症例詳細
Case detail
開咬・叢生(八重歯)を抜歯矯正で改善|ワイヤー矯正(クリア装置)症例
治療症例の内容
- 診療科目
- 担当医
- 河野豊嘉(ドクタープロフィール)
- 患者様
- 20代女性
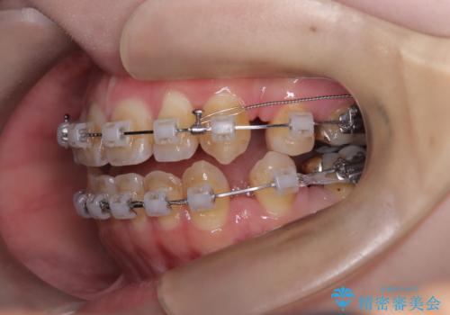
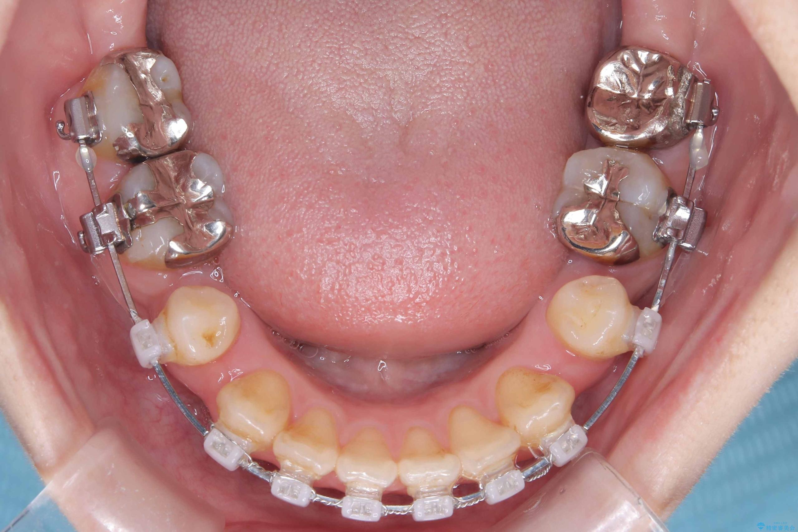
- 矯正装置
