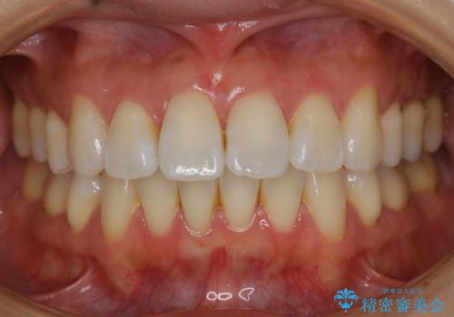
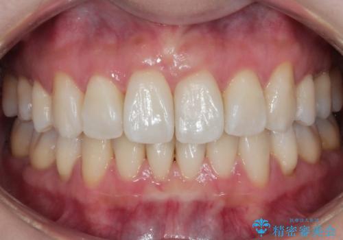
症例・治療例紹介
Cases
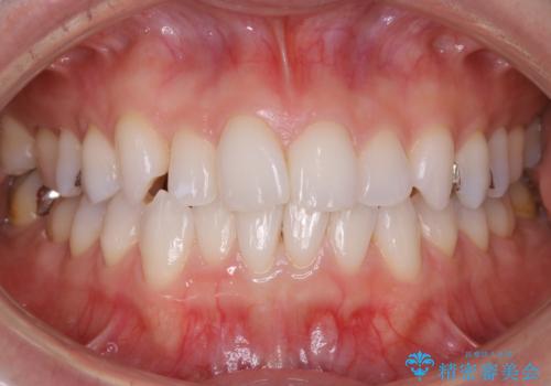
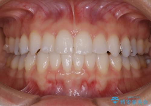
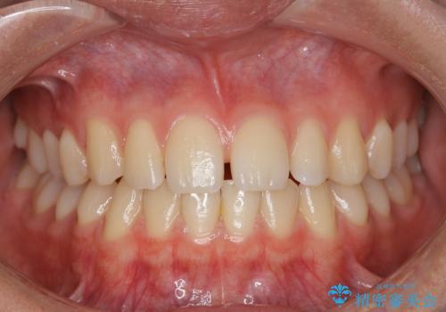
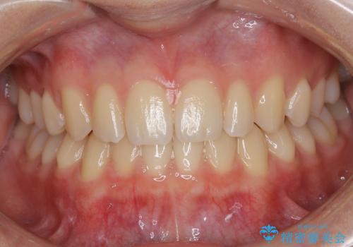
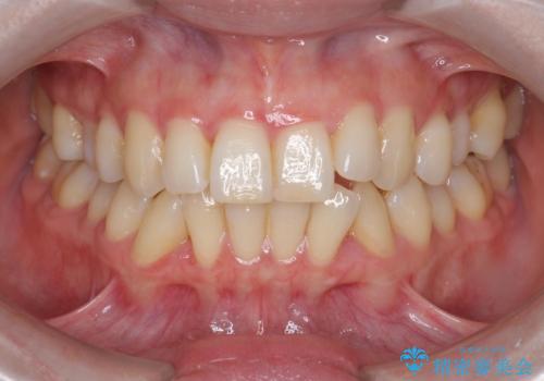
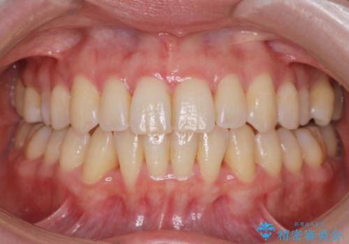
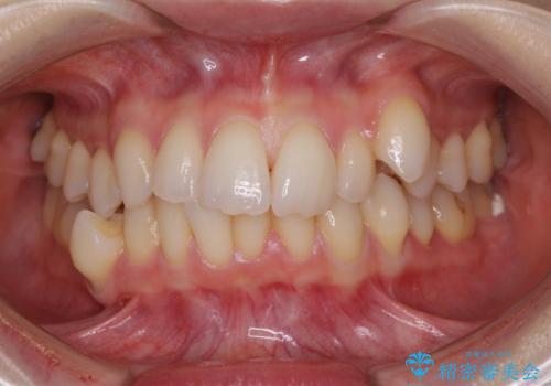
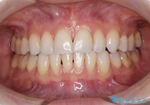
矯正歯科治療
メタル装置掲載症例数91件


プラスチックブラケット掲載症例数166件
最新 プラスチックブラケット症例


審美装置掲載症例数579件
最新 審美装置症例


裏側装置(フルリンガル)掲載症例数21件
最新 裏側装置(フルリンガル)症例


インビザライン掲載症例数1139件


マウスピース掲載症例数329件
最新 マウスピース症例


上下顎前突(口ゴボ)掲載症例数183件
最新 上下顎前突(口ゴボ)症例


上顎前突(出っ歯)掲載症例数323件
最新 上顎前突(出っ歯)症例


交叉咬合(クロスバイト)掲載症例数281件
最新 交叉咬合(クロスバイト)症例


切端咬合(上下前歯の先端が当たる)掲載症例数7件
最新 切端咬合(上下前歯の先端が当たる)症例


反対咬合(受け口)掲載症例数108件
最新 反対咬合(受け口)症例


叢生(でこぼこ・八重歯)掲載症例数1351件
最新 叢生(でこぼこ・八重歯)症例


空隙歯列弓・正中離開(すきっ歯)掲載症例数122件
最新 空隙歯列弓・正中離開(すきっ歯)症例


過蓋咬合(ディープバイト)掲載症例数154件
最新 過蓋咬合(ディープバイト)症例


開咬(オープンバイト)掲載症例数116件
最新 開咬(オープンバイト)症例


非抜歯(歯を抜かない)掲載症例数209件
最新 非抜歯(歯を抜かない)症例


部分矯正掲載症例数198件
最新 部分矯正症例


ワイヤー矯正歯科治療の注意事項(リスク・副作用など)
- 治療中は違和感や痛みが起こることがあります
- 症状により、抜歯が必要な場合があります
- 治療中は歯磨きがしにくくなるため、虫歯や歯周病になりやすくなります
- 矯正治療後の保定が不十分だと後戻り(元の位置に戻ろうとする動き)をします
- 自費診療(保険適用外)となります
マウスピース矯正の注意事項(リスク・副作用など)
- 口腔内・歯並びの状態によっては対応できない場合があります
- マウスピース型矯正装置の長時間装着が必須です
- 治療計画通りに進めるためには、患者様の意志が重要になります
- 矯正治療後の保定が不十分だと後戻り(元の位置に戻ろうとする動き)をします
- 自費診療(保険適用外)となります








