症例・治療例紹介
Cases
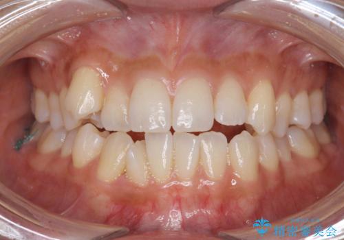
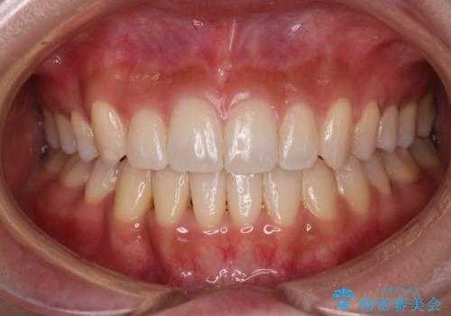
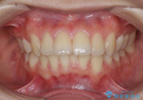
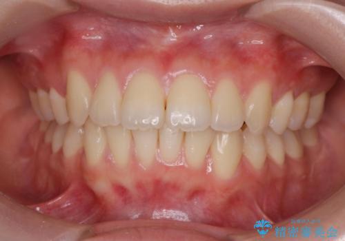
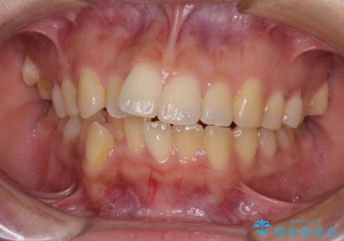
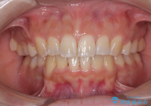
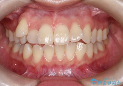
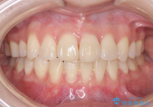
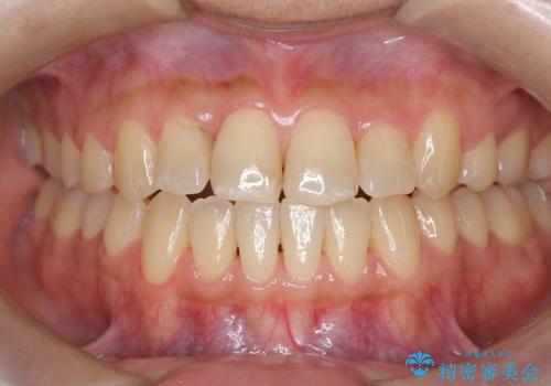
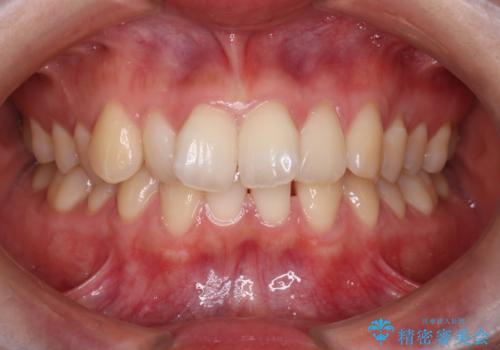
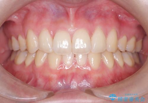
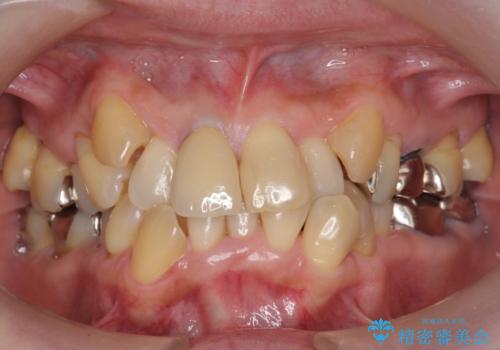
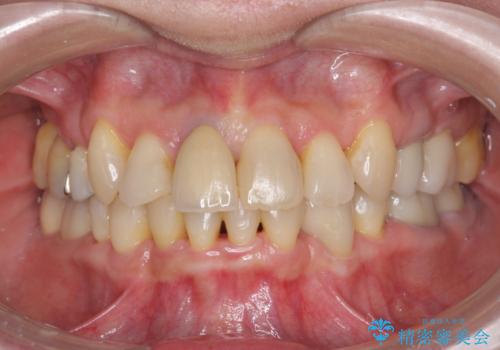
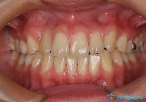
矯正歯科治療 → 叢生(でこぼこ・八重歯)
6ページ目 / 91
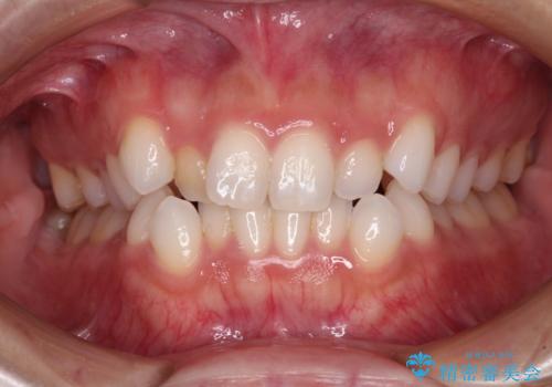
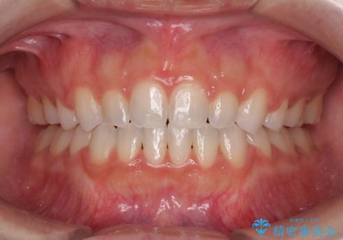
【審美装置】出っ歯を治して口を閉じやすく