- ワイヤー矯正(クリア装置)
- 治療期間
- 1年6ヶ月
- 治療回数
- 10-30回
- 治療計画
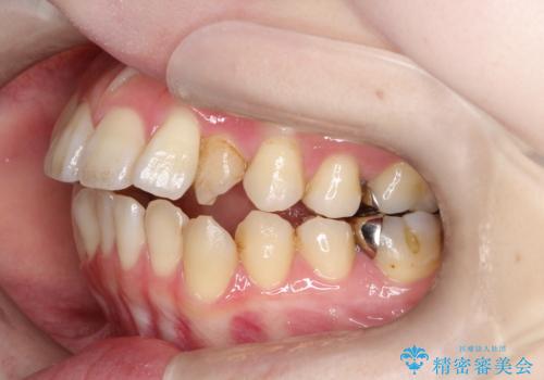
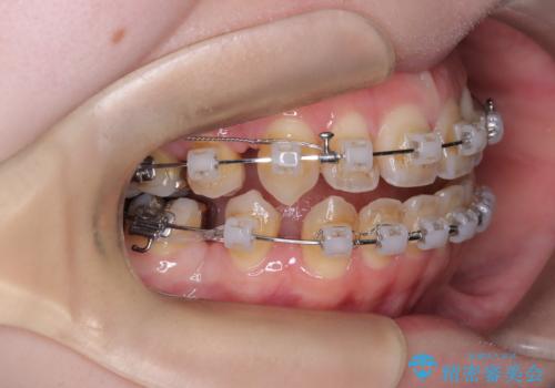
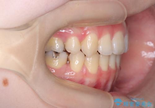
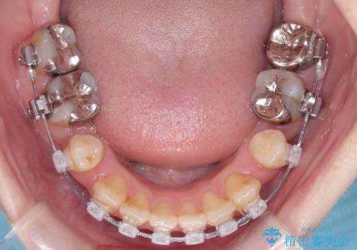
