症例・治療例紹介
Cases
矯正歯科治療 → 再矯正
1ページ目 / 5
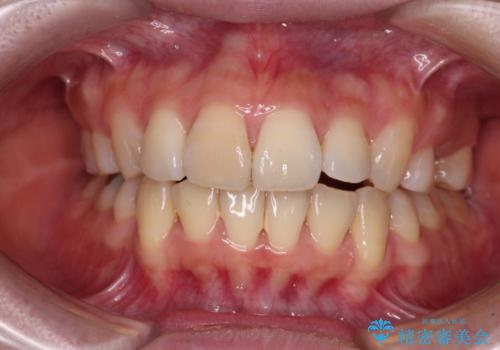
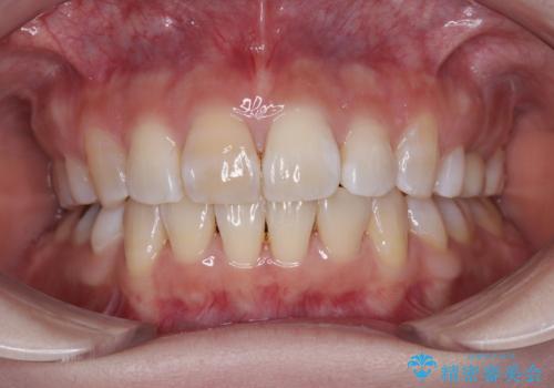
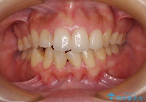
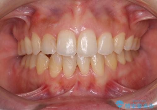
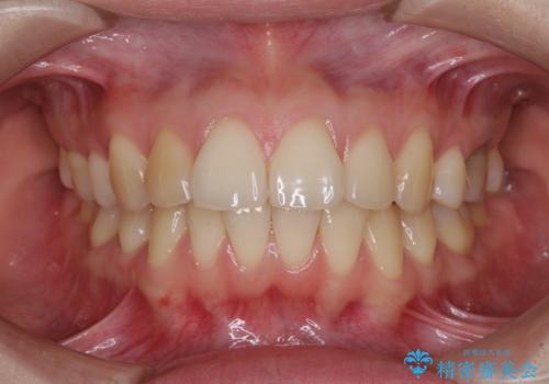
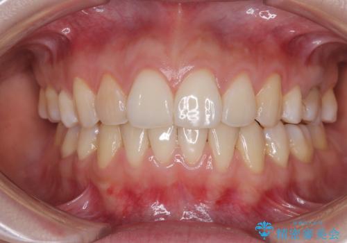
インビザライン・モデレートを用いて気になる後戻りを矯正治療
担当医 藤巻太一朗


前歯を後ろに下げたい ワイヤー矯正(クリア装置)


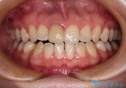
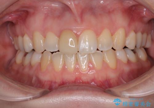
前歯のガタつきを改善 抜歯矯正後の後戻り
担当医 草深敏毅


再矯正 開咬に後戻りした歯列をインビザラインで改善
担当医 藤巻太一朗


ワイヤー矯正後の後戻り 出っ歯を治したい マウスピース矯正


矯正の後戻りと奥歯の欠損 ワイヤー矯正とインプラント治療


【モニター】後戻りでできた隙間 ワイヤー装置での再矯正


後戻りの再矯正 ワイヤー装置でデコボコと隙間を改善


ワイヤー矯正で確実にガタつきを治したい セラミックブラケットによる治療


インビザライン矯正 過去に矯正治療したが、また前歯にがたつきがでてきて治したい


前歯のガタつき、下顎の前突感を治したい インビザライン矯正例
担当医 高悠莉


ワイヤー矯正歯科治療の注意事項(リスク・副作用など)
- 治療中は違和感や痛みが起こることがあります
- 症状により、抜歯が必要な場合があります
- 治療中は歯磨きがしにくくなるため、虫歯や歯周病になりやすくなります
- 矯正治療後の保定が不十分だと後戻り(元の位置に戻ろうとする動き)をします
- 自費診療(保険適用外)となります
マウスピース矯正の注意事項(リスク・副作用など)
- 口腔内・歯並びの状態によっては対応できない場合があります
- マウスピース型矯正装置の長時間装着が必須です
- 治療計画通りに進めるためには、患者様の意志が重要になります
- 矯正治療後の保定が不十分だと後戻り(元の位置に戻ろうとする動き)をします
- 自費診療(保険適用外)となります

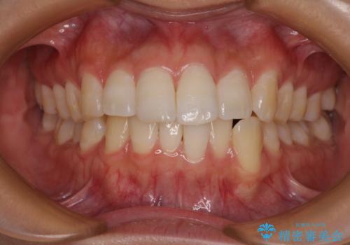
![[インビザラインモデレート] 抜歯矯正後の後戻り 出っ歯を治したいの症例 治療前](https://seimitsushinbi.jp/wp/wp-content/uploads/2025/05/IMG_4903-500x350.jpg?v=1746627186)
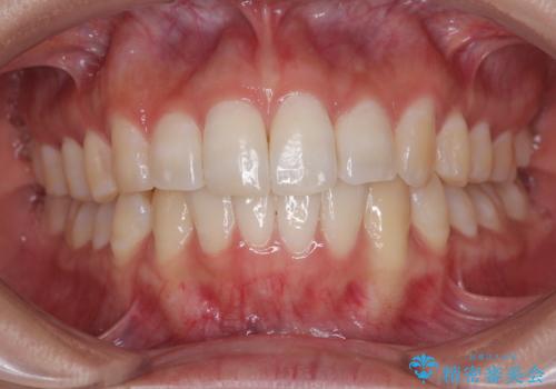
![[インビザラインモデレート] 抜歯矯正後の後戻り 出っ歯を治したいの症例 治療後](https://seimitsushinbi.jp/wp/wp-content/uploads/2025/05/P1463303-500x350.jpg?v=1746627320)





