症例・治療例紹介
Cases
矯正歯科治療 → ハーフリンガル
1ページ目 / 5
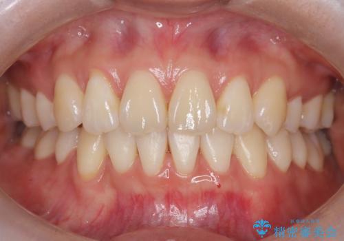
【抜歯】ハーフリンガル矯正で韓国美人な横顔へ!


ハーフリンガル矯正による前歯部の叢生改善と口元の後退|上顎左右4番・下顎1番抜歯症例


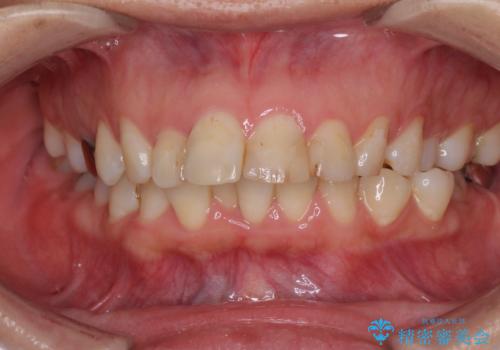
ハーフリンガル矯正|下顎前歯3本の特異症例を抜歯矯正で改善
担当医 河口智英


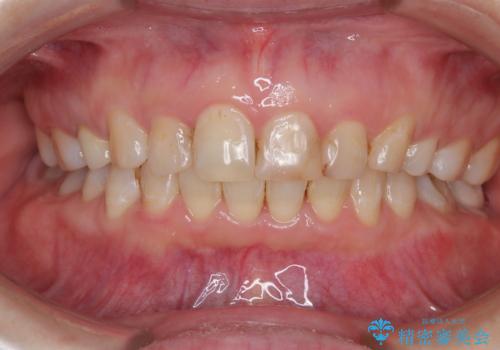
飛び出ている出っ歯を治したい 目立たない装置での抜歯矯正治療


裏側装置で目立たず矯正!


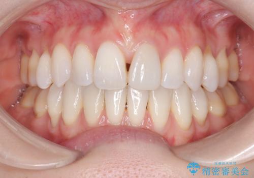
目立たない装置でデコボコを改善 ハーフリンガルによる矯正治療


顎が左右にずれた咬み合わせ ハーフリンガルの抜歯矯正


八重歯を改善!美しい口元を実現するハーフリンガル矯正


目立たない裏側装置でデコボコをきれいに解消


裏側矯正で口元をすっきりとした印象へ!


飛び出した上顎前歯とむし歯の多い歯列 目立たないハーフリンガル矯正とむし歯治療


裏側矯正でEラインを改善! すっきりした口元に!


深い咬み合わせと前歯の隙間 ハーフリンガルによる矯正治療


ハーフリンガルで歯列をきれいに セラミック治療で気になる銀歯も自然な色に


ワイヤー矯正歯科治療の注意事項(リスク・副作用など)
- 治療中は違和感や痛みが起こることがあります
- 症状により、抜歯が必要な場合があります
- 治療中は歯磨きがしにくくなるため、虫歯や歯周病になりやすくなります
- 矯正治療後の保定が不十分だと後戻り(元の位置に戻ろうとする動き)をします
- 自費診療(保険適用外)となります