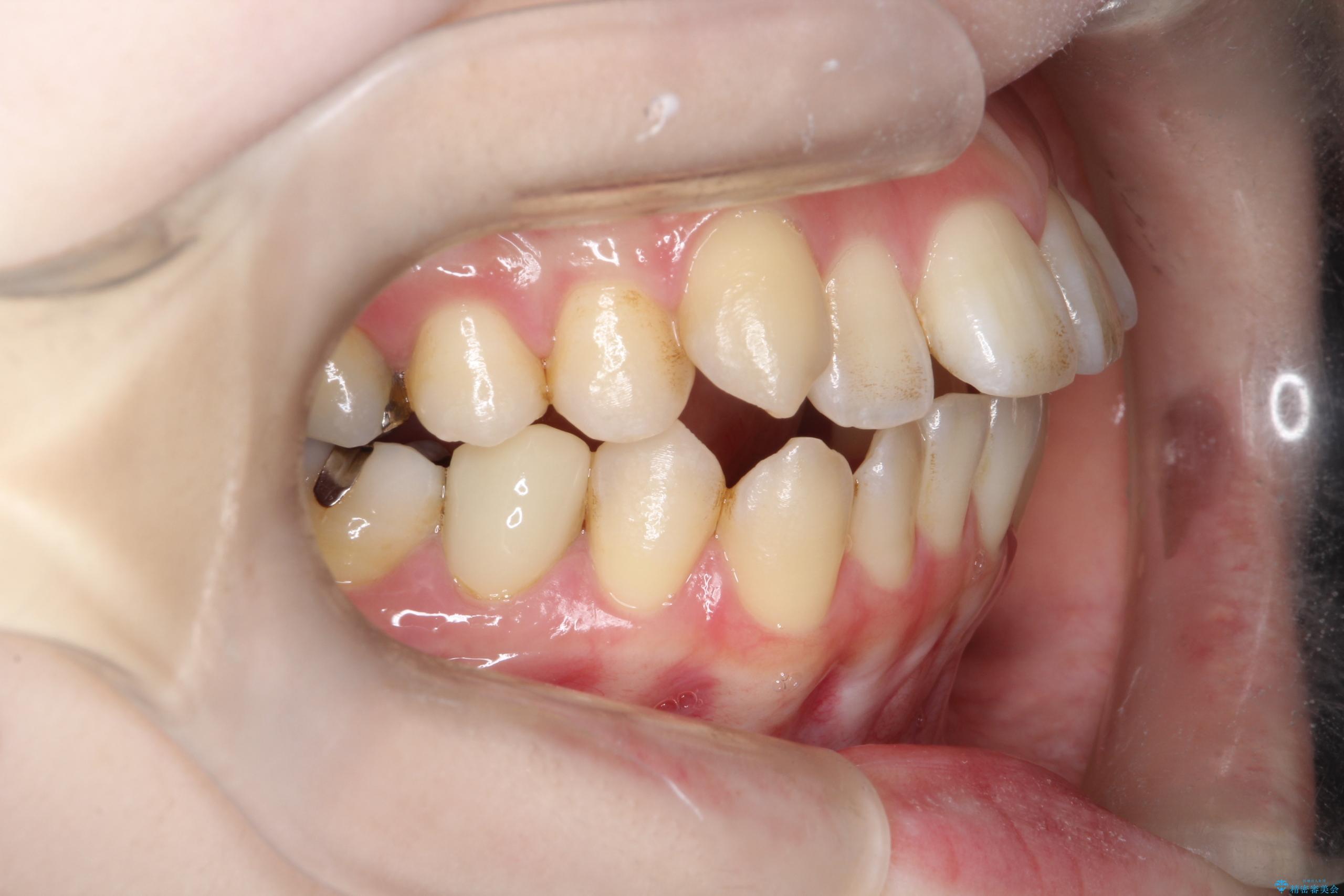
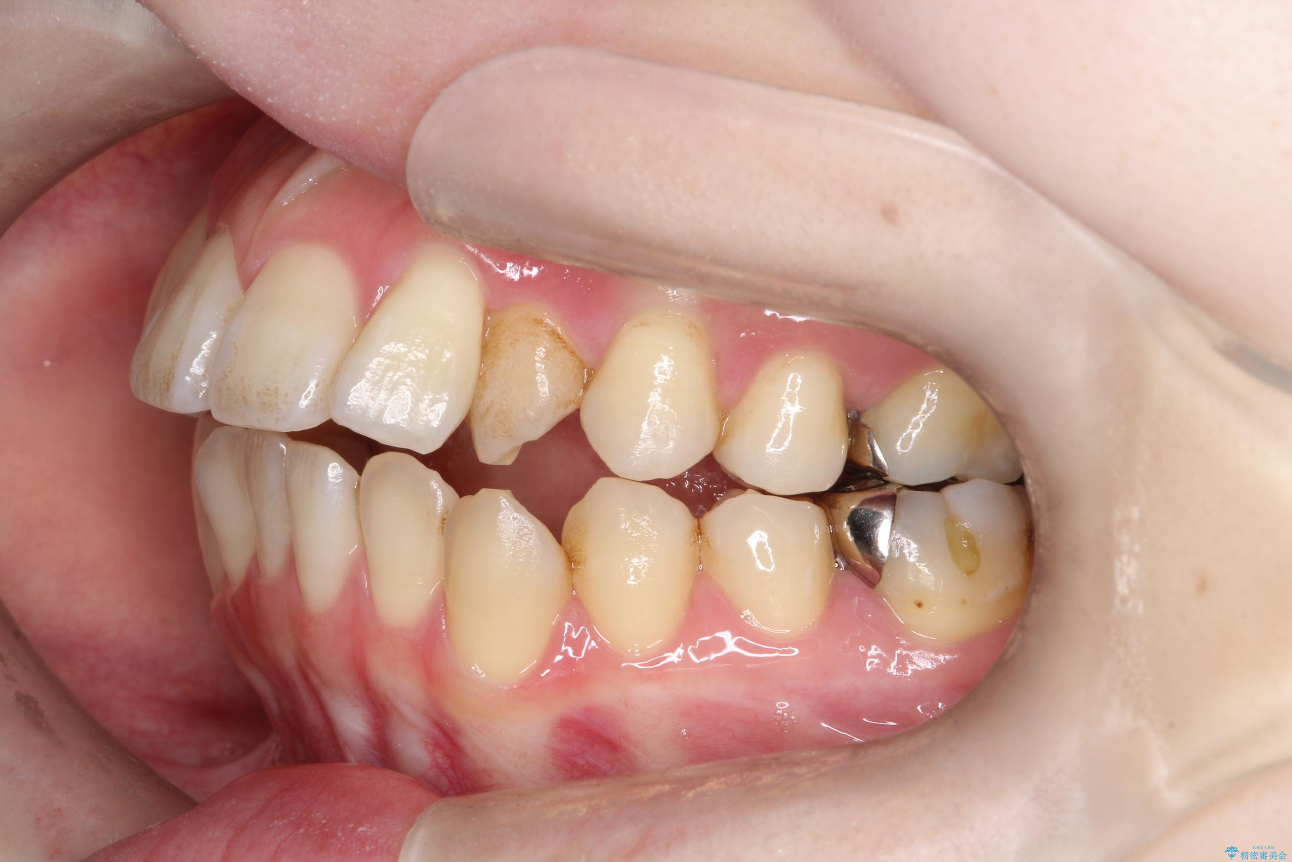
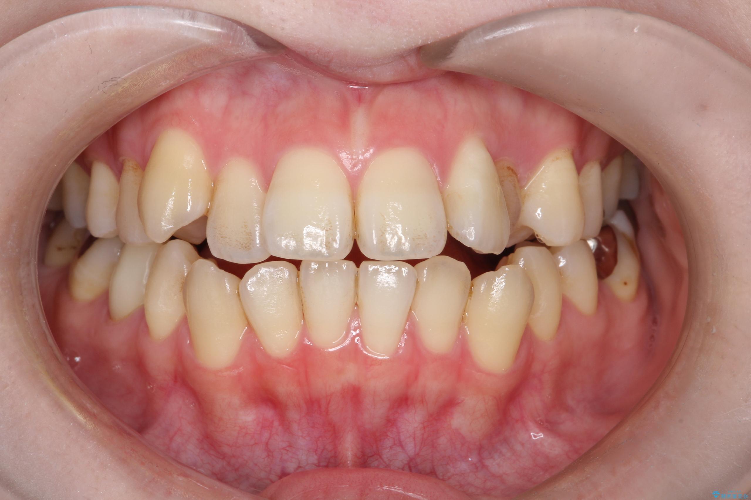
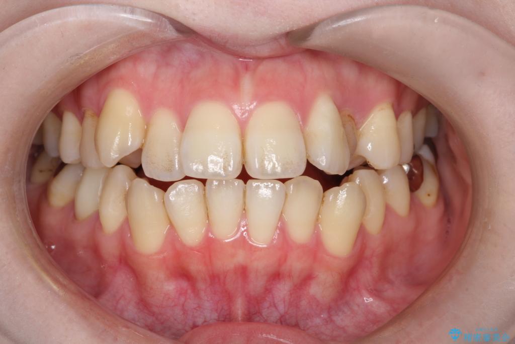
