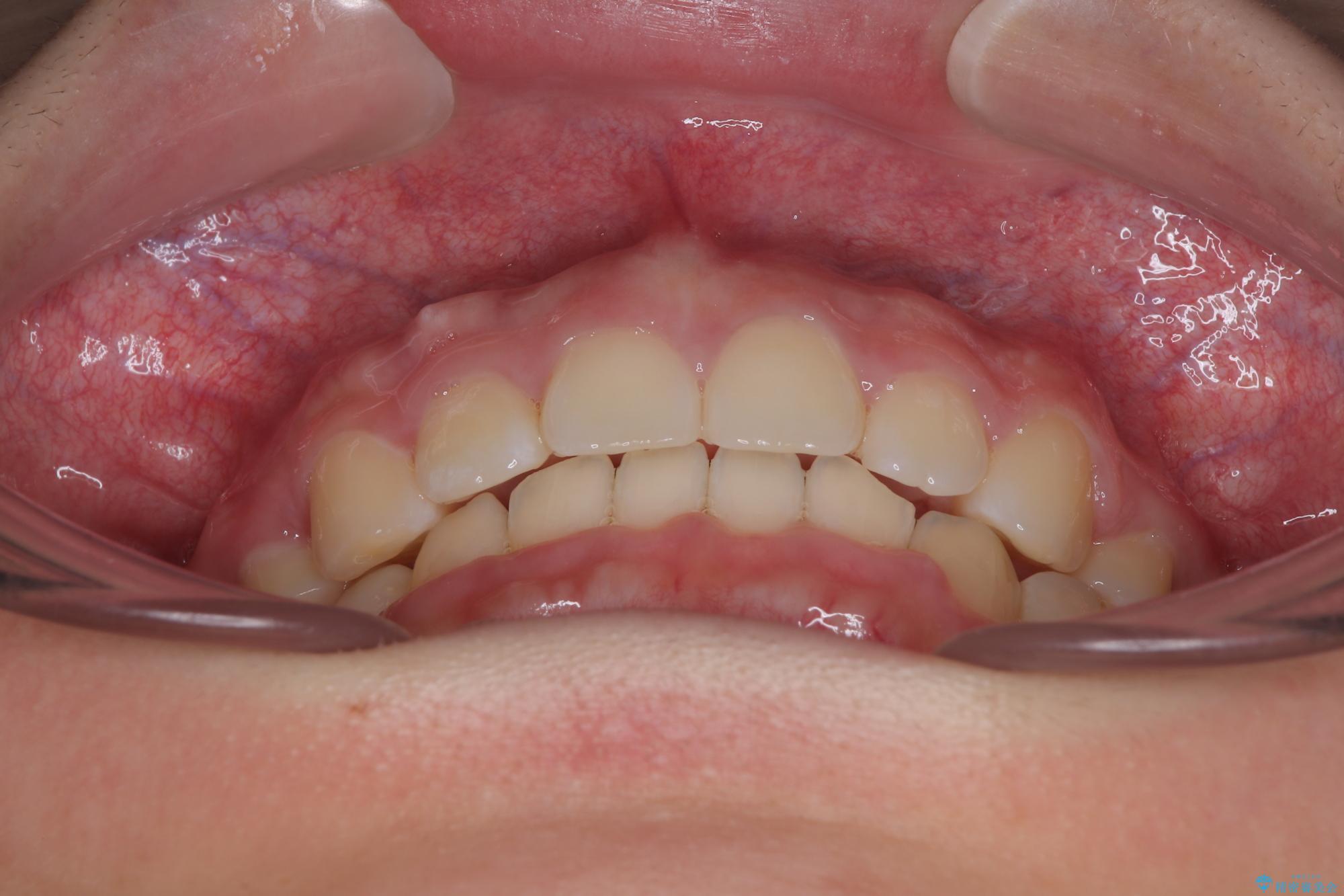
治療について
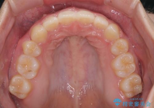
上下正中位置を改善するため、左下はイレギュラーに第二小臼歯を抜歯しました。そのため治療期間の長期化が予想されましたが、2年半ほどで期待通りの歯列に仕上げることができました。
ワイヤー矯正の注意事項(リスク・副作用など)
- 治療中は違和感や痛みが起こることがあります
- 症状により、抜歯が必要な場合があります
- 治療中は歯磨きがしにくくなるため、虫歯や歯周病になりやすくなります
- 矯正治療後の保定が不十分だと後戻り(元の位置に戻ろうとする動き)をします
- 自費診療(保険適用外)となります
当サイトの内容、テキスト、画像等の無断転載、複製、複写、盗用を固く禁じます。


