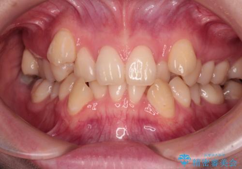
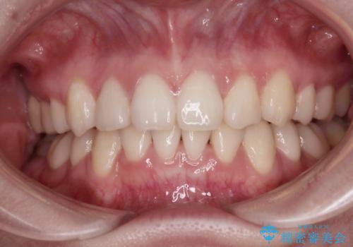
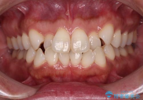
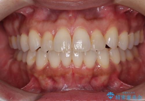
【審美装置】八重歯気になる
担当医 菊地俊介


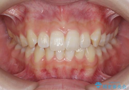
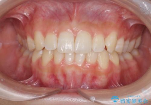
【クリア装置】がたつきを治したい


突き出た前歯の改善!マウスピースで再矯正


前歯のねじれを治したい マウスピース矯正治療


前歯のデコボコとクロスバイト ワイヤー装置での抜歯矯正
担当医 藤巻太一朗


上下の八重歯とクロスバイト ワイヤー装置での抜歯矯正


八重歯と上顎前突 ワイヤー装置での抜歯矯正


前歯のクロスバイト インビザラインによる矯正治療


ハーフリンガル矯正|下顎前歯3本の特異症例を抜歯矯正で改善
担当医 河口智英


左上の八重歯を抜歯矯正|インビザライン×ワイヤー矯正の併用で理想の歯並びへ
担当医 河口智英


抜歯矯正×インビザライン|上下のバランスを整え、美しい歯並びへ
担当医 河口智英


[マウスピース矯正] 海外留学中でも可能な矯正治療
担当医 大元洋佑
![[マウスピース矯正] 海外留学中でも可能な矯正治療の症例 治療前](https://seimitsushinbi.jp/wp/wp-content/uploads/2025/01/C4-1-500x350.jpg?v=1737343006)
![[マウスピース矯正] 海外留学中でも可能な矯正治療の症例 治療後](https://seimitsushinbi.jp/wp/wp-content/uploads/2025/01/IMG_0074-500x350.jpg?v=1737343049)
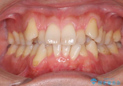
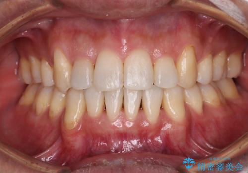
50代女性 八重歯を矯正治療 歯並びの中等度のがたつき


マウスピース矯正が煩わしい ワイヤー装置での非抜歯矯正
担当医 藤巻太一朗


ワイヤー矯正歯科治療の注意事項(リスク・副作用など)
- 治療中は違和感や痛みが起こることがあります
- 症状により、抜歯が必要な場合があります
- 治療中は歯磨きがしにくくなるため、虫歯や歯周病になりやすくなります
- 矯正治療後の保定が不十分だと後戻り(元の位置に戻ろうとする動き)をします
- 自費診療(保険適用外)となります
マウスピース矯正の注意事項(リスク・副作用など)
- 口腔内・歯並びの状態によっては対応できない場合があります
- マウスピース型矯正装置の長時間装着が必須です
- 治療計画通りに進めるためには、患者様の意志が重要になります
- 矯正治療後の保定が不十分だと後戻り(元の位置に戻ろうとする動き)をします
- 自費診療(保険適用外)となります