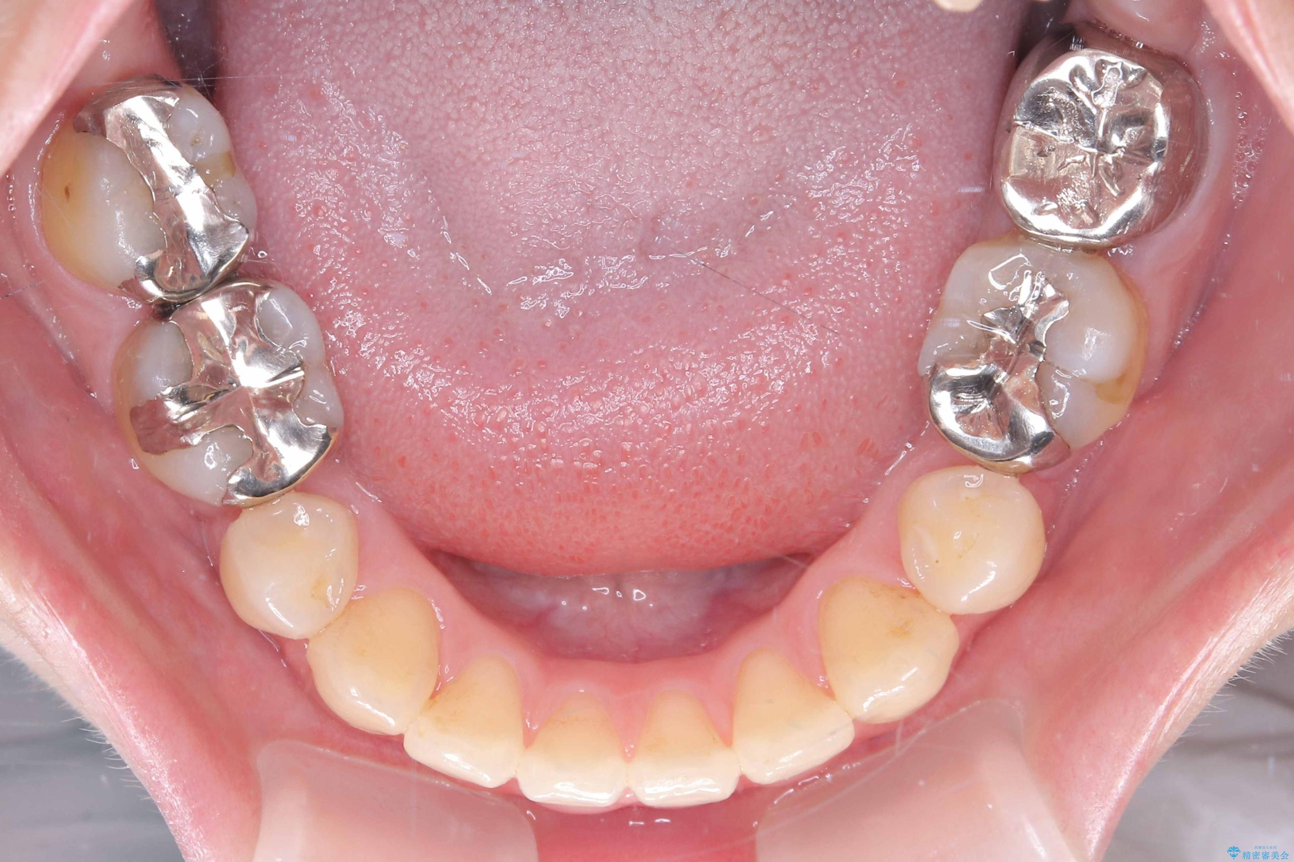
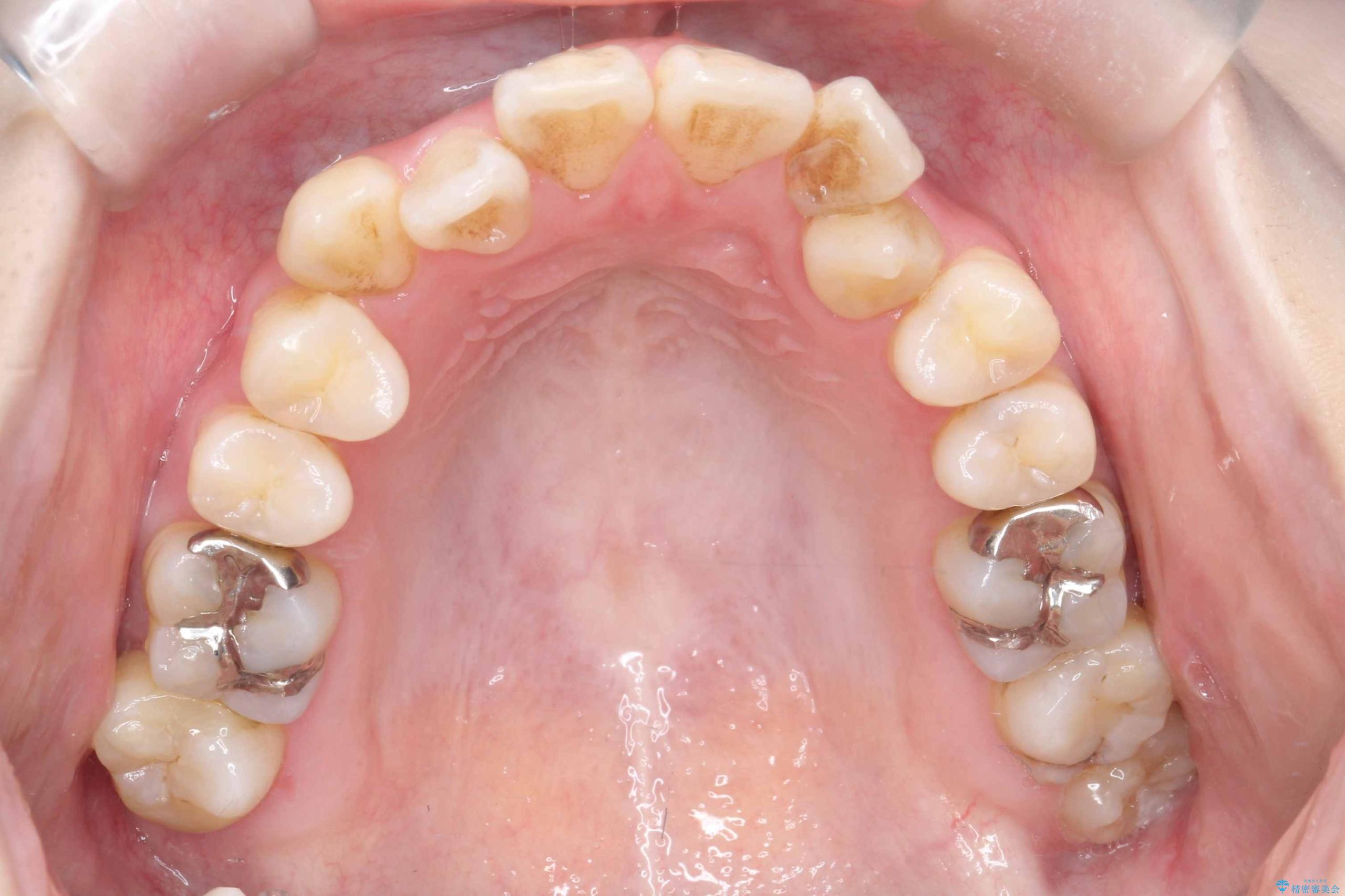
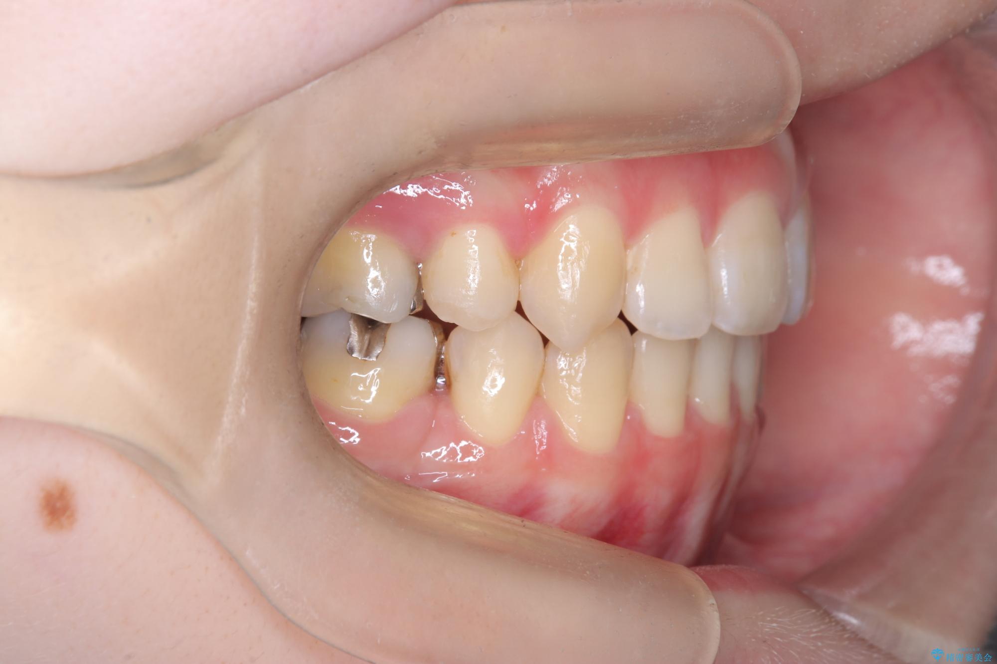
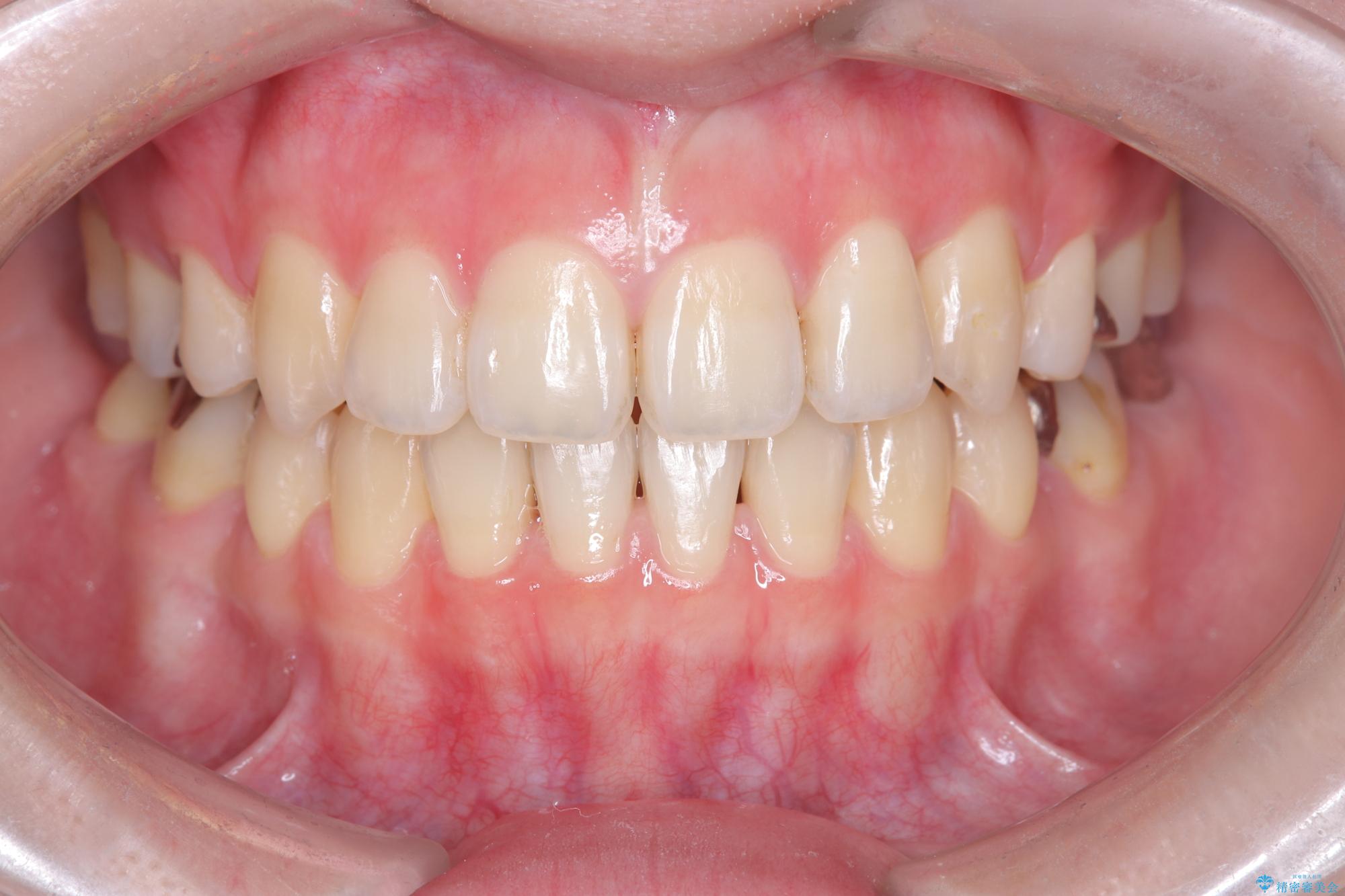
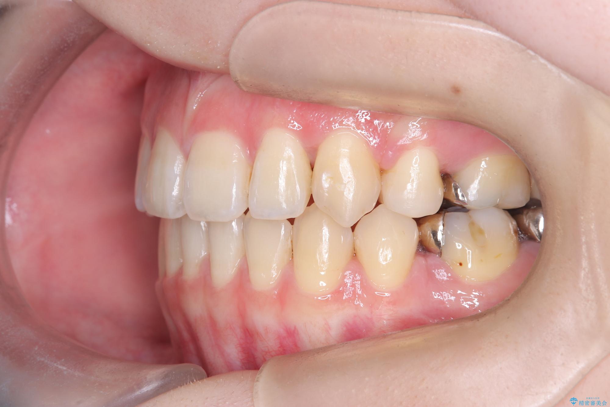
