症例詳細
Case detail
インビザライン矯正 短期間で出っ歯を改善
治療症例の内容
- 患者様
- 20代女性
- 矯正装置
- インビザライン
- 治療期間
- 5ヶ月
- 治療回数
- 5-10回
- 治療計画
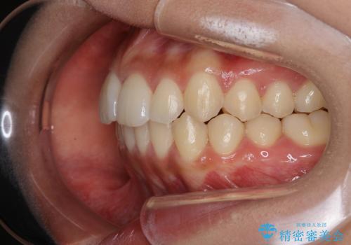
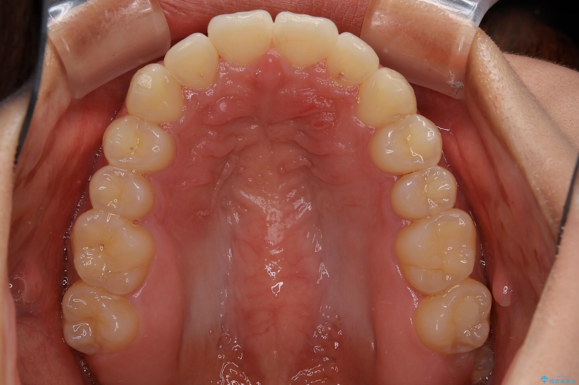
- 前歯が前に出ていることが気になるとのことで来院されました。
上顎の前歯が一本、唇側出ていることで、口元の突出があると感じているとのことでした。
奥歯の咬み合わせは特に問題がなかったため、上下顎の前歯のがたつきを、歯の側面を削ることで改善する治療計画としました。
- 費用(概算)
- 77万費用は治療当時の料金となります
※顔写真掲載にあたり、患者様の了解を得ております
治療について
歯を抜かない場合は、口元の劇的な変化はありません。
この症例の患者様は、口元の突出感が気になるとのことでしたが、歯を抜く必要性がないと判断し、歯を抜かずに治療を行いました。前歯の角度を改善することで、口元が気にならなくなったと満足いただけました。
マウスピース矯正の注意事項(リスク・副作用など)
- 口腔内・歯並びの状態によっては対応できない場合があります
- マウスピース型矯正装置の長時間装着(1日20時間以上)が必須です
- 治療計画通りに進めるためには、患者様の意志が重要になります
- 矯正治療後の保定が不十分だと後戻り(元の位置に戻ろうとする動き)をします
- 薬機法対象外の矯正歯科装置のため医薬品副作用被害救済制度の対象外となる場合があります
- 自費診療(保険適用外)となります
当サイトの内容、テキスト、画像等の無断転載、複製、複写、盗用を固く禁じます。

