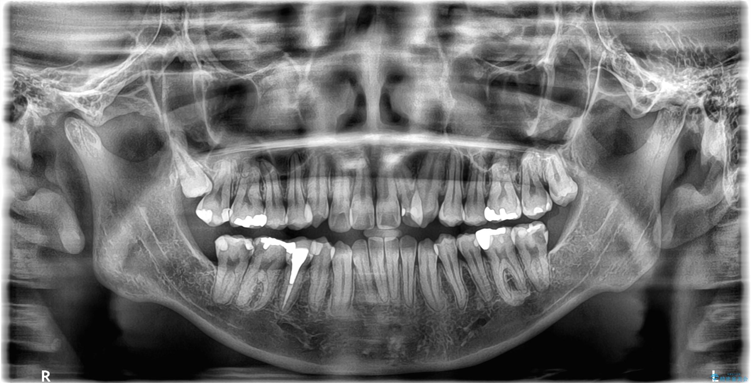
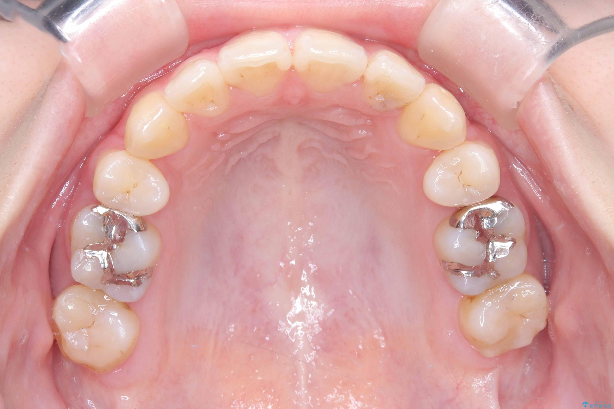
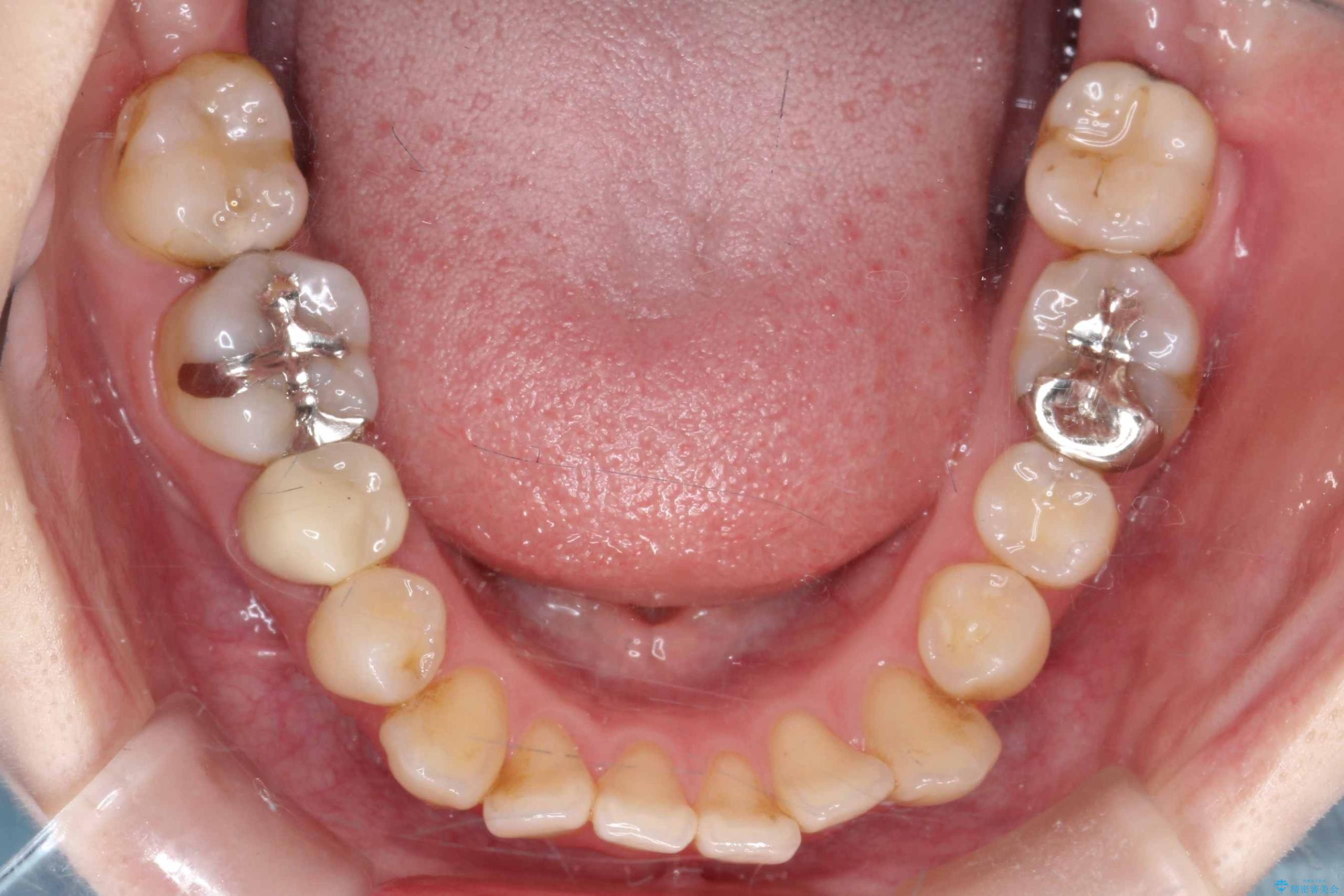
- 開咬と歯のデコボコ(叢生)、八重歯を主訴にご来院された患者様です。
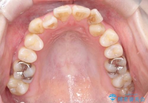
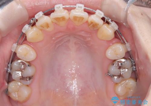
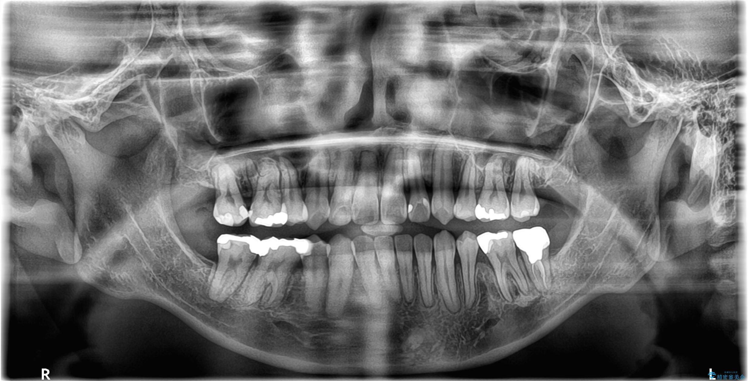
矯正の精密検査の結果、上顎左右4番および下顎左右5番の計4本を抜歯し、ワイヤー矯正(クリア装置)にて治療を行いました。
虫歯があったので、虫歯治療は矯正前に行っています。
- 費用(概算)
- 税込1,023,000円(通院費込み)費用は治療当時の料金となります
治療について
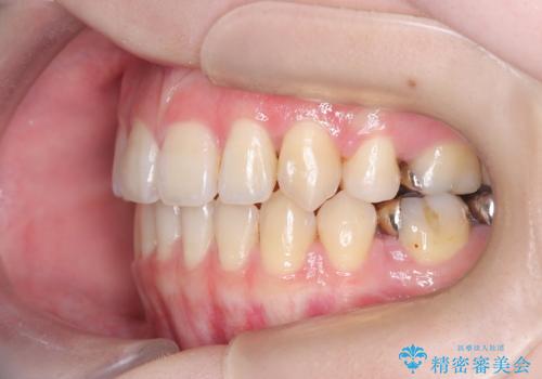
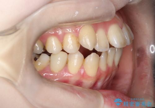
開咬や歯列のデコボコが改善され、見た目だけでなく咬み合わせの機能面も大きく向上し、大変ご満足いただけました。
また、治療期間も比較的短期間で終了することができました。
ワイヤー矯正の注意事項(リスク・副作用など)
- 治療中は違和感や痛みが起こることがあります
- 症状により、抜歯が必要な場合があります
- 治療中は歯磨きがしにくくなるため、虫歯や歯周病になりやすくなります
- 矯正治療後の保定が不十分だと後戻り(元の位置に戻ろうとする動き)をします
- 自費診療(保険適用外)となります
当サイトの内容、テキスト、画像等の無断転載、複製、複写、盗用を固く禁じます。





















